自考题库
首页
所有科目
自考历年真题
考试分类
关于本站
游客
账号设置
退出登录
注册
登录
出自:放射医学主治医师
亚急性硬膜下血肿在外伤后多长时间出现()
A:5~10天
B:1~3周
C:4天~4周
D:4天~3周
E:5天~3周
胃小区的大小约为()
A:<1mm
B:1~3mm
C:3~5mm
D:5~7mm
E:>7mm
关于肾癌的CT检查,错误的是()
A:肾实质癌表现为形态不规则的软组织肿块,产生肾外形扩大或局部隆起
B:增强扫描是绝对不能省略的,增强后肾癌整体密度较肾实质为高
C:增强扫描具有诊断价值,同时可以确定有无血管瘤栓形成
D:对于较大肾癌,可以观察判断其外延浸润的其他征象
E:CT对肾癌诊断和分期的准确率超过90%
女,40岁,右桡骨远端疼痛5月余,局部压痛。结合右腕关节正侧位片,最可能的诊断为()
A:成软骨细胞瘤
B:骨巨细胞瘤
C:骨囊肿
D:动脉瘤样骨囊肿
E:骨纤维异常增殖症
患者,女,39岁,右眼外突1个月。CT示球后肿块,内有斑点状钙化,增强明显,诊断为()
A:炎性假瘤
B:海绵状血管瘤
C:视网膜母细胞瘤
D:甲状腺性突眼
E:视神经胶质瘤
显示缺乏自然对比的组织()
A:造影检查
B:软线摄影
C:荧光摄影
D:高电压摄影
E:放大摄影
脑动脉溶栓的最佳治疗时机为()
A:发病6小时以内
B:发病6小时以上
C:发病9小时以内
D:发病9小时以上
E:发病12小时以内
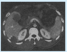
患者,男性,65岁,全程无痛性血尿半年,不伴尿急、尿痛;半年反复肉眼血尿,尿常规示:红细胞4~5/HP,白细胞0~2/HP,蛋白(+)。查体:双肾区叩击痛阴性。
第1题,共3个问题
(单选题)下列关于肾癌的说法,错误的是()
A:病灶可合并出血、钙化
B:是乏血供肿瘤
C:发病年龄多在40岁以上,男性多于女性
D:典型增强表现为"快进快出"
E:肾实质内肿块
第2题,共3个问题
(单选题)双肾CT增强扫描图像如下,可诊断为()
A:肾癌
B:肾盂癌
C:肾囊肿
D:肾错构瘤
E:肾母细胞瘤
第3题,共3个问题
(单选题)应首选下述何种影像学检查()
A:腹部平片
B:CT
C:静脉尿路造影
D:逆行膀胱造影
E:DSA
不同CT值范围提示不同成分,下列叙述中错误的是()
A:3~18HU提示为液体
B:-1000HU提示为空气
C:20~80HU提示为脂肪
D:80~300HU提示为钙化
E:>400HU提示为骨骼
下列哪一项是卵巢畸胎瘤特征性的X线表现()
A:盆腔内牙齿或骨骼
B:盆壁骨的破坏
C:盆腔内钙化
D:盆腔内软组织肿块
E:盆腔积液
肩关节最常见的脱位是()
A:前脱位
B:后脱位
C:肩关节盂下脱位
D:锁骨下脱位
E:喙突下脱位
胸膜间皮瘤的病理及X线表现中,哪项是错误的()
A:为胸膜的原发性肿瘤,可发生于脏、壁层胸膜
B:局限结节型,呈圆形或椭圆形的致密影,边缘光滑,密度与软组织相似,少数可有钙化
C:切线位,肿瘤基底宽,贴于胸壁,向肺野突出,肿块与胸壁相交成钝角
D:广泛浸润型,引起广泛不规则或波浪状胸膜增厚,有大量胸腔积液,本型生长较慢,可侵及肋骨引起病理性骨折
E:肿块与胸壁相交成锐角,轮廓且常呈分叶状,边缘不光滑,有小毛刺
皮革胃是下列哪种类型的胃癌()
A:溃疡型
B:蕈伞型
C:平坦型
D:浸润型
E:混合型
患者,男,42岁,外伤后不省人事,2小时后清醒,后又昏迷,急诊来院。
第1题,共1个问题
(单选题)你认为首先应做的检查是()
A:MRA
B:DSA
C:TCD
D:CT
E:X线平片
F:ECT
患者,男,30岁。腰骶部疼痛2年,CT显示骶椎3~4破坏伴肿块及斑片样钙化。诊断为()
A:巨细胞瘤
B:包囊虫
C:转移瘤
D:骨髓瘤
E:脊索瘤
膀胱结石()
A:膀胱壁毛糙不平,膀胱容积缩小
B:边缘多不规则,表面凹凸不平,基底宽,局部膀胱壁变硬,膀胱变形
C:逆行造影,表现为充盈缺损且随体位而动
D:造影早期无明显异常,晚期膀胱容积减小,表面毛糙,偶可见膀胱壁线样钙化
E:可见膀胱一侧壁向膀胱内突出的充盈缺损影,形态可呈圆形或不规则形,体位变后病灶无变化
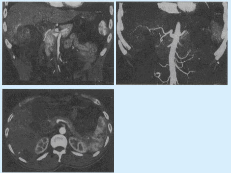
应首先排除()
A:胸主动脉硬化
B:主动脉壁内血肿
C:胸主动脉夹层并破裂
D:胸主动脉破裂
E:主动脉炎
脑的横断层面上,辨认内囊后肢的位置在以下哪个部位()
A:尾状核头与背侧丘脑之间
B:豆状核与尾状核头之间
C:豆状核与背侧丘脑之间
D:豆状核与尾状核尾之间
E:豆状核与岛叶之间
后尿道延长,平直,造影剂可进入扩张的腺体分泌小管而显影,在精阜两侧呈放射状或树枝状影()
A:前列腺囊肿
B:前列腺增生
C:前列腺癌
D:腹膜后纤维化
E:前列腺炎
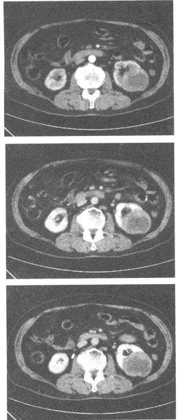
患者,男,43岁。体检发现左肾上腺肿物4天。患者4天前B超发现左中上腹肿物,边界尚清,形态欠规则,不伴头痛、头晕,不伴心悸、视物模糊。查体:BP111/66mmHg。
第1题,共3个问题
(单选题)CT检查如下图,拟诊断()
A:肾上腺增生
B:肾上腺腺瘤
C:肾上腺结核
D:肾上腺嗜铬细胞瘤
E:肾上腺脓肿
F:肾上腺囊肿
第2题,共3个问题
(多选题)该病表现正确的是()
A:阵发性高血压、头痛、心悸、多汗
B:肾上腺皮质是肿瘤发生的主要部位
C:实验室检查24小时儿茶酚胺代谢物明显高于正常
D:老年人易发病
E:10%发生在肾外
F:易发生异位改变
第3题,共3个问题
(单选题)该病最适合的检查方法是()
A:CEA
B:MRA
C:MRI
D:CT
E:B超
F:DSA
肺癌栓塞并发症,
不包括
()
A:局部出血
B:血肿
C:血管栓塞
D:脊髓损伤
E:肺栓塞
左心房增大在心脏正位片上的诊断依据为()
A:肺淤血
B:心脏呈"二尖瓣型"
C:心脏呈"主动脉型"
D:右心缘"双弧征"
E:左心耳凸出
患者,女,35岁,因不孕就诊,CT扫描子宫增大呈分叶状,表面光滑,子宫肌壁内实性略低密度影,有钙化,宫腔受压移位,考虑为()
A:葡萄胎
B:子宫内膜癌
C:子宫肌瘤
D:子宫腺肌瘤
E:妊娠
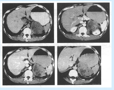
患者30岁,女性,右上腹持续性痛,腹胀,胸闷,食欲减退,消瘦。实验室检查,甲胎蛋白血清AFP试验阳性血清碱性磷酸酶(ALP)增高,CT示肝右前叶病灶。
第1题,共5个问题
(单选题)分析图像,结合病史,最可能的诊断是()
A:肝血管瘤破裂
B:肝血管平滑肌瘤破裂
C:肝癌并破裂
D:布-加综合征
E:以上都不是
第2题,共5个问题
(单选题)肝血管瘤的诊断标准错误的是()
A:平扫呈低密度,增强等密度,充填时间大于7分钟
B:强化区域进行性向病灶中央扩散
C:早期病灶边缘呈高密度强化
D:平扫呈低密度,增强后等密度,充填时间大于3分钟
E:延迟扫描病灶呈等密度充填
第3题,共5个问题
(单选题)下列哪项
不属于
我国肝癌协作病理组对肝癌的分类()
A:块状型
B:结节型
C:弥漫型
D:多灶型
E:小癌型
第4题,共5个问题
(单选题)以下有关原发性肝癌的MRI表现,论述错误的是()
A:巨块型肝癌内常有脂肪变性、出血、坏死等改变,于TWI及TWI可出现不均匀性混杂信号
B:在TWI上呈稍低信号,边界常不清楚;在TWI上信号稍高于正常肝组织
C:原发性肝癌在TWI和TWI上均为低信号
D:增强后肝癌实质部分增强,边界更清楚
E:MRI门静脉造影可清楚显示有无门静脉癌栓形成
第5题,共5个问题
(单选题)TIPSS治疗禁忌证,错误的是()
A:肝性脑病前兆
B:中重度肝功能异常
C:严重的门脉狭窄阻塞
D:合并肝门部肝癌
E:合并难治性腹水
下列疾病中伴有肿块阴影的肺血管异常疾病的是()
A:肺动静脉瘘
B:部分肺静脉回流异常
C:肺动脉缺如
D:肺动脉狭窄
E:一侧肺发育不全
患者,男,38岁。反复上腹胀痛3年余,秋冬季及劳累后症状明显,进餐后症状加重,经约一小时后可缓解,伴有反酸、嗳气。无发热,腹泻等症状。体检上腹部轻压痛,未触及肿块。
第1题,共6个问题
(单选题)根据上述病史,首先考虑何种疾病()
A:消化性胃溃疡
B:慢性胃炎
C:胆囊炎
D:慢性胰腺炎
E:胃癌
F:胆石症
第2题,共6个问题
(多选题)为了明确诊断,应做哪些影像学检查()
A:上腹部CT检查
B:上消化道钡餐
C:B超
D:MR检查
E:PET
F:DSA
第3题,共6个问题
(单选题)患者的钡餐检查表现如下:胃小弯有一小的三角形龛影,龛影位于胃轮廓之外,其边缘光滑整齐,溃疡口部可见黏膜线,溃疡周围可见辐辏状的黏膜皱襞直达溃疡口部。胃内未见充盈缺损,胃壁扩张度良好。根据其影像表现,诊断为何病。()
A:消化性胃溃疡
B:慢性胃炎
C:胃憩室
D:胃淋巴瘤
E:胃癌
F:胃息肉
第4题,共6个问题
(单选题)根据病史及图片应诊断为()
A:麻痹性肠梗阻
B:单纯性肠梗阻
C:绞窄性肠梗阻
D:痉挛性肠梗阻
E:乙状结肠扭转
F:乙状结肠癌
第5题,共6个问题
(单选题)关于肠梗阻影像表现
不正确
的是()
A:扩张的肠袢靠拢形成咖啡豆状为急性机械性小肠梗阻的典型表现
B:绞窄性小肠梗阻时肠袢由于嵌顿而且充满液体而呈软组织团块阴影,形成“假肿瘤”征象
C:麻痹性肠梗阻的特点是大小肠呈均等积气、扩张,可有气-液平面,扩张的肠管相互靠近,但一般肠间隙正常
D:急性结肠梗阻钡灌肠检查,如不完全性结肠梗阻,钡剂一般在乙状结肠下端呈鸟嘴样改变
E:急性结肠梗阻时闭袢性扭转的特点是,结肠明显扩张,可达10~20cm,扩张的乙状结肠呈马蹄状,内有两个较宽的液面,其扩张的顶部可达中上腹部
F:以上都不是
第6题,共6个问题
(单选题)有关肠梗阻的CT表现,
不正确
的是()
A:梗阻远近端肠管直径有明显差异
B:闭袢型肠梗阻时可见“鸟喙征”(beaksign)
C:动力性肠梗阻可见小肠大肠的弥漫性充气扩张
D:绞窄性肠梗阻肠壁可出现分层改变
E:乙状结肠闭袢性扭转扩张的乙状结肠呈马蹄状,内有两个较大液平
F:小肠内只要有液气平面就可诊断肠梗阻
含短T
1
和长T
2
信号的不均质肿块见于()
A:子宫肌瘤
B:子宫先天畸形
C:畸胎瘤
D:子宫内膜癌
E:卵巢囊腺瘤
重复性最好、操作难度最大的胶片感光测定法是()
A:感光仪测定法
B:时间阶段曝光法
C:铝梯定量测定法
D:Bootstrap自举法
E:距离法
下列对腮腺肿瘤的描述,错误的是()
A:腮腺良性肿瘤较恶性肿瘤多见
B:腮腺腺淋巴瘤是最常见的腮腺良性肿瘤
C:腮腺混合瘤CT可表现为腮腺类圆形或椭圆形软组织肿块,边缘光滑
D:腮腺腺淋巴瘤T1WI和T2WI均可呈高信号
E:在超声检查中,腮腺混合瘤可显示均匀实性回声中有细小的蜂窝状结构
观察上颌窦首选()
A:柯氏位
B:瓦氏位
C:头颅正位
D:头颅侧位
E:颅底位
首页
<上一页
31
32
33
34
35
下一页>
尾页