自考题库
首页
所有科目
自考历年真题
考试分类
关于本站
游客
账号设置
退出登录
注册
登录
出自:消化内科学高级职称
女性25岁,反复发作下腹闷痛伴粘液脓血便2年,近来症状复发,伴全身关节酸痛,无发热,大便常规粘液、脓球各+,红细胞++,大便多次培养阴性,该患者应试用以下哪种治疗为最适合( )
A:抗结核治疗
B:抗阿米巴治疗
C:柳氮磺胺吡啶
D:痢特灵
E:支持疗法
男性,45岁。患“胃溃疡”10余年,突然全腹剧烈疼痛6小时。体温39℃,脉搏108次/分,血压105/60mmHg,腹式呼吸渐弱,腹肌紧张,全腹压痛及反跳痛,尤以上腹部明显;WBC10×10
9
/L。 可能的诊断是()。
A:肠梗阻
B:胃出血
C:急性胃肠炎
D:胆囊炎
E:胃穿孔
重症肝炎的急性肝性昏迷,下列哪项降氨措施是无效的( )
A:谷氨酸钾钠静滴
B:精氨酸静滴
C:乳果糖口服
D:新霉素口服
E:生理盐水清洁灌肠
58岁,男性,因上腹饱胀隐痛5年,钡餐胃肠造影和B超检查腹部均未见异常,胃镜检查示胃窦粘膜有充血和糜烂,活检病理报告粘膜呈慢性炎症,中度肠上皮化生,重度不典型增生。最佳治疗是( )
A:外科手术
B:前列腺素类药物或硫糖铝
C:对症治疗
D:吗叮啉和乐得胃联合治疗
E:低脂易消化饮食,忌烟酒
柳氮磺胺吡啶治疗溃疡性结肠炎的机制是本药在结肠中经细菌分解释放出磺胺吡啶而起消炎作用
患者男,50岁。乙肝后肝硬化8年,腹水半年,5天前反复呕血黑便,经抢救治疗后好转,近2日来嗜睡,定向力下降。查体:可见肝掌,扑翼样震颤阳性。化验及检查:血氨156μmol/L,血糖5.6mmol/L;头CT:未见异常。下列哪些措施能促进体内氨的代谢()。
A:鸟氨酸-
B:L-鸟氨酸-L-门冬氨酸
C:精氨酸
D:谷氨酸钠
E:弱酸灌肠
F:谷氨酸钾
病例摘要:患者,女性,42岁,右上腹痛20天。体检:皮肤巩膜轻度黄染,右上腹隆起,肝右肋下4.5cm,结节感,质硬,B超提示:肝内弥漫低密度结节,门静脉直径1.4cm,脾大。HBsAg(+)。
第1题,共2个问题
(单选题)下列哪项检查对诊断帮助不大()。
A:肝脏CT平扫+增强
B:血AFP
C:肝动脉血管造影
D:肝脏MRI
E:血常规
第2题,共2个问题
(单选题)最可能的诊断是()。
A:原发性肝癌
B:慢性乙型肝炎
C:脂肪肝
D:肝硬化
E:转移性肝癌
男性,50岁,间断腹痛、腹泻20余年,加重3个月,大便4~5次/天。纳差,体重下降。化验便潜血(±~+),有脓细胞、红细胞。血Hb104g/L。确诊最佳手段()。
A:血液生化
B:粪便找瘤细胞
C:结肠镜
D:腹部CT
E:腹部超声
长期应用安替舒通治疗慢性肝病可以加重男性乳房发育
关于溃疡性结肠炎的临床表现,下列哪项错误的是( )
A:腹痛-便意-便后缓解
B:左下腹有压痛
C:常有腹胀
D:可有发热
E:易形成肠瘘
正常人每日通过回盲瓣进入结肠的液体约1~2L,被结肠吸收的量是( )
A:80%
B:60%
C:50%
D:70%
E:90%
下列选项中最易发生出血的溃疡是()。
A:巨大溃疡
B:幽门管溃疡
C:球后溃疡
D:胃溃疡
E:复合溃疡
梗阻性黄疸病人下列哪项检查对诊断价值不大()。
A:经皮经肝穿刺胆道造影
B:B型超声
C:静脉法胆道造影
D:经内镜逆行胰胆管造影
E:低张十二指肠钡餐检查
胰性霍乱
可以通过检测粪α
1
抗胰蛋白酶明确有无蛋白经消化道丢失的疾病()。
A:Whipple病
B:系统性红斑狼疮
C:肠结核
D:Ménétrier病
E:小肠淋巴管扩张症
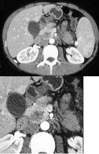
女,56岁,腹部胀痛不适、食欲减退,影像表现如下图,最佳诊断是( )
A:急性胰腺炎
B:慢性胰腺炎
C:胰腺腺癌
D:胰腺转移癌
E:胰腺假性囊肿
减少肠道氨的生成和吸收的药物为()。
A:乳果糖
B:谷氨酸
C:氟马西尼
D:L-鸟氨酸-L-门冬氨酸
E:支链氨基酸
胃酸增高最明显的疾病是( )
A:十二指肠溃疡
B:胃溃疡
C:萎缩性胃炎
D:胃癌
E:A型胃炎
Trousseau征是指胃癌患者伴有( )
A:黑棘皮病
B:反复发作性血栓性静脉炎
C:皮肌炎
D:微血管病性溶血性贫血
E:远处淋巴结转移
病例摘要:男性,30岁,食欲减退及夜尿增多2年。逐渐心悸、气急,不能平卧3天。体检:T36.5℃、P100次/分、R32次/分、BP160/95mmHg。呼吸深大,面部苍白、水肿有尿臭味。双肺底闻及湿啰音。检查:血红蛋白80g/L、血钙1.95mmol/L、血磷2.14mmol/L、BUN16mmol/L、Scr800μmol/L、GFR8ml/min、血pH7.28、尿比重1.009、尿蛋白(++)、双肾缩小。
第1题,共2个问题
(多选题)如何对该患者进行治疗()。
A:利尿
B:透析
C:抗生素
D:强心药
E:碳酸氢钠
第2题,共2个问题
(多选题)该患者的初步诊断()。
A:慢性肾小球肾炎
B:慢性肾衰竭
C:慢性心衰
D:尿毒症
E:肾病综合征
F:急性肾衰竭
线粒体与细胞凋亡相关的基因、蛋白包括()。
A:nm23基因
B:腺苷转位因子
C:电压依赖性阴离子通道
D:Bcl-2家族
E:Smac蛋白
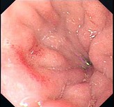
女性,28岁。间断性上腹隐痛不适1月余。发育正常,营养中等,表情自然,皮肤无黄染,腹平坦,腹肌软,全腹无压痛反跳痛,肝脾肋缘下未触及,胃镜检查如下图,诊断()。
A:十二指肠血管畸形
B:十二指肠溃疡并出血
C:十二指肠球部息肉
D:十二指肠球炎
E:十二指肠克罗恩病
溃疡病合并急性穿孔
不正确
的是()。
A:突然发生上腹痛
B:有腹膜炎的症状和体征
C:不一定有胃内容物溢入腹腔
D:半数以上有气腹
E:有的患者出现休克
男,70岁,右下腹胀,腹痛,腹泻,影像检查如图,最可能的诊断是( )
A:结肠克隆恩病
B:结肠癌
C:结肠套叠
D:结肠结核
E:结肠淋巴瘤
在多数病人中,哪一种物质是反流性食管炎的主要原因()。
A:胆汁
B:胃酸
C:胰液
D:胃内物质
E:以上都不是
女性,农民,22岁,反复脓血便半年,左下腹压痛。
第1题,共4个问题
(单选题)肠镜检查如图,最可能的疾病为()。
A:溃疡性结肠炎
B:Crohn病
C:结肠癌
D:肠恶性淋巴瘤
E:肠结核
第2题,共4个问题
(单选题)首选哪项治疗()。
A:柳氮磺胺吡啶口服
B:地塞米松静注
C:利福平
D:阿托品口服
E:手术治疗
第3题,共4个问题
(单选题)肠镜检查如图,最可能的诊断是()。
A:溃疡性结肠炎
B:肠恶性淋巴瘤
C:结肠癌
D:Crohn病
E:结肠多发性息肉
第4题,共4个问题
(单选题)该病与肠结核最重要的鉴别在于()。
A:病程的长短
B:有无肠外结核
C:OT试验是否阳性
D:有无发热、腹痛、腹泻、乏力等症状
E:肉芽肿有无干酪样坏死
水肿型胰腺炎时可出现()。
A:血清高铁白蛋白阴性
B:脐部及腰部皮肤呈青紫色
C:在短期内出现明显贫血
D:有手足抽搐
E:后期易发生假性囊肿
男,45岁,心悸、气短、胸闷2年。心脏检查心尖区抬举性搏动,同时有颈动脉搏动增强,水冲脉、动脉枪击音等周围血管征。如考虑动脉导管未闭,存在的最重要体征是()。
A:胸骨左缘第2肋间稍外侧触及持续于整个收缩与舒张期的震颤
B:肺动脉瓣区第2心音亢进
C:左心室扩大
D:肺动脉段突出
E:心尖区舒张期滚筒样杂音
女性,45岁,间歇性发作咽下困难3个月,伴反酸烧心,可因情绪波动诱发。食管造影未见异常治疗最有效的药物为()。
A:PPI
B:H2受体拮抗剂
C:胃黏膜保护剂
D:促动力剂
E:抗酸剂
女性患者,46岁。肝硬化病史3年,长期服用利尿剂,近1周来少尿。查体:全腹膨隆,无压痛,未触及包块,移动性浊音阳性。
第1题,共5个问题
(单选题)最可能的诊断是()。
A:肝性脑病
B:肝肾综合征
C:急性肾衰竭
D:慢性肾小球肾炎
E:肾病综合征
F:急进性肾小球肾炎
第2题,共5个问题
(多选题)美国肝病协会诊断该病的新标准是()。
A:近期大量使用肾毒性药物
B:血肌酐升高大于133μmol/L
C:在应用白蛋白扩张血容量并停用利尿剂至少2天后血肌酐不能降至133μmol/L以下
D:有休克
E:肝硬化合并腹腔积液
F:不存在肾实质疾病,如蛋白尿>500mg/d、镜下血尿(红细胞>50个/高倍视野)和(或)超声检查发现肾脏异常
第3题,共5个问题
(多选题)该患者可出现的表现是()。
A:自发性少尿或无尿
B:输尿管扩张
C:低钠血症
D:肾脏出现器质性改变
E:血肌酐高
F:氮质血症
第4题,共5个问题
(多选题)该患者可采取的治疗方法是()。
A:特利加压素加输注白蛋白
B:血液透析
C:肾移植
D:肝移植
E:糖皮质激素
F:免疫抑制剂
第5题,共5个问题
(多选题)该病的发病机制包括()。
A:内脏血管床扩张
B:肾小球肾炎
C:有效血容量不足
D:肾脏结石
E:副交感神经系统激活
F:肾皮质血管强烈收缩,肾小球滤过率下降
首页
<上一页
183
184
185
186
187
下一页>
尾页