自考题库
首页
所有科目
自考历年真题
考试分类
关于本站
游客
账号设置
退出登录
注册
登录
出自:内分泌学高级职称
原发性醛固酮增多症特征性的实验室改变是_______、______、___和_______。
关于甲状腺功能减退症患者发生贫血的原因,下列说法
不正确
的是( )
A:甲状腺激素缺乏引起血红蛋白合成障碍
B:甲状腺激素缺乏引起血红蛋白破坏增多
C:肠道吸收铁障碍引起铁缺乏
D:肠道吸收叶酸障碍引起叶酸缺乏
E:恶性贫血
女性,33岁,4年来体重明显增加,最高75kg,半年前工作单位体检发现血糖高,多次查空腹血糖8~9mmol/L,被诊断为“2型糖尿病”,结婚10年,3年来月经稀发,未生育,弟弟患糖尿病。经饮食控制、适当运动和服用二甲双胍半年,体重下降10kg,月经恢复正常,目前停经2个月,被诊断为8周宫内妊娠。身高160cm,体重65kg,血压130/85mmHg,可见黑棘皮,无皮肤紫纹。血皮质醇正常,尿糖阳性,酮体阴性。
第1题,共3个问题
(单选题)下一步应该如何治疗()。
A:继续服用二甲双胍
B:可以改用格列喹酮
C:采用胰岛素治疗
D:胰岛素合用二甲双胍
E:二甲双胍治疗效果不佳时,加用磺脲类药物
第2题,共3个问题
(单选题)此例患者在糖尿病初诊时,最应考虑排除()。
A:皮质醇增多症
B:缓慢进展1型糖尿病
C:特发1型糖尿病
D:多囊卵巢综合征
E:B细胞功能遗传性缺陷
第3题,共3个问题
(单选题)此例病人应该诊断为()。
A:妊娠期糖尿病
B:糖尿病合并妊娠
C:1型糖尿病
D:LADA
E:MODY
发生低血糖的危险因素包括()。
A:胰岛素或类似物质过多
B:胰高血糖素、肾上腺素、皮质醇等升糖激素不足
C:迷走神经过度兴奋
D:糖摄入不足和(或)吸收严重不足
E:肝糖原储存、分解不足
产后甲状腺炎历经:______、______和________三个阶段。
下列激素不属肽类激素的是()。
A:生长激素释放因子(GHRF.
B:生长激素(GH)
C:卵泡刺激素(FSH)
D:雌激素
E:泌乳素(PRL)
女,30岁,患高血压1年,血压在(180~230)/(100~120)mmHg之问,有时感手足乏力麻木,夜尿增多。查体:血钾3.5mmol/L,血浆醛固酮4000μg/L。下列何项检查可鉴别原发性与继发性醛固酮增多症( )
A:血浆肾素、血管紧张素Ⅱ活性测定
B:赛庚啶试验
C:血浆ACTH测定
D:上午直立位前后血浆醛固酮浓度变化
E:放射性碘化胆固醇肾上腺扫描或照相
磺脲类口服降糖药(SUs)的作用机制。
抗甲状腺药物加甲状腺片维持治疗达半年以上的甲亢,甲状腺肿不见缩小,血管杂音不减弱,此时恰当的治疗措施应为()。
A:抗甲状腺药物与碘剂联合使用
B:抗甲状腺药物与心得安联合使用
C:硫脲类与咪唑类联合使用
D:停药观察
E:以上都不对
60岁甲亢病人,甲状腺Ⅲ°肿大,高代谢症状严重,肝、肾功能正常。首选的治疗措施为()。
A:立即手术
B:立即
131
I治疗
C:复方碘溶液治疗2周后手术
D:抗甲状腺药物控制症状后手术
E:抗甲状腺药物长期治疗
患者,女性,21岁,消瘦,多饮2个月,咽痛,发热3天,意识不清4小时。提示:患者胰岛素释放试验低平型提问:较好的治疗方案是()。
A:运动疗法+饮食疗法+胰岛素
B:饮食疗法+胰岛素
C:运动疗法+胰岛素
D:单纯胰岛素治疗
E:甲福明+饮食疗法,必要时加胰岛素
女,27岁,头晕伴全身乏力、夜尿增多1年多。血压160/105mmHg,血钾2.1mmol/L。 如果特发性醛固酮增多症诊断成立,应首先选用下列哪种治疗措施( )
A:安体舒通
B:氨基导眠能
C:米托坦
D:酮康唑
E:手术治疗
导致醛固酮增多的病因除外()。
A:肾上腺皮质醛固酮分泌腺瘤
B:肾上腺皮质球状带增生
C:肾动脉狭窄
D:肾素瘤
E:Liddle综合征
Addison病指继发性肾上腺皮质功能减退症。
女性,45岁。肥胖多年,口渴5个月,糖化血红蛋白7.9%,空腹血糖7.9mmol/L,饭后2小时血糖12.Immol/L。
第1题,共2个问题
(单选题)本患者可诊断为()。
A:1型糖尿病
B:肾性糖尿
C:食后糖尿
D:2型糖尿病
E:类固醇性糖尿病
第2题,共2个问题
(单选题)本患者应首选下列哪种药物或治疗方法()。
A:促泌剂
B:磺脲类降糖药
C:胰岛素
D:饮食治疗+双胍类
E:糖苷酶抑制剂
简述Cushing综合征的糖代谢障碍表现?
病人有轻度甲状腺功能亢进症状,血清总甲状腺素检查正常。下列有助于诊断的检查为()。
A:血清蛋白结合碘测定
B:甲状腺摄
131
I率测定
C:甲状腺激素结合试验
D:血清总三碘甲状腺原氨酸测定
E:基础代谢率测定
甲状腺激素属于( )
A:氨基酸类激素
B:蛋白质激素
C:肽类激素
D:类固醇激素
E:胺类激素
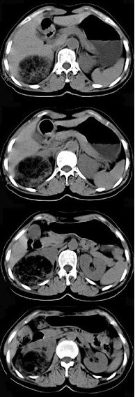
女,53岁,右侧轻度腰背酸痛,行CT检查,如图所示,可能的诊断为( )
A:右肾上腺髓样脂肪瘤
B:右肾上腺腺瘤
C:右肾上腺嗜铬细胞瘤
D:右腹膜后脂肪瘤
E:右肾血管平滑肌脂肪瘤
判断糖尿病疗效较好的指标是()。
A:尿糖
B:糖化血红蛋白
C:空腹血糖
D:血糖
E:血中胰岛素
近来研究提示Graves病的发病与下列哪种细菌感染有关()。
A:大肠杆菌
B:幽门螺杆菌
C:α链球菌
D:耶尔森菌
E:肺炎球菌
不依赖ACTH的Cushing综合征包括_______、_____、_____和_______。
病历摘要:患者,女性,28岁,因“突眼10天”来诊。10天患者由他人发现双眼突眼,无自觉视力下降,双眼干涩,眼花视矇。详细询问病史发现患者近2月来体重下降20斤,月经稀少,脾气变躁。既往体健。
第1题,共8个问题
(多选题)下列哪一种(或哪几种)指标异常有助于诊断甲状腺功能亢进症?()
A:TT3
B:TT
4
C:FT3
D:FT
4
E:TSH
F:TRAb
第2题,共8个问题
(单选题)下列哪一种(或哪几种)指标或检查有助于判断甲状腺功能亢进症是原发性抑或继发性?()
A:FT3
B:FT
4
C:TSH
D:rT3
E:TRAb
F:甲状腺核素扫描
第3题,共8个问题
(多选题)下列哪一种(或哪几种)检查可用于明确浸润性突眼的诊断?()
A:无需检查,有甲状腺功能亢进症伴突眼就一定是浸润性突眼
B:眼部CT
C:眼部MRI
D:眼部核素扫描
E:眼部彩色多普勒检查
F:眼底镜
第4题,共8个问题
(单选题)对于Graves病的诊断,下列叙述正确的是?提示:(①甲状腺功能亢进症,②甲状腺肿大呈弥漫性性,③浸润性突眼,④TRAb和TSAb阳性,⑤其它甲状腺自身抗体阳性,⑥胫前粘液水肿)()。
A:具备①即可诊断
B:具备①②方可诊断
C:具备①②③方可诊断
D:具备①②③④方可诊断
E:具备①②③④⑤方可诊断
F:具备①②③④⑤⑥方可诊断
第5题,共8个问题
(多选题)对于甲状腺功能亢进症伴浸润性突眼的治疗需要用到下列哪一种(或哪几种)药物或措施?()
A:他巴唑
B:利尿剂
C:L-T
D:四环素眼膏
E:泼尼松
F:甲基泼尼松龙
第6题,共8个问题
(多选题)对于甲状腺功能亢进症伴浸润性突眼的治疗,下列说法正确的是?()
A:控制甲状腺功能亢进症,首选抗甲状腺药物
B:控制甲状腺功能亢进症,首选手术
C:控制甲状腺功能亢进症,首选放射碘
D:夜间高枕卧位
E:夜间睡平板床
F:考虑合用L-T
4
第7题,共8个问题
(多选题)患者可能还会伴有下列哪一种(或哪几种)症状体征?()
A:易饥
B:多食
C:多尿
D:夜尿增加
E:尿频
F:尿急
第8题,共8个问题
(单选题)该患者主要考虑下列哪一种(或哪几种)疾病?()
A:先天发育畸形
B:眼部恶性肿瘤
C:眼部良性肿瘤
D:眼部感染
E:甲状腺功能亢进症
F:甲状腺功能减退症
抗甲状腺药物治疗中如症状缓解而甲状腺肿或突眼加重,应该如何处理( )
A:增加抗甲状腺药物剂量
B:抗甲状腺药酌情减量,加用甲状腺素
C:停用抗甲状腺药物
D:加用碘剂
E:加用β受体阻滞剂
关于原发性醛固酮增多症的实验室检查,叙述正确的是()。
A:高醛固酮、高肾素活性、高皮质醇
B:高醛固酮、低肾素活性、高皮质醇
C:高醛固酮、高肾素活性、低皮质醇
D:高醛固酮、低肾素活性、正常皮质醇
E:低醛固酮、低肾素活性、正常皮质醇
女性,28岁。近2周来感颈前部及咽部疼痛,伴怕热、心慌、多汗,全身乏力不适就诊。体检:体温38℃,消瘦、皮肤多汗。无突眼。甲状腺Ⅰ度肿大,双侧均有压痛。杂音(-),双手细微震颤(+)。
第1题,共4个问题
(单选题)关于本病的预后,下列哪项是正确的()。
A:偶可复发,一般不影响甲状腺功能
B:最终演变为甲状腺功能减退
C:可演变为桥本甲状腺炎
D:可演变为甲状腺功能亢进
E:可演变为硬化性甲状腺炎
第2题,共4个问题
(单选题)在初诊印象中,最可能的诊断是()。
A:桥本甲状腺炎
B:甲状腺功能亢进
C:桥本甲状腺炎伴甲状腺功能亢进
D:亚急性甲状腺炎
E:急性化脓性甲状腺炎
第3题,共4个问题
(单选题)如果你的初步诊断是正确的,在实验室检查结果中,最可能见的哪一组表现()。
A:血沉加快,T
3
↑,T
4
↑,吸碘率↑
B:血沉加快,T
3
↑,T
4
↑,吸碘率↓
C:血沉加快,T
3
↓,T
4
↓,吸碘率↓
D:血沉加快,TCA↑,MCA↑,化吸碘率↑
E:血沉加快,T
3
↑,T
4
↑,TRAb↑
第4题,共4个问题
(单选题)对于本病的治疗,下列哪项是不合理的()。
A:口服阿司匹林
B:糖皮质激素
C:吲哚美辛(消炎痛)
D:抗甲状腺药物
E:中草药
下列哪项不符合Sheehan综合征的诊断
A:血中T、T下降
B:闭经,腋毛、阴毛脱落
C:血中皮质醇下降
D:常有产后大出血史
E:视野狭窄
对糖尿病合并高血压患者常需联合降压,其方案
不包括
()。
A:ACEI与利尿剂
B:CCB与β-受体阻滞剂
C:ACEI与CCB
D:ARB与利尿剂
E:ACEI与ARB
下述哪个器官
不属于
经典内分泌腺()。
A:甲状腺
B:前列腺
C:肾上腺
D:垂体
E:性腺
淡漠型甲亢的临床特点有( )
A:多见于老年人
B:起病隐袭、神情淡漠、嗜睡、反应迟钝
C:眼征、甲状腺肿明显
D:消瘦明显
E:甲亢症状多不典型,有时有厌食、腹泻或心律失常
首页
<上一页
84
85
86
87
88
下一页>
尾页