自考题库
首页
所有科目
自考历年真题
考试分类
关于本站
游客
账号设置
退出登录
注册
登录
出自:内分泌学高级职称
应用二甲双胍时,下列何项是错误的( )
A:诱发乳酸性酸中毒
B:易见胃肠道反应
C:偶可有皮疹
D:肥胖者不宜使用
E:肝、肾功能不全者禁忌使用
糖尿病酮症酸中毒时,早期过多补碱的主要危害是( )
A:代谢性碱中毒
B:低血氯
C:脑水肿
D:低血钙
E:代谢性酸中毒
患者,男,16岁,近半年来多尿,多饮,查空腹血糖16mmol/L,酮体(+)。查体:身高1.70m,体重50kg,心、肺、腹检查无明显异常。
第1题,共3个问题
(单选题)全天热卡摄入应为()。
A:1500~1800cal
B:1800~2000cal
C:2100~2500cal
D:2500~2700cal
E:以上都不是
第2题,共3个问题
(单选题)其他有关饮食的安排正确的是()。
A:饮食方案与确诊前一样
B:脂肪占总热量的15%
C:碳水化合物为总热量的40%~55%
D:蛋白质摄入量为每千克体重1.5~2.0g
E:开始使用药物治疗后血糖降至正常即可增加食量
第3题,共3个问题
(单选题)根据该患者情况,最佳治疗方案是()。
A:葡萄糖酐酶抑制剂+双胍类口服降糖药
B:磺脲类口服降糖药+双胍类口服降糖药
C:短效胰岛素+磺脲类口服降糖药
D:磺脲类口服降糖药+葡萄糖酐酶抑制剂
E:短效胰岛素3次+中长效胰岛素
中年女性,反复发作肌无力及周期性瘫痪,伴夜尿多、口渴、多饮。入院检查:BP160/100mmHg,血钾3.0mmol/L,醛固酮高而肾素、血管紧张素Ⅱ低。诊断考虑( )
A:继发性醛固酮增多症
B:原发性醛固酮增多症
C:Cushing综合征
D:假性盐皮质激素过多综合征
E:1iddle综合征
病历摘要:患者,男性,36岁,确诊糖尿病1周,体检为发现明显异常。糖尿病饮食治疗中,对于食盐摄取的提法,下列哪一种(或哪几种)是正确的?()
A:糖尿病主要是血糖异常,因此食盐不需限制
B:Ⅰ型糖尿病需要限制食盐,Ⅱ型糖尿病不用限制食盐
C:Ⅰ型糖尿病不需要限制食盐,Ⅱ型糖尿病应该限制食盐
D:只要确诊糖尿病就必须限制食盐
E:糖尿病如果血压不高,可以不限制食盐;如果血压有异常,应该限制食盐
F:糖尿病如果血压不高或是没有出现高血压并发症,可以不限制食盐,如果出现高血压并发症则,应该限制食盐
患者女,30岁,糖尿病人,怀孕已3个月。 在下列哪种情况下应建议病人终止妊娠()。
A:糖尿病神经病变
B:糖尿病白内障
C:糖尿病眼底微血瘤及视网膜增殖期病变
D:青光眼
E:糖尿病性骨质疏松
一新诊断为糖尿病的患者,用胰岛素治疗后第7天,血糖下降至正常,但突然视力模糊,最可能的原因是( )
A:已有白内障
B:晶状体渗透压改变
C:视网膜微血管病变
D:合并青光眼
E:玻璃体出血
一患者血皮质醇40μg/dl,小剂量地塞米松抑制后尿游离皮质醇为26μg/dl,为进一步确诊皮质醇增多症的病因,下列何种检查无意义( )
A:皮质醇昼夜节律测定
B:大剂量地塞米松抑制试验
C:ACTH兴奋试验
D:蝶鞍照片
E:尿游离皮质醇测定
关于甲亢的药物保守疗法,错误的是()。
A:用药至少应持续1.5~2年以上
B:适用于年轻,轻度甲状腺肿大和轻中度重的甲亢病人
C:可用摄
131
I率来判断甲亢是否控制
D:如甲状腺较前肿大和血管杂音更明显,可加用甲状腺片
E:三碘甲状腺原氨酸抑制试验正常,可以停药
成人糖尿病酮症酸中毒胰岛素治疗采用()。
A:每4小时静脉注射50U胰岛素
B:每4小时静脉滴注5~10U胰岛素
C:每2小时静脉滴注3~10U(PZI)
D:每小时静脉滴注4~6U胰岛素
E:每注时静脉滴注5~10U(PZI)
硫脲类药物属于口服降糖药物
DKA发生的诱因有( )
A:感染
B:停用或减用胰岛素
C:妊娠与分娩
D:创伤、手术
E:精神创伤
患者,男,60岁,呕吐、腹泻3天,神志不清伴抽搐2小时。糖尿病史10年,不规则口服降糖药治疗。
第1题,共3个问题
(单选题)体检重点()。
A:血压
B:神经定位体检
C:皮肤粘膜湿度
D:体温
E:腹部检查
第2题,共3个问题
(单选题)确诊最有价值的检查是()。
A:血糖、电解质
B:腹部B超
C:脑电图检查
D:脑CT
E:呕吐及排泄物送检
第3题,共3个问题
(单选题)采集病史应注意()。
A:不洁饮食史
B:癫痫史
C:尿量
D:冠心病、高血压史
E:胃肠道疾病史
60岁,男性,身高167cm,体重76kg,近3个月来出现烦渴,多饮,多尿,体重下降9kg,至医院查空腹血糖为6.8mmol/L,下一步应该进行什么检查或处理( )
A:可能是尿崩症
B:可诊断为糖尿病
C:应测定尿糖以明确诊断
D:应进行OGTT试验
E:可诊断为空腹血糖受损
垂体性Cushing病的临床表现主要为()。
A:向心性巴胖、满月脸、多血质、紫纹
B:无典型表现,往往以并发症就诊
C:以高血压为主,肥胖、向心性不够显著
D:体重减轻、浮肿、低血钾性碱中毒
E:以上都不对
治疗糖尿病酮症酸中毒,最初输生理盐水,当血糖降至多少时,则改输5%的葡萄糖溶液加胰岛素()。
A:5.6mmol/L
B:13.9mmol/L
C:11.9mmol/L
D:8mmol/L
Cushing病的首选疗法是经蝶窦切除垂体微腺瘤。
患者,男,58岁,1型糖尿病10年,因双下肢麻木,左足被刺刺破后持久不愈且越发严重,来院诊治。右足如图所示,下肢糖尿病足形成与下列哪项相关( )
A:微血管病变
B:下肢远端神经病变
C:肢体外周动脉粥样硬化
D:感染
E:骨质疏松
受体的两个主要功能是_________和________。
磺脲类降糖药的主要作用机制促进胰岛B细胞释放胰岛素
60岁,男性,身高167cm,体重76kg,近3个月来出现烦渴,多饮,多尿,体重下降9kg,至医院查空腹血糖为6.8mmol/L,下一步应该进行什么检查或处理( )
A:可能是尿崩症
B:可诊断为糖尿病
C:应测定尿糖以明确诊断
D:应进行OGTT试验
E:可诊断为空腹血糖受损
女性,40岁,糖尿病病史3年,体重下降10kg。因服用格列齐特240mg/日,空腹血糖控制在9~10mmol/L,餐后两小时13mmol/L左右,HbAlc8.5%,尿检查酮体反复阳性,改用胰岛素治疗2个月余,HbAlc下降至7%。父亲患糖尿病,BMI25kg/m
3
,ICA阴性,GAD抗体阳性。
第1题,共3个问题
(单选题)下面哪些检查有助于治疗方案的确定()。
A:果糖胺测定
B:评估胰岛B细胞功能
C:评估胰岛素敏感性
D:基因诊断
E:查胰岛素抗体
第2题,共3个问题
(单选题)此例患者最可能的诊断是()。
A:2型糖尿病,磺脲类药物失效
B:特发1型糖尿病
C:缓慢进展1型糖尿病
D:MODY
E:无法分型
第3题,共3个问题
(单选题)此例患者最好的治疗方案应该选用()。
A:停用胰岛素治疗,换用其他磺尿类药物
B:停用胰岛素,换用α-糖苷酶抑制剂
C:胰岛素增敏剂
D:继续原治疗方案不变
E:合用α-糖苷酶抑制剂、胰岛素增敏剂和双胍类
硫脲类抗甲状腺药物的主要作用是( )
A:使体内甲状腺激素作用减弱
B:抑制碘的吸收
C:抑制甲状腺激素合成
D:抑制甲状腺激素的释放
E:抑制促甲状腺激素的作用
用放射碘治疗甲状腺功能亢进症,最常见的并发症是()。
A:甲状腺癌变
B:血小板减少
C:甲状腺功能减退症
D:甲状腺功能亢进危象
E:白血病
患者女,23岁,11岁时因“身材矮小”就诊,行染色体核型检查为45,XO/46,XX,确诊Turner综合征,应用生长激素治疗。至15岁时,身高由120cm增至143cm。16岁开始出现自发性月经来潮,月经周期30d,经量略少,第二性征发育,阴毛、腋毛生长。22岁结婚,性生活正常,拟近期怀孕,来院进行优生优育咨询。查体:BP120/80cm;智力发育正常;无颈蹼和肘外翻;心、肺听诊无异常。如果患者自然受孕成功,妊娠前后必须注意()。
A:受孕前全面评价身体各个系统的功能
B:定期产前检查,观察胎儿发育有无畸形
C:择时行绒毛膜活检或者羊水检查,明确胎儿染色体有无异常
D:如果发现胎儿发育存在明显畸形和染色体异常,考虑终止妊娠
E:如出现自发性流产,可以考虑采用正常供者卵子进行人工辅助生育
F:新生儿出生后再次进行染色体检查,明确有无染色体异常
低T综合征
成人隐匿自身免疫糖尿病(1ADA)属于2型糖尿病。
关于他巴唑治疗甲亢的作用机制,下述哪一点是错误的()。
A:抑制甲状腺过氧酶活性
B:抑制碘的活化
C:抑制酯氨酸碘化
D:抑制碘化酪氨酸的组合
E:抑制甲状腺素的释放
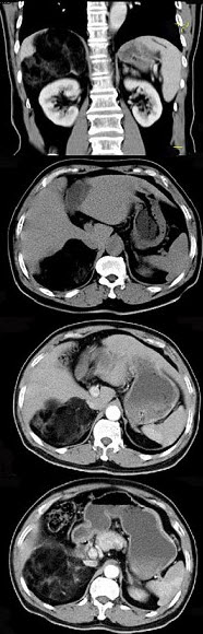
男,59岁,右侧腰背酸痛,CT检查如图所示,应诊断为( )
A:右肾上腺腺瘤
B:右肾上腺转移瘤
C:右肾上腺髓样脂肪瘤
D:右腹膜后脂肪瘤
E:右肾血管平滑肌脂肪瘤
有关血脂异常患者饮食治疗的原则,下列哪项是错误的( )
A:饱和脂肪酸摄入可以增加胆固醇的合成
B:不饱和脂肪酸可以降低胆固醇和LDL-C,因此可以大量摄入
C:饮食中的碳水化合物应以谷类为主
D:应较多进食富含纤维的食物
E:可增加饮食中的抗氧化性维生素
首页
<上一页
80
81
82
83
84
下一页>
尾页