自考题库
首页
所有科目
自考历年真题
考试分类
关于本站
游客
账号设置
退出登录
注册
登录
出自:消化内科学高级职称
能演变为胃癌的良性胃部疾病,
不正确
的是( )
A:胃息肉
B:残胃
C:萎缩性胃炎
D:浅表性胃炎
E:胃溃疡
下列对肝细胞的描述,正确的是()。
A:多倍体细胞多
B:多倍体的细胞功能不活跃
C:常含有2个细胞核
D:胞质呈嗜酸性
E:细胞器发达
药物治疗改善LES功能状态,首选()。
A:西咪替丁
B:甲硝唑
C:奥美拉唑
D:莨菪碱
E:莫沙必利
慢性萎缩性胃炎的病理诊断依据最重要的是()。
A:腺体部分或全部萎缩
B:胃小凹延长
C:腺体颈部细胞增生
D:胃黏膜层及纤维组织增生
E:胃黏膜有较大量炎细胞浸润
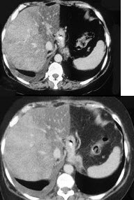
男,66岁,肥胖,有糖尿病史,CT检查如图,最可能的诊断是( )
A:局灶性脂肪肝
B:肝硬化肝癌
C:肝血管瘤
D:肝胆管细胞癌
E:肝淋巴管瘤
女性,58岁。胃溃疡病史20年,近2个月来发生瘢痕性幽门梗阻,在出现的临床特点中,下列哪项不符合实际情况()。
A:呕吐量大,多发生于傍晚
B:呕吐物中有食物和胆汁
C:可见胃型及蠕动波
D:呕吐物中有酸臭味和宿食
E:可出现低氯低钾性碱中毒
男性,67岁,反复咳嗽、咳痰、气喘30年,近期因“感冒”后再发,伴咳黄色脓性痰。查体:口唇发绀,双肺可闻及干、湿啰音,双下肢水肿。最可能的疾病是()。
A:大量气胸
B:急性左心衰竭
C:高铁血红蛋白血症
D:急性呼吸道梗阻
E:肺心病并右心衰
下列各项中哪项是食管癌最典型的临床症状( )
A:咽下疼痛
B:食管反流
C:进行性咽下困难
D:上消化道出血
E:消瘦、恶病质
64岁男性,间歇腹胀、腹痛,停止排便、排气1个月,加重10天急诊入院者可初步明确的诊断为()。
A:肠易激综合征
B:炎症性肠病
C:肠梗阻
D:胃食管反流病
E:便秘
F:肝癌
男性,45岁。1年前确诊为肝硬化,近1月来有腹胀,经检查有腹水,肝未扪及,脾肋下2cm,入院前1天突然出现剧烈腹痛,继之发热,便血,休克,腹水迅速增长,脾增大,最可能的并发症是()。
A:原发性肝癌
B:自发性腹膜炎
C:食管静脉曲张破裂出血
D:门静脉血栓形成
E:腹腔感染
男性,60岁,明显厌食,胃胀满1个月,结膜苍白,上腹部有轻度压痛,肝大胁下1.0cm脾未触及,应首选下列哪项检查()。
A:血常规、网织红细胞
B:血清促胃液素测定
C:腹部肝脾B型超声检查
D:胃肠钡餐X线检查
E:胃镜检查
男,50岁,已诊断为肝硬化5年,近2年便秘,1个月前钡灌肠检查正常,钡餐发现食管静脉曲张,5天前起解新鲜血便。最可能引起血便的原因是( )
A:慢性乙状结肠炎、直肠炎
B:慢性溃疡性结肠炎
C:早期结肠癌
D:直肠息肉
E:痔
关于急性胰腺炎的临床表现,下列说法错误的是()。
A:腹痛为本病的主要表现和首发症状
B:恶心、呕吐多在起病后出现
C:发热常为高热
D:低血压和休克主要是因为有效血容量不足所致
E:多有轻重不等的脱水
胃癌最多见的好发部位在( )
A:胃贲门
B:胃幽门
C:胃窦部
D:胃体
E:全胃
B超检查对胆囊结石的诊断准确率达95%,其超声显像最明显特征为( )
A:不均匀增强回声
B:强回声光团不伴声影
C:强回声光团并伴声影
D:不均匀增强回声,随体位移动
E:强回声光团伴声影,并随体位改变而移动
Mirizzi综合征引起梗阻性黄疸的结石嵌顿部位是()。
A:胆总管下段
B:肝总管
C:肝内胆管
D:胆囊管
E:右肝管
下列哪些是Menetrier病的特点( )
A:胃粘膜明显增厚呈脑回状
B:低蛋白血症
C:胃酸分泌减少
D:壁细胞和主细胞增多
E:Hp感染率高
女,33岁,4年前始反复上腹痛,餐前出现,餐后缓解。今晨突然出现剧烈腹痛,来诊。查体:BP80/40mmHg,体温38.9℃,上腹部压痛、反跳痛及肌紧张,肠鸣音减弱,RBC4.2×10/L,WBC22×10/L。 为进一步确诊首先应作哪项检查( )
A:腹部B型超声
B:X线腹部立位片
C:内镜
D:腹腔穿刺
E:血淀粉酶
女性,65岁。食欲不振,乏力半年,尿少,腹胀1个月。发热5天,咳嗽、咳黄痰。5天未排便。昏迷2天入院。查:意识不清,双瞳孔等大正圆D=3mm,巩膜黄染,面色污秽。可见肝掌及蜘蛛痣。心肺正常。腹软,肝肋下未及,脾大肋下2cm。TP75G/L,A:28G/L。HBsAg(+)。WBC7.0×10/L,PLT:30×10/L。(1)诊断是什么?(2)立即应做什么检查?(3)昏迷的原因是什么?
内因子( )
胃蛋白酶原( )
A:壁细胞
B:主细胞
C:C细胞
D:D细胞
E:Mo细胞
可以行胃镜检查的患者()。
A:精神失常者
B:严重的血凝障碍者
C:腐蚀性食管炎患者
D:严重心、肺功能不全者
E:上消化道出血患者
患者,男性,45岁。嗜酒,因呕血与黑便10h来院急诊。否认胃病与肝炎史。体检:腹壁静脉显露,腹部无压痛。有少量腹水,肝脾未满意扪及,血压16/10.4kPa(120/78mmHg)。提问:肝肾综合征患者血液动力学特征哪项是正确的()。
A:有效循环血容量减少,动脉血压下降,肾小球滤过率减少
B:有效循环血容量增加,动脉血压下降,肾小球滤过率增加
C:有效循环血容量增加,动脉血压升高,肾小球滤过率增加
D:有效循环血容量增加,动脉血压升高,肾小球滤过率减少
E:有效循环血容量减少,动脉血压升高,肾小球滤过率增加
F:有效循环血容量减少,动脉血压下降,肾小球滤过率增加
男性,40岁。有胃癌家族史,体检时胃镜示:慢性浅表型胃炎,
14
C-尿素呼气试验阳性。最主要的治疗是()。
A:根除幽门螺杆菌
B:抗酸药
C:促胃动力药
D:抑酸药
E:胃黏膜保护药
关于食管下括约肌的叙述,下列哪项是错误的()。
A:该部位平滑肌增厚
B:正常人休息时食管下括约肌压力为10~30mmHg
C:食管下括约肌长约2~4cm
D:促胃液素可刺激其收缩
E:可防止胃内容物逆流入食管
早期食管癌
肝硬化腹水患者,近2周腹部隐痛,腹胀加重,低热。体检:全腹压痛,轻度反跳痛,腹水化验:草黄色,比重1.016,蛋白25克/L,白细胞580/μl,中性粒细胞0.20,淋巴细胞0.80。该患者最可能并发( )
A:结核性腹膜炎
B:自发性腹膜炎
C:原发性肝癌
D:门静脉血栓形成
E:急性胰腺炎
女性患者,24岁。低热、腹胀4个月,消瘦、停经。查体:全腹膨隆,未触及肿块,移动性浊音(+)。腹腔积液检查:比重1.018,蛋白37g/L,细胞数580×10/L,淋巴细胞0.80,最可能的疾病是()。
A:肝炎后肝硬化
B:肝硬化并自发性腹膜炎
C:肝癌并腹膜转移
D:结核性腹膜炎
E:卵巢癌腹膜转移
男性,40岁。因肠结核合并结核性腹膜炎入院。经异烟肼、利福平等治疗,病情逐日好转。近2日便秘、呕吐、腹胀。体检:腹部饱满,可见肠型及蠕动波,肠鸣音亢进。腹部X线平片见多个阶梯状液平,持续胃肠减压无好转。进一步治疗的方法是()。
A:加大抗结核药物剂量
B:加用肾上腺皮质激素
C:继续胃肠减压
D:剖腹探查
E:肛管排气
患者男,52岁。近1周来反复高热,伴寒战,右上腹疼痛,食欲减低,体重下降。查体:巩膜黄染,肝肋下1cm,剑突下2cm,肝区叩痛阳性,移动性浊音阴性;肝功能:TBIL58mol/L,ALB28g/L;AFP40g/L;PT14.2秒。
第1题,共6个问题
(多选题)如果在患者的粪便中找到阿米巴滋养体,适合的治疗方法是()。
A:广谱抗生素
B:抗真菌药物
C:抗阿米巴原虫药物治疗
D:静滴白蛋白
E:肝叶切除术
F:肝移植
第2题,共6个问题
(单选题)请问该患者目前最可能的诊断是()。
A:肝脓肿
B:肝囊肿
C:慢性肝炎
D:继发性肝癌
E:肝硬化并肝癌
第3题,共6个问题
(多选题)该患者行下列哪些检查对确诊该病有帮助()。
A:血常规
B:B超
C:便常规
D:肝脏CT
E:肝脏MRI
F:胸部X线检查
第4题,共6个问题
(多选题)该病可由哪些微生物引起()。
A:阿米巴原虫
B:支原体
C:金黄色葡萄球菌
D:链球菌
E:结核分枝杆菌
F:克雷白杆菌
第5题,共6个问题
(多选题)该病可能会出现下列哪些并发症()。
A:膈下脓肿
B:脓腔内出血
C:ARDS
D:脓肿破裂入肺
E:肾脓肿
F:胆道大出血
第6题,共6个问题
(多选题)该病有哪些感染途径()。
A:肝动脉
B:胆道
C:下肢静脉
D:肝外伤
E:腹壁静脉
F:门静脉
男,66岁,昏迷患者,病史不详。巩膜黄染。瞳孔等大,肌张力及腱反进。无偏瘫血糖5.5mmol/L,血尿素氮14.2mmol/L,肝功血清清蛋白20g/L,球蛋白30g/L最可能诊断是( )
A:糖尿病昏迷
B:尿毒症昏迷
C:安眠药中毒
D:脑血管意外
E:肝性脑病
首页
<上一页
76
77
78
79
80
下一页>
尾页