出自:消化内科学高级职称

关于Runx3基因的观点不正确的是()。
A:为抑癌基因
B:TGF-β信号通路的一部分
C:癌变中可见高甲基化
D:可调节p53蛋白表达
E:癌变中可伴杂合性缺失
女性,35岁。3年来反复出现上腹疼痛,饥饿时加重,偶有夜间痛。今晨呕咖啡样胃内容物,黑便,既往无肝病病史,血压100/60mmHg,心率92次/分,面色苍白,最可能病因是()。
A:肝硬化出血
B:十二指肠溃疡并发出血
C:胃溃疡出血
D:胃癌出血
E:食管贲门撕裂综合征
以下最不可能导致消化不良症状的疾病是()。
A:糖尿病
B:肾上腺皮质功能不全
C:肾功能不全
D:大叶性肺炎
E:甲状旁腺功能亢进
肝硬化患者,近2月来右上腹持续性疼痛,发热,乏力,今日突然出现全腹痛。查:T38℃,BP70/50mmHg,P120次/分钟;全腹压痛、反跳痛,肝肋下4.5cm,脾肋下2cm,有可疑移动性浊音,腹腔穿刺抽出血性液体,放置不凝()。
A:肝硬化门静脉高压
B:消化性溃疡穿孔
C:肝硬化合并自发性腹膜炎
D:肝硬化合并原发性肝癌破裂
E:功能性肾衰
男性患者,51岁。乙肝病史19年,大量饮酒史30年,1年来出现乏力、腹胀、尿量减少,偶有牙出血和鼻出血。1天前,劳累后突然出现恶心,呕新鲜血,含有血块,共约1000ml。查体:BP85/40mmHg,P130次/分,神志淡漠。最可能的诊断为()。
A:乙肝合并出血
B:肝炎后肝硬化并发上消化道出血
C:肝炎后肝硬化并发肝癌
D:肝炎后肝硬化并发消化性溃疡
E:酒精性肝硬化并发急性胃黏膜病变
下列哪项临床表现对诊断门脉高压有特征性价值( )
A:侧支循环建立和开放
B:肝缩小
C:肝质地变硬
D:腹水
E:脾大
患者,女性,32岁。1月前无明显诱因开始发热,体温37.5~38.5℃,持续不退,并盗汗。经抗感染治疗无效,渐出现上腹胀满,腹部隐痛,消瘦、乏力,排黏液便每天2~3次。11年前患肺结核病。月经不调,婚后7年未生育。查体:全腹压痛,腹壁柔韧感,移动性浊音阳性。X线:提示右肺尖结核。提问:腹壁柔韧感可见于()。
A:结核性腹膜炎
B:血腹
C:腹膜癌病
D:胃穿孔
E:巨大卵巢囊肿
F:十二指肠穿孔
男性,54岁,乙肝病史10年,1个月来乏力腹胀,双下肢水肿,1周来自觉低热、乏力、腹胀日益加重,腹痛。查体:移动性浊音(+)。腹水检查:李凡它试验(+),细胞数0.8×109/L,WBC0.6×109/L,中性90%。 腹水的性质为()。
A:漏出液
B:脓性
C:淋巴液
D:渗出液
E:低蛋白液
女,35岁。乏力、巩膜黄染1年。含铁血黄素尿试验阳性,自身溶血试验示自身溶血增强,加入葡萄糖孵育后溶血不能纠正,加入ATP后溶血纠正。最可能的病因是()。
A:遗传性球形细胞增多症
B:丙酮酸激酶缺乏症
C:葡萄糖-6-磷酸脱氢酶缺乏症
D:阵发性睡眠性血红蛋白尿
E:自身免疫性溶血性贫血
女性,46岁,右上腹绞痛伴寒战高热(39℃),二日来精神淡漠,查:皮肤巩膜黄染,P120次/分,BP11.6/8.0kPa(89/60mmHg),右上腹有压痛,肌紧张,WBC30×10/L,N92%,最合适的诊断为( )
A:肝外胆管结石合并感染
B:肝内肝管结石
C:胆道蛔虫病
D:急性梗阻性化脓性胆管炎
E:结石性胆囊炎
胆道结石向下移动的过程中,可阻塞胆总管下端,此时胆汁可经“共同通道”反流入胰管,引起胰腺炎
胰液中哪种酶不受胆汁激活()。
A:胰蛋白酶
B:淀粉酶
C:糜蛋白酶
D:弹性硬蛋白酶(弹力纤维酶)
E:磷脂酶A
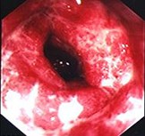
女性,32岁,反复腹泻3个月,近1月呈黏液脓血便,6~8次/天,伴左下腹疼痛,里急后重感。体检:T38.3℃,左下腹压痛;便培养未见致病菌生长。

第1题,共3个问题
(单选题)肠镜检查如图,最可能的诊断是()。
A:肠结核
B:肠易激综合征
C:Crohn病
D:慢性细菌性痢疾
E:溃疡性结肠炎

第2题,共3个问题
(单选题)该患者临床分型是()。
A:轻型
B:中型
C:重型
D:暴发型
E:混合型

第3题,共3个问题
(单选题)该疾病好发部位是()。
A:回肠
B:回盲部
C:直肠和乙状结肠
D:十二指肠降段
E:小肠
左侧继发性三叉神经痛,除出现左面部痛觉减退外,尚有的体征为()。
A:左角膜反射消失,下颌向左偏斜
B:左角膜反射存在,下颌向右偏斜
C:左角膜反射消失,下颌无偏斜
D:左角膜反射存在,下颌向左偏斜
E:左角膜反射存在,下颌无偏斜
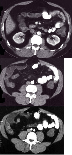
女,30岁,右下腹痛,腹泻便秘交替出现,消瘦乏力,血沉加快,X线检查如图,最佳的诊断是( )
A:小肠癌
B:小肠结核
C:小肠克罗恩病
D:结肠癌
E:阑尾炎
男,50岁,上腹间歇性隐痛10多年,近2个月疼痛加重,制酸药物不能缓解,食欲减退,消瘦。查体:贫血貌,右上腹有压痛。大便隐血试验(+)。

第1题,共3个问题
(单选题)下列哪项是最好的治疗措施()。
A:全身化疗
B:手术治疗
C:局部化疗
D:内镜激光治疗
E:足量放疗

第2题,共3个问题
(单选题)最可能的诊断是()。
A:胃息肉
B:胃溃疡
C:十二指肠球部溃疡
D:胃溃疡恶变
E:浅表性萎缩性胃炎

第3题,共3个问题
(单选题)用于确诊最可靠的检查方法是()。
A:大便反复隐血试验
B:胃镜+活检
C:X线钡餐
D:癌胚抗原测定
E:胃液分析

男,32岁,因呕血200ml,黑便2次伴晕厥抬送入院。 



第1题,共5个问题
(单选题)如果考虑为消化性溃疡,最重要的病史是( )
A:呕吐
B:暖气
C:规律性上腹痛
D:反酸
E:腹泻

第2题,共5个问题
(单选题)查体:病人贫血貌,皮肤巩膜无黄染,心肺正常,腹软,肝肋下未扪及,脾肋下2cm,肠鸣音增多。化验:HBsAg阳性,SP64g/L,A30g/L,G34g/L。最可能的出血原因是( )
A:食管癌
B:胃溃疡
C:肝硬化食管静脉曲张破裂出血
D:胃癌
E:急性糜烂性胃炎

第3题,共5个问题
(单选题)上述病例为了确诊,首选的检查方法是( )
A:X线钡餐检查
B:B超检查
C:急症胃镜检查
D:CT检查
E:MRI检查

第4题,共5个问题
(单选题)经检查发现:病人食管静脉轻度曲张,无明显红斑征,十二指肠球部后壁有2cm溃疡,周边明显充血水肿,底部厚苔渗血。立即采取的抢救措施是( )
A:静脉注射法莫替丁
B:静脉注射止血药
C:食管静脉硬化剂治疗
D:立即配血、输血
E:三腔二囊管压迫止血

第5题,共5个问题
(单选题)首选的药物治疗是( )
A:垂体后叶素
B:普萘洛尔(心得安)
C:PGE类药物
D:洛赛克
E:雷尼替丁
男性,16岁,1天来发热,半天来腹痛腹泻于8月20日来诊,腹泻10多次,系脓血便,测T39.4℃,BP110/70mmHg(14.6/9.3kPa),左下腹有压痛,诊断应考虑()。
A:胃肠型食物中毒
B:急性细菌性痢疾
C:急性阿米巴痢疾
D:霍乱
E:急性肠炎
患者男,60岁。大量饮酒25年。2天前出现呕血,并排柏油样便,昨日出现意识恍惚。查体:BP90/50mmHg,巩膜黄染,睡眠倒错、健忘,计算力尚可,扑翼样震颤(+),脑电图正常。血常规:Hb62g/L,血气分析:pH7.50,血清钾2.3mmol/L,血氨80μmol/L。 针对诱因应采取的治疗为()。
A:紧急输血纠正贫血
B:应用精氨酸降氨
C:应用PPI
D:应用乳果糖灌肠酸化肠道
E:纠正低钾血症及碱中毒
确诊慢性萎缩性胃炎主要应根据()。
A:钡餐检查
B:血清壁细胞抗体测定
C:呕吐物酸性偏低
D:嗳气、上腹不适
E:胃镜及活检
原发性肝癌与继发性肝癌如何鉴别?

该病人胆囊造影良好,肝穿刺活检正常。



第1题,共3个问题
(单选题)患者最有可能是下列哪种黄疸( )
A:肝细胞性黄疸
B:胆汁淤积性黄疸
C:溶血性黄疸
D:假性黄疸
E:先天性非溶血性黄疸

第2题,共3个问题
(单选题)你认为该患者最可能的诊断是( )
A:Roter综合征
B:Gilbert综合征
C:Dubin-Johnson综合征
D:Crigler-Najjar综合征
E:lucey-Driscoll综合征

第3题,共3个问题
(单选题)该患者出现黄疸时首选的降黄药物是( )
A:消胆胺
B:去氢胆酸
C:苯巴比妥
D:菌枝黄注射剂
E:硫酸镁
Barrett食管的临床症状为()。
A:反酸和胃灼热
B:胸骨后痛
C:出血
D:穿孔
E:腹泻
下面哪项不是自身免疫性肝炎的肝外表现()。
A:持续发热伴大关节炎
B:结节性多动脉炎
C:满月面容、痤疮、多体毛、皮肤紫纹
D:闭经
E:牙龈出血、鼻出血
病例摘要:男性,55岁,反复不规律上腹部胀痛3年,胃镜诊断为萎缩性胃炎。

第1题,共2个问题
(单选题)判断该患者炎症活动的客观依据是()。
A:胃黏膜肠上皮化生
B:胃黏膜出血
C:胃黏膜内中性粒细胞增多
D:胃黏膜中增多的主要是淋巴细胞
E:胃黏膜纤维组织增生

第2题,共2个问题
(单选题)该患者如考虑为A型胃炎,正确的是()。
A:壁细胞抗体阴性
B:胃酸升高
C:不出现厌食,体重下降
D:不出现恶性贫血
E:主要位于胃体部
溃疡性结肠炎重型( )
溃疡性结肠炎暴发型( )
A:肠道症状轻
B:无全身症状
C:病变多局限于直肠与乙状结肠
D:易并发中毒性巨结肠
E:可伴有肠外表现
肝癌淋巴转移最常见于( )
A:主动脉旁淋巴结
B:胰旁淋巴结
C:肝门淋巴结
D:锁骨上淋巴结
E:胃旁淋巴结
病例摘要:患者,男性,19岁,因"右下腹疼痛2个月余"而入院。查体示右下腹可扪及一包块,肠系钡餐检查示小肠节段性狭窄。结肠镜检查示升结肠节段性狭窄、有鹅卵石样外观。该患者可能的诊断为()。
A:肠结核
B:溃疡性结肠炎
C:阿米巴痢疾
D:肠淋巴瘤
E:克罗恩病
急性持续性腹痛,阵发性加剧并伴有休克,最可能是( )
A:输尿管结石肾绞痛
B:急性阑尾炎
C:胆道蛔虫病
D:溃疡病穿孔
E:绞窄性肠梗阻
对急性重症肝炎诊断价值最小的是( )
A:肝性脑病
B:深度黄疸
C:腹水及鼓胀
D:ALT>500
E:肝脏迅速缩小