自考题库
首页
所有科目
自考历年真题
考试分类
关于本站
游客
账号设置
退出登录
注册
登录
出自:消化内科学高级职称
肠结核主要由下列哪项途径感染()。
A:呼吸道感染
B:经口感染
C:血液传播
D:体液感染
E:接触感染
女,49岁,上腹胀满5年,2个月来食欲不振,全身无力,体检无明显异常发现,X线钡餐未见异常。胃镜活检:炎性细胞浸润及肠上皮化生,未见腺体萎缩。
第1题,共2个问题
(单选题)应诊断为( )
A:胃粘膜脱垂
B:早期胃癌
C:慢性萎缩性胃炎
D:慢性浅表性胃炎
E:胃神经症
第2题,共2个问题
(单选题)浅表性胃炎胃镜改变正确的是( )
A:皱襞平坦
B:皱襞变细
C:粘膜苍白
D:可透见粘膜下血管网
E:粘膜红白相间,散在糜烂、渗出
患者男,22岁,因乏力、手抖、言语迟缓6个月于当地医院查肝功能异常,血清铜蓝蛋白明显降低,行肝活检测定肝脏铜含量后确诊Wilson病。
第1题,共3个问题
(多选题)出现此种现象的原因可能为()。(提示:口服青霉胺治疗2周时患者自觉手抖较前加重)
A:疾病进展超过治疗效果
B:未同时服用维生素B
C:青霉胺用量不足
D:出现罕见的不良反应如狼疮样中枢神经系统血管炎
E:初期治疗中铜的动员再分布引起脑的某一区域有高水平铜的分布
第2题,共3个问题
(多选题)在治疗中应定期监测的项目有()。(提示:目前患者已接受青霉胺治疗1周,剂量为500mg/d。)
A:血常规
B:尿常规
C:肝功能
D:网织红细胞计数
E:血清铜蓝蛋白
F:24h尿铜排泄量
第3题,共3个问题
(多选题)该患者可能出现的结果为()。(提示:该患者坚持治疗1年时症状、体征消失,复查肝功能完全正常,故自行停止治疗。)
A:疾病痊愈
B:神经精神症状再次出现
C:消化道出血
D:突然出现黄疸、发热、贫血等症状
E:经治疗后消失的Kayser-Fleischer环再次出现
F:疾病进展为器质性精神病
关于大肠癌的描述,下列错误的是( )
A:直肠癌最多见
B:克罗恩病可发生癌变
C:大部分起源于腺瘤
D:排便习惯和大便性状的改变常是本病的最早期表现
E:扪及腹部包块提示已是中晚期
根据失血量和出血速度将消化道出血分为慢性隐性出血、慢性显性出血、急性出血
男,45岁,间常左下腹痛4年,伴大便带脓血2个月。查体腹部无异常。大便镜检红细胞3个/HP,白细胞2个/HP。钡灌肠检查结果见图。该病人最可能的诊断是( )
A:溃疡性结肠炎
B:细菌性痢疾
C:阿米巴痢疾
D:乙状结肠癌
E:慢性结肠炎
胆管细胞癌约占肝癌的90%
下列哪些是肝昏迷的常见诱因()。
A:上消化道出血
B:强利尿剂
C:外科手术
D:高血钾
E:便秘
小肠黏膜固有层大量巨噬细胞浸润,巨噬细胞的胞质内充满了大量可被PAS染色的糖蛋白颗粒。这种消化吸收不良性疾病是()。
A:乳糜泻
B:小肠淋巴瘤
C:耶尔森细菌性小肠炎
D:热带口炎性腹泻
E:Whipple病
女性,55岁。乙肝病史5年,自觉乏力、食欲差,到医院化验肝功ALT94U/L,AFP350U/L,经1个月保肝治疗,复查肝功ALT46U/L,AFP110U/L,最可能的诊断是()。
A:肝脓肿
B:肝癌
C:慢性迁延性肝炎
D:肝囊肿
E:脂肪肝
慢性腹泻
下列不是肝硬化腹腔积液治疗必须遵循的原则的是()。
A:腹腔积液患者必须限制钠、水的摄入
B:保钾利尿剂和排钠利尿剂并用
C:服用呋塞米利尿时应补充氯化钾
D:腹腔积液减退后,仍需限制钠的摄入
E:快速利尿消退腹腔积液可促使病情缓解
关于原发性胆汁性肝硬化的描述,正确的是()。
A:男性多发
B:主要的病理学特征是慢性非化脓性破坏性胆管炎
C:确诊后,首选糖皮质激素或联合硫唑嘌呤治疗
D:黄疸进行性加重提示:预后不良
E:终末期原发性胆汁性肝硬化适合肝移植治疗
粪便隐血试验阳性,提示每天出血量为( )
A:10ml以上
B:30ml
C:50ml
D:20ml以上
E:5ml以上
应与食管贲门黏膜撕裂综合征相鉴别的疾病()。
A:消化性溃疡并出血
B:食管-胃底静脉曲张破裂出血
C:食管癌合并出血
D:糜烂出血性胃炎
E:食管自发性破裂
最有意义的确诊手段是()。
A:结肠镜检查
B:便常规
C:腹部B超
D:直肠镜检查
E:X线钡剂灌肠
对于十二指肠溃疡(DU)的描述,下列哪项
不正确
()。
A:溃疡的形成与胃酸,胃蛋白酶无关
B:胃酸的分泌量与壁细胞总数相平行
C:最大胃酸分泌量(MAO)小于10mmol/h不会发生DU
D:壁细胞总数小于10亿个不会发生DU
E:DU有导致胃酸分泌异常的多种因素
肝性脑病患者经治疗后神志恢复可给予蛋白质饮食,最适宜的选择是( )
A:动物蛋白质
B:蔬菜、水果
C:碳水化合物
D:蛋白质在60g/d以上
E:植物蛋白质
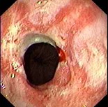
男性,反酸1年,吞咽困难、呕吐1月入院。消瘦貌,无黄疸,心肺、腹部检查无异常。
第1题,共3个问题
(单选题)可加重症状的药物()。
A:抗胆碱能药物
B:胃粘膜保护剂
C:铋剂
D:制酸剂
E:促动力剂
第2题,共3个问题
(单选题)对上述诊断最有帮助的检查是()。
A:食管pH监测
B:胸部CT
C:胃镜检查
D:食管动力检查
E:食管滴酸实验
第3题,共3个问题
(单选题)胃镜检查如下图,诊断首先考虑()。
A:食管癌
B:贲门失迟缓症
C:幽门梗阻
D:反流性食管炎并食管狭窄
E:Barrett食管
患者男,39岁。主诉“间断腹痛、腹泻10余年,加重伴有黏液脓血便1年”入院。该患者10余年前开始出现间断腹泻,最多每日排黄色不成形便3~4次,伴有下腹痛,便后腹痛缓解,未予系统诊治;1年前患者腹痛腹泻症状加重,伴有黏液脓血便,现最多每日10余次,有里急后重,有腹痛便后缓解,伴有腹胀,食欲缺乏,无恶心呕吐,近1年体重下降约5kg。该患者初步诊断不能除外以下哪些疾病()。
A:克罗恩病
B:肠易激综合征
C:大肠癌
D:细菌性痢疾
E:溃疡性结肠炎
F:慢性阑尾炎
以下肾内因素可引起肝肾综合征,除了()。
A:RAAS
B:前列腺素
C:缩血管前列腺素
D:TXA
2
E:血管舒缓素-激肽系统
属于十二指肠黏膜上皮细胞的是()。
A:壁细胞
B:G细胞
C:D细胞
D:杯状细胞
E:主细胞
上消化道大出血的临床表现有()。
A:失血性周围循环衰竭
B:黑粪
C:呕血
D:贫血貌
E:发热
女性,22岁。半年来常感脐周或右下腹痛,伴间歇腹泻,粪便呈糊状,无脓血,右下腹有压痛。全胃肠钡餐检查:回肠末端及盲肠有多段肠曲肠腔狭窄,边缘不整齐,病变之间肠曲正常,最可能的诊断为()。
A:克罗恩病
B:肠结核
C:结肠癌
D:溃疡性结肠炎
E:阿米巴性肉芽肿
男性,65岁,间断咳嗽、咳痰15年,活动后心慌、气短3年。近5天来,发热、咳嗽、咳黄痰、憋气加重,伴尿少、双下肢水肿,以下治疗措施最重要的是()。
A:应用呼吸兴奋剂改善呼吸功能
B:祛痰、止咳、平喘
C:应用利尿剂消除下肢水肿
D:静点酚妥拉明以减轻心脏负荷
E:应用有效抗生素控制肺部感染
重症急性胰腺炎早期可有()。
A:胰腺脓肿
B:C-反应蛋白常>150mg/L
C:肝前区域性门静脉高压
D:肠麻痹及腹膜炎
E:休克
出血坏死型胰腺炎时的Cullen征是指()。
A:胁腹部皮肤呈灰紫色斑
B:脐周皮肤呈灰紫色斑
C:胁腹皮肤青紫
D:脐周围皮肤青紫
E:脐周皮肤红斑
男性,55岁,上腹痛10年,餐后痛,服药有效。近3个月来,腹痛变为无规律,食欲减退,查体轻度贫血貌,上腹压痛,未触及包块,多次粪便隐血(+),应考虑下述哪一项诊断最为适宜( )
A:胃溃疡恶性变
B:胃溃疡并慢性穿孔
C:胃溃疡并胃炎
D:胃溃疡活动期
E:胃溃疡并出血
急性胰腺炎患者区别轻症与重症十分重要,有以下哪些表现者当按重症胰腺炎处理()。
A:血糖>11.2mmol/L
B:有腹膜刺激征,Grey-Turner征或Cullen征
C:血钙显著下降2mmol/L以下
D:临床表现出现休克症状
E:尿淀粉酶突然下降
肝硬化时,门静脉高压症形成的原因有( )
A:小叶下静脉受压
B:肝静脉阻塞
C:肝内血管床减少
D:中央静脉及肝静脉窦受压
E:肝动脉与门静脉异常吻合支形成
首页
<上一页
111
112
113
114
115
下一页>
尾页