出自:消化内科学高级职称

患者女,28岁。腹痛腹胀6个月。患者6个月前无明显诱因出现腹痛,由脐周痛逐渐转为全腹痛,呈持续性腹痛,与进食、排便无明显关系,渐进出现腹胀、乏力、食欲缺乏,无恶心呕吐,无腹泻,无气短,无发热、盗汗。发病以来小便正常,大便干燥,体重减轻4kg。既往6年前患肺结核,已治愈。否认肝炎病史。查体:慢性病容,消瘦,睑结膜无苍白,浅表淋巴结未触及肿大,心肺查体未见异常,腹膨隆,无腹壁静脉曲张,肝脾肋下未触及,全腹压痛,触诊柔韧感,无反跳痛,腹部未触及包块,移动性浊音阳性,肠鸣音活跃。双下肢无水肿。化验血常规、肝肾功、血清淀粉酶、脂肪酶正常。

第1题,共3个问题
(多选题)据本例患者特点,不除外哪些诊断()。
A:自发性细菌性腹膜炎
B:结核性腹膜炎
C:腹膜及腹腔器官肿瘤
D:巨大卵巢囊肿
E:胰源性腹水
F:心源性腹水

第2题,共3个问题
(多选题)结核性腹膜炎腹水特点以下哪些是错误的()。
A:腹水颜色草黄色
B:李凡他试验阴性
C:腹水蛋白<25g/L
D:白细胞小于500×106/L
E:以淋巴细胞或单核细胞为主
F:腹水ADA明显升高

第3题,共3个问题
(多选题)考虑该例为结核性腹膜炎可能性大,可行哪些诊断方法以明确()。
A:试验性抗结核治疗
B:腹水化验
C:心电图
D:肠镜
E:胸部X线片
F:腹腔镜及腹膜活检
胆囊炎症、结石等的反复刺激,胆囊可有不同程度的炎症细胞浸润,纤维组织增生,重者胆囊壁瘢痕形成

女性,52岁,腹部阵发性胀痛1天,呕吐为胃内容物,近3个月来有时腹胀,大便带黏液脓血,查体,BP17/12kPa,P86次/分,腹胀,未见肠型,右下腹触及一斜行肿块,质韧压痛,腹部透视见一个气液平面,WBC11×10/L,Hb87g/L。



第1题,共3个问题
(单选题)下列检查意义最大的是( )
A:X线钡餐透视
B:纤维结肠镜
C:腹部B超
D:腹部CT
E:以上都不是

第2题,共3个问题
(单选题)诊断首先考虑为( )
A:阑尾周围脓肿
B:卵巢囊肿
C:结肠癌
D:回盲部结核
E:回盲部套叠

第3题,共3个问题
(单选题)应采取的治疗措施为( )
A:中药治疗
B:B超引导下穿刺
C:手术治疗
D:结肠充气复位
E:对症支持疗法
机体清除血氨的主要途径是()。
A:尿素合成
B:脑、肝、肾利用氨合成谷氨酸和谷氨酰胺
C:肾脏以NHf排除大量的氨
D:血氨过高时可从肺呼出少量
E:肌肉利用
病例摘要:患者,男性,44岁。腹腔穿刺抽出少量血性液体。腹部透视无膈下游离气体。BP10/6kPa。Hb70g/L,CEA25ng/ml,AFP130ng/ml,腹腔穿刺液淀粉酶800U(Somogvi法)。目前应主要考虑什么疾病()。
A:胆囊炎
B:急性坏死性胰腺炎
C:胆石症
D:急性坏死性小肠炎
E:原发性腹膜炎
对于急性消化道大出血患者,应放在首位的有关检查是()。
A:是否出现呕血,以及呕血的色与量
B:是否出现便血,以及便血的性质与频率
C:是否出现周围循环衰竭的临床表现
D:是否出现贫血,以及血象的相关变化
E:以上都不是
女性,35岁。腹痛,便秘3个月,加重10天。2年前患肺结核。查体:腹软,右下腹压痛,触及一鸡蛋大小包块,肠鸣音活跃。X线钡透:回盲部充盈缺损。PPD试验强阳性。

第1题,共4个问题
(单选题)对于该患者,为进一步确诊,还应做哪项检查()。
A:纤维结肠镜检查
B:便细菌检查
C:血常规
D:血沉
E:胸片

第2题,共4个问题
(单选题)肠结核最好发的部位是()。
A:乙状结肠
B:降结肠
C:横结肠
D:升结肠
E:回盲部

第3题,共4个问题
(单选题)肠结核最常见的感染途径是()。
A:直接蔓延
B:血行播散
C:经口感染
D:淋巴结扩散
E:以上都不是

第4题,共4个问题
(单选题)该患者最可能的诊断是()。
A:克罗恩病
B:增生型肠结核
C:右半结肠炎
D:慢性阑尾炎
E:溃疡型肠结核
诊断原发性肝癌下列哪项临床表现最重要( )
A:发热
B:肝区持续性疼痛
C:食欲减退、消瘦
D:肝硬化表现
E:黄疸进行性加深
患者男,64岁。间断右上腹疼痛4个月。患者4个月前无明显诱因出现间断右上腹部绞痛,无恶心呕吐,无腹泻,无发热,数小时后腹痛自行缓解。发病以来食欲尚可,大小便正常,体重减轻3kg。查体:一般状态尚可,睑结膜苍白,浅表淋巴结无肿大,心肺查体未见异常,腹平软,肝脾肋下未触及,肝区无叩痛,全腹元压痛,右上腹可触及-鸡蛋大小的包块,质硬,表面光滑,无压痛,活动度好。

第1题,共6个问题
(多选题)为明确诊断,首先需行哪些检查()。
A:胃镜
B:结肠镜
C:便细菌培养
D:腹部超声或CT
E:立位腹平片
F:腹部血管彩超

第2题,共6个问题
(多选题)患者肠镜检查示:横结肠见一菜花状隆起,表面不平,有出血、糜烂,触之易出血,病理检查为结肠高分化腺癌。有哪些处理方法()。
A:外科手术切除
B:抗生素
C:化疗
D:放疗
E:内镜下切除
F:对症支持治疗

第3题,共6个问题
(多选题)例患者腹部包块考虑以下哪些疾病可能性大()。
A:肝癌
B:右肾癌
C:胃癌
D:结肠癌
E:胰头癌
F:胆囊癌

第4题,共6个问题
(多选题)患者腹水化验回报:腹水淡黄色,蛋白35g/L,细胞总数700×108/L。N85%,L15%。李凡他试验阳性。超声提示:肝硬化,门脉高压,大量腹水。目前可给予哪些治疗措施()。
A:补充白蛋白
B:选择抗阴性杆菌为主的抗生素
C:积极改善肝脏功能
D:全身支持治疗
E:腹腔注射抗生素
F:精氨酸

第5题,共6个问题
(多选题)该患者体格检查:面色晦暗,眼睑无水肿,巩膜中度黄染,结膜苍白,颈静脉无怒张,胸前有4枚蜘蛛痣,有肝掌,听诊右肺下呼吸音减弱,双肺未闻及干湿啰音,心脏查体正常。腹膨隆,脐膨出,腹壁静脉显露,全腹压痛、反跳痛,以左侧腹为著,肝肋下未触及,肝颈静脉回流征阴性,脾肋下2cm,移动性浊音阳性。肠鸣音正常,双下肢水肿。为进一步确诊,需完善哪些相关检查()。
A:肝胆脾超声或CT
B:肝肾功
C:腹水常规、生化
D:尿细菌培养
E:腹水病原学检查
F:腹水ADA

第6题,共6个问题
(多选题)该患者可能出现的并发症有()。
A:感染性休克
B:肝性脑病
C:水电解质紊乱
D:上消化道出血
E:低血糖
F:肝肾综合征
预后最差的肝性脑病患者是( )
A:诱因明确且易消除者
B:肝硬化伴腹水者
C:暴发性肝炎所致者
D:肝硬化伴黄疸者
E:肝硬化伴出血倾向者
关于特发性门脉高压,以下哪项说法不正确( )
A:系指肝窦前性门静脉压力增高
B:由于肝细胞再生形成假小叶压迫肝窦所造成
C:临床以脾大,贫血及出血为主
D:与门静脉纤维变性有关
E:治疗应首先选择分流术
患者,男性,40岁,HBsAg(+)30年,2个月来发热并右上腹痛。查体:体温39℃,肝肋下5cm,中等硬度,表面稍不平,压痛(+),甲胎蛋白(+)。提示:数月后,患者行B超检查,发现肝右叶多个肿物,一小时前突然出现剧烈腹痛,心悸,大汗,继而昏迷。提问:可能发生了什么情况()。
A:自发性腹膜炎
B:肝癌破裂
C:失血性休克
D:门脉血栓形成
E:消化性溃疡
女性,45岁,间歇性发作咽下困难3个月,伴反酸烧心,可因情绪波动诱发。食管造影未见异常 诊断首先考虑()。
A:食管癌
B:反流性食管炎
C:食管贲门失弛缓症
D:食管裂孔疝
E:硬皮病
体格检查时发现ALT100U,HBsAg(+),AFP(放射免疫法)50ng/ml,CT与B超检查肝脏无占位性病变,以往无肝炎史,下列哪项检查最有助于原发性肝癌的诊断()。
A:每月检测GGT
B:定期复查B超
C:定期随访AFP与ALT
D:定期放射性核素肝扫描
E:定期选择性肝动脉造影
男性,32岁。以"反复腹痛8年"为主诉入院,腹痛表现为右下腹和脐周为主的绞痛,伴腹泻,便为糊状,无脓血,偶有低热。查体:右下腹触及包块。为明确诊断最适合做哪项检查()。
A:结核菌素试验
B:血沉
C:结肠镜回盲部活检
D:大便潜血试验
E:大便细菌培养
小肠性腹泻的特点是
A:多为脐周疼痛
B:大便量多,烂或稀薄,可含脂肪,粘液少,臭
C:大便次数多,每日10次以上
D:可有里急后重
E:常有体重减轻
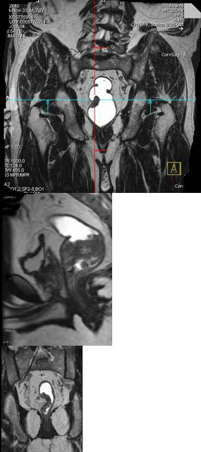
男,70岁,下腹部腹胀、腹痛、排便困难,逐渐加重,MRI示直肠内不规则充盈缺损,请选择最佳诊断结果( )
A:直肠息肉
B:直肠癌
C:直肠间质瘤
D:直肠转移瘤
E:直肠淋巴瘤
消化性溃疡患者发生夜间痛和背痛最突出的是( )
A:胃溃疡
B:复合性溃疡
C:十二指肠球后溃疡
D:幽门管溃疡
E:食管溃疡
主要在肝外合成的是()。
A:载脂蛋白
B:脂肪酸
C:HMG-CoA还原酶
D:脂蛋白脂酶
E:清蛋白
患者男性,68岁,饮白酒史45年,日约500g,糖尿病史15年,高血压病史12年,平素排便困难,近1周头晕,黑矇,意识丧失1天收入院。查体BP170/80mmHg,HR110次/分,呼之不应,压眶无反应,瞳孔散大,结膜苍白,腹部膨隆,脾脏肋下未及。 该患者的治疗,哪项是不恰当的( )
A:输注支链氨基酸
B:冰帽降温
C:鼻饲安素
D:吸氧治疗
E:气管切开
男,45岁,有胃溃疡史10年,近3个月疼痛加剧,无节律性,伴嗳气,无反酸及呕吐,口服氢氧化铝凝胶和法莫替丁无效。查体:浅表淋巴结无肿大,腹平软,上腹部轻压痛,可触及包块,最有可能的诊断是( )
A:胃溃疡复发
B:胃溃疡癌变
C:伴穿透性溃疡
D:伴幽门梗阻
E:复合性溃疡
慢性上腹痛的青年患者,近期呕吐大量酸酵宿食无胆汁,输注雷尼替丁后症状改善,以下哪一疾病可能性最大( )
A:胃癌引起幽门梗阻
B:胃溃疡活动
C:十二指肠球部溃疡活动
D:幽门管溃疡活动伴梗阻
E:球后溃疡活动伴梗阻
男性,40岁患者。乙肝病史10年,近2周发热,腹痛用泻,继之腹胀尿少,嗜睡。查体:T38℃慢性肝病面容,表情淡漠,计算力下降,巩膜黄染,肝掌(+)。双肺(-),心率83次/分,律齐,腹膨隆,腹壁静脉显露,全腹轻压痛,无明显肌紧及反跳痛,肝未及,脾肋下2cm,质中,移浊(+),WBC1.2×10/L,N89%,HBsAg(+),A/G0.6,ALT65U/L,AST55U/L,问本病例的基本诊断及诊断依据是什么?应作哪些检查明确诊断及检查目的?(与诊断相关的检查)
关于肠易激综合征哪项不正确( )
A:其机制与胃肠动力学及内脏感觉异常有关
B:精神心理因素是发病的重要因素
C:临床分为腹泻型、便秘型和腹泻便秘交替型
D:其复发常与饮食因素有关
E:该征与感染无关
Barrett食管的组织学分型包括()。
A:胃底型
B:贲门型
C:胃窦型
D:特殊肠化生型
E:十二指肠型
病例摘要:男性,60岁,冠心病8年。6小时前胸骨后为压榨性剧痛,并向左臂放射。先后含硝酸甘油4次,疼痛稍减轻,烦躁不安,出汗。查体:急性痛苦面容,体温36.5℃,血压为13.3/9.3kPa(100/70mmHg),脉率110次/分;心界不大,律齐,心音低,未闻奔马律及杂音;双肺少许湿性啰音;肝脾未触及。最可能的诊断是()。
A:变异型心绞痛
B:急性左心衰
C:心包积液
D:急性心肌梗死
E:肺动脉栓塞
下列哪项不是溃疡性结肠炎的X线所见()。
A:肠壁边缘呈锯齿状
B:结肠袋消失,肠管缩短变硬呈铅管状
C:X线钡餐检查呈跳跃征象
D:肠腔有多发的圆形充盈缺损
E:结肠管壁平滑,肠腔狭窄
右下腹部疼痛多为( )
A:急性胰腺炎
B:胆囊炎
C:急性阑尾炎
D:肾结石
E:结肠炎
男性,35岁。上腹部饱胀,嗳气,反酸和消化不良,该患者首选检查是()。
A:钡餐
B:腹部CT
C:腹部超声
D:腹部X线平片
E:胃镜
腹膜炎引起肩部放射性痛的原因是( )
A:肠麻痹刺激神经
B:胃肠痉挛刺激神经
C:腹腔内炎症刺激膈肌
D:腹腔内炎症刺激胸腔
E:腹腔内炎症刺激后腹膜