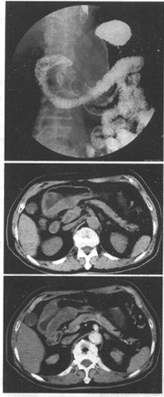
患者,女,57岁。上腹疼痛,不易缓解,吐咖啡色血液。上消化道造影检查示,胃窦部胃壁运动僵硬。行上消化道钡餐CT检查,如图。

第1题,共4个问题
(单选题)该患者应首先考虑的诊断是()
A:胃恶性间质瘤
B:胃溃疡
C:胃黑色素瘤
D:胃癌
E:胃Crohn病
F:胃肉瘤
第2题,共4个问题
(多选题)关于该病转移方式描述不正确的是()
A:经淋巴结转移首先可分别转移到幽门上组、下组、胃上组或脾胰组
B:可通过胸导管转移到肺门淋巴结或左锁骨上淋巴结
C:通过门静脉转移到肝内十分常见
D:肺、骨转移较常见
E:晚期可种植于腹膜、卵巢或直肠陷凹上
F:以上都对
第3题,共4个问题
(多选题)该疾病的早期分型中,哪些说法是正确的()
A:Ⅰ型:隆起型
B:Ⅱ型:浅表型
C:Ⅱa型:浅表凹陷型
D:Ⅱb型:浅表平坦型
E:Ⅱc型:浅表隆起型
F:Ⅲ型:凹陷型
第4题,共4个问题
(多选题)下列关于该疾病的CT检查的说法正确的是()
A:CT检查的价值在于有助于分期、治疗计划的制订及疗效观察
B:Ⅰ期限于腔内肿块,无胃壁增厚,无邻近或远处转移
C:Ⅱ期胃壁厚度>1cm但未超出胃壁
D:凡有胃周淋巴结肿大的均属于晚期胃癌
E:Ⅲ期胃壁增厚,侵犯邻近器官,但无远处转移
F:Ⅳ期有远处转移的征象