自考题库
首页
所有科目
自考历年真题
考试分类
关于本站
游客
账号设置
退出登录
注册
登录
出自:消化内科学高级职称
病例摘要:女性,57岁,反复乏力、尿黄3年,多次检查发现肝功能不良,护肝治疗缓解后再发。有关节炎病史,曾有间断发热,未正规诊治。现体检提示肝脏右肋下2指。化验示肝功能ALT220U/L,AST172U/L,HBsAg(-),HCV-Ab(-),风湿全套ANA1:1000,免疫学检查IgG31g/L,IgM正常,补体C3、C4正常。对此患者,下列治疗方法哪个应为首选()。
A:静脉注射护肝药
B:停用以前用的护肝药物
C:口服熊去氧胆酸
D:糖皮质激素治疗
E:免疫抑制剂
女性,26岁。2个月来盗汗、低热、轻度腹泻,右下腹可触及肿块。结肠镜检查发现回盲部粘膜充血、水肿、环型溃疡,边缘呈鼠咬状,肠腔变窄。其最可能的诊断是( )
A:肠伤寒
B:肠结核
C:结肠癌
D:克罗恩病
E:溃疡性结肠炎
男性,30岁,上腹痛5年,疼痛多在空腹发作,进食缓解,有时夜间痛,BAO 9mmol/h高于正常,哪一个治疗方案最佳( )
A:甲氰咪胍+庆大霉素
B:庆大霉素+胶体铋
C:生胃酮+胶体铋
D:洛赛克(Omeprozo1)+胶体铋
E:硫糖铝+庆大霉素
以下哪些情况可成为反流性食管炎的诱因()。
A:肥胖
B:大量腹水
C:妊娠后期
D:胃内压降低
E:吸烟
“漏屋顶”假说
急性胰腺炎时,下列哪项可引起高热不退( )
A:出血坏死型胰腺炎
B:出现黄疸
C:并发急性呼吸窘迫综合征
D:并发胰腺假性囊肿
E:并发胰腺脓肿
无症状性溃疡的特点( )
A:约5%消化性溃疡者无症状
B:以出血、穿孔等症状为首发
C:NSAID引起的溃疡近半数无症状
D:以十二指肠溃疡多见
E:药物治疗效果差
抗病毒治疗用利巴韦林,应在流行性出血热哪一期使用最有效( )
A:发热早期
B:休克期
C:少尿期
D:多尿期
E:发热后期
下列对急性胰腺炎的描述正确的是( )
A:暴饮暴食是最常见的原因
B:恶心、呕吐常常是首发的症状
C:血淀粉酶比尿淀粉酶升高较晚
D:一般预后良好,但重症病死率高
E:严重程度与血淀粉酶的升高程度呈正比
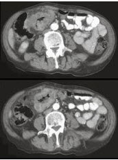
男,45岁,右下腹胀痛、并可触及质硬包块,请结合图像选择最可能诊断( )
A:结肠Crohn氏病
B:结肠癌
C:肠结核
D:结肠淋巴瘤
E:慢性溃疡性结肠炎
克罗恩病与其他病鉴别时检查方法,最重要的是( )
A:血清溶菌酶浓度测定
B:粪便脂肪含量测定
C:胃肠钡餐检查
D:粪便常规及培养
E:回结肠镜检
男,26岁,腹泻便秘交替半年,低热、乏力。体检发现轻度贫血貌,右下腹轻压痛,无腹部肿块。为明确诊断,下列哪项检查最重要()。
A:胸部X线检查
B:结肠镜
C:全消化道造影
D:PPD试验
E:腹平片
非曲张静脉上消化道出血首选的止血措施是( )
A:内镜止血
B:抑酸剂
C:手术止血
D:介入治疗
E:生长抑素
胰多肽由哪个细胞分泌()。
A:胰岛A细胞
B:胰岛B细胞
C:胰腺C细胞
D:胰腺APUD细胞
E:以上均正确
关于胃溃疡,以下哪项正确()。
A:胃泌素不高,因此胃酸低
B:胃黏膜屏障破坏即是指胃黏液减少
C:因胃酸低,溃疡形成及疼痛与盐酸无关
D:多发生于胃小弯
E:抗胆碱能药物治疗效果好
男性,42岁。发现肝硬化6年。4天前进餐时出现呕血,鲜红色,量约1200ml。患者出现头晕、心慌、出冷汗等。经输血、补液和应用止血药物治疗后病情好转,血压和心率恢复正常。1天前起出现睡眠障碍,并出现幻听和言语不清。化验检查示:血氨130μg/dl,血糖5.6mmol/L,血尿素氮8mmol/L。
第1题,共3个问题
(单选题)为明确出血原因,待病情稳定后,最好行下列哪项检查()。
A:钡餐透视
B:吞线试验
C:胃镜检查
D:腹部B超
E:腹部CT
第2题,共3个问题
(单选题)患者近一天出现的情况最可能的诊断是()。
A:尿毒症
B:脑血管意外
C:乙型脑炎
D:糖尿病酮症酸中毒
E:肝性脑病
第3题,共3个问题
(单选题)消化道出血的原因最可能是()。
A:胃癌
B:胃溃疡
C:十二指肠溃疡
D:食管曲张静脉破裂
E:胃粘膜病变
男性,45岁。上腹隐痛6年,为空腹时疼痛,进餐后可缓解,1年前患者行胃肠钡透提示十二指肠球部变形,2天前因大量进食后出现上腹疼痛加重,疼痛可向腰背部放散,查体:上腹部压痛、反跳痛及肌紧张,急检血常规提示:白细胞为11×10
9
/L,中性粒细胞78%。 消化性溃疡的重要病因是()。
A:幽门螺杆菌感染
B:非甾体类消炎药
C:吸烟
D:胃酸、胃蛋白酶
E:遗传
肝硬化的诊断下列哪项最可靠()。
A:腹水
B:脾大
C:肝掌及蜘蛛痣
D:白蛋白/球蛋白比例倒置
E:肝穿刺活检有假小叶形成
下列有关胃食管反流烧心的描述正确的是()。
A:腹压增高时可加重
B:站立时可加重
C:常在餐后半小时出现
D:烧心是指胸骨后或剑突下烧灼感
E:卧位、弯腰时可加重
男,40岁,腹胀、乏力5年,加重1年,有慢性乙型肝炎史。近1周发热伴腹痛,大便3~4次/天,稀便,无脓血便。查体:巩膜轻度黄染,全腹稍隆,满腹压痛、反跳痛,脾肋下3cm,移动性浊音阳性。
第1题,共3个问题
(单选题)上述病例应尽快做下列哪项检查以指导合理治疗()。
A:浓缩腹水涂片革兰染色镜检
B:腹部B超
C:血白细胞计数及分类
D:腹水细菌培养
E:血细菌培养
第2题,共3个问题
(单选题)应采取下列哪项治疗措施最适合()。
A:抗结核感染治疗
B:选用针对革兰阴性杆菌
C:大剂量氨苄青霉素和先锋霉素静脉滴注和(或)腹腔内注射
D:1周后停药,避免肝损害
E:剖腹探查
第3题,共3个问题
(单选题)最可能的诊断是()。
A:急性出血性坏死性小肠炎
B:肝炎后肝硬化并自发性腹膜炎
C:消化性溃疡并穿孔
D:结核性腹膜炎
E:原发性肝癌破裂
女性,34岁,腹泻,伴低热2个月余,便中无粘液及脓血。查体T37.6℃,腹平坦,右下腹轻压痛,无反跳痛及肌紧张,未触及包块,移动性浊音阴性,化验ESR 65mm/h,为明确诊断应首选下列哪项检查( )
A:X线胃肠钡餐造影
B:钡剂灌肠检查
C:纤维胃镜检查
D:纤维结肠镜
E:大便常规+隐血
肠结核腹泻特点是便秘腹泻交替,一般不含黏液和脓液,便血少见
患者上腹痛半年,胃镜示复合性溃疡,口服甲氰咪胍疗效不满意。行胃大部切除术,术后1个月上腹疼痛复发,胃镜示吻合口溃疡,进一步检查应首选( )
A:胃镜及活组织检查
B:X线钡餐检查
C:血清胃泌素测定
D:胃脱落细胞检查
E:粪便隐血检查
作用强而持久、副作用少的H2受体拮抗剂是( )
A:雷尼替丁
B:非哪西丁
C:呋喃硝胺
D:法莫替丁
E:西米替丁
肝性脑病的昏迷前期,一般不会出现的是( )
A:定向力减退
B:意识模糊
C:扑翼震颤
D:肌张力减退
E:脑电图异常
典型的消化性溃疡的临床特点是__________、___________、____________。
患者35岁,女性,低热、食欲下降,腹胀2个月,停止排气排便1天,腹痛、恶心呕吐4小时,既往结核病史,查体发现脐周包块,肠鸣音亢进。 接诊该患者首要的检查是( )
A:血常规
B:电解质
C:腹部平片
D:腹部B超
E:腹腔穿刺
白蛋白低于35g/L时,血浆胶体渗透压下降易导致腹水
病例摘要:男性,50岁,身高166cm,体重85kg,平时偶饮酒,量不多,无厌油、纳差等症状。有高血脂病史。现体检提示肝脏右肋下1指,质软,化验示肝功能ALT84U/L,胆红素正常,HBsAg(-)。
第1题,共4个问题
(单选题)为帮助诊断,接下来一般首选的检查是()。
A:常见病毒性肝炎血清标志物
B:肝功能
C:血糖、血脂
D:肝脏B超
E:肝活检
第2题,共4个问题
(单选题)如患者肝脏B超无明显异常,进行鉴别诊断时首先应排除()。
A:病毒性肝炎
B:药物性肝炎
C:酒精性脂肪肝
D:非酒精性脂肪性肝病
E:自身免疫性肝炎
第3题,共4个问题
(单选题)对此患者,下列治疗方法哪个应为首选()。
A:戒酒
B:控制饮食,加强锻炼
C:静脉注射护肝药
D:加强降脂药物治疗
E:糖皮质激素治疗
第4题,共4个问题
(单选题)患者肝功能不良最可能的原因是()。
A:病毒性肝炎
B:药物性肝炎
C:酒精性脂肪肝
D:非酒精性脂肪性肝病
E:自身免疫性肝炎
我国恶性肿瘤病死率排名第二的是()。
A:直肠癌
B:胰腺癌
C:大肠癌
D:食管癌
E:胃癌
首页
<上一页
172
173
174
175
176
下一页>
尾页