出自:肿瘤学高级职称

小细胞未分化肺癌转移的发生率为
A: 10%左右
B:20%左右
C:5%左右
D:80%左右
E:40%左右
患者男,16岁,因“左膝疼痛2个月来诊”。X线片:左股骨下段溶骨性破坏,边界不清,有骨膜反应和软组织包块。可能的诊断有()。
A:骨肉瘤
B:尤因肉瘤
C:间叶性软骨肉瘤
D:嗜酸肉芽肿
E:转移瘤
F:恶性纤维组织细胞瘤
鳞状上皮化生()
A:良性肿瘤
B:恶性肿瘤
C:交界性肿瘤
D:癌前病变
E:非肿瘤良性病变
下述关于唇癌放射治疗适应证的说法错误的是()。
A:浅表的、仅占下唇1/3面积或T1病变,希望获得较好的美容效果
B:累及口角或同时累及上下唇的病变治疗上可首选放射治疗
C:浸润性病变(如浸润深度超过3cm)手术治疗较难获得满意的功能和美容效果,可首先行放疗治疗
D:手术后局部复发,且不能或不愿意再次手术治疗者可行放疗
E:早期唇癌(cT1~2N0M0)术后需常规补充局部放疗
直肠癌根治切除术后最容易出现的转移器官是什么( )
A:肝
B:腹股沟
C:骨
D:肺
E:脑
诊断骨肿瘤性质极其重要的依据是( )
A:化验检查
B:分层穿刺
C:X线检查
D:CT检查
E:病理切片
癌症病人本人的QOL评估( )
A:除终末期外,应由病人本人进行评估 
B:应由医护人员进行评估 
C:应由病人的家属进行评估 
D:应由病人本人通过回答问卷完成评估 
E:病人自我评估受主观因素影响大,自我评估不可靠 
止痛药物治疗的基本原则不包括()。
A:按阶梯给药
B:口服给药
C:按时给药
D:个体化给药
E:不要随便调整剂量
腺瘤具有下列哪些病理变化?()
A:腺管上皮细胞为单层
B:腺管上皮细胞为复层
C:有包膜
D:有病理性核分裂
E:腺体密集
恶性淋巴瘤可发生于_________和_________。
肿瘤阳性显像剂Tc-(V)-DMSA的制备环境条件是()。
A:弱酸性环境
B:强酸性环境
C:中性环境
D:碱性环境
E:以上均是
舌根癌最常受累的淋巴结位于()。
A:Ⅰa区
B:Ⅰb区
C:Ⅱa区
D:Ⅲ区
E:咽后淋巴结(RPN)区
恶性骨肿瘤的预后因素包括()。
A:原发肿瘤大小
B:组织学分级
C:原发肿瘤位置
D:转移部位
E:以上均是
患者男性,25岁,一个月前出现左睾丸疼痛,并可触及左侧睾丸肿块约2cm×1cm×2cm大小,浅表淋巴结未触及肿大,行睾丸切除术病检为精原细胞瘤。

第1题,共4个问题
(单选题)在检测肿瘤标志物时做法不正确的是()。
A:动态观察对了解治疗效果有益
B:需检测β-hCG
C:需检测AFP
D:需检测PSA
E:需检测LDH

第2题,共4个问题
(单选题)术后合适的辅助治疗是()。
A:化疗
B:放疗
C:内分泌治疗
D:观察
E:免疫治疗

第3题,共4个问题
(单选题)该类患者五年生存率约为()。
A:15%
B:45%
C:60%
D:80%
E:95%

第4题,共4个问题
(单选题)进一步检查发现腹膜后淋巴结肿大约3cm×2cm×2cm,胸腔未见异常,按RoyalMarsden医院分期为()。
A:Ⅰ期
B:ⅡA期
C:ⅡB期
D:ⅡC期
E:Ⅲ期
关于201Tl肿瘤显像,正确的描述是()。
A:肿瘤组织摄取201Tl与肿瘤组织生长快、局部血液供应丰富的因素有关
B:肿瘤组织摄取201Tl与肿瘤细胞膜上Na+–K+–ATP酶有关
C:肿瘤组织摄取201Tl通过Na+–K+–ATP酶系统的主动跨膜转运
D:201Tl主要浓聚在有活性的肿瘤组织,结缔组织和炎性细胞摄取较少,而坏死细胞不摄取
E:以上都对

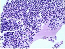
患者男,26岁,鼻腔肿瘤3个月,取活检,镜下显示如下图。



第1题,共3个问题
(多选题)对于发生于鼻腔的上述组织象的恶性肿瘤,需要鉴别的肿瘤类型包括()。
A:淋巴瘤
B:小细胞癌
C:嗅母细胞瘤
D:黑色素瘤
E:E.尤因肉瘤(Ewingsarcom
F:鳞状细胞癌
G:内翻性乳头状瘤
H:横纹肌肉瘤

第2题,共3个问题
(单选题)根据组织象及所给出的免疫组织化学染色MyoD-1,可以符合的诊断是()。(提示免疫组织化学MyoD-1见下图。)
A:淋巴瘤
B:小细胞癌
C:嗅母细胞瘤
D:黑色素瘤
E:尤因肉瘤(Ewingsarcoma)
F:鳞状细胞癌
G:内翻性乳头状瘤
H:横纹肌肉瘤

第3题,共3个问题
(多选题)针对需要鉴别的肿瘤类型可选择的免疫标志物包括()。
A:LCA
B:Vimentin
C:Desmin
D:CD99
E:inhibin
F:CK
G:TTF-1
H:ER
I:HMB45
女,40岁,因突起腹中部疼痛发作伴血便3天入院。腹痛为阵发性,伴恶心、呕吐。呕吐和为胃内容物,起病后曾解粘液血便3次。患者于1个月前腹痛开始反复发作,伴解粘液血便,腹痛发作时,自感有"气块"在腹内串动。体查:消瘦、贫血貌,腹稍胀,全腹软,无局限性压痛及肌紧张,下腹正中可扪及10×6cm肿块,坚韧,轻压痛,上下可以推动,肠鸣音活跃,音调稍高。

第1题,共4个问题
(单选题)下列处理哪项较为妥当()。
A:给予度冷丁止痛
B:给予口服植物油
C:给予空气灌肠
D:按急诊作术前准备
E:胃肠减压同时氧气驱虫

第2题,共4个问题
(单选题)在剖腹探查中发现患者为右半结肠肿块,其手术原则是()。
A:肠道肿块留待以后再次手术处理,放置腹腔引流物
B:按肿瘤原则行一期右半结肠切除肠吻合术
C:行右半结肠切除后,远近肠管行双管造口
D:切开肠管后切除肠管内肿块
E:行肿块肠段切除后,将远近肠管双管造口

第3题,共4个问题
(单选题)最可能的诊断是()。
A:慢性肠套叠
B:慢性痢疾致肉芽肿
C:右半结肠癌
D:卵巢囊肿蒂扭转
E:直肠癌伴梗阻

第4题,共4个问题
(单选题)首选的检查是()。
A:肛门指检
B:乙状结肠镜检查
C:全消化道钡餐
D:全结肠纤维结肠镜检查
E:立位腹部平片
乳腺癌Tc-MIBI亲肿瘤显像时,俯卧位侧位采集的主要目的是()。
A:有助于乳腺浅表病灶的显示
B:有助于双侧腋窝淋巴结的显示
C:有助于近中线病灶的显示
D:有助于乳腺深部病灶的显示
E:有助于双侧颈部锁骨上淋巴结的显示
下列哪项不是子宫内膜癌术后体外照射的适应证( )
A:腹水癌细胞阳性
B:子宫深肌层受侵
C:子宫颈肌层浸润
D:癌细胞分化Ⅲ级
E:术后病理分期Ⅰ期

男性,52岁,间歇性全程肉眼血尿1年余。血尿伴有不规则小血块及轻度膀胱刺激症状,不发热,发病来体重减轻约2.8kg。B超发现膀胱三角区有一直径4cm大小广基肿瘤。侵犯膀胱壁几乎达全层,左输尿管上段扩张,提示膀胱癌。查体:体温正常,血压120/80mmHg。



第1题,共2个问题
(单选题)以下最有助于膀胱癌的检查项目是( )
A:尿细胞学检查
B:IVU
C:尿培养
D:膀胱镜检
E:肾图

第2题,共2个问题
(单选题)合适的治疗是( )
A:经尿道膀胱癌电切除术
B:膀胱部分切除术
C:膀胱全切尿流改道术
D:经道膀胱肿瘤激光切除术
E:膀胱内灌注化学药物治疗
软组织肉瘤最易发生的部位是()。
A:四肢
B:腹膜后
C:胸腔内
D:头颈
E:消化道
对疑为恶性的骨肿瘤采用切开活检术时,应注意的是( )
A:对于肢体肿瘤的活检应采用横行切口
B:压包扎伤口,不必仔细止血
C:为更好的显露肿瘤,手术不必局限于一个间室
D:活检手术为小手术,可由低年资医师完成
E:确定手术方案时,必须考虑到最终手术时能够将活检部位的组织切除
根治性手术指( )
A:肿瘤广泛切除术 
B:肿瘤局部切除术及区域淋巴结的清除术 
C:肿瘤广泛切除术及区域淋巴结的清除术 
D:受累脏器整个切除及区域淋巴结的清除术 
E:肿瘤及其远处转移灶的广泛切除术及区域淋巴结的清除术 
关于他莫昔芬治疗乳腺癌,叙述正确的有()。
A:作用机制包括降低体内雌激素水平
B:可竞争性结合雌激素受体
C:可用于绝经前乳腺癌患者
D:可用于绝经后乳腺癌患者
E:可以阻断雌激素受体激活导致的信号转导
靶区剂量的准确性是指( )
A:偏离靶区规定剂量的程度 
B:靶区内剂量规定点剂量与靶区内模剂量的差别 
C:靶区内最大剂量与最小剂量的差别 
D:靶区内任意点剂量与靶区剂量规定点剂量的差别 
E:靶区内剂量规定点剂量与靶区内平均剂量的差别
患者女,50岁,因“双侧颈部上段肿物伴左侧面部麻木6个月”来诊。查体:PS=1;鼻咽左顶后壁、侧壁肿物,双侧颈部Ⅱ、Ⅲ区淋巴结肿大,最大者5cm×5cm,质硬,固定;左侧三叉神经上颌支麻痹。MRI:鼻咽肿物侵犯左侧咽旁间隙,颅底骨质破坏,双侧颈部Ⅱ、Ⅲ区多个淋巴结肿大,最大者4cm×4cm。PET-CT:右肺多发转移灶。鼻咽肿物活检:未分化型非角化性癌。

第1题,共6个问题
(多选题)下一步的治疗方案有()。(提示经6个疗程DDP+5-FU+西妥昔单抗化学治疗后,肺部PET-CT:病灶临床完全缓解。)
A:鼻咽和颈部根治性放射治疗
B:同步放射化学治疗
C:观察,无须处理
D:口服FT-207
E:西妥昔单抗维持治疗
F:加用1~2个疗程巩固疗效

第2题,共6个问题
(多选题)如患者采用化学治疗,可选择的方案有()。
A:DDP+5-FU
B:Paclitaxel+DDP
C:Gemcitabine+DDP
D:Docetaxel+DDP
E:DDP+5-FU+西妥昔单抗
F:西妥昔单抗

第3题,共6个问题
(单选题)患者AJCC分期(第7版)为()。
A:T3N1M1,Ⅲ期
B:T3N1M1,Ⅳa期
C:T3N2M1,Ⅳb期
D:T4N2M1,Ⅳb期
E:T4N2M1,Ⅳc期
F:T4N3M1,Ⅳc期

第4题,共6个问题
(单选题)患者采用DDP+5-FU+西妥昔单抗治疗,西妥昔单抗的用法是()。
A:250mg/m2,每周1次
B:400mg/m2,每3周1次
C:首剂400mg/m2,然后每周250mg/m2
D:首剂450mg/m2,然后每周200mg/m2
E:首剂600mg/m2,然后每周300mg/m2
F:首剂600mg/m2,然后每2周300mg/m2

第5题,共6个问题
(单选题)目前的治疗方案为()。(提示经鼻咽和颈部根治性放射治疗后病情稳定2年,复查B型超声:肝多发转移。予DDP+吉西他滨化学治疗3个疗程后肝转移病灶进展;PS=3。)
A:紫杉醇+卡铂+吉西他滨
B:卡铂+西妥昔单抗
C:DDP+西妥昔单抗
D:紫杉醇+西妥昔单抗
E:最佳支持治疗
F:肝移植

第6题,共6个问题
(单选题)首选治疗方法是()。
A:化学治疗
B:肺部手术+鼻咽和颈部姑息性放射治疗
C:最佳支持治疗
D:EBV特异性CTL免疫治疗
E:西妥昔单抗治疗
F:鼻咽肿物切除+颈淋巴结清扫+肺部手术
目前儿童Wilms瘤,手术、放疗和化疗综合治疗的5年生存率可达( )
A:超过60%
B:65%~75%
C:75%~85%
D:超过90%
E:100%
男性,50岁,诊断为“食管下段癌”,病变长为5cm,CT扫描见病变无明显外侵及远处转移,最佳治疗方案为;( )
A:根治性放疗
B:手术治疗
C:化疗+放疗
D:放疗+腔内放疗
E:化疗+手术
暂时性放射性脊髓炎有症状一般出现在放疗后的( )
A:一个月以内 
B:2~3个月 
C:3~6个月 
D:6个月以上 
E:2年以上 
下列关于恶性黑色素瘤TNM分期中区域淋巴结分期描述中错误的是()。
A:2~5个区域淋巴结转移或存在淋巴内转移为N2
B:一个淋巴结转移且临床隐性转移(镜下转移)为N1a
C:无局部淋巴结转移但有卫星灶转移或第一站淋巴结之前的淋巴转移为N2c
D:4个以上淋巴结转移,或融合的淋巴结转移,或局部淋巴结转移伴有卫星灶转移或第一站淋巴结之前的淋巴转移为N3
E:区域淋巴结无法评价为Nx