自考题库
首页
所有科目
自考历年真题
考试分类
关于本站
游客
账号设置
退出登录
注册
登录
出自:消化内科学高级职称
有关肝癌的的临床表现,下列哪项
不正确
( )
A:不会出现急腹症表现
B:有时表现为膈抬高
C:可完全不痛或仅有轻微钝痛
D:位于肋弓下的癌结节最易被触到
E:有的可在腹壁上听到吹风样血管杂音
胃癌血行播散最常转移到( )
A:肝脏
B:腹膜
C:肺脏
D:肾脏
E:卵巢
结核性腹膜炎最常见的并发症是( )
A:腹腔脓肿
B:肠出血
C:肠穿孔
D:肠梗阻
E:肠结核
慢性腹泻的病程在6~8周以上,常表现为脂肪泻、水泻或炎症性腹泻
病毒性肝炎的基本病变
不包括
( )
A:肝细胞水肿
B:肝细胞嗜酸性变
C:肝细胞坏死
D:肝细胞异型增生
E:小胆管增生
右半结肠由肠系膜上动脉供应
肝性脑病的进水量应限制在每日()。
A:尿量+2000ml左右
B:尿量+1500ml左右
C:尿量+1200ml左右
D:尿量+1000ml左右
E:尿量+700ml左右
形成肝纤维化的主要细胞是( )
A:肝细胞
B:胆管细胞
C:肝星状细胞
D:血管内皮细胞
E:中性粒细胞
与肝硬化腹水形成有关的激素是______________________、______________________;其中使钠重吸收增加的是__________________,使水吸收增加的是____________________,表现为水钠潴留。
重型肝炎
肝肾综合征与下列何种因素最有关( )
A:肾皮质坏死
B:肾皮质血流减少
C:肾乳头坏死
D:肾间质炎症改变
E:胆红素对肾脏的毒性作用
上消化道出血最常见的病因是()。
A:肝硬化食道静脉曲张破裂
B:食管贲门黏膜撕裂综合征
C:消化性溃疡
D:胆道出血
E:胃癌
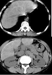
男,40岁有血吸虫感染史,腹胀不适,食欲减退,CT扫描所见如图,最可能的诊断是( )
A:肝炎后肝硬化
B:血吸虫后肝硬化
C:酒精性肝硬化
D:胆汁性肝硬化
E:脂肪肝
肝硬化时,在舒血管物质作用下导致微循环A–V样分流,常引起下列临床表现()。
A:蜘蛛痣
B:皮肤淤斑
C:门脉高压性胃病
D:肝掌
E:男性乳房女性化
女性,28岁,因乏力、食欲下降、厌油、恶心5天,尿黄3天就诊。查体:血压100/70mmHg。皮肤及巩膜黄染,肝肋下2cm,轻度触痛,肝区叩击痛阳性。下列项目中考虑的检查是()。
A:肝功能检查
B:乙肝五项
C:甲肝抗体
D:腹部B超
E:HIV感染的检测
男性,67岁。半个月前出现呼吸困难,逐渐加重,伴消瘦及低热。查体:巩膜无黄染,心肺听诊正常,腹软,无压痛,肝肋下未触及,脾肋下5cm。HBsAg(+);胸片:双肺多发结节影,右侧膈肌抬高。为明确诊断,需要做下列哪项检查()。
A:肺CT
B:PPD皮试
C:胰腺超声
D:肝脏增强MRI
E:胃镜
男性,42岁,呕吐、腹泻两天,意识模糊、烦躁不安半天急诊入院。查体:BP110/70mmHg,神志恍惚,巩膜中度黄染,颈部可见数枚蜘蛛痣,心肺未见异常,腹软,肝肋下未触及,脾肋下3cm,上肢穿刺部位有淤血癍。Hb90g/L,WBC3.2×10
9
/L,血糖7.0mmol/L,尿糖(+),尿酮(-),尿镜检(-)。 最可能的诊断是()。
A:肝硬化,并发肝性脑病
B:高渗性非酮症糖尿病昏迷
C:糖尿病酮症酸中毒
D:脑血管病
E:尿毒症
坏死后肝硬化的特点是( )
A:结节大小不等,纤维间隔厚薄不均
B:结节大小相仿
C:肝脏呈深绿色
D:纤维组织沿门静脉分支大量增生
E:纤维间隔薄而均匀
患者男,64岁。以间歇性上腹痛和腹泻2年来院就诊。既往史:大量饮酒史。查体:腹软,上腹压痛,无反跳痛及肌紧张。如果立位腹平片发现第3腰椎左侧可见结石影,则考虑()。
A:结核性腹膜炎
B:膀胱癌
C:左侧输尿管结石
D:慢性胰腺炎
E:胰腺癌
急性坏死型胰腺炎,哪项不能提示预后不良()。
A:血钙低于7mg
B:血清淀粉酶>1000U
C:血清高铁血红蛋白阳性
D:腰部及脐周皮下呈蓝色斑
E:休克、肠胀气
不能判断是真性黄疸的是()。
A:巩膜黄染
B:掌心黄染
C:足底黄染
D:皮肤黄染
E:血清总胆红素测定
消化性溃疡的发病机制中,所谓损伤因素主要是指()。
A:粗糙食物的损害作用
B:胃酸/胃蛋白酶的消化作用
C:反流的胆汁/胰酶的侵袭作用
D:神经/精神因素的长期作用
E:Hp感染
H
2
受体拮抗剂的作用强而持久且副作用少的是()。
A:法莫替丁
B:雷尼替丁
C:罗沙替丁
D:西咪替丁
E:非那西丁
肝硬化假小叶形成的最主要因素是( )
A:肝细胞变性坏死
B:肝细胞再生
C:纤维结缔组织增生
D:小胆管增生
E:单核淋巴细胞浸润
关于弹性蛋白酶说法正确的是()。
A:可溶解血管弹性纤维引起出血和血栓形成
B:参与胰腺及周围脂肪坏死和液化
C:使血管舒张和通透性增加,引起水肿和休克
D:具有细胞毒副作用,引起胰腺坏死及溶血
E:激活胰蛋白酶原,对食物进行消化
肝性脑病时氨的毒性作用最主要是( )
A:加重肝功能损害
B:对中枢神经系统直接抑制作用
C:影响大脑细胞糖氧化过程,减少能量来源
D:抑制大脑细胞脂肪分解代谢
E:抑制脑细胞蛋白合成和脑细胞变性坏死
以上各疾病
第1题,共1个问题
(配伍题)
最易发生肝癌者( )
最容易合并脂肪肝者( )
血清线粒体抗体阳性者( )
为及时明确呕血的原因应选用下列哪种方法()。
A:上消化道双重对比造影
B:上消化道内镜检查
C:选择性腹腔血管造影
D:MRI检查
E:B超检查
重型肝炎时应用“乳果糖”的目的是()。
A:增加肝脏营养
B:补充能量
C:减少氨吸收
D:减少肝功能坏死
E:增加肝细胞增生
男,43岁,有胃溃疡病史10年,近3个月疼痛加剧并失去节律性,伴嗳气,无呕吐,换用多种制酸药无效。查体:颈浅淋巴结无肿大,腹平软,上腹轻压痛,可扪及肿块,质硬。 就已有资料考虑,最可能的诊断是()。
A:伴穿透性溃疡
B:伴幽门梗阻
C:伴上消化道出血
D:复合性溃疡
E:胃溃疡癌变
首页
<上一页
92
93
94
95
96
下一页>
尾页