出自:内分泌学高级职称

男性,35岁,多饮多尿乏力,被诊断2型糖尿病3年。服用二甲双胍1.5g/d,格列本脲7.5mg/d治疗,效果欠佳。HbAlc在8%~10%,1年来听力减退,母亲和哥患糖尿病并耳聋。ICA(-),GAD抗体阴性,身高165cm,体重45kg。电测听示神经性耳聋。



第1题,共3个问题
(单选题)本例病人最有价值的检查是( )
A:基因诊断
B:胰岛素释放试验弹估胰岛B细胞功能
C:头颅CT检查
D:脑电图检查
E:胰岛素抗体检测

第2题,共3个问题
(单选题)本例病人最可能的诊断是( )
A:1型糖尿病
B:2型糖尿病
C:缓慢进展1型糖尿病
D:线粒体基因3243A-G突变糖尿病
E:胰岛素受体基因突变糖尿病

第3题,共3个问题
(单选题)本例病人最好的控制糖尿病的治疗方案是( )
A:停用二甲双胍,改用胰岛素
B:睡前直接加用低精蛋白胰岛素(中效胰岛素)
C:停用口服药物,换用胰岛素
D:加用阿卡波糖
E:加用胰岛素增敏剂
下列与糖尿病有关的眼科疾患为( )
A:玻璃体出血
B:白内障
C:青光眼
D:屈光改变
E:黄斑水肿
判断糖尿病控制程度较好的指标是()。
A:空腹血糖
B:餐后血糖
C:糖化血红蛋白
D:空腹血浆胰岛素水平
E:OGTT
原发性慢性肾上腺皮质功能减退症的典型体征是()。
A:皮肤紫纹
B:轻度肥胖
C:皮肤、黏膜色素沉着
D:皮肤多汗及低热
E:脉搏增快
患者女,10岁,因“上腹不适,乏力、食欲减退渐加重5d”来诊。自幼生长缓慢,多次晨起发生惊厥。查体:生命体征正常;消瘦,发育正常;心、肺听诊无异常;腹膨隆,右上腹壁静脉曲张,全腹软、压痛,无反跳痛;肝肋下5cm,质韧,小结节感,脾肋下未及,移动性浊音(-)。外院多次查空腹血糖2.0~2.7mmol/L。

第1题,共5个问题
(多选题)为明确诊断,需进一步检查(提示经检查,发现低血糖、代谢性酸中毒、高血脂、高乳酸血症、高尿酸;B超:肝大、回声增强,双肾肿大。)()。
A:胰高血糖素试验
B:肾上腺素试验
C:葡萄糖耐量试验
D:肝组织活检、糖原染色
E:肝细胞葡萄糖-6-磷酸酶活性检测
F:颅脑CT

第2题,共5个问题
(多选题)为病因诊断,不必要进行的临床检查是()。
A:血气分析、血生化、尿酸
B:肝功能(肝酶、凝血功能)、血脂、肌酶
C:尿有机酸
D:血氨和乳酸
E:腹部B超/CT
F:颅脑CT

第3题,共5个问题
(单选题)该患者的治疗原则主要是()。
A:纠正酸中毒
B:降低尿酸水平
C:保持血糖于正常水平
D:补充葡萄糖-6-磷酸酶
E:肝移植
F:血液透析

第4题,共5个问题
(单选题)该患者诊断首先考虑()。
A:半乳糖血症
B:高胰岛素性低血糖
C:糖原累积症
D:生长激素缺乏症
E:肝豆状核变性
F:肝癌

第5题,共5个问题
(单选题)该病形成机制是()。
A:葡萄糖-6-磷酸脱氢酶缺陷
B:磷酸果糖激酶缺陷
C:半乳糖-1-磷酸尿苷转移酶缺陷
D:肝不能正常合成铜蓝蛋白
E:葡萄糖-6-磷酸酶缺陷
F:缺乏酸性α-l,4-葡萄糖苷酶
依赖垂体ACTH的Cushing病最常见,约占Cushing综合征的70%。
女性,40岁,反复出现中餐前心悸半年,进餐后缓解。

第1题,共3个问题
(单选题)下述不是正常人对血糖下降反应的是()。
A:升糖激素分泌增加
B:糖原合成增加
C:胰岛素分泌减少或完全抑制
D:下丘脑-肾上腺素能神经兴奋反应
E:认知障碍

第2题,共3个问题
(单选题)初步诊断()。
A:肝硬化
B:胰岛素瘤
C:糖原累积病
D:腺垂体功能减退症
E:早期2型糖尿病

第3题,共3个问题
(单选题)糖尿病时血糖升高的机制有()。
A:组织对葡萄糖的利用增加
B:胃肠道对葡萄糖吸收增加
C:糖原分解代谢加速
D:糖原合成增加
E:外周组织摄取葡萄糖增加
患者,男,60岁,糖尿病史20年,近半年来感双足趾端麻木。体检:消瘦,双手骨间肌萎缩,肌力Ⅳ级,病理反射阴性。下列哪项诊断可能性大( )
A:运动系统改变与糖尿病无关
B:糖尿病微血管病变
C:糖尿病自主神经病变
D:糖尿病并发脑血管意外
E:糖尿病周围神经病变
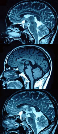
男,47岁,头痛三年余,最近2个月感觉视力下降,MRI检查如图,最可能的诊断为( )
A:垂体瘤
B:颅咽管瘤
C:垂体囊肿
D:垂体腺瘤囊变
E:脑膜瘤
有关T3型甲状腺毒症的叙述,不正确的是()。
A:在碘缺乏地区人群中常见
B:在老年人群中常见
C:此型占甲亢病例的12%
D:此型仅占甲亢病例的5%
E:血清TT3、FT3水平增高
患者,男,50岁。突然发作右足关节肿痛,活动受限。体检发现右足母趾的跖趾关节明显红肿、有压痛。查血尿酸水平明显增高。该患者目前处于该疾病的哪一个阶段()。
A:无症状期
B:急性关节炎期
C:间歇期
D:慢性关节炎期
E:慢性肾病期
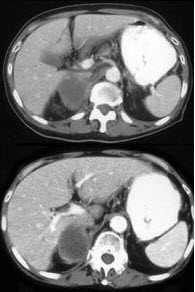
男,75岁,右侧胸痛伴咯血3月余,胸部CT提示右侧中央型肺癌,请结合图像,作出诊断( )
A:右侧肾上腺囊肿
B:右侧肾上腺转移瘤
C:右侧肾上腺腺瘤
D:右侧肾上腺癌
E:右侧肾上腺嗜铬细胞瘤
噻唑烷二酮类药物属于胰岛素增敏剂。

患者,女,50岁,腰背及四肢关节酸痛4个月,体检发现高血压,B超发现有右侧尿路结石。



第1题,共2个问题
(单选题)为明确诊断,应首选下列哪项实验室检查( )
A:血UA测定
B:四肢关节摄片
C:血钙、磷、PTH测定
D:血AKP测定
E:放射性核素全身骨扫描

第2题,共2个问题
(单选题)若患者同时检查骨密度示有骨质疏松,可排除下列哪项疾病( )
A:原发性甲旁亢
B:继发性甲旁亢
C:甲状旁腺功能减退症
D:甲状腺功能亢进症
E:骨原发或转移性肿瘤
患者,女性,32岁,1型糖尿病15年,1年来间断眼睑及双下肢水肿,血压160/90mmHg,尿蛋白(+),尿糖(++)。

第1题,共2个问题
(单选题)患者最可能诊断为()。
A:慢性肾小球肾炎
B:肾动脉硬化
C:慢性肾盂肾炎
D:狼疮性肾炎
E:糖尿病肾病

第2题,共2个问题
(单选题)该患者尿白蛋白排泄率为190μg/min,下列正确的是()。
A:患者为糖尿病早期肾病
B:患者为糖尿病临床肾病
C:患者24小时尿白蛋白可能大于300mg
D:患者24小时尿蛋白可能大于0.5g
E:患者肾小球滤过率下降
高渗盐水试验用于鉴别精神性烦渴、多尿、主要根据()。
A:抗利尿激素受药物影响
B:抗利尿激素受血浆渗透压影响
C:抗利尿激素受血压影响
D:抗利尿激素受有效血容量调节
E:抗利尿激素受情绪影响

患者,女性,50岁,高血压史25年,3年来间断发作四肢无力,1个月前发作时患者不能自行起床,院外测血钾2.8mmol/L,入院后查血钾3.0mmol/L,24小时尿钾40mmol/L,血压160/90mmHg



第1题,共3个问题
(单选题)为明确诊断应进一步做下列哪些检查,除了( )
A:肾上腺CT
B:卧立位试验
C:24小时尿皮质醇
D:胰升糖素激发试验
E:血气分析

第2题,共3个问题
(单选题)患者卧立位试验显示低肾素,高醛固酮,且立位醛固酮低于卧位醛固酮,则考虑患者为( )
A:特醛症
B:醛固酮瘤
C:肾素瘤
D:liddle综合征
E:肾动脉狭窄

第3题,共3个问题
(单选题)该患者治疗首选( )
A:补钾+ACEI类抗高血压药
B:安体舒通
C:补钾+钙离子拮抗剂
D:手术
E:阿米洛利
别嘌呤醇是治疗急性痛风性关节炎的特效药物。
患者女,20岁,因“颅咽管瘤术后闭经伴乏力、嗜睡,食欲减退,怕冷3年,恶心、呕吐3d”来诊。查体:T36.8℃,P50次/min,BP90/55mmHg。实验室检查:FT4、FT3降低,TSH水平为正常参考值的低限,血钠130mmol/L。对该患者的治疗,最重要的措施是()。
A:立即使用升压药,继以补充0.9%氯化钠溶液
B:立即大量补液、补充高浓度氯化钠溶液
C:立即补充胶体溶液、静脉输注高糖并大量补液,补充甲状腺激素
D:立即静脉输注高糖、0.9%氯化钠溶液,大剂量补充肾上腺皮质激素
E:立即抗炎治疗和大量补液
有关糖尿病的诊断,下列哪项正确()。
A:三多一少症状是诊断糖尿病必须具备的条件
B:尿糖检查一定阳性
C:空腹血糖不一定升高
D:全天任何时候血糖>10mmo1/L即可诊断
E:所有病人都需行葡萄糖耐量试验进行诊断
血糖升高是诊断糖尿病的主要依据。
噻唑烷二酮类的降糖机制及适应证。
糖尿病肾病Ⅲ期是指尿白蛋白排泄率持续在()。
A:20-300ug/min(30-600mg/24h)
B:30-200ug/min(60-300mg/24h)
C:>200ug/min(>300mg/24h)
D:>300ug/min(>30mg/24h)
E:20-200ug/min(30-300mg/24h)
病历摘要:患者,女性,37岁,因“发现血压高2年”来诊,2年前患者在体检时发现血压高于正常,其时为145/86mmHg,无自觉不适,自服中药治疗,未监测血压,常有四肢无力,偶有四肢末端麻木感,曾发生过手足抽搐,无头痛、头晕、恶心、呕吐、视力下降,体检:血压150/90mmHg,皮肤未见紫纹,心肺无异常,脐周及双肾区未闻及血管杂音。下列哪一种(或哪几种)药物可以用于治疗醛固酮增多症?()
A:氢氯噻嗪
B:螺内酯
C:呋塞米
D:氨苯蝶啶
E:硝苯吡啶
F:卡托普利
血脂检查的重点人群为()。
A:缺血性心血管疾病者
B:有家族性高脂血症者
C:糖尿病、高血压、肥胖者、吸烟者
D:皮肤有黄色瘤者
E:早发性冠心病家族史者
关于男子乳房发育的临床表现,叙述正确的有()。
A:单侧或双侧乳房增大
B:可出现乳晕皮肤粘连或乳头凹陷
C:可感到隐痛不适或触痛
D:乳房触诊手指合拢时多无阻力感
E:少数患者在挤压乳头时可见少量白色分泌物溢出
TGAb与TPOAb明显增高对慢性淋巴细胞性甲状腺炎有诊断意义
患者男,35岁,因“心悸、乏力、食欲亢进2个月,双眼畏光、流泪1个月”来诊。患者1年前发现甲状腺功能亢进,曾口服丙基硫氧嘧啶后出现严重皮疹,后改为甲巯咪唑治疗,半年前自行停药。近2个月自觉心悸、乏力、食欲亢进,近1个月双眼畏光、流泪,无明显球后压迫感、眼痛及复视,口服甲巯咪唑后出现白细胞减少(0.8×109/L),无明显发热。查体:双甲状腺Ⅱ度肿大,HR90次/min,律齐;双眼睑水肿,无明显眼睑红斑,无明显结膜充血、水肿,无明显眼阜水肿,双眼突眼度20mm,双眼睑挛缩+2mm,无眼睑闭合不全。

第1题,共4个问题
(多选题)为进一步治疗,尚需做的检查是()。
A:甲状腺功能
B:血常规
C:肝功能
D:动态心电图
E:颈部增强CT
F:颅脑X线片

第2题,共4个问题
(多选题)参照EUGOGO指南,当前的治疗措施是()。
A:戒烟
B:戒酒
C:如选择I治疗,则治疗后第3天开始口服泼尼松治疗至3个月
D:注意用眼卫生
E:配戴三棱镜
F:加强锻炼,增强抵抗力

第3题,共4个问题
(单选题)患者目前眼病活动度分级(EUGOGO7分法)是()。
A:1//7分
B:2/7分
C:3//7分
D:4/7分
E:5/7分
F:6/7分

第4题,共4个问题
(单选题)控制甲状腺功能的治疗方案是(提示患者停用甲巯咪唑后白细胞进行性上升至2.0×109/L,但自觉心悸明显。HR102次/min。甲状腺功能:FT312.9pmol/L,FT438.8pmol/L,sTSH0.001μU/L,TRAb24U/L。)()。
A:口服甲巯咪唑
B:口服丙基硫氧嘧啶
C:131I治疗
D:甲状腺功能亢进手术治疗
E:甲状腺动脉栓塞
F:生长抑素治疗
患者男,65岁,“因心悸、手颤3年,加重1个月”来诊。查体:P110次/min,BP160/60mmHg;消瘦,皮肤潮湿,甲状腺Ⅰ度肿大;颈静脉无怒张,心界不大,HR134次/min,心律绝对不齐,心音强弱不等;肺、腹(-);双下肢无水肿。针对心脏并发症应给予()。
A:洋地黄+胺碘酮
B:立即电除颤
C:小剂量洋地黄+β-肾上腺素受体阻断剂
D:单纯大剂量洋地黄
E:胺碘酮
男性,26岁。糖尿病病程10年,胰岛素治疗。血糖未监测,时有低血糖症。近3个月眼睑及下肢浮肿,血糖300mg/L,尿蛋白排泄率1801μg/min,WBC0~3/HP,颗粒管型少许,血尿素氮、肌酐正常。诊断考虑()。
A:胰岛素性水肿
B:肾动脉硬化
C:肾盂肾炎
D:急性肾炎
E:糖尿病肾病