自考题库
首页
所有科目
自考历年真题
考试分类
关于本站
游客
账号设置
退出登录
注册
登录
出自:康复医学住院医师
正常人手指末节掌侧皮肤的两点区分试验距离为2~3mm。()
正常髋关节伸展活动度()
A:0°~50°
B:0°~90°
C:0°~150°
D:0°~180°
E:0°~15°
何神经损伤后出现"马蹄内翻足"()
A:胫神经
B:腓总神经
C:股神经
D:坐骨神经
E:股后皮神经
40%体表烧伤患者在康复治疗中连续有进步。应在下列方面劝告患者,但
不包括
()
A:一般应关心其他措施对患者的瘢痕与表现的效果
B:应保护以前烧伤的部位,防止过度的日光曝晒
C:患者外出时应慢慢行走以免引起过度疲劳
D:重要的是使患者回转到发生烧伤的情景,尽快开始心理,治疗
E:患者应避免高温,因其温度调节可能受影响
踝关节外侧韧带包括距腓前韧带、跟腓韧带和距腓后韧带。()
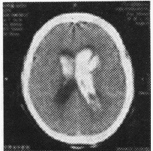
男,56岁。高血压病患者。旅游登山中突然右侧肢体发麻、乏力。急送医院,摄头颅CT片如下图。
第1题,共2个问题
(单选题)CT影像中描述病灶呈()
A:高信号区
B:低信号区
C:低密度区
D:高密度区
E:不等密度区
第2题,共2个问题
(单选题)病损部位在()
A:左侧大脑皮质
B:右侧大脑皮质
C:左侧基底节区
D:右侧基底节区
E:小脑
最不常发生压疮的部位是()
A:骶部
B:坐骨结节
C:内踝
D:外踝
E:大转子
各种原因所致的身体结构、外形、器官或系统生理功能以及心理功能的异常或缺损称为()。
A:残损
B:残疾
C:残障
D:残废
E:损伤
促进感觉功能的恢复可采用()
A:直流电槽浴
B:直流电离子导入疗法
C:低频电疗法
D:触摸各种图案
E:按摩
颈椎病一般状况的评定包括()
A:颈椎的活动范围测定
B:肌力的测定
C:感觉和反射的测定
D:疼痛与压痛点的测定
E:ADL能力评定
确定T
10
,平面损伤的皮肤感觉区是()
A:脐上4cm
B:脐上2cm
C:脐水平
D:脐下2cm
E:脐下4cm
下面哪些疾病属于脑血管意外()
A:腔隙性梗死
B:动脉粥样硬化
C:短暂性脑缺血
D:蛛网膜下腔出血
E:高血压病
失神经电刺激疗法用____波或____波,治疗前先进行____曲线检查或可参考使用的____。
试述慢性炎症性脱髓鞘性多发性神经病的治疗。
什么是蛛网膜下腔出血?
某患儿,男,6岁,因不慎被开水烫伤,双上肢被烫伤,创面渗出较多,水疱较饱满,皮温增高,有剧痛。该患儿烧伤面积和和深度的诊断是()
A:9%,Ⅰ°烧伤
B:15%,浅Ⅱ°烧伤
C:15%,深Ⅱ°烧伤
D:18%,浅Ⅱ°烧伤
E:18%,深Ⅱ°烧伤
以下不能出现分离性感觉障碍的是()
A:脊髓前角受损
B:脊髓半切损害
C:脊髓丘脑束受损
D:中央管附近受损
E:脊髓后角受损
脊柱运动的自由度有()
A:2个
B:3个
C:4个
D:5个
E:6个
与前额叶损伤有关的行为问题包括____、____、____。
腱鞘囊肿的查体所见
不包括
()
A:有可活动的物体,有时轻度压痛
B:以笔式电筒光照射肿物时不透光
C:腕伸展范围减小
D:腕背侧痛
E:指甲板变形
使肩关节内收的肌肉是()
A:胸小肌
B:胸大肌
C:前锯肌
D:冈上肌
E:冈下肌
在石蜡疗法的治疗作用中哪些
不正确
()
A:温热作用
B:放射作用
C:机械压迫作用
D:滑润作用
E:化学作用
颅脑损伤所产生的症状
不包括
()
A:痉挛
B:头昏/眩晕
C:嗅觉受损
D:行为问题
E:胃肠炎
压疮如何分类和分度?
心肺复苏心脏按压时,按压与放松时间之比应为()
A:70%:30%
B:60%:40%
C:50%:50%
D:40%:60%
E:30%:70%
英文"Rehabilitation"在我国翻译为()
A:康复
B:复健
C:恢复
D:复康
E:复原
全身照射法加速进度末次剂量是()
A:4MED
B:5MED
C:3MED
D:2MED
E:6MED
急性炎症性脱髓鞘性多发性神经病与低血钾型周期性麻痹最主要的鉴别()
A:瘫痪的特点
B:是否伴双侧面神经麻痹
C:血钾及血钠降低
D:血钾降低
E:脑脊液改变
男性,11岁,右肱骨中段斜形骨折后,曾行手法复位及小夹板外固定。下列并发症中哪项最易发生()
A:神经损伤及肱动脉损伤
B:骨折延迟愈合
C:桡神经损伤及前臂缺血性肌挛缩
D:肱骨远侧端缺血性骨坏死
E:骨质疏松症
男,46岁。主诉四肢麻木无力1年半。1年半前无诱因出现颈背部酸痛不适,伴双手麻木无力。半年后出现双手麻木逐渐向双上臂至双下肢发展伴四肢无力。病后曾按"颈椎病"给予牵引,口服"颈复康"对症治疗,无明显效果。发病以来精神、饮食好,无明显消瘦,发热。小便时费力,无大便秘结。查体:C平面以下皮肤痛、温觉减退。四肢肌容积正常,四肢肌力Ⅳ级,四肢肌张力增高,双侧肱二、三头肌反射,膝跟腿反射均无,双侧巴氏征阳性。余神经系统检查无异常。MRI影像提示颈~胸病变。脑脊液检查正常。诊断为髓内室管膜瘤。在全麻下行显微手术脊髓内室管膜全切除术。术后双下肢肌力减退为Ⅱ级,2周后恢复至Ⅴ级。卧床3周后,起床解便时,突然出现呼吸急促,大汗淋漓,继之出现血压下降,意识不清。查体:意识处于昏睡状态,双侧瞳孔0.3cm,对光反射迟钝,呼吸急促50次/分,心率快160次/分,血压70/40mmHg。口唇发绀。SPO为80%,心电图检查窦性心动过速。
第1题,共4个问题
(单选题)采用下列哪项检查可以确诊()
A:头颅CT
B:胸部CTA
C:头颅MRI
D:胸部MRI
E:颈椎MRI
第2题,共4个问题
(单选题)Brown-Square综合征包括下列哪些征象()
A:同侧损伤平面以下痛温觉消失
B:同侧损伤平面以下运动消失
C:同侧损伤平面以下深感觉消失
D:同侧损伤平面节段性痛觉温觉消失
E:对侧损伤平面以下1~2节段痛温觉消失
F:同侧损伤平面运动消失
第3题,共4个问题
(单选题)检查正常。诊断考虑是()
A:脊髓空洞症
B:脊髓蛛网膜囊肿
C:肠源性囊肿
D:髓内室管膜瘤
E:星形胶质细胞瘤
F:血管网织细胞瘤
第4题,共4个问题
(单选题)提示:结合病史、体征。病变定位在下列哪个部位()
A:中央前回
B:中央后回
C:颈髓
D:旁中央小叶
E:内囊
F:脑干
首页
<上一页
38
39
40
41
42
下一页>
尾页