自考题库
首页
所有科目
自考历年真题
考试分类
关于本站
游客
账号设置
退出登录
注册
登录
出自:消化内科学高级职称
简述有症状胆囊结石的主要临床表现。
肠梗阻的全身病理生理变化是( )
A:梗阻肠管积气,积液所致肠膨胀
B:梗阻肠管肠壁肥大扩张变薄
C:梗阻肠管内细菌,毒素渗入腹腔引起毒血症
D:梗阻肠腔内和腹腔内可见血性渗出液
E:肠管溃破穿孔
有关躯体性腹痛的特点,错误的是( )
A:定位准确,可在腹部一侧
B:疼痛剧烈而持续
C:常伴有恶心、呕吐和出汗等症状
D:可因咳嗽、体位变化而加重
E:可有局部腹肌强直
病例摘要:患者,男性,53岁,腹胀伴双下肢水肿1个月,加重1周。既往有乙肝病史20余年。体检:前胸见数枚蜘蛛痣,腹膨隆,肝右肋下5cm,质硬,脾左肋下3cm,双下肢明显凹陷性水肿。
第1题,共3个问题
(单选题)患者突发右上腹痛,随后全腹疼痛,体检:BP85/53mmHg,面色苍白,全腹压痛和反跳痛,可能的情况是()。
A:自发性细菌性腹膜炎
B:消化性溃疡穿孔
C:消化道大出血
D:肝癌结节破裂
E:结核性腹膜炎
第2题,共3个问题
(单选题)患者突发心慌、冷汗和反应淡漠,无呕血、黑便和腹痛等不适,BP120/75mmHg,最可能的情况是()。
A:肝性脑病
B:颅内出血
C:肝癌并自发性低血糖
D:感染性休克
E:消化道出血
第3题,共3个问题
(单选题)最可能的诊断是()。
A:肝硬化并门静脉栓塞
B:布加综合征
C:原发性肝癌
D:慢性乙型肝炎
E:门脉高压症
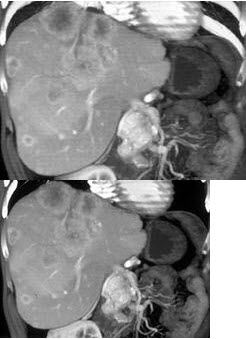
男,48岁,胃癌术后1年,未化疗,CT检查如图所示,最可能诊断为( )
A:肝癌
B:肝转移癌
C:肝血管瘤
D:肝脓肿
E:肝囊肿
有关主诉的内容,
不正确
的是( )
A:为患者感受最主要的痛苦
B:病程长、病情复杂病人,可将其所说的主要不适作为主诉
C:为患者本次就诊的主要原因及持续时间
D:确切的主诉可反映病情轻重与缓急
E:为患者症状或(和)体征
患者男,39岁。主诉“间断腹痛、腹泻10余年,加重伴有黏液脓血便1年”入院。该患者10余年前开始出现间断腹泻,最多每日排黄色不成形便3~4次,伴有下腹痛,便后腹痛缓解,未予系统诊治;1年前患者腹痛腹泻症状加重,伴有黏液脓血便,现最多每日10余次,有里急后重,有腹痛便后缓解,伴有腹胀,食欲缺乏,无恶心呕吐,近1年体重下降约5kg。
第1题,共5个问题
(多选题)对于该患者应用哪些药物需慎重()。
A:头孢菌素
B:鸦片酊
C:甲硝唑
D:复方地芬诺酯
E:阿托品
F:洛哌丁胺
第2题,共5个问题
(多选题)对于该患者目前治疗上可给予()。
A:糖皮质激素
B:手术治疗
C:抗生素治疗
D:水杨酸铋剂口服止泻
E:5-氨基水杨酸
F:药物灌肠治疗
第3题,共5个问题
(多选题)该患者入院后需完善哪些相关检查()。
A:便常规及潜血
B:结肠镜
C:便细菌培养
D:肿瘤标记物CEA等
E:血p-ANCA及ASCA
第4题,共5个问题
(多选题)该患者初步诊断不能除外以下哪些疾病()。
A:克罗恩病
B:肠易激综合征
C:大肠癌
D:细菌性痢疾
E:溃疡性结肠炎
F:慢性阑尾炎
第5题,共5个问题
(单选题)该患者肠镜结果显示:直肠至肝曲黏膜明显充血、水肿,多发性浅溃疡。黏膜质脆,触之易出血。结肠镜下黏膜活检见弥漫性慢性炎症细胞浸润。大便潜血:(+++),RBC10/HP,WBC15/HP。3次便细菌培养阴性。外周血WBC11×10
9
/L,HGB98g/L;血p-ANCA(+).血沉32mm/h。该患者目前最可能诊断为()。
A:克罗恩病
B:肠易激综合征
C:大肠癌
D:细菌性痢疾
E:溃疡性结肠炎
F:缺血性结肠炎
女,20岁,近日厌油,乏力,肝区疼痛,化验血结合胆红素、非结合胆红素都升高,尿中尿胆原增多,粪色变浅,考虑为()。
A:溶血性黄疸
B:胆汁淤积性黄疸
C:肝细胞性黄疸
D:先天性非溶血性黄疸
E:以上都不是
以下哪项如重叠感染丁型肝炎病毒则使慢性肝炎加重()。
A:甲型肝炎病毒
B:戊型肝炎病毒
C:乙型肝炎病毒
D:丙型肝炎病毒
E:丁型肝炎病毒
对艾滋病患者和艾滋病病毒感染者应采取的隔离措施是()。
A:接触隔离
B:呼吸道隔离
C:肠道隔离
D:虫媒隔离
E:血液、体液隔离
食管鳞状上皮和胃柱状上皮交界线的英文缩写为()。
A:CSJ
B:EGJ
C:SCJ
D:LZJ
E:GDJ
男性,40岁。右上腹胀痛、乏力、食欲减退2月就诊。体检:肝肋下3cm,质硬,脾未及,右肋部闻及吹风样血管杂音,应考虑()。
A:肝静脉阻塞综合征
B:门静脉血栓形成
C:原发性肝癌
D:肝硬化失代偿期
E:肝脓肿
男性,45岁,间断腹痛、腹泻3年,排便4~5次/天,便不成形,无脓血。黏液,服黄连素、氟哌酸可稍缓解,近半月症状加重,大便7~8次/天,查大便常规正常,大便无脂肪滴。
第1题,共4个问题
(单选题)其他最需要排除的疾病()。
A:甲状腺功能亢进
B:糖尿病
C:感染性腹泻
D:慢性胰腺炎
E:胆囊炎
第2题,共4个问题
(单选题)治疗哪种方法最适当()。
A:禁食,补液
B:对症止泻
C:口服敏感抗生素
D:服用糖皮质激素
E:手术探查
第3题,共4个问题
(单选题)用哪种检查确诊最可靠()。
A:大便常规加隐血
B:结肠镜
C:查血CEA
D:直肠肛管测压
E:钡灌肠
第4题,共4个问题
(单选题)诊断应首选考虑()。
A:肠易激综合征
B:肠道菌群失调
C:细菌性痢疾
D:溃疡性结肠炎
E:结肠癌
有关食管癌
不正确
的是()。
A:多为鳞状细胞癌
B:壁内扩散多向下浸润
C:常转移至肝、肺、骨
D:淋巴结转移为主要方式
E:血行转移多见于晚期
女,53岁,胃溃疡10年。近5个月上腹痛变为无规律,恶心、腹胀、食欲减退,钡餐造影检查:胃窦部可见3.5cm×3.8cm龛影,边缘不齐。便潜血多次阳性。本例可能是()。
A:胃溃疡
B:胃溃疡合并胃息肉
C:胃溃疡合并慢性胃炎
D:胃溃疡癌变
E:胃溃疡合并幽门梗阻
食管癌最典型的症状为_______________。
抗胆碱药物可作为重症IBS患者腹痛的长期治疗药物
患者女,42岁,因乏力、厌食就诊,查ALT867U/L,AST792U/L,GGT58U/L,TBil42.3μmol/L,GLO64g/L,IgG3270mg/dl,ANA阳性(1∶640);病理学表现为:界面性肝炎,中度的淋巴细胞及浆细胞浸润,伴小叶性肝炎,无明显胆管损伤、肉芽肿、铁沉积、铜沉积。
第1题,共3个问题
(单选题)可提示:病情完全缓解的是()。(提示:给予患者泼尼松60mg(第1周)、40mg(第2周)、30mg(第3、4周)、20mg维持用量。)
A:ANA1∶80
B:肝活检可见界面性肝炎
C:症状消失;血清胆红素和γ-球蛋白恢复正常;氨基转移酶正常或小于2倍正常值上限
D:出现腹腔积液
E:黄疸较前加重
F:出现肝性脑病
第2题,共3个问题
(多选题)可采用的治疗方案是()。(提示:患者病情完全缓解后停药,2年后再次出现氨基转移酶升高,考虑为AIH复发。)
A:泼尼松60mg(第1周)、40mg(第2周)、30mg(第3、4周)、20mg维持用量
B:泼尼松30mg(第1周)、20mg(第2周)、15mg(第3、4周)、10mg维持用量+硫唑嘌呤50mg,1次/d
C:泼尼松30mg(第1周)、20mg(第2周)、15mg(第3、4周)、10mg维持用量
D:泼尼松60mg(第1周)、40mg(第2周)、30mg(第3、4周)、20mg维持用量+硫唑嘌呤50mg,1次/d
E:泼尼松60mg(第1周)、40mg(第2周)、30mg(第3、4周)、15mg维持用量
F:泼尼松60mg(第1周)、30mg(第2周)、15mg(第3、4周)、5mg维持用量
第3题,共3个问题
(单选题)目前首先考虑的诊断是()。
A:系统性红斑狼疮
B:药物性肝损害
C:原发性胆汁性肝硬化
D:自身免疫性肝炎
E:肝豆状核变性
F:血色病
免疫防御功能异常可发生()。
A:自身免疫病
B:超敏反应
C:肿瘤
D:免疫缺陷
E:免疫增生病
男性,37岁。间断性腹泻10余年,加重1个月,大便每日近10次,不成形,近日食欲减退,乏力,体重明显减轻。辅助检查示:便潜血阳性,便内有较多红细胞及脓细胞,血红蛋白95g/L。以下哪些病史不支持器质性病变诊断()。
A:病史10余年
B:食欲减退
C:贫血
D:体重明显下降
E:便常规检查及潜血试验异常
女性,35岁。腹痛,便秘3个月,加重10天。2年前患肺结核。查体:腹软,右下腹压痛,触及一鸡蛋大小包块,肠鸣音活跃。X线钡透:回盲部充盈缺损。PPD试验强阳性。肠结核最常见的感染途径是()。
A:直接蔓延
B:血行播散
C:经口感染
D:淋巴结扩散
E:以上都不是
对慢性胰腺炎和胰腺癌的鉴别有重要价值的是____________________________。
关于淀粉酶在急性胰腺炎中的变化,下列哪些说法正确()。
A:血清淀粉酶在起病后6~12小时开始升高
B:血清淀粉酶是反映病情轻重的敏感指标
C:并发腹水和胸水时,腹水和胸水中淀粉酶也升高
D:尿淀粉酶发病后12~14小时开始升高,持续1~2周
E:尿淀粉酶受患者尿量影响
原发性肝癌淋巴转移最常见于( )
A:胰腺附近淋巴结
B:肝门淋巴结
C:主动脉旁淋巴结
D:锁骨上淋巴结
E:腹膜后淋巴结
女,45岁,间歇上腹隐痛、饱胀不适6年,查体无异常。胃镜检查胃窦粘膜稍苍白,变薄,可透见粘膜下紫蓝色血管网。最可能的诊断为( )
A:慢性浅表性胃炎
B:慢性萎缩性胃炎
C:慢性肥厚性胃炎
D:瘢痕期胃溃疡
E:早期胃癌
中链脂肪酸的特点
不包括
()。
A:分子量小、水溶性好、水解速度快
B:与清蛋白结合少、半衰期短
C:不在脂肪组织中蓄积,也较少发生肝脏脂肪浸润
D:穿过线粒体膜时较少依赖肉毒碱转移酶系统
E:含有较多必需脂肪酸
下列哪项症状不见于反流性食管炎( )
A:反食
B:吞咽困难
C:咽喉炎
D:哮喘
E:以上都不是
男性,35岁,上腹隐痛半年,无节律性,一个月前钡餐检查,见胃角部有2.5cm突出腔外的龛影,近3天来每天解成形黑便一次,量不多,血压正常,血红蛋白95g/L,最可能的诊断是( )
A:慢性浅表性胃炎
B:十二指肠球部溃疡
C:胃角溃疡
D:胃癌
E:胃粘膜脱垂症
胆囊结石的主要临床表现有__________、____________、_____________、_________。
对肝硬化诊断有确诊价值的检查是()。
A:X线钡餐检查
B:腹腔镜检查+活检
C:胃镜检查
D:腹部B超
E:腹部CT
首页
<上一页
119
120
121
122
123
下一页>
尾页