自考题库
首页
所有科目
自考历年真题
考试分类
关于本站
游客
账号设置
退出登录
注册
登录
出自:内分泌学高级职称
淡漠型甲状腺功能亢进症(甲亢)的特点是()。
A:T
3
、T
4
明显增高
B:高代谢症状明显
C:常伴甲状腺肿大
D:常有突眼
E:消瘦、恶病质明显
一例用短效胰岛素治疗的糖尿病人多次空腹血糖增高,尿糖阳性,白天尿糖全部阴性。
第1题,共4个问题
(单选题)在下列原因中哪项可不予考虑( )
A:夜间胰岛素不足
B:夜间肝糖原输出增加
C:Somogyi效应
D:黎明现像
E:临睡前加餐
第2题,共4个问题
(单选题)应该如何确诊患者究竟夜间有无Somogyi效应( )
A:12点(半夜)后的尿糖
B:糖化血红蛋白
C:半夜12点后的血浆胰岛素水平
D:半夜12点后每2小时查血糖1次,直到第二天早晨8点
E:半夜12点以后,每2小时抽血查血浆皮质醇、胰升糖素、生长激素及胰岛素、血糖水平
第3题,共4个问题
(单选题)为确定患者有无“黎明现像”在上题所列的检查中,应选做哪项检查?( )
A:12点(半夜)后的尿糖
B:糖化血红蛋白
C:半夜12点后的血浆胰岛素水平
D:半夜12点后每2小时查血糖1次,直到第二天早晨8点
E:半夜12点以后,每2小时抽血查血浆皮质醇、胰升糖素、生长激素及胰岛素、血糖水平
第4题,共4个问题
(单选题)如果上述检查排除了病人发生Somogyi效应和黎明现像的可能,则应如何处理( )
A:临睡前注射1次短效胰岛素
B:改用中效胰岛素
C:晚上胰岛素改为短效加长效胰岛素
D:临睡前加服1次达美康
E:临睡前加餐1次,同时加注1次短效胰岛素
关于甲状旁腺功能减退症病因下列哪项描述是正确的( )
A:高镁血症可引起功能性甲状旁腺功能减退症
B:特发性甲状旁腺功能减退症发病与环境因素有关
C:甲状旁腺功能减退症若合并多发性内分泌腺功能减退症要考虑继发性
D:甲状腺手术后可能导致甲状旁腺功能减退症
E:妊娠期间胎儿的甲状旁腺发育会被母体的高血钙抑制,新生儿出生后就会出现永久性甲旁减
先天性肾上腺皮质增生是由于某种激素合成障碍,这种激素是()。
A:雄性激素
B:雌性激素
C:盐皮质激素
D:糖皮质激素
E:甲状腺激素
妊娠7个月合并甲状腺功能亢进,下列何项治疗比较合适( )
A:抗甲状腺药物加甲状腺片
B:放射性核素治疗
C:大剂量硫脲类药物
D:手术治疗
E:抗甲状腺药物剂量宜偏小
酮体一般是指()、()、()。
男性,31岁,发作性头痛、心悸伴大汗3次就诊。发病时体检:血压190/130mmHg,心率140次/min,面色苍白,数分钟可缓解,继而出现面色潮红。患者诊断为嗜铬细胞瘤,用下列哪些药物控制血压效果较理想()。
A:哌唑嗪
B:硝普钠
C:倍他乐克
D:卡托普利
E:硝苯地平
F:螺内酯
糖尿病大血管病变的危险性与_______和________水平呈正相关与_______水平呈负相关。
诊断嗜铬细胞瘤的一个线索是( )
A:高血压对哌唑嗪特别敏感
B:高血压对常用降压药有效
C:高血压伴交感神经亢进
D:高血压伴高代谢状态
E:持续性高血压
碘治疗甲亢,哪一项是不适宜的()。
A:抗甲状腺药物治疗无效者
B:甲亢手术后复发
C:甲亢合并妊娠
D:年龄30岁以上,病情中等度严重者
E:单个结节伴甲状腺功能亢进者
下列不符合Graves病诊断的是()。
A:24小时尿肌酸增高
B:血甲状腺激素(TH)增高
C:促甲状腺激素(TSH)
D:甲状腺摄
131
I率增高
E:TSAB或TSI阳性
男,56岁,BML26.8,无“三多一少”症状,空腹血糖6.6mmol/I,父亲患糖尿病,疑糖尿病,下列哪项检查最有意义( )
A:尿糖定性
B:24小时尿糖定量
C:餐后血糖
D:糖化血红蛋白
E:OGTT试验
女,24岁,妊娠8个月,近1个月来常于卧位时突发头痛、心悸,多汗,测血压高达230/140mmHg,坐起后症状可逐渐缓解,血压恢复正常,空腹血糖为7.8mmol/L,电解质及肝、肾功能正常。则最可能的诊断是( )
A:妊娠高血压综合征
B:原发性高血压病
C:原发性醛固酮增多症
D:Addison病
E:嗜铬细胞瘤
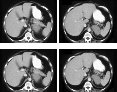
女,47岁,满月脸,向心性肥胖伴高血压1个月,请结合所提供图像,作出诊断( )
A:左肾上腺腺瘤
B:左肾上腺腺癌
C:左肾上腺转移瘤
D:左肾上腺嗜铬细胞瘤
E:左肾上腺增生
病历摘要:患者,女性,24岁,因“疲乏,怕冷伴记忆力减退1年”来诊,1年来患者自觉容易疲乏,活动耐力下降,记忆力较前明显下降,伴怕冷。3年前曾患甲亢,经他人介绍服用一杯药水(具体不详)后好转。
第1题,共8个问题
(多选题)如果患者发生粘液性水肿,以下哪一种(或哪几种)药物是可能会使用的()。
A:L-T
3
B:L-T
4
C:氢化可的松
D:普萘洛尔
E:复方碘剂
F:阿司匹林
第2题,共8个问题
(单选题)如果患者经替代治疗后好转,数年后拟妊娠,此时应最好达到哪个指标?()
A:FT
3
正常上限
B:FT
4
正常上限
C:TSH正常上限
D:rT
3
正常上限
E:FT
3
正常下限
F:FT
4
正常下限
第3题,共8个问题
(多选题)对于典型的原发性甲状腺功能减退症患者,下列哪一种(或哪几种)实验室检查的叙述是正确的?()
A:FT
3
下降
B:rT
3
下降
C:FT
4
下降
D:FT
3
上升
E:TSH下降
F:TSH上升
第4题,共8个问题
(多选题)对于甲状腺功能减退症的患者,可能有下列哪一种(或哪几种)临床表现?()
A:表情淡漠
B:皮肤干燥
C:月经失调
D:溢乳
E:腹胀
F:食欲下降
第5题,共8个问题
(多选题)对于甲状腺功能减退症的患者,实验室检查可能出现下列哪一种(或哪几种)异常?()
A:血清CK增高
B:贫血
C:心包积液
D:心动过速
E:血清甘油三酯增高
F:血清LDL-C增高
G:血清HDL-C增高
第6题,共8个问题
(多选题)甲状腺功能减退症的替代治疗一般可以考虑下列哪一种(或哪几种)药物()。
A:他吧唑
B:丙基硫氧嘧啶
C:L-T
3
D:L-T
4
E:甲状腺片
F:泼尼松
第7题,共8个问题
(单选题)该患者目前考虑何种疾病的可能性最大?()
A:Sheehan综合征
B:Cushing综合征
C:原发性甲状腺功能亢进症
D:继发性甲状腺功能亢进症
E:原发性甲状腺功能减退症
F:继发性甲状腺功能减退症
第8题,共8个问题
(单选题)鉴别甲状腺功能减退症和低T
3
、T
4
综合征,最有价值的检查是下列哪一项(或哪几项)?()
A:T
3
B:T
4
C:FT
3
D:FT
4
E:TSH
F:rT
3
下列何种表现不是希恩综合征的表现( )
A:内生殖器官萎缩
B:皮肤黏液性水肿
C:产后乳汁缺少或缺如
D:皮肤色素加深
E:胡萝卜素色素沉着
糖尿病性微血管病变可引起
A:肾小球硬化症
B:神经病变
C:视网膜病变
D:心肌损害
E:缺血性脑卒中
典型的糖尿病微血管病变表现为( )
A:糖尿病肾病、视网膜病变、周围神经病变
B:微循环障碍、微血管瘤、基底膜增厚
C:结节性病变、弥漫性病变、渗出性病变
D:非增殖性病变、增殖性病变
E:血流动力学改变、血液流变学改变
下丘脑可分泌_____和____影响垂体的功能。
内分泌是指内分泌腺或组织所分泌的激素( )
A:通过血液传递
B:通过细胞外液局部传递
C:通过细胞外液邻近传递
D:直接作用于自身细胞
E:细胞内直接作用
Whipp1e三联征包括:低血糖症状,发作时血糖低于3.0mmol/L,供糖后低血糖症状迅速缓解。
生长激素分泌过多在骨骺闭合之前引起_______________,而在骨骺闭合之后引起___________________。
继发性甲状旁腺功能亢进症
以下哪一项与甲状腺功能亢进病因无关( )
A:某些桥本病早期
B:P1ummer病
C:乳房良恶性肿瘤
D:脑下垂体产生TSH肿瘤
E:亚急性甲状腺炎
下列哪项检查可肯定甲状旁腺功能减退症的诊断( )
A:血钙降低、血磷↑
B:尿钙、尿磷排量↓
C:碱性磷酸酶↑
D:静滴外源性PTH后尿磷、cAMP↑
E:血PTH明显↑
关于甲状腺肿大,叙述正确的有()。
A:甲状腺功能亢进时多数有甲状腺肿大
B:甲状腺功能亢进时如有甲状腺肿大,即可闻及血管杂音
C:甲状腺肿大不一定伴随甲状腺激素分泌增多
D:甲状腺激素增多一定有甲状腺肿大
E:甲状腺峡部肿大,尤其是锥体叶肿大,怀疑慢性淋巴细胞性甲状腺炎
患者女,26岁,因“怕热、出汗多、体重减轻1个月”来诊。3个月前正常生产一男婴,母乳喂养。近1个月怕热、出汗多、体重减轻。查体:T36.3℃;无突眼,甲状腺Ⅱ度肿大,质韧;HR110次/min。
第1题,共3个问题
(单选题)你认为该患者最可能的诊断是()。
A:亚急性甲状腺炎
B:无痛性甲状腺炎
C:产褥热
D:桥本甲状腺炎
E:甲状腺功能亢进危象
F:病毒性心肌炎
第2题,共3个问题
(多选题)如果上述检查显示T
3
、T
4
升高,
131
I摄取率明显降低,你认为治疗方案是()。
A:大剂量抗甲状腺药物控制甲状腺功能亢进
B:密切随访
C:使用糖皮质激素
D:
131
I治疗
E:可给予β-受体阻断剂控制症状
F:积极术前准备择期手术
第3题,共3个问题
(多选题)对确定诊断和鉴别诊断意义较大的是()。
A:血清T
3
、T
4
、TSH
B:甲状腺B超
C:检测病毒抗体
D:血沉
E:
131
I摄取率
F:颈部CT
甲亢患者的心血管系统临床表现有( )
A:心动过速
B:周围血管征
C:心律失常
D:血压增高
E:心脏增大,心功能不全
女性,45岁,身高155cm,体重80kg。体格检查:血压150/90mmHg,两下腹壁及大腿内侧有纵行红色纹
第1题,共2个问题
(单选题)对此病人首先应首考虑的检查项目是( )
A:24小时尿游离皮质醇
B:血脂全套
C:血ACTH测定
D:美替拉酮试验
E:地塞米松抑制试验
第2题,共2个问题
(单选题)为鉴别单纯性肥胖与库欣综合征,需要做的进一步检查是( )
A:大剂量地塞米松试验
B:小剂量地塞米松试验
C:美替拉酮试验
D:血浆皮质醇测定
E:血浆皮质醇节律测定
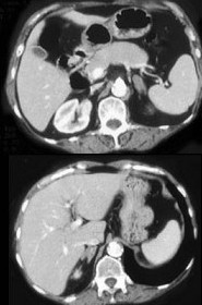
女,42岁,夜尿增多伴高血压,实验室检查:血和尿醛固酮水平增加,请结合图像,选择最佳答案( )
A:双侧肾上腺增生
B:双侧肾上腺腺瘤
C:双侧肾上腺未见异常
D:双侧肾上腺转移瘤
E:双侧肾上腺淋巴瘤
首页
<上一页
36
37
38
39
40
下一页>
尾页