出自:消化内科学高级职称

腹水时,下列哪项对肝硬化和缩窄性心包炎有鉴别诊断意义()。
A:脾大
B:大量腹水
C:腹壁静脉曲张
D:肝大
E:食管静脉曲张
引起肺弥散量降低的有()。
A:肺出血
B:肺结核
C:气胸
D:红细胞增多症
E:肺间质纤维化
关于肠结核的抗结核治疗,下列哪项是不正确的( )
A:目前多采用短程化疗(6~9个月)
B:对严重肠结核或伴有严重肠外结核者宜三药联用
C:治疗开始1~2周即症状改善,体温与粪便性状趋于正常
D:一般用INH、RFP两种杀菌剂联合使用
E:用INH者常规加服维生素B6
胰腺癌患者腹痛的加剧因素为()。
A:脊柱伸展位
B:餐后加剧
C:俯卧位
D:仰卧位
E:夜间加剧
淤胆型肝炎患者血红素明显升高,以非结合胆红素为主
胰头癌最常见的首发症状是什么?最主要的症状和体征是什么?
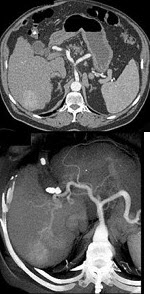
男,44岁,患乙肝多年,现腹痛,腹胀,AFP增高,消瘦、乏力,影像检查如图,最可能诊断是( )
A:肝血管瘤
B:肝腺瘤
C:肝转移瘤
D:肝硬化、肝癌
E:肝结节性增生
男性,52岁,低热,肝区胀痛2个月并消瘦,近3周发现尿黄、巩膜黄染。18年前发现HBsAg阳性,8年前被诊断为肝硬化。

第1题,共4个问题
(单选题)如果查体时肝脏肿大,质地硬,肝区闻及血管杂音,该病人最可能的诊断是()。
A:Budd-Chiari综合征
B:肝硬化失代偿期
C:原发性肝癌
D:肝脓肿
E:肝血管瘤

第2题,共4个问题
(单选题)如果此病人被确诊为弥漫性肝癌,目前首选的治疗是()。
A:全身大剂量化疗
B:手术治疗
C:生物治疗
D:放射治疗
E:肝动脉栓塞化疗

第3题,共4个问题
(单选题)该患者尤其不能遗漏的化验项目是()。
A:血清免疫球蛋白
B:T细胞亚群
C:血沉
D:AFP
E:HBV-DNA

第4题,共4个问题
(单选题)该患者首选的影像学检查是()。
A:MRI
B:超声波检查
C:放射性核素肝脏扫描
D:腹部CT检查
E:X线肝脏血管造影
下列克罗恩病的表现中,哪项最少见( )
A:腹痛
B:腹泻
C:腹块
D:瘘管形成
E:癌变
Schilling试验是()。
A:H2呼气试验
B:右旋木糖吸收试验
C:蛋白质吸收试验
D:维生素B12吸收试验
E:胆盐吸收试验
男性,42岁,胃溃疡史10年,近2个月上腹疼痛,失去原规律性,伴反酸、嗳气,内科药物治疗效果不满意,急需下列哪项检查()。
A:钡餐检查
B:B超检查
C:胃酸测定
D:便隐血试验
E:胃镜+活检检查
  1. 男,25岁,腹泻、右下腹隐痛3年,无脓血便及发热。经检查发现有上述情况:



第1题,共1个问题
(配伍题)
  1. 依据WHO标准,可以确诊为克罗恩病( )
  2. 依据WHO标准,疑诊为克罗恩病( )
Fas介导的细胞凋亡不包括的过程是()。
A:FasL与Fas结合
B:caspase-3、-6、-7激活
C:线粒体细胞色素c释放
D:Fas三聚化使胞内的DD区构象改变
E:caspase-8、10通过自身剪激活
突然出现上腹剑下剧烈痛,入院检查:体温39℃,巩膜黄染,剑下轻度压痛,病情观察中多次出现寒战,脉搏110次/分,血压22/14kPa(165/105mmHg),此病人应首先考虑( )
A:急性化脓性胆囊炎
B:急性胰腺炎
C:慢性胆囊炎合并胆囊结石
D:急性梗阻性化脓性胆管炎
E:胆道蛔虫症
女性,35岁。患甲状旁腺功能亢进症合并急性胰腺炎,发病原因可能与高血钙有关,关于钙离子与急性胰腺炎关系,下列哪项说法是不正确的()。
A:高血钙在胰管内易发生结石引起梗阻
B:钙离子与胰蛋白酶原的激活无关
C:高血钙可使胃液分泌增加
D:钙离子与胰淀粉酶的激活无关
E:高血钙可使胃泌素分泌增加
不用于治疗恶心、呕吐的药物()。
A:多巴胺D2受体激动剂
B:5-HT3受体拮抗剂
C:5-HT4受体激动剂
D:大麻素类
E:糖皮质激素
男性,40岁,上腹不适伴反酸、烧心、腹胀,行上消化道造影检查未见异常,诊断可除外( )
A:反流性食管炎
B:食管癌
C:胃食管反流病
D:慢性胃炎
E:萎缩性胃炎
对结核性腹膜炎腹部症状的描述,错误的是( )
A:早期腹痛明显
B:腹痛多在脐周、下腹
C:多为持续性的隐痛或钝痛
D:可有阵发性绞痛
E:偶可表现为急腹症
阻塞性黄疸(肝外胆道梗阻)的病因学诊断,下列哪项检查最具有诊断意义( )
A:选择性肝动脉造影
B:口服法胆囊造影
C:肝穿刺组织活检
D:PTC及ERCP或两者联用
E:肝脏核素扫描
基因变异说法错误的是()。
A:是人类遗传病产生的根源
B:人类绝大多数多基因遗传病的产生都是由于突变使受累基因的功能受损所致
C:指RNA的序列组成或结构在传递过程发生了改变
D:可分为点突变、大片段突变、短串联重复突变和拷贝数变异四大类
E:每一类基因变异均包含了DNA多态性和致病突变
急性重症肝炎常见的临床表现有( )
A:黄疸迅速加深
B:肝脏萎缩
C:出血倾向
D:昏迷
E:急性肾功能不全
男性,42岁。4周前诊断为急性胰腺炎,住院治疗后病情缓解出院。1周前开始自觉上腹胀痛,进食后加重,恶心,未吐,无发热。查体:左上腹可触及一包块,大小约3cm×5cm,无明显压痛。血常规及淀粉酶正常。

第1题,共3个问题
(单选题)哪项检查有助于明确诊断()。
A:胰腺超声
B:胰腺CT
C:胰腺CT增强
D:胃镜
E:消化道照影

第2题,共3个问题
(单选题)如何进行下一步处理()。
A:定期复查
B:按照急性胰腺炎正规治疗
C:化疗或放疗
D:补充胰酶等治疗
E:外科手术

第3题,共3个问题
(单选题)该患者目前的诊断是()。
A:胰腺脓肿
B:急性胰腺炎
C:胰腺假性囊肿
D:慢性胰腺炎
E:胰腺癌

患者男,50岁,腹泻10d,果酱样粪便,6次/d,伴右下腹痛,里急后重。每天下午发热,最高37.8℃。在某诊所诊断为急性胃肠炎,静脉滴注左氧氟沙星,0.2g,2次/d,共1周,症状无缓解。入院查体:腹软,右下腹压痛,无肌紧张,无反跳痛,肝、脾肋下未及。实验室检查:白细胞10.5×109/L,中性粒细胞0.81;粪涂片镜检见大量团聚状红细胞、少量白细胞。



第1题,共2个问题
(单选题)如粪便检查发现溶组织阿米巴滋养体,治疗应选择()。
A:激素
B:美沙拉嗪
C:甲硝唑
D:头孢哌酮
E:阿苯达唑

第2题,共2个问题
(单选题)首选的检查是()。
A:实验室检查癌胚抗原
B:结肠镜检查
C:粪便培养
D:新鲜粪便反复送检,寻找寄生虫卵
E:血清ANCA
男,42岁,右上腹绞痛反复发作二年,此次发病三天,发冷,发热(38.9℃),查:巩膜明显黄染,超声内镜如图中病变可能的诊断是()。
A:正常
B:胰腺囊肿
C:慢性胰腺炎伴胰管结石
D:胰腺囊腺癌
E:胆总管结石伴扩张
肠结核晚期常见的并发症为()。
A:急性肠穿孔
B:播散性肺结核
C:化脓性腹膜炎
D:肠梗阻
E:肠出血
关于胆囊的解剖,下列哪项是正确的( )
A:约5×3cm大小,可容胆汁30ml
B:约6×6cm大小,可容胆汁60ml
C:约8×3cm大小,可容胆汁50ml
D:约10×5cm大小,可容胆汁80ml
E:约10×6cm大小,可容胆汁100ml
女,21岁,低热、腹痛、腹泻3个月,大便为糊样,无脓血。查体:腹平软,右下腹轻压痛,未触及包块。全程钡餐检查照片见回盲部线样征。

第1题,共3个问题
(单选题)宜首选的进一步的检查()。
A:腹部B超
B:妇科检查
C:X线钡灌肠
D:回结肠镜
E:大便阿米巴培养

第2题,共3个问题
(单选题)最可能的诊断是()。
A:溃疡性结肠炎
B:增生型肠结核
C:阿米巴肉芽肿
D:慢性阑尾炎
E:升结肠癌

第3题,共3个问题
(单选题)最重要的治疗方法是()。
A:抗结核治疗
B:抗阿米巴治疗
C:及早手术治疗
D:抗生素治疗
E:对症支持治疗
按病变来源,可将急性腹膜炎分为( )
A:弥漫性腹膜炎
B:原发性腹膜炎
C:无菌性腹膜炎
D:感染性腹膜炎
E:继发性腹膜杨
患者男,40岁。肥胖,2年来反复出现胸骨后烧灼感,饭后明显,平卧时明显,可放射至后背,肩部,略有吞咽困难,咽部异物感,自服奥美拉唑后略有缓解。遂来院检查。 如果该患经过系统内科治疗8周后,不适症状仍未明显好转,此时如测LES压力值可能为()。
A:3mmHg
B:4mmHg
C:5mmHg
D:6mmHg
E:7mmHg
F:8mmHg
女,31岁,低盐、盗汗、腹痛、腹泻3个月,体重减轻3kg。选择最有意义的辅助检查是()。
A:血沉
B:大便常规+培养
C:腹腔镜检查
D:钡剂灌肠
E:胸片