出自:消化内科学高级职称

哪些是胃癌的癌前疾病( )
A:慢性萎缩性胃炎
B:胃息肉
C:胃石症
D:胃溃疡
E:残胃炎
男性,26岁,排柏油便2天。既往无胃病及肝病史,近期无服药史。查体:血压70/40mmHg,心率120次/min,腹平软,无压痛,肝脾未及,下列疾病哪种可能性大()。
A:胃溃疡
B:胃癌
C:十二指肠溃疡
D:应激性溃疡
E:浅表性胃炎
下列哪项对确诊肝硬化最有价值()。
A:腹部B超显像门静脉主干内径>13mm
B:肝穿刺病理示假小叶形成
C:肝质地坚硬有结节感
D:食管吞钡X线检查显示虫蚀样改变
E:腹壁静脉曲张呈水母头状
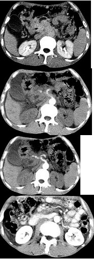
女,50岁,中上腹疼痛,消瘦乏力,影像检查如下图,最佳的诊断是( )
A:慢性胰腺炎
B:急性胰腺炎
C:胰腺癌并腹膜后淋巴结转移
D:胰岛素瘤
E:腹膜后淋巴瘤
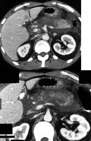
女,45岁,急性上腹部持续性疼痛,程度剧烈,放射到胸背部,恶心、呕吐,白细胞计数增高,血尿淀粉酶升高,影像所见如图,最可能的诊断是( )
A:急性单纯性胰腺炎
B:急性出血坏死性胰腺炎
C:慢性胰腺炎
D:胰腺癌
E:胰腺脓肿
以下哪一种物质会引起LES张力增高()。
A:盐酸
B:内因子
C:碱性黏液
D:胃蛋白酶
E:胃泌素
病例摘要:患者,男性,50岁,酒后上腹痛、腹胀8小时。查体:上腹明显压痛,肌紧张反跳痛,BP120/80mmHg,P88次/分。血淀粉酶>500U,诊断为()。
A:消化性溃疡急性穿孔
B:急性胰腺炎
C:急性肠梗阻
D:急性胃肠炎
E:急性胆囊炎
有关亚临床肝癌的描述错误的是()。
A:多经甲胎蛋白普查检出
B:甲胎蛋白持续低浓度增高
C:为原发性肝癌的癌前病变
D:可无任何症状及体征
E:转氨酶正常
患者男,62岁。以“腹痛,排黏液血便1天”为主诉入院。患者1天前无明显诱因出现左侧腹部痉挛性疼痛,阵发性加重,并排黏液鲜血便,1~2小时排便一次,每次量约50ml,血与便相混合,排便后腹痛可减轻,无里急后重。查体:腹软,左侧腹部有压痛,无反跳痛及肌紧张,未触及包块,肝脾肋下未触及,肝肾区无叩痛,移动性浊音阴性。 该患者肠镜结果显示:结肠脾曲黏膜充血、水肿,多发性浅溃疡。结肠镜下黏膜活检见黏膜坏死,黏膜下水肿、出血。腹部血管CT:肠系膜上动脉见血栓形成。便常规:WBC0/HP,RBC10~12/HP,潜血+++;3次便细菌培养阴性。血常规:白细胞8.5×109/L,中性分数83.9%,红细胞4.85×1012/L,血红蛋白132g/l,血小板282×109/L。该患者目前诊断为()。
A:急性出血坏死性小肠炎
B:克罗恩病
C:大肠癌
D:细菌性痢疾
E:溃疡性结肠炎
F:缺血性结肠炎
女性,56岁。2个月来出现皮肤及巩膜黄染,并进行性加重,伴乏力、消瘦,排陶土样便,尿色深。查体:皮肤巩膜黄染,腹平软,无压痛、反跳痛及肌紧张,Courvisier征(+),辅助检查:总胆红素明显升高,以直接胆红素为主。该患者的黄疸最可能是()。
A:溶血性黄疸
B:肝细胞性黄疸
C:癌性阻塞性黄疸
D:结石阻塞性黄疸
E:肝内胆汁淤积性黄疸
慢性萎缩性胃窦胃炎胃酸分泌↓,血清促胃液素↓
女,49岁,上腹胀满5年,2个月来食欲不振,全身无力,体检无明显异常发现,X线钡餐未见异常。胃镜活检:炎性细胞浸润及肠上皮化生,未见腺体萎缩。浅表性胃炎胃镜改变正确的是()。
A:皱襞平坦
B:皱襞变细
C:粘膜苍白
D:可透见粘膜下血管网
E:粘膜红白相间,散在糜烂、渗出
结核性腹膜炎的主要感染途径是__________________________。根据病理解剖特点可分为________________________和______________________型。
患者女性,36岁。间断右下腹痛6个月,伴腹泻、发热,体温多波动于37~38℃。否认结核病史和肺结核密切接触史。查体右下腹可触及包块,可移动,有压痛,无反跳痛。 为明确诊断最重要的检查是( )
A:肿瘤标记物
B:便找结核杆菌
C:腹部平片
D:结肠镜检查加活检
E:胸片
急性胰腺炎时,血清淀粉酶变化的特点,下列哪项不正确( )
A:发病6~12小时内即可被测得
B:尿淀粉酶升高持续时间比血淀粉酶长
C:淀粉酶值的高低与病情轻重呈正比
D:淀粉酶超过正常值3倍可诊断
E:胰源性胸、腹水中淀粉酶的值亦升高
患者男性,45岁,来京务工人员。因头痛、发热2天入院。查体:T:38.8℃,P:86次/分,R:25次/分,BP:120/96mmHg,颈部抵抗力增强。实验室检查:WBC://15×109/L,中性粒细胞:79%。腰穿脑脊液混浊,细胞数1750/μL,蛋白3360mg/L,葡萄糖0.5mmol/L。 引起该患者感染最不可能的病原是()。
A:肺炎链球菌
B:脑膜炎奈瑟菌
C:流感嗜血杆菌
D:隐球菌
E:单纯疱疹病毒
男性患者,56岁。4年前诊断为肝硬化,5小时前突然出现呕血,伴头晕、心悸来诊。检查:BP70/40mmHg,P124次/分,Hb60g/L。估计出血量是()。
A:<500ml
B:500~800ml
C:800~1200ml
D:1000~1500ml
E:>1500ml
24小时食管pH监测的常用观察指标,错误的是( )
A:24小时内pH小于4的总百分比
B:夜间pH小于4的次数
C:pH小于4的次数
D:持续5min以上的反流次数
E:最长反流时间
不属于消化道肿瘤的报警症状的是()。
A:体重减轻
B:进行性吞咽困难,呕吐
C:显性或隐性消化道出血
D:腹痛
E:腹部包块
有关24小时食管pH值监测参数不正确的是()。
A:pH<4的总百分时间
B:直立及仰卧位pH<4的百分时间
C:>10分钟的反流次数
D:反流次数
E:持续最长的反流时间

女,26岁,反复排粘液血便,腹痛6年,加重1个月。每天排便次数8~10次不等,为鲜红色血便,便后腹痛可部分缓解,无里急后重感,无发热。胃纳较好;体重下降1kg。查体:T37.2℃,心肺无异常,全腹软,左侧腹有轻压痛,无反跳痛,肝脾不大,肠鸣音8~10次/分。



第1题,共3个问题
(单选题)该患者的诊断应首先考虑为( )
A:痔疮
B:肛裂
C:直肠癌
D:溃疡性结肠炎
E:肠易激综合征(IBS)

第2题,共3个问题
(单选题)如大便细菌培养、真菌培养、找阿米巴均阴性,则上述病例的治疗应首选( )
A:抗生素
B:替硝唑
C:SASP
D:5-氨基水杨酸(5-ASA)
E:糖皮质激素

第3题,共3个问题
(单选题)[假设信息]若上述病例作肠镜检查,活检粘膜发现干酪样坏死灶,则上述诊断更应考虑为( )
A:淋巴瘤
B:坏死性肠炎
C:急性阿米巴性肠炎
D:肠结核
E:慢性细菌性痢疾
在溃疡性结肠炎治疗中,若应用大剂量抗胆碱能药物可诱发中毒性巨结肠
胰腺癌治疗首选的方法是化疗.
属于间接致癌物质的是()。
A:糖精
B:汽油
C:致癌性烷化剂
D:亚硝胺
E:巴豆油
关于慢性萎缩性胃炎

第1题,共4个问题
(单选题)值得注意的是()。
A:单纯萎缩和化生性萎缩
B:为最常见的胃癌前疾病
C:根除幽门螺杆菌
D:合并异型增生
E:促动力药

第2题,共4个问题
(单选题)已经证明需实施的是()。
A:单纯萎缩和化生性萎缩
B:为最常见的胃癌前疾病
C:根除幽门螺杆菌
D:合并异型增生
E:促动力药

第3题,共4个问题
(单选题)病理组织学包括()。
A:单纯萎缩和化生性萎缩
B:为最常见的胃癌前疾病
C:根除幽门螺杆菌
D:合并异型增生
E:促动力药

第4题,共4个问题
(单选题)随访的原因是()。
A:单纯萎缩和化生性萎缩
B:为最常见的胃癌前疾病
C:根除幽门螺杆菌
D:合并异型增生
E:促动力药
急性重症胆管炎并发休克,最重要的治疗措施是()。
A:大量使用有效抗生素
B:应用升压药物
C:补充血容量
D:解除胆道梗阻,通畅引流
E:纠正水、电解质平衡紊乱
与原发性肝癌发生无关的肝硬化是()。
A:肝炎后大结节性肝硬化
B:淤血性肝硬化
C:酒精性肝硬化
D:血吸虫病性肝纤维化
E:胆汁性肝硬化
肝外胆道的解部特点中,下列哪项是错误的( )
A:胆囊管常有变异
B:胆囊动脉常有变异
C:胆总管下端多数与主胰管会合
D:括约肌仅由胆管括约肌构成
E:胆囊分底、体、颈三部
男性,45岁。患“胃溃疡”10余年,突然全腹剧烈疼痛6小时。体温39℃,脉搏108次/分,血压105/60mmHg,腹式呼吸渐弱,腹肌紧张,全腹压痛及反跳痛,尤以上腹部明显;WBC10×109/L。 病人应取何种体位()。
A:仰卧位
B:平卧位
C:半卧位
D:头高脚低位
E:无特殊要求
急性胰腺炎时血清淀粉酶在起病后______小时开始升高,_______小时开始下降,持续_______天,血清淀粉酶超过正常__________可确诊。