自考题库
首页
所有科目
自考历年真题
考试分类
关于本站
游客
账号设置
退出登录
注册
登录
出自:消化内科学高级职称
分泌内因子的细胞是()。
A:主细胞
B:壁细胞
C:粘液细胞
D:胃幽门粘膜G细胞
E:胃粘膜表面上皮细胞
急性胰腺炎的特点是()。
A:无规律性痛
B:节律性疼痛
C:空腹与夜间痛
D:转移性疼痛
E:持续性疼痛阵发性加剧
肝癌的病因尚不明确,目前认为关系最大的因素是()。
A:乙型病毒性肝炎
B:黄曲霉素
C:肝硬化
D:环境因素
E:营养
经颈静脉肝内门体分流术后,最常见的并发症是()。
A:肝肾综合征
B:肝性脑病
C:自发性腹膜炎
D:弥漫性血管内凝血
E:缩窄性心包炎
家族史
急性胰腺炎腹部CT可出现()。
A:腹水
B:胆囊缩小
C:胰腺增大
D:脂肪坏死
E:肝脏囊性变
肝硬化失代偿患者下述哪项表现与门高压无关( )
A:脾大
B:右侧胸腔积液
C:痔核
D:肝淋巴液生成增多
E:黄疸
上消化道出血的病因诊断的首选检查方法是()。
A:实验室检查(如肝功能试验)
B:X线-钡餐检查
C:纤维内镜检查
D:消化液检查
E:吞线试验
胃溃疡、发病机制中保护因素削弱,首要的是()。
A:胃炎的影响
B:胃黏膜屏障破坏
C:吸烟的不良作用
D:幽门括约肌功能失调
E:胆汁反流
患者男,50岁。乙肝后肝硬化8年,腹水半年,5天前反复呕血黑便,经抢救治疗后好转,近2日来嗜睡,定向力下降。查体:可见肝掌,扑翼样震颤阳性。化验及检查:血氨156μmol/L,血糖5.6mmol/L;头CT:未见异常。
第1题,共5个问题
(多选题)下列哪些措施对该患者有利()。
A:人工肝
B:肝移植
C:预防感染
D:补充芳香族氨基酸
E:补充支链氨基酸
F:慎用镇静药物
第2题,共5个问题
(多选题)下列哪些措施能促进体内氨的代谢()。
A:鸟氨酸-
B:L-鸟氨酸-L-门冬氨酸
C:精氨酸
D:谷氨酸钠
E:弱酸灌肠
F:谷氨酸钾
第3题,共5个问题
(单选题)如果该患者昏迷后,家属迫切希望患者立即清醒,可给予下列哪种药物()。
A:氟马西尼
B:苯巴比妥
C:苯妥英钠
D:异丙嗪
E:氯苯那敏
F:吗啡
第4题,共5个问题
(单选题)那么该患者目前最可能的诊断是()。
A:贫血
B:脑栓塞
C:失血性休克
D:肝性脑病
第5题,共5个问题
(多选题)该患者诊断已明确,可采取的进一步治疗措施有()。
A:乳果糖灌肠
B:弱酸液灌肠
C:肥皂水灌肠
D:口服硫酸镁
E:限制进食蛋白质类物质
F:生理盐水灌肠
下列哪项可作为急性胰腺炎的间接指征以排除其他急腹症()。
A:X线钡餐造影见十二指肠降段呈反“3”形
B:X线透视膈下有游离气体
C:腹部平片见“哨兵袢”和“结肠切割征”
D:X线透视见腹部有液平面
E:X线腹部平片见胰腺区钙化
男,37岁,突然呕吐咖啡样物400ml,医生考虑诊断为十二指肠部溃疡所致上消化道出血。(1)如该诊断成立,患者可有哪些症状和体征?(2)确诊需要做何种检查?(3)除上消化道出血外,该患者将来还可能有哪些并发症?(4)该患者做C-尿素呼气试验,结果示Hp(+)。请列出两种根除Hp的方案(初次治疗),(请给出剂量和疗程)
患者女性,29岁,因右下腹痛、腹泻3个月就诊,伴低热,体温波动于37.5-38.5℃之间。结肠镜检查在末段回肠发现环形溃疡及狭窄,胸片发现右上肺陈旧结核。最可能的诊断是()。
A:溃疡性结肠炎
B:小肠淋巴瘤
C:肠结核
D:克罗恩病
E:白塞病
出血坏死性胰腺炎的特征是()。
A:上腹痛向左腰背放射
B:脐部及腰部皮肤呈青紫色
C:血清高铁白蛋白阴性
D:黄疸
E:糖尿
关于原发性肝癌发病的可能因素,哪一项不是的( )
A:乙型病毒肝炎
B:淤血性肝硬化
C:酒精
D:黄曲霉素
E:华支睾吸虫感染
下列哪项表现最能提示为消化性溃疡( )
A:上腹部饱胀不适
B:嗳气、反酸明显
C:上腹压痛
D:上腹疼痛,呈节律性
E:柏油样便
病例摘要:男性,70岁,因观看足球比赛突然晕倒而入院治疗。查体发现左侧上、下肢瘫痪,伸舌时舌头偏向左侧。左半身深、浅感觉消失。双眼左侧半视野缺失,瞳孔对光反射存在。高血压脑出血破裂的血管多为()。
A:大脑中动脉
B:大脑基底动脉
C:豆纹动脉
D:内囊动脉
E:大脑前动脉
肝性脑病时,下述药物的作用机制是乳果糖( )
谷氨酸钠( )
支链氨基酸( )
A:减少肠道氨的形成和吸收
B:降血氨
C:纠正氨基酸代谢不平衡
D:补充脑部正常神经递质
E:防治脑水肿
肝硬化门静脉压力增高到什么水平可引起腹水()。
A:100~150mmH
2
O
B:150~200mmH
2
O
C:201~250mmH
2
O
D:251~290mmH
2
O
E:>300mmH
2
O
女性,50岁。长期乏力、食欲不振5年,皮肤瘙痒半年伴皮肤黄染,粗糙。查:巩黄(+),双眼睑内眦黄色扁平斑块;肝大肋下5cm,质硬,脾大肋下5cm;化验:总胆红素升高,以直接胆红素升高为主。
第1题,共3个问题
(单选题)下列哪项检查对本病例诊断最有帮助()。
A:抗平滑肌抗体阳性
B:抗线粒体抗体阳性
C:抗中性粒细胞胞浆抗体阳性
D:抗胆管上皮细胞抗体阳性
E:类风湿因子阳性
第2题,共3个问题
(单选题)本例中与诊断无关的是()。
A:长期乏力、食欲不振
B:皮肤瘙痒
C:皮肤黄染
D:黄斑瘤
E:中年女性
第3题,共3个问题
(单选题)该病人最可能的诊断是()。
A:慢性肝炎
B:继发胆汁淤积性肝硬化
C:原发胆汁淤积性肝硬化
D:硬化性胆管炎
E:血吸虫性肝硬化
慢性胰腺炎患者出现严重的胰外分泌功能不全时,哪一项大多降低()。
A:血清胰型同工酶
B:血淀粉酶
C:血糖
D:C反应蛋白
E:尿淀粉酶
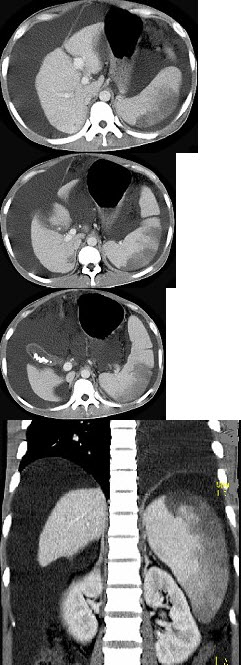
患者男,29岁,乙肝病史10余年,腹胀,有移动性浊音,影像检查如图,最全面的诊断是( )
A:肝硬化
B:肝硬化腹水
C:肝硬化腹水、脾梗、胆囊结石
D:大网膜膈下间位及脾梗
E:胆结石及脾梗
女,25岁,左下腹隐痛伴解脓血便2年,加重3个月,抗感染治疗无效,大便培养阴性。近2周来高热、腹胀、肛门排气少。查体:一般情况欠佳,贫血貌,全腹膨隆,中下腹肌紧张,压痛明显,无反跳痛,叩诊鼓音增强。
第1题,共3个问题
(单选题)下列不宜进行哪项检查()。
A:大便常规+培养
B:血培养
C:B超腹部
D:钡灌肠
E:肛门指诊
第2题,共3个问题
(单选题)应禁用下列哪种药物()。
A:灭滴灵
B:SASP
C:血清白蛋白
D:阿托品
E:氢化可的松
第3题,共3个问题
(单选题)最可能的诊断是()。
A:溃疡性结肠炎并肠梗阻
B:溃疡性结肠炎并中毒性巨结肠
C:克罗恩病并中毒性巨结肠
D:克罗恩病并腹腔内脓肿
E:克罗恩病并肠梗阻
关于胰腺炎并发症的机制:
第1题,共1个问题
(配伍题)
磷脂酶A的作用是( )
激肽酶的作用是( )
弹力蛋白酶的作用是( )
关于急性腐蚀性胃炎的诊治原则,哪项是错误的()。
A:立即洗胃做内窥镜检查
B:镇痛
C:补液及纠正酸碱平衡紊乱
D:给予解毒剂
E:使用青霉素
肝性脑病患者出现抽搐时最好选用()。
A:氯丙嗪
B:吗啡
C:副醛
D:地西泮
E:硫喷妥钠
老年,男性。突然上腹痛,难以忍受。恶心呕吐,咖啡样物300ml。查:BP170/100mmHg,P:全腹压痛,反跳痛及肌紧张,肺肝界叩不清。(1)该病人现可能疾病是什么?(2)如何确诊?(3)简述其疾病特点?
提示门脉高压的临床表现是()。
A:肝大
B:腹水
C:蜘蛛痣
D:脾大
E:肝掌
临床上肝性脑病分为四期分为__________,__________,__________,_________。
女性,65岁。上腹不适,早饱,嗳气,食欲缺乏。胃镜及病理检查诊断:慢性胃炎伴重度异型增生,最主要的治疗方法是()。
A:胃黏膜保护药
B:预防性手术
C:促胃动力药
D:定期胃镜随访
E:抑酸药
首页
<上一页
125
126
127
128
129
下一页>
尾页