自考题库
首页
所有科目
自考历年真题
考试分类
关于本站
游客
账号设置
退出登录
注册
登录
出自:消化内科学高级职称
慢性萎缩性胃体胃炎胃酸分泌↓,血清促胃液素↑
下列疾病所致的腹泻
不属于
分泌性腹泻的是()。
A:慢性肠炎
B:胃泌素瘤
C:肠易激综合征
D:霍乱
E:血管活性肽瘤
酒精性肝炎的特征性的酶学改变是转氨酶的升高以______________较为明显。
女性患者,50岁。腹腔积液半年,5天前反复呕血、黑便,经抢救治疗后好转,近2日来嗜睡,定向力下降。除了减少血氨,下列措施还能促进体内氨代谢的是()。
A:益生菌
B:L-鸟氨酸-L-门冬氨酸
C:纠正低钾血症
D:谷氨酸钠
E:弱酸灌肠
F:谷氨酸钾
治疗急性出血糜烂性胃炎(包括应激性溃疡)并发出血的最主要方法是()。
A:应用增加血液凝固性的药物
B:将胃内容平pH提高到5以上
C:降低胃壁温度,减少血流量
D:组胺受体拮抗剂如异丙嗪
E:抗胆碱能药物
患者男,45岁,因肝硬化失代偿期行肝移植术,术后第7天出现发热,右上腹胀痛,分泌胆汁颜色变淡。首选考虑的处理措施为()。
A:激素冲击治疗,增加环孢素A或FK506用量
B:切除移植肝,再次肝移植
C:剖腹探查,摘除门静脉血栓
D:剖腹探查,修补胆肠吻合口瘘
E:行血管造影检查
F:抗病毒治疗
急性腹痛发病1周后,对胰腺炎较有诊断价值的检查为( )
A:白细胞计数及分类
B:血清淀粉酶
C:空腹血糖
D:血清脂肪酶
E:尿淀粉酶
女,26岁,反复排粘液血便,腹痛6年,加重1个月。每天排便次数8~10次不等,为鲜红色血便,便后腹痛可部分缓解,无里急后重感,无发热。胃纳较好;体重下降1kg。查体:T37.2℃,心肺无异常,全腹软,左侧腹有轻压痛,无反跳痛,肝脾不大,肠鸣音8~10次/分。 如大便细菌培养、真菌培养、找阿米巴均阴性,则上述病例的治疗应首选( )
A:抗生素
B:替硝唑
C:SASP
D:5-氨基水杨酸(5-ASA)
E:糖皮质激素
我国原发性肝癌最常见的病因是()。
A:乙型肝炎
B:丙型肝炎
C:血吸虫病
D:亚硝胺类化合物
E:甲型肝炎
患者,男,60岁。间断腹痛、腹胀20余年,加重3个月。表现为右下腹钝痛,有包块形成;并伴有低热,进行性消瘦、乏力;大便4~5次/1日,略不成形。查:血Hb10.4S/L,便潜血(—~±)。则首应考虑为()。
A:左半结肠癌
B:右半结肠癌
C:横结肠癌
D:降结肠癌
E:直肠癌
男性,52岁,低热,肝区胀痛2个月并消瘦,近3周发现尿黄、巩膜黄染。18年前发现HBsAg阳性,8年前被诊断为肝硬化。 该患者尤其不能遗漏的化验项目是( )
A:血清免疫球蛋白
B:T细胞亚群
C:血沉
D:AFP
E:HBV-DNA
急性胰腺炎的局部并发症为_____________、_______________。
原发性肝癌单纯型( )
原发性肝癌炎症型( )
原发性肝癌硬化型( )
A:有或无肝硬化表现,有持续性发热及谷丙转氨酶增高
B:迅速肿大的压痛性肿块,突然出现腹膜刺激征
C:无肝硬化的表现,肝功能试验基本正常
D:颈静脉充盈,肝大,肝颈静脉回流征阳性
E:有肝硬化表现,肝功能改变符合肝硬化
女性,45岁。上腹不适3年,餐前痛,胃肠钡透示十二指肠球部变形,近日疼痛加重,向腰背部放散,该患者最可能的诊断是()。
A:胃癌
B:上消化道出血
C:急性胃黏膜病变
D:十二指肠球部溃疡穿孔
E:胃溃疡
反流性食管炎的治疗措施,除外()。
A:少进高脂食物
B:口服雷尼替丁
C:口服莫沙必利
D:口服阿托品
E:睡时将床头抬高10~15cm
试述肝性脑病时,为什么用弱酸灌肠?
肝硬化失代偿期病人常见的电解质紊乱有________________________,____________________________,____________________________。
女性,54岁。有胆囊结石病史8年。上腹剧痛2日,向腰部放射,伴恶心、呕吐,血淀粉酶升高2倍,以下最有价值的检查是()。
A:腹部X线平片
B:上消化道钡餐
C:心电图
D:腹部CT
E:胃镜
男,34岁,早餐后解黄色成形大便,当起身时突然晕倒在地,面色苍白,大汗。既往体健。查体:血压12.0/10.6kPa(90/80mmHg),脉搏124次/分,神清,四肢湿冷;心律整,无杂音;腹平软,肠鸣音明显增多。血常规正常。最可能的诊断是( )
A:上消化道大出血
B:感染性休克
C:一过性晕厥
D:低血糖反应
E:心源性休克
急性重症胰腺炎的体征中没有()。
A:全腹明显压痛
B:Courvoisier征
C:Cullen征
D:Grey-Turner征
E:移动性浊音
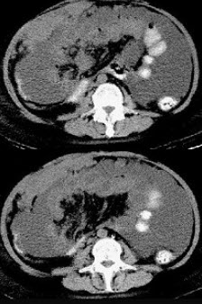
男,51岁,直肠癌术后一年,腹胀,纳差,消瘦,影像检查如图,最可能的诊断是( )
A:直肠癌肝转移
B:直肠癌网膜转移
C:肝硬化腹水
D:术后改变
E:肠梗阻
慢性药物性肝病Ⅰ型主要的自身抗体是()。
A:ANA和ASMA
B:LKM1和LKM2
C:SLA或LP
D:RA
E:无
怀疑肝癌时,最常见的检查是()。
A:X线胆道造影
B:放射性核素肝扫描
C:动态观察AFP改变
D:酶学
E:肝穿刺活组织检查
男性,15岁,摔伤后左膝关节肿胀,疼痛。体检示左膝关节局部肿胀,压痛明显,膝关节及其周围有大片瘀斑,其兄有血友病A病史。除下列哪项实验室检查外,均有助于该患者的诊断()。
A:CT
B:RT
C:PT
D:ACT
E:APTT
男性,39岁,因反复腹胀2年加重伴腹痛12小时就诊,有10余年乙肝病史。体检:体温38.7℃,血压75/50mmHg,脉搏120次/分,肝病面容,重度贫血貌,巩膜中度黄染。肝掌阳性。全腹有压痛及肌紧张,无反跳痛,肝肋下未及,剑下4cm,质地硬,肝区有叩痛.脾肋下未及,移动性浊音(+)。肝功示:A/G25/36g/L,ALT145U/L,AST262U/L,GGT912U/L,ALP438U/L,TB94μmol/L,DB47μmol/L,血红蛋白54g/L,WBC3.8×10/L,N0.78,L0.22,PLT52×10/L。问:该病人的诊断及诊断依据?还应作哪些检查尽快明确诊断。
提示急性胰腺炎预后不良反应的指标是()。
A:血钙低于1.75mmol/L
B:血清淀粉酶超过500U(Somogyi单位)
C:淀粉酶,肌酐清除率比值超过正常3倍
D:血清淀粉酶升高持续不降超过5天
E:血钾、血镁同时降低
原发性肝癌的临床表现有__________,__________,____________。___________.
有关丙氨酸转氨酶的正确说法有( )
A:是诊断肝炎的重要指标
B:急性肝炎黄疸出现前即升高
C:升高程度与黄疸一致
D:升高一定是病毒性肝炎
E:升高有助于肝炎的诊断
患者男,50岁。乙肝后肝硬化8年,腹水半年,5天前反复呕血黑便,经抢救治疗后好转,近2日来嗜睡,定向力下降。查体:可见肝掌,扑翼样震颤阳性。化验及检查:血氨156μmol/L,血糖5.6mmol/L;头CT:未见异常。如果该患者昏迷后,家属迫切希望患者立即清醒,可给予下列哪种药物()。
A:氟马西尼
B:苯巴比妥
C:苯妥英钠
D:异丙嗪
E:氯苯那敏
F:吗啡
下列哪项不是胃泌素瘤引起的消化性溃疡的特点( )
A:多发生在球后十二指肠降段和横段,或空肠近端
B:多发性溃疡
C:正规治疗后不易复发
D:高胃酸分泌
E:高空腹血清胃泌素
首页
<上一页
90
91
92
93
94
下一页>
尾页