自考题库
首页
所有科目
自考历年真题
考试分类
关于本站
游客
账号设置
退出登录
注册
登录
出自:消化内科学高级职称
有关肝炎的传染源正确的说法有( )
A:甲肝主要是急性患者和隐性感染者
B:乙肝主要是患者和病毒携带者
C:急、慢性丙肝患者是丙肝的传染源
D:急、慢性丁肝患者是丁肝的传染源
E:戊肝的传染源是急性感染者
女性,45岁,因关节疼痛长期服用吲哚美辛,黑便2次,呕血1次,来院急诊,疑诊急性胃炎,除嘱停用该药物外,应首先采取的措施是()。
A:阿托品缓解腹痛
B:止血补充血容量
C:硫糖铝保护胃黏膜
D:抑酸剂降低胃内pH
E:急诊胃镜检查
浅表性胃炎( )
萎缩性胃炎( )
急性单纯性胃炎( )
A:临床上多以感染或细菌毒素所致
B:常伴出血
C:胃粘膜腺体有萎缩伴局灶增生
D:胃粘膜腺体完整,炎症仅累及胃粘膜上皮表层
E:钡餐检查可见龛影
男性,25岁。下腹痛伴脓血便3年。近4日病情加重,并出现高热、衰弱、恶心等症状。查体:精神萎糜,心率114次/分,腹膨隆,全腹压痛,肠鸣音消失。最可能的诊断是()。
A:克罗恩病并肠梗阻
B:肠结核并肠梗阻
C:溃疡性结肠炎并中毒性巨结肠
D:结肠癌并肠梗阻
E:肠痉挛
男性患者。上腹不适半年,夜间痛及背部痛多见,药物治疗效果不明显,最可能的原因是()。
A:胃黏膜脱垂
B:胃溃疡活动期
C:十二指肠球后溃疡
D:胃癌
E:十二指肠球部溃疡
下列关于Hp的流行病学特点,错误的是( )
A:人是目前唯一确认的Hp的传染源
B:Hp的主要传播途径是口-口或粪-口传播
C:经济落后、居住环境差和不良卫生习惯与Hp感染呈正相关
D:人群中Hp感染引起的慢性胃炎患病率与该人群Hp的感染率相平行
E:由Hp感染所致的慢性多灶萎缩性胃炎患病率与人群Hp的感染率相平行
对肝硬化腹水的治疗,正确的是()。
A:每次排放腹水不超过3000ml
B:限制钠、水的摄入
C:利尿治疗以每天体重不超过1kg为宜
D:腹水减退后,方可恢复钠盐摄入
E:利尿药首选速尿
男,30岁,上腹部剧痛,恶心呕吐,压痛反跳痛,血细胞计数升高,血和尿淀粉酶升高,影像表现如图,最可能的诊断是什么( )
A:急性肠梗阻
B:胃溃疡穿孔
C:胰腺癌
D:急性胰腺炎
E:慢性胰腺炎
女性,40岁,胃镜检查示十二指肠壶腹部溃疡。和该病发生有关的细菌是()。
A:大肠杆菌
B:沙门菌
C:幽门螺杆菌
D:溶血性链球菌
E:金黄色葡萄球菌
男25岁,节律性间断上腹隐痛3年,加重2天。10小时前开始黑便3次,量约1000克左右,P120次/分,BP:90/60mmHg,首选下列哪种治疗( )
A:抑酸剂
B:输血、补液
C:外科手术
D:急诊内镜止血
E:输右旋糖酐
病例摘要:男性,50岁,身高166cm,体重85kg,平时偶饮酒,量不多,无厌油、纳差等症状。有高血脂病史。现体检提示肝脏右肋下1指,质软,化验示肝功能ALT84U/L,胆红素正常,HBsAg(-)。患者肝功能不良最可能的原因是()。
A:病毒性肝炎
B:药物性肝炎
C:酒精性脂肪肝
D:非酒精性脂肪性肝病
E:自身免疫性肝炎
下列疾病的典型疼痛特点是以上哪种?
第1题,共1个问题
(配伍题)
球部溃疡( )
胃溃疡( )
胃癌( )
患者,男性,25岁,以饮酒后左上腹疼痛伴恶心、呕吐8小时就诊。该患者腹痛呈持续性刀割样疼痛,并向左腰背部放射,呕吐后疼痛不缓解。查体:急性痛苦面容,大汗淋漓,左上腹压痛明显。化验血淀粉酶明显高于正常。提问:应首先考虑哪种疾病()。
A:急性胃炎
B:急性阑尾炎
C:消化性溃疡穿孔
D:急性胆石症
E:急性胰腺炎
F:急性胆囊炎
肝移植慢性排斥反应的肝组织病理表现为()。
A:汇管区炎细胞浸润
B:胆管炎症和损伤
C:小叶间门静脉血管内皮炎
D:胆管减少及闭塞性动脉病变
E:中央静脉血管内皮炎
抗Hp治疗后,确定Hp是否根除的试验最早在何时进行( )
A:治疗后立即
B:治疗后1周
C:治疗后2周
D:治疗后4周
E:治疗后任何时间
肝硬化肝功能代偿期的临床表现最早出现的是( )
A:恶心,厌油
B:腹胀,腹痛
C:乏力和食欲不振
D:上腹不适或恶心
E:腹泻
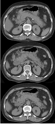
男31岁急性腹痛、上腹部压痛反跳痛,腹肌紧张,CT扫描如图,最可能的诊断是( )
A:上消化道穿孔
B:腹腔积液
C:气胸
D:间位结肠
E:肠梗阻
结核分枝杆菌感染腹膜的途径以血行播散为主,并常可发现肺结核、关节病灶
下面疾病消化性溃疡的发病率高于一般人群的是()。
A:类风湿关节炎
B:肺心病
C:甲状旁腺功能亢进
D:肝硬化
E:慢性胆囊炎
患者女,45岁,因腹泻伴乏力、消瘦2个月就诊。患者发病前曾在委内瑞拉工作2年,近期出现腹泻,每日排成形软便10余次,量大伴酸臭味,同时伴有舌炎,乏力和消瘦明显,近2个月体重下降7kg。不伴有食欲减退、血便、发热、腹痛等症状。血常规检查提示:大细胞性贫血,天冬氨酸转移酶187U/L,碱性磷酸酶289U/L。血清叶酸2.8ng/ml(正常>4ng/ml),维生素B
12
96ng/L(正常>170ng/L),血清铁蛋白和铁含量正常。粪脂含量增高,隐血试验阴性。 为了确诊,下一步首先进行()。(提示:多次粪镜检未见原虫和蠕虫,结肠镜未见异常。胃镜提示:轻度萎缩性胃炎和十二指肠球炎。)
A:小肠黏膜活检
B:胃黏膜活检
C:小肠内容物抽吸行细菌培养
D:维生素B
12
吸收试验
E:抗麦胶蛋白抗体检测
为我国肝硬化主要病因的是( )
易合并脂肪肝的是( )
可自愈的是( )
A:慢性血吸虫病
B:甲型肝炎
C:慢性乙型肝炎
D:糖尿病
E:阿米巴肝脓肿
胃液酸度增高最明显的疾病是()。
A:钩虫病
B:萎缩性胃炎
C:十二指肠溃疡
D:胃癌
E:胃溃疡
患者女,急性起病;氨基转移酶显著增高,轻度黄疸;明显高球蛋白血症;ANA阳性;肝组织病理学符合自身免疫性肝炎的表现。AIH诊断评分系统治疗前积分为20分,目前患者ALT804U/L,AST705U/L,同时合并高血压[(160~130)/(100~80)mmHg]。此时建议患者()。(提示:患者采用标准治疗方案4年后,无肝病相关的临床症状;血清胆红素和γ-球蛋白正常;AST60U/L、ALT72U/L;肝组织轻微炎症,无界面性肝炎。)
A:继续泼尼松20mg/d
B:泼尼松减量为10mg/d维持治疗
C:加用熊去氧胆酸
D:换用环孢素A
E:逐渐停用泼尼松,定期复查
F:换用布地奈德
女,55岁,反复发作胸骨后疼痛2年,伴反酸,烧心,间断反食,食管测压示LES压力6mmHg,该患者最可能的诊断()。
A:胃食管反流病
B:冠心病
C:慢性胃炎
D:十二指肠球部溃疡
E:反流性食管炎
不符合菌群失调性假膜性肠炎的描述是( )
A:与梭形芽胞杆菌有关
B:与长期使用广谱抗生素有关
C:与肠道正常菌群失调有关
D:形成假膜性肠炎
E:主要累及小肠
男性,65岁。6小时前突然呕新鲜血液,量约800ml,黑便3次共约500g。既往慢性乙肝病史22年,高血压、冠心病10年,无饮酒史。查体:血压120/90mmHg,脉搏90次/分,肝病面容,巩膜黄染,肝掌及蜘蛛痣阳性。肝大剑突下4cm,质硬,无触痛,脾大肋下5cm,质韧,无触痛,移动性浊音阳性,双下肢水肿。首选的治疗为()。
A:血管加压素
B:生长抑素
C:内镜下治疗
D:三腔二囊管压迫
E:外科手术
消化性溃疡的命名是由于()。
A:溃疡位于消化道
B:溃疡局限于胃和十二指肠
C:溃疡影响消化与吸收功能
D:溃疡的形成由胃酸与胃蛋白酶原的消化作用引起
E:溃疡由消化道功能紊乱引起
关于不同微生物导致腹泻的机制,下列描述正确的是()。
A:大肠埃希菌热稳定性肠毒素增加胞内cGMP水平
B:霍乱弧菌毒素增加cGMP水平
C:轮状病毒释放NSP4肠毒素导致胞内Ca
2+
水平增加
D:鼠伤寒沙门菌激活NF-κB和IL-8的分泌
E:艰难梭菌毒素A和艰难梭菌毒素B破坏细胞骨架结构
男性,30岁,酗酒后突感上腹持续性钝痛2小时,向腰背部呈带状放射,体检上腹有中度压痛,无反跳痛,双肾区无叩击痛,ECG及血常规正常,为明确诊断,应首选哪项检查( )
A:血清脂肪酶
B:淀粉酶测定
C:肝功能检查
D:肾功能检查
E:尿常规检查
慢性浅表性胃炎的主要病变特点是( )
A:胃粘膜变
B:胃粘膜水肿
C:可见粘膜下血管
D:淋巴细胞、浆细胞浸润胃粘膜浅层
E:胃粘膜糜烂
首页
<上一页
165
166
167
168
169
下一页>
尾页