自考题库
首页
所有科目
自考历年真题
考试分类
关于本站
游客
账号设置
退出登录
注册
登录
出自:消化内科学高级职称
假性幽门腺化生
男性,54岁,间歇性上腹部不适4年,餐后加重,嗳气来诊。胃镜检查:胃体上部大弯侧粘膜较苍白,该区活组织检查示重度不典型增生,应采取下列哪种治疗方法为宜()。
A:手术治疗
B:西咪替丁(甲氰咪胍)
C:多潘立酮(吗丁啉)
D:吗丁啉+法莫替丁
E:奥美拉唑(洛塞克)
男性,26岁。酗酒后出现上腹部持续疼痛8小时,阵发加剧,伴恶心呕吐。
第1题,共6个问题
(单选题)下列哪项治疗措施是错误的()。
A:胃肠减压
B:禁食
C:手术治疗
D:抗生素
E:抑酸治疗
第2题,共6个问题
(单选题)为确诊,首选检查方法是()。
A:血清淀粉酶测定
B:血清脂肪酶
C:尿淀粉酶
D:CT显像
E:立位腹平片
第3题,共6个问题
(单选题)最可能的诊断为()。
A:急性胃炎
B:急性肠梗阻
C:心肌梗死
D:急性胰腺炎
E:急性胆囊炎
第4题,共6个问题
(单选题)查体发现下列体征提示病情严重,除了()。
A:肠鸣音减弱
B:腹膜刺激征
C:血钙2mmol/L以下
D:血糖>11.2mmol/L(无糖尿病病史)
E:四肢温暖
第5题,共6个问题
(单选题)最可能的诊断为()
A:急性胃炎
B:急性肠梗阻
C:心肌梗死
D:急性胰腺炎
E:急性胆囊炎
第6题,共6个问题
(单选题)查体发现下列体征提示病情严重,除了()
A:肠鸣音减弱
B:腹膜刺激征
C:血钙2mmol/L以下
D:血糖>11.2mmol/L(无糖尿病病史)
E:四肢温暖
女性,48岁,肝硬化患者,近1个月来腹水逐渐增多、尿少就诊。用利尿剂疗效不佳,考虑合并有肝肾综合征,下列哪项最符合此诊断()。
A:氮质血症
B:稀释性低血钠
C:尿少
D:低尿钠
E:高钾血症
胃体萎缩性胃炎( )
卓-艾综合征( )
A:血清促胃液素明显升高
B:血清壁细胞抗体阳性
C:血清G细胞抗体阳性
D:血清CEA明显升高
E:胃酸中度升高
大肠恶性息肉预后不良的特征
不包括
()。
A:低分化
B:血管受累
C:肿瘤细胞出现于切除组织边缘
D:淋巴受累
E:肿瘤细胞位于带蒂息肉的蒂内
病例摘要:男性,50岁,身高166cm,体重85kg,平时偶饮酒,量不多,无厌油、纳差等症状。有高血脂病史。现体检提示肝脏右肋下1指,质软,化验示肝功能ALT84U/L,胆红素正常,HBsAg(-)。如患者肝脏B超无明显异常,进行鉴别诊断时首先应排除()。
A:病毒性肝炎
B:药物性肝炎
C:酒精性脂肪肝
D:非酒精性脂肪性肝病
E:自身免疫性肝炎
胸骨后疼痛伴烧灼感应首要考虑( )
A:胃食管反流病
B:冠心病、心绞痛
C:慢性胃炎
D:咽喉炎
E:消化性溃疡
下列疾病一般出现血清淀粉酶升高的是()。
A:消化性溃疡穿孔
B:胆石症
C:胆囊炎
D:肝硬化
E:肠梗阻
患者女性,24岁,因腹泻2个月就诊。大便5~6次/日,带鲜血。血与大便相混,里急后重。曾不规律服用利复兴5天,效果不满意。1周前进食海鲜后腹泻、便血加,伴发热,最高体温37.6℃。结肠镜检查发现患者的病变位于直肠、乙状结肠,粘膜弥漫性充血,水肿,多发浅溃疡和糜烂脆,易出血,考虑为溃疡性结肠炎,Hb110g/L,ESR28mm/h,血清白蛋白36g/L。最佳治疗方案为()。
A:静脉点滴甲泼尼龙(甲泼尼龙)40mg/d
B:甲硝唑静脉点滴1.0g/d
C:SASP肛栓,1.0g/d
D:SASP肛栓,1.0g/d,静脉点滴甲泼尼松(甲泼尼龙)40mg/d
E:SASP口服4g/d,SASP肛栓,1.0g/d
以下哪一项不会引起LES张力下降()。
A:服用654-2
B:服用心痛定
C:Valsalva动作
D:吸烟
E:高脂餐
可产生核黄疸的是( )
A:Gi1bert综合征
B:Crig1er-Najjar综合征
C:Rotor综合征
D:Dubin-Johnson综合征
E:以上都不是
女性,65岁。有乙型病毒性肝炎史30年,16年前诊断为肝硬化。2年来明显乏力、消瘦。昨天突然剧烈腹痛、腹胀。血压80/40mmHg;脉搏130次/分;腹腔穿刺抽出血性腹水。最可能并发()。
A:结核性腹膜炎
B:原发性腹膜炎
C:并发肝癌破裂
D:腹腔转移癌
E:门静脉血栓形成
正常人胃食管反流的特点为()。
A:发生在夜间
B:白天罕见
C:进餐时反流较多
D:反流总时间小于1h/24h
E:进餐后反流较多
西方国家最常见的急性胰腺炎病因是()。
A:大量饮酒和暴饮暴食
B:胰管阻塞
C:手术与创伤
D:内分泌与代谢障碍
E:胆道系统疾病
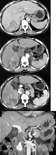
女性,55岁,曾患乙肝,肝硬化多年,右上腹胀痛1月余,CT检查如图所示,最可能的诊断是( )
A:肝硬化腹水、下腔静脉血栓形成
B:肝硬化腹水、胆管细胞癌
C:肝硬化腹水、肝癌并下腔静脉癌栓
D:肝硬化腹水、肝脓肿
E:肝硬化腹水、肝血管瘤
患者男,58岁。饮酒30余年。5小时前大量饮酒后突然出现上腹痛,弯腰抱脓体位疼痛缓解,伴呕吐及发热,1小时前出现幻觉及烦躁不安。查体:意识恍惚,计算力、定向力降低,查体不配合。化验结果回报:血糖13mmoUL,血钠140mmol/L,血钾4.6mmol/L,ALT126U/L,Cr85mol/L,AMY130U/L。下一步需要观察哪种指标的变化()。
A:血糖
B:血清离子
C:血淀粉酶
D:肝功能
E:肾功能
F:尿淀粉酶
女性,26岁。上腹胀痛,食欲减退半年余来诊。胃镜检查胃窦部黏膜呈红白相间,以红为主,黏液较多,活检病理检查有淋巴细胞、浆细胞浸润及肠上皮化生,应考虑诊断是()。
A:慢性浅表性胃炎
B:慢性萎缩性胃炎
C:糜烂性胃炎
D:肥厚性胃炎
E:早期胃癌
女性,48岁。肝硬化腹水患者,近来自觉腹胀加重,腹围增大,腹痛,发热,查体:腹肌略紧张,全腹压痛,反跳痛,双下肢水肿。
第1题,共4个问题
(单选题)在利尿过程中,每天应监测体重,该患者以每日减轻多少为宜()。
A:0.1~0.2kg
B:0.3~0.4kg
C:0.3~0.5kg
D:0.5~0.8kg
E:0.8~1.0kg
第2题,共4个问题
(单选题)如果利尿过猛,易并发()。
A:肝肺综合征
B:肝肾综合征
C:肝性脑病
D:感染
E:食管胃底静脉曲张破裂出血
第3题,共4个问题
(单选题)给予利尿剂治疗时,下列哪项比例在临床上认为是效果最佳的()。
A:螺内酯60mg,呋塞米20mg
B:螺内酯200mg,呋塞米80mg
C:螺内酯200mg,呋塞米100mg
D:螺内酯300mg,呋塞米120mg
E:螺内酯400mg,呋塞米200mg
第4题,共4个问题
(单选题)给予患者利尿治疗,下列哪项说法是正确的()。
A:临床上常用的利尿剂为氢氯噻嗪
B:螺内酯是排钾利尿剂
C:氨苯蝶啶是排钾利尿剂
D:氢氯噻嗪是排钾利尿剂
E:呋塞米是排钾利尿剂
肠易激综合征所致腹泻属下列哪类腹泻( )
A:渗透性腹泻
B:分泌性腹泻
C:渗出性腹泻
D:肠运动功能障碍性腹泻
E:吸收不良性腹泻
女,18岁,发热、右下腹痛半年,有慢性腹泻史,无脓血便。3年前患浸润型肺结核,已治愈。月经正常。 查体:体温38℃,呼吸24次/分,血压12.0/8.0kPa(90/60mmHg),眼睑结膜苍白,肺正常,腹平软,肝脾未触及,右下腹可扪及3cm×4cm包块,质中等,边界欠清、轻触痛。肛查发现肛瘘。在病史和查体方面,易联想到克罗恩病的表现是( )
A:肛瘘
B:慢性腹泻
C:睑结膜苍白
D:右下腹痛
E:肺结核病史
下列不是结肠癌转移途径的是()。
A:淋巴结转移
B:胃转移
C:门静脉栓塞
D:直接蔓延
E:血行播散
患者男,42岁。10小时前饱餐后出现持续性上腹痛,2小时前开始出现咳嗽,进行性呼吸困难。查体:BP85/50mmHg,P122次/分,T38.8℃,巩膜黄染,全腹压痛,伴反跳痛及肌紧张。血淀粉酶700U/L。
第1题,共5个问题
(单选题)下列哪种诊断的可能性最大()。
A:轻症急性胰腺炎
B:消化性溃疡穿孔
C:心肌梗死
D:重症急性胰腺炎
E:机械性肠梗阻
F:慢性胆囊炎
第2题,共5个问题
(单选题)为了进一步评价该患者的病情,下列哪项检查最合适()。
A:胰腺CT增强
B:腹部超声
C:胃镜
D:消化道血管造影
E:肾功能
F:慢性胆囊炎
第3题,共5个问题
(单选题)腹部超声提示肝内外胆管未见扩张。下列哪项治疗不是必需的()。
A:禁食水
B:抑酸治疗
C:抑制胰液分泌
D:抑制胰酶作用
E:外科手术
F:抗炎治疗
第4题,共5个问题
(多选题)该患者的发病原因可能是()。
A:十二指肠乳头萎缩
B:胃酸分泌过多
C:Odii括约肌痉挛
D:胰液大量分泌
E:胰管钙化
F:胆汁大量分泌
第5题,共5个问题
(多选题)该患者还急需完善哪些辅助检查()。
A:血气分析
B:肺CT
C:血脂
D:心电图
E:胃镜
F:血脂肪酶
病例摘要:男性,30岁。餐后突发右上腹及剑突下痛,放射到右肩及后背部,2小时后疼痛剧烈,伴恶心,并吐出所进食物,仍不缓解,急诊就医。数年"胃病"史及胆石症病史,间有胆绞痛发作。查体:痛苦病容。体温37.2℃,呼吸28次/分,浅快,律齐,全腹胀,上腹肌紧张,压痛反跳痛(+),移动性浊音(±),WBC12×10
9
/L。Hb125g/L,尿淀粉酶400U/L(温氏法正常值32U)。 早期处理中错误的是()。
A:使用抗生素
B:为缓解疼痛,肌内注射哌替啶50mg
C:安放胃肠减压管
D:为监测尿量,安放导尿管
E:静脉输液
患者饮酒30年,近1个月腹胀、尿少,查体移动性浊音阳性,化验腹水比重1.015,WBC://90/L,血清ALB35g/L,其腹水的适宜治疗方法为()。
A:大量利尿剂的应用
B:多次放腹水,每次4000毫升以上
C:腹水经超滤浓缩回输
D:休息、限水、限钠
E:反复输新鲜血
肝硬化上消化道出血后,为预防肝性脑病的发生最需采取的措施为( )
A:积极大量输血
B:口服新霉素
C:复方氨基酸静滴
D:抗炎症治疗
E:弱酸液灌肠
下列哪项实验室指标符合急性水肿型胰腺炎( )
A:低蛋白血症
B:AKP增高
C:低氧血症
D:氮质血症
E:高血糖症
LSBE是指()。
A:红色病变累及全周并且长度≥3cm
B:红色病变未累及全周或虽累及全周但长度<3cm
C:红色病变长度≥3cm
D:红色病变长度<3cm
E:红色病变长度<1cm
50岁女性,上腹疼痛间断发作5年余,近1月加重,钡餐提示:胃角部龛影,直径2.0cm。胃酸分析酸度偏低,经内科治疗2个月症状缓解不明显。龛影大小无改变。进一步处理应首选( )
A:更换药物继续保守治疗
B:手术治疗
C:一月后行纤维胃镜检查
D:反复多次作粪便隐血试验
E:二月后再作钡餐复查
不符合胆源性急性胰腺炎的因素是( )
A:胆石嵌顿
B:蛔虫填塞胆总管
C:Oddi括约肌松弛
D:胆道炎症时细菌毒素,释放出的激肽
E:使胰液分泌过度旺盛
首页
<上一页
48
49
50
51
52
下一页>
尾页