出自:消化内科学高级职称

下列哪项是诊断肝硬化失代偿期最有价值的指标( )
A:黄疸
B:肝掌,蜘蛛痣
C:A/G比值下降
D:脾大
E:食管静脉曲张
腹部X线平片提示:胰腺钙化灶,为了解有无胰管结石,可采用()。
A:上腹部CT
B:EUS
C:ERCP
D:MRCP
E:粪便苏丹Ⅲ染色
下列哪项不属于慢性胰腺炎的五联征()。
A:胰腺钙化
B:糖尿病
C:发热
D:胰腺假性囊肿
E:脂肪泻
电镜下代表完整乙肝病毒颗粒的是( )
A:管型颗粒
B:特异的DNA多聚酶
C:小球形颗粒
D:Dane颗粒
E:HBcAS
孤立的直径小于5CM的癌结节称为小肝癌
突发右上腹剧痛伴血性腹水、休克,最可能是()。
A:肝包膜下大出血
B:肝癌结节破裂入腹腔
C:消化性溃疡穿孔
D:急性化脓性胆囊炎
E:腹膜转移癌
男,32岁,因呕血200ml,黑便2次伴晕厥抬送入院。查体:病人贫血貌,皮肤巩膜无黄染,心肺正常,腹软,肝肋下未扪及,脾肋下2cm,肠鸣音增多。化验:HBsAg阳性,Hb64g/L,A30g/L,G34g/L。最可能的出血原因是()。
A:食管癌
B:胃溃疡
C:肝硬化食管静脉曲张破裂出血
D:胃癌
E:急性糜烂性胃炎

患者男,69岁。丙肝后肝硬化24余年。2天前聚餐后出现意识淡漠,行为反常,扑翼样震颤阳性,病情逐渐加重。查体:巩膜黄染,不能唤醒,腱反射和肌张力亢进,血氨230μmol/L。



第1题,共3个问题
(单选题)请问患者目前的诊断考虑为()。
A:低血糖昏迷
B:脑血管意外
C:肺性脑病
D:肝性脑病
E:酒精中毒
F:糖尿病高渗昏迷

第2题,共3个问题
(多选题)目前认为哪些机制导致肝性脑病()。
A:血氨干扰脑细胞三羧酸循环
B:大脑对中性氨基酸的摄取增加
C:酪氨酸学说
D:色氨酸学说
E:γ–氨基丁酸/苯二氮类神经递质学说
F:假性神经递质

第3题,共3个问题
(多选题)该患者目前可能出现哪些表现()。
A:各种反射都消失
B:扑翼样震颤无法引出
C:不能唤醒
D:肌张力亢进
E:脑电图呈特征性改变
F:腱反射亢进
在大肠癌发病的环境因素中,主要的相关因素是__________和____________。
有关酒精性肝硬化肝移植的叙述中,错误的是()。
A:肝移植前应通过Child-Pugh评分或MELD评分判断预后
B:Maddrey判别函数主要用于判断酒精性肝硬化患者的预后
C:酒精性肝病肝移植候选者的评估应谨慎,应由有经验的成瘾行为管理专家参与
D:戒酒至少3~6个月后再考虑肝移植
E:肝移植后仍需坚持戒酒
女性,30岁,间断黑便1个月,乏力、活动后心慌半月。查体:皮肤黏膜、口唇苍白,心率120次/分,心尖区可闻及Ⅱ级收缩期杂音。化验检查示:Hb60g/L。贫血的原因可能为()。
A:营养不良
B:消化道出血
C:继发于心脏病
D:溶血
E:骨髓造血功能障碍
男性患者,70岁。腹痛2天,排鲜血便1天。腹痛为持续性钝痛,伴有腹泻7~8次,每次约50~100ml鲜血便,无里急后重、无发热、无皮疹,近期无体重下降,平素排便正常。查体:腹软,左下腹部有压痛,无反跳痛及肌紧张,未触及包块。

第1题,共3个问题
(单选题)为确定诊断最佳的检查方法为()。
A:钡灌肠
B:肠镜及病理检查
C:便常规
D:大便细菌、真菌等病原学检查
E:立位腹平片

第2题,共3个问题
(单选题)该患者最可能的诊断为()。
A:缺血性结肠炎
B:急性细菌性痢疾
C:克罗恩病
D:溃疡性结肠炎
E:结肠癌

第3题,共3个问题
(单选题)该患者病变部位可能为()。
A:回盲部
B:横结肠
C:结肠脾曲
D:乙状结肠
E:直肠
在我国下列哪种疾病最易发生肝癌( )
A:酒精性肝硬化
B:血吸虫性肝硬化
C:胆汁性肝硬化
D:淤血性肝硬化
E:乙型肝炎后肝硬化
女性,35岁。腹痛,便秘3个月,加重10天。2年前患肺结核。查体:腹软,右下腹压痛,触及一鸡蛋大小包块,肠鸣音活跃。X线钡透:回盲部充盈缺损。PPD试验强阳性。该患者最可能的诊断是()。
A:克罗恩病
B:增生型肠结核
C:右半结肠炎
D:慢性阑尾炎
E:溃疡型肠结核
RF可与下列哪种物质有较强的亲和力()。
A:变性IgC
B:IgG
C:变性的IgM
D:变性IgA
E:变性IgD
胰腺癌的腹痛症状减轻多在()。
A:俯卧
B:夜间
C:服用解痉药后
D:仰卧
E:餐后
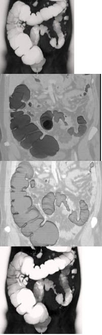
女,56岁,腹胀、腹痛、左下腹包块三月余,无肛门排气,影像检查如图,最可能的诊断是( )
A:乙状结肠Crohn病
B:乙状结肠结核
C:乙状结肠腺癌
D:乙状结肠淋巴瘤
E:乙状结肠息肉
反流性食管炎与心绞痛主要的鉴别为( )
A:食管酸灌注试验、ECG
B:病史
C:体征
D:食管测压检查
E:食管吞钡X线检查
有关24小时食管pH值监测参数哪项不正确( )
A:pH<4的总百分时间
B:直立及仰卧位pH<4的百分时间
C:反流次数
D:长于10min的反流次数
E:持续最长的反流时间
下列有关胃食管反流病胃灼热的描述,错误的是()。
A:胃灼热是指胸骨后或剑突下烧灼感
B:常在餐后半小时出现
C:腹压增高时可加重
D:弯腰时可加重
E:卧位时可加重
患者男,19岁。以低热、腹痛2个月入院。患者于入院前2个月无明显诱因发热,体温37.4~38.0℃,以午后为著,同时伴有阵发性腹痛,以脐周痛明显,伴有食欲减退、乏力。无咳嗽、呕吐,排便次数增多,3~4次/d,黄色糊状。无与结核患者密切接触史,无服中药史。曾在当地医院给予抗感染治疗(不详),症状无缓解。患儿来自经济条件较差的农村。要考虑的诊断包括()。(提示:查体:T37.7℃,神清,咽部无充血,双肺、心无明显异常,腹平软,肝、脾未触及,脐周轻压痛,肠鸣音正常。)
A:慢性胰腺炎
B:胃溃疡
C:克罗恩病
D:肠结核
E:肠道寄生虫感染
正常胆总管直径为( )
A:0.4~0.6cm
B:0.6~0.8cm
C:0.8~1.0cm
D:1.0~1.2cm
E:1.2~1.4cm
通过影响LES压,能促进胃食管反流病发生的是()。
A:缩胆囊素
B:胰升糖素
C:血管活性肠肽
D:地西泮
E:西沙必利
急性糜烂性胃炎的发病原因主要是( )
A:胃粘膜缺血,胃酸分泌较多
B:血栓素、白三烯合成增加
C:粘液分泌不足
D:前列腺素合成减少
E:肾上腺皮质激素分泌增加
原发性肝癌常见的并发症是()。
A:肝性脑病
B:上消化道出血
C:继发感染
D:肝癌结节破裂出血
E:伴癌综合征
上消化道大出血的常见病因有()。
A:消化性溃疡
B:食道静脉曲张
C:胃底静脉曲张
D:食道癌
E:胃癌
关于十二指肠溃疡的治疗,最重要的是()。
A:少食多餐
B:保护黏膜
C:制止胃酸
D:中枢镇静
E:早期手术
下列哪种情况不属于肝炎后肝硬化的特征( )
A:食管静脉曲张
B:睾丸萎缩
C:黄斑瘤
D:肝掌
E:蜘蛛痣
下列哪项表现仅见于出血坏死型胰腺炎( )
A:Cu11en征
B:胆囊结石
C:呕吐、腹胀
D:胰腺水肿
E:发热
急性糜烂出血性胃炎的内镜特征为________________。