自考题库
首页
所有科目
自考历年真题
考试分类
关于本站
游客
账号设置
退出登录
注册
登录
出自:病理学高级职称
光镜上区分癌与肉瘤的主要依据是()。
A:病理性核分裂象的多少
B:细胞异型性的大小
C:组织来源的不同
D:实质与间质分界是否明显
E:细胞膜是否清楚
胃恶性肿瘤最主要的是()
A:恶性淋巴瘤
B:胃平滑肌肉瘤
C:胃癌
D:胃横纹肌肉瘤
E:胃恶性纤维组织细胞瘤
慢性萎缩性胃炎的主要病变特征是__和___。
急性肾小球肾炎时常引起()。
A:眼睑水肿
B:下肢象皮肿
C:肺水肿
D:腹水
E:皮肤粘液性水肿
AIDS的病理变化分为三大类_____,______,_______。后期可合并_______或_________瘤。
下列哪些是消化道的癌前病变( )
A:口腔黏膜白斑
B:慢性萎缩性胃炎
C:结肠多发性息肉
D:慢性胃溃疡
E:慢性溃疡型结肠炎
前列腺高分化腺癌的特点是( )
A:是前列腺中最常见的组织学类型
B:腺体结构与前列腺增生症腺体相似
C:常有间质浸润
D:可长期局限于前列腺内,预后较好
E:常有碱性磷酸酶的分泌,可作为临床的检测指标
风湿细胞来自()。
A:平滑肌细胞
B:肌细胞
C:成纤维细胞
D:组织细胞
E:淋巴细胞
弥漫性膜性增生性肾小球肾炎( )
弥漫性系膜增生性肾小球肾炎( )
弥漫性毛细血管内增生性肾小球肾炎( )
弥漫性膜性肾小球肾炎( )
弥漫性新月体性肾小球肾炎( )
A:肾小球系膜细胞增生,基质增多,基底膜增厚
B:肾小球内皮细胞、系膜细胞增生
C:肾小球壁层上皮细胞增生
D:肾小球系膜细胞和基质增生
E:肾小球毛细血管基底膜增厚,基底膜物质呈钉状突起
关于大叶性肺炎下列哪项是错误的()。
A:由细菌感染引起
B:病变多从肺泡开始
C:炎症不破坏肺泡壁结构
D:患者常有胸痛及咳铁锈色痰
E:以中性粒细胞渗出为主的炎症
EMA阳性见于()
A:间质肉瘤
B:梭形细胞血管肉瘤
C:胃肠道间质瘤
D:滑膜肉瘤
E:梭形细胞恶性黑色素瘤
内皮细胞有防止心血管内血液凝固的功能,是因为( )
A:正常内皮细胞组成一层单细胞薄膜屏障
B:内皮细胞表面具有凝血酶调节蛋白
C:前列腺环素(PGl2)
D:释放二磷酸腺甘(ADP)
E:合成蛋白S
下列肺炎中,
不属于
小叶性肺炎者为()。
A:手术后肺炎
B:吸入性肺炎
C:麻疹后肺炎
D:坠积性肺炎
E:巨细胞肺炎
患者女,32岁,以往月经规则,末次月经5月1日,5月18日性生活后口服1颗紧急避孕药,6月10日开始少量阴道出血,持续淋漓未净,无组织物排出。6月18日下腹隐痛1d就诊。
第1题,共4个问题
(单选题)最后诊断首先考虑为()。
A:早期完全流产
B:不全流产
C:左输卵管妊娠
D:月经失调
E:滋养细胞疾病
F:难以明确诊断
第2题,共4个问题
(多选题)根据病史,首先考虑的诊断是()。
A:紧急避孕药引起月经紊乱
B:先兆流产
C:不全流产
D:月经失调
E:早期妊娠
F:异位妊娠
第3题,共4个问题
(多选题)病检诊断为()。(提示6月18日检查后,阴道排出膜状组织一块。镜下:子宫内膜腺体扩张,锯齿状,部分腺上皮细胞出现异常的大核,胞质透亮,核有跳跃感,间质水肿,蜕膜样改变。)
A:避孕药影响
B:宫内妊娠
C:异位妊娠
D:膜状月经
E:持续性黄体及大的囊性黄体作用
F:子宫内膜异位
第4题,共4个问题
(多选题)结合病史,患者的诊断考虑为()。(提示B型超声:左附件囊性包块,约2cm×1.8cm×1.5cm,边界欠清,回声不均。HCG180U/L,给予药物保守治疗。1周后HCG50U/L,因阴道出血持续不止,给予刮宫治疗,刮出少量内膜样组织。镜下见子宫内膜腺体有增生反应和分泌反应,局部间质略呈蜕膜样反应,伴有较多炎细胞浸润。)
A:正常子宫内膜周期改变
B:月经紊乱
C:子宫内膜不规则增生
D:符合胚胎死亡后内膜改变
E:胎盘部位反应
F:符合宫外孕内膜改变
下列哪项不是慢性纤维空洞型肺结核的病变特点()。
A:肺内有一个或多个厚壁空洞形成
B:空洞多位于肺上叶,大小不等,形态不规则
C:洞内常见有血栓形成和已机化闭塞的血管
D:空洞壁内层为干酪样坏死,不易找到结核杆菌
E:空洞壁中、外层分别为结核性肉芽组织和纤维组织
变质是指()。
A:局部组织变性、坏疽
B:局部组织水肿、坏死
C:局部组织变性、坏死
D:局部组织萎缩、化生
E:局部组织坏死、纤维化
梗死的常见原因有________、________、________、________。
不属于
甲状腺滤泡性腺瘤的是()
A:胚胎性腺瘤
B:胎儿性腺瘤
C:单纯性腺瘤
D:乳头状腺瘤
E:胶样腺瘤
可出现无痛性血尿的疾病是()
A:肾细胞癌
B:肾结核
C:肾母细胞瘤
D:肾盂积水
E:固缩肾
下列均为中枢神经系统各种变性疾病的特征,但哪项除外( )
A:脑脊液异常
B:慢性进行性过程
C:神经元变性和脱失
D:合并髓磷脂变性
E:星形胶质细胞增生
有一年青妇女,在分娩过程中突然呼吸困难,口唇及四肢末端发绀而亡。尸检肺血管内有角化上皮等物,此患者死因是下列哪一种()。
A:血栓栓塞
B:气体栓塞
C:脂肪栓塞
D:羊水栓塞
E:瘤细胞栓塞
关于炎症介质的主要作用,下列组合
不正确
的是()。
A:血管活性胺-血管扩张和通透性增高
B:缓激肽-趋化作用
C:TNF-发热
D:前列腺素-疼痛
E:溶酶体酶-组织损伤
患者,男,28岁,腹痛、腹泻三天,每日排便十余次,初为黏液稀便,后转为黏液脓血便,该患者所患疾病可能为
A:伤寒
B:大肠癌
C:阿米巴痢疾
D:急性细菌性痢疾
E:肠真菌病
组胺类介质引起血管通透性升高的机制是()
A:引起内皮细胞收缩
B:引起内皮细胞损伤
C:介导白细胞对内皮细胞的损伤
D:使内皮细胞的胞饮作用增强
E:以上均不是
胰岛素依赖型(Ⅰ型)糖尿病患者多为_______,患者胰岛内大量_______浸润,胰岛数目_______,B细胞________。
组织细胞增生症( histocytosis)
可致右心室容量负荷过重的疾病为()
A:肺动脉高压
B:风湿性心肌炎
C:高血压病
D:二尖瓣关闭不全
E:三尖瓣关闭不全
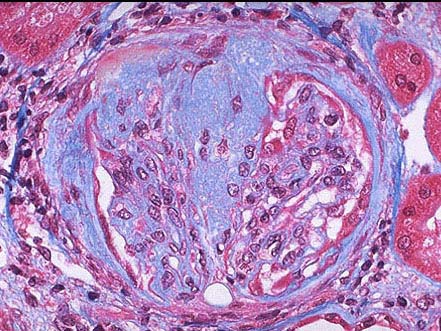
患者女性,25岁,周身高度水肿伴腹水。尿蛋白(+++),24小时尿蛋白>3.5g,合并高脂血症,血浆蛋白<30g/L,肾穿刺活检HE染色镜下如图、Masson染色如图所示,应首先考虑的诊断为()。
A:膜性增生性肾小球肾炎
B:系膜增生性肾小球肾炎
C:轻微病变性肾小球肾炎
D:局灶性节段性肾小球硬化
E:膜性肾病
下列哪一项是肿瘤( )
A:错构瘤
B:动脉瘤
C:室壁瘤
D:创伤性神经瘤
E:骨软骨瘤
Burkitt淋巴瘤好发于______、______、______和______。
首页
<上一页
134
135
136
137
138
下一页>
尾页