自考题库
首页
所有科目
自考历年真题
考试分类
关于本站
游客
账号设置
退出登录
注册
登录
出自:内分泌学高级职称
患者男,12岁,因“双乳肿痛1月余”来诊。患者5年前因双侧隐睾、阴茎下弯行双侧腹股沟探查术及阴茎下弯矫正术,术中未探及睾丸样组织。近1个月出现双侧乳房肿痛。查体:双侧乳房肿大,乳核1cm;双侧腋下可触及无痛性淋巴结数个,直径均小于1.0cm。应进行的检查项目是()。
A:腹部B超
B:染色体核型检测
C:性腺功能检测
D:乳腺B超
E:ACTH和皮质醇
F:心电图
什么是T3型甲亢?
在诊断嗜铬细胞瘤时,下列哪项敏感性和特异性最高()。
A:尿NMN
B:尿MN
C:血5-HT
D:尿VMA
E:血NE
真性性早熟又称()。
A:非GnRH依赖性性早熟
B:GnRH依赖性性早熟
C:外周性性早熟
D:中枢性性早熟
E:完全性性早熟
Klinefelter综合征的表现除外()。
A:骨质疏松
B:两性畸形
C:男性乳腺发育
D:不育
E:促性腺激素水平升高
关于甲状腺癌,叙述错误的有()。
A:甲状腺癌发病率增加,死亡率也增加
B:各种分化型甲状腺癌术后随诊和治疗模式相同
C:有淋巴结转移患者死亡危险性一定高于没有淋巴结转移的患者
D:怀疑分化型甲状腺癌肺转移时,增强肺CT的准确性不如
131
I全身扫描
E:分化型甲状腺癌患者术后需要甲状腺素治疗
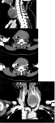
女,56岁,发现颈部肿块30天,颈部肿大,无红肿热痛,无呼吸困难,无吞咽困难,无心悸胸闷烦躁史。近1个月来因肿大不适而来就诊。发病来饮食睡眠正常,体重无下降。如图所示该患者最可能诊断为( )
A:甲状舌管囊肿
B:甲状腺乳头状癌
C:甲状腺原发淋巴瘤
D:甲状腺腺瘤
E:甲状腺脓肿
患者男,21岁,因“甲状腺弥漫性肿大、心悸、气促、怕热、多汗、食多、便次多、手颤9年”来诊。在县级医院诊为甲状腺功能亢进症,给予抗甲状腺药物(ATD)他巴唑(30mg/d)及中药治疗1年多,甲状腺未见缩小,当地检测血T
3
、T
、促甲状腺激素(TSH)多次高于正常,甲状腺功能亢进症状缓解不明显。现因“ATD药物治疗效果不满意”来我院要求给予
131
I治疗。行诊断性试验的药物是(提示:考虑到患者病史长,甲状腺功能亢进症状较轻,虽甲状腺激素水平长期增高,但TSH始终正常或持续明显增高,故疑有垂体选择性甲状腺激素抵抗(PRTH)可能。)()。
A:L-T
3
B:溴隐亭
C:优甲乐
D:地塞米松
E:生长抑素
F:基因治疗
下列哪项是甲亢患者手术治疗的适应症()。
A:甲状腺肿大显著,有压迫症状
B:胸骨后甲状腺肿
C:结节性甲状腺肿伴甲亢
D:以上都是
E:中、重度甲亢长期服药或停药复发,或不能坚持服药者
男性,68岁。近2周来多饮,多尿,食欲减退,精神差,软弱无力。今晨被发现神志不清而就诊。血压80/60mmHg,血糖38.1mmol/L,尿糖(++++),尿酮体(±)。最可能的诊断是()。
A:脑出血
B:脑血栓形成
C:糖尿病酮症酸中毒昏迷
D:乳酸性酸中毒昏迷
E:非酮症高渗性糖尿病昏迷
患者男,40岁,因“突发上腹疼痛2h”来诊。既往半年内有类似发作史3次,均诊断“上消化道穿孔并弥漫性腹膜炎”。查体:急性病容,强迫屈曲位;板状腹,全腹压痛、反跳痛,肝浊音界消失。腹部X线立位片:膈下游离气体。腹部CT:胰颈部有一直径1.0cm肿块。
第1题,共2个问题
(单选题)下列检查中最有助于了解有无转移灶的是()。
A:腹部MRI
B:生长抑素受体闪烁扫描
C:经皮肝门静脉分段采血
D:选择性动脉胰泌素注射试验
E:选择性动脉造影
第2题,共2个问题
(单选题)应高度怀疑()。
A:胃癌
B:消化性溃疡复发
C:胃泌素瘤
D:胰腺癌
E:胰腺炎
试述生长激素缺乏性侏儒症的鉴别诊断。
患者女,48岁,因“腹痛、腹泻半年,加重伴呕吐15d”来诊。患者频繁呕吐,夜间吐酸性液约1500ml,腹泻10余次,为黄色稀水样便,伴消瘦、乏力、食欲减退。查体:BP100/60mmHg;心、肺无异常;腹平软,剑突下压痛,肝、脾不大,移动性浊音(-),肠鸣音亢进。
第1题,共3个问题
(多选题)下一步治疗应包括(提示:实验室检查:血钾3.0mmol/L;血清胃泌素500pg/ml;胃液pH3.2。胃镜:食管多处糜烂及陈旧性出血,胃底黏膜粗大、肥厚,胃窦部黏膜明显充血,十二指肠球部及降部可见数处大小不等糜烂及溃疡。)()。
A:予质子泵抑制剂
B:予胃黏膜保护剂
C:补液
D:予生长抑素类似物奥曲肽
E:静脉应用喹诺酮类抗生素
F:纠正低钾血症
第2题,共3个问题
(多选题)为明确诊断应立即选择的检查项目包括()。
A:胃液分析
B:血清胃泌素测定
C:胃镜
D:生长抑素受体闪烁扫描
E:血生化
F:肠镜
第3题,共3个问题
(多选题)为进一步明确诊断应选择的检查包括(提示:经上述处理后患者腹痛、腹泻等症状明显改善。)()。
A:胃泌素激发试验
B:腹部MRI
C:生长抑素受体闪烁扫描
D:经皮肝门静脉分段采血
E:选择性动脉胰泌素注射试验
F:腹部CT平扫及增强
患者女性,18岁,平素喜饮水,近来饮水量明显增加,每天10L左右,多尿。测尿比重1.002,CT检查垂体及蝶鞍区无异常,心电图正常。禁水后尿比重1.003,注射加压素后尿量不减。
第1题,共2个问题
(单选题)如上述诊断明确,则此患者多尿的原因是()。
A:AVP-NPⅡ基因突变所致
B:垂体分泌AVP减少所致
C:精神因素所致
D:AVP2受体基因突变所致
E:血钾过低所致
第2题,共2个问题
(单选题)此患者最可能的诊断()。
A:完全性尿崩症
B:部分性尿崩症
C:中枢性尿崩症
D:颅咽管瘤
E:肾性尿崩症
根据受体所在部位不同,可将激素受体分为:________、____________。
患者,男,62岁。体重进行性增加8月,1年前诊为“肺癌”,曾化疗。查体:多血质面容,右下肺闻及湿啰音,血皮质醇升高且昼夜节律消失,小剂量地塞米松抑制试验抑制率40%,大剂量地塞松抑制试验抑制率56%,最可能的诊断是( )
A:Cushing病
B:异位CTH综合征
C:肾上腺皮质癌
D:肾上腺增生
E:以上都不是
痛风患者体内主要出现何种物质代谢异常( )
A:糖代谢异常
B:慢性嘌呤代谢障碍
C:钙、磷代谢异常
D:脂质代谢紊乱
E:维生素代谢异常
患者女,28岁,已婚,因“月经周期不规律,反复出现闭经伴不孕4~5年”来诊。患者长期就诊于妇产科生殖医学门诊。查体:体态丰满,BMI:31kg/m
2
,颈后皮肤颜色较深,体毛比同龄同性别稍多。实验室检查:血清PRL67.32ng/ml(正常值1.90~25.00ng/ml),睾酮1.35ng/ml(成年女性正常值≤0.6ng/ml),空腹血浆胰岛素32.93μU/ml(正常值0.00~17.50μU/ml)。鞍区MRI薄层扫描:垂体稍饱满。目前最可能的诊断是()。
A:垂体泌乳素微腺瘤
B:多囊卵巢综合征
C:甲状腺功能减退症
D:原发性不孕症
E:高泌乳素血症
桥本甲状腺炎的首发症状是( )
萎缩性甲状腺炎的首发症状是( )
A:甲状腺区疼痛
B:甲状腺肿大,质地变硬
C:甲状腺功能亢进
D:甲状腺功能减低
E:发热
POMC
患者男,57岁,因“视力下降伴头痛加重1周”来诊。患者已确诊垂体侵袭性泌乳素瘤8年,分别进行经蝶手术2次与开颅手术1次,术后每年鞍区MRI复查随访1次,多次复查血清泌乳素均未降至正常(>300ng/ml)。常头痛,全身乏力,食欲不振,逐渐出现阳痿等症状。既往服溴隐亭15mg/d治疗1年,血清泌乳素下降不明显。实验室检查:血清PRL>1000ng/ml(正常值1.90~25.00ng/ml),TT
3
0.51nmol/L(正常值0.89~2.44nmol/L),TT
4
58.43nmol/L(正常值62.68~150.80nmol/L),TSH0.173μU/ml(正常值0.500~4.940μU/ml),GH0.003ng/ml(正常值0~10ng/ml),血浆皮质醇<10ng/ml(8AM),睾酮0.93ng/ml(成年男性正常值3.50~8.60ng/ml)。
第1题,共5个问题
(单选题)结合该病例,可尝试用的治疗措施是()。
A:生长抑素受体的新人工合成配体
B:视黄酸受体与PPAR-γ配体
C:针对雌激素与雌激素受体的药物治疗
D:细胞毒药物替莫唑胺(temozolomidE.试验性治疗
E:分子病因学治疗
F:褪黑素及其他治疗
第2题,共5个问题
(多选题)结合该病例,可进一步采取的处理措施是()。
A:再次经蝶窦微创手术治疗
B:γ刀立体定向外科治疗
C:新型多巴胺激动剂卡麦角林治疗
D:糖皮质激素与甲状腺素替代治疗
E:生长激素替代治疗
F:仅定期随访复查血清PRL与鞍区MRI
第3题,共5个问题
(多选题)需要进一步检查的项目是()。
A:鞍区MRI
B:前列腺B超
C:性腺功能的评价
D:鞍区CT平扫
E:眼科视野检查与脑神经功能评价
F:复查垂体激素与靶腺激素
第4题,共5个问题
(多选题)为明确诊断,安全可行的检查是(提示:若患者尿钠67mmol/L,痰检3次,2次报告为小细胞未分化癌。)()。
A:水负荷试验
B:测定血浆AVP
C:水负荷试验测血浆AVP
D:水负荷试验测尿钠浓度
E:纤维支气管镜活检
F:检测尿渗透压
第5题,共5个问题
(多选题)实际加重患者低钠血症的因素是(提示:入院第2周接受化疗和肠外营养等治疗,数日后患者出现意识错乱,急查血清钠为107mmol/L。)()。
A:环磷酰胺(CTX)
B:长春新碱
C:进食差
D:阿糖胞苷
E:脂肪乳
F:输入高糖
糖尿病合并内分泌性高血压可见于()。
A:皮质醇增多症
B:嗜铬细胞瘤
C:原发性醛固酮增多症
D:肢端肥大症
E:糖尿病肾病
患者女,57岁,因“骨痛3年,加重伴身材变矮1年”来诊。查体:身高156cm(5年前身高161cm),体重68kg;颈前甲状腺未扪及;心、肺(-),肝、脾(-);脊柱胸段后突畸形,有轻微压痛,腰椎无异常。实验室检查:血清钙、磷正常。
第1题,共4个问题
(单选题)如骨密度(BMD)测量符合骨质疏松症,可能性最大的类型是()。
A:原发性骨质疏松症
B:老年性骨质疏松症
C:继发性骨质疏松症
D:绝经后骨质疏松症
E:绝经后骨质疏松症合并老年性骨质疏松症
第2题,共4个问题
(单选题)最可能的诊断是()。
A:椎间盘突出
B:骨质软化症
C:甲状旁腺功能亢进症
D:骨质疏松症
E:肥胖症
第3题,共4个问题
(单选题)确诊该病所依据的检查是()。
A:血PTH
B:脊椎X线片
C:骨密度(BMD.测定
D:血脂
E:骨超声
第4题,共4个问题
(单选题)诊断为绝经后骨质疏松症(如该例)的患者,治疗应首选()。
A:钙剂和维生素
B:双膦酸盐
C:胸椎成形术
D:观察
E:一般镇痛治疗
Somogyi效应(低血糖后反应性高血糖)多见于()。
A:继发性糖尿病
B:潜伏性糖尿病
C:病情稳定的胰岛素依赖型糖尿病
D:非胰岛素依赖型糖尿病
E:化学性糖尿病
不适合1型糖尿病的治疗方法是()。
A:胰岛素治疗
B:胰岛移植
C:胰岛素联合α-糖苷酶抑制剂
D:胰岛素联合二甲双胍
E:胰岛素联合胰岛素促泌剂
成人每日每公斤理想体重所需优质蛋白质为( )
A:1.0g
B:1.5g
C:2.0g
D:2.5g
E:3.0g
垂体前叶分泌的激素有()。
A:促甲状腺激素
B:促肾上腺皮质激素
C:生长激素
D:抗利尿激素
E:黑色素细胞刺激素
患者男,39岁,因“反复头痛伴视力下降1年加重10d”来诊。近1年来常有头痛,性欲下降,逐渐出现阳痿等症状。实验室检查:血清PRL>1000ng/ml(正常值1.90~25.00ng/ml),TT
3
0.48nmol/L(正常值0.89~2.44nmol/L),TT
4
41.43nmol/L(正常值62.68~150.80nmol/L),TSH1.173μU/ml(正常值0.500~4.940μU/ml),GH0.003ng/ml(正常值0~10ng/ml)。血浆皮质醇<10ng/ml(8AM)。睾酮水平0.56ng/ml(成年男性正常值3.5~8.6ng/ml),鞍区MRI:31mm×19mm×16mm占位,包裹左侧海绵窦2/3以上。还需要进一步检查的首选项目是()。
A:双侧睾丸与前列腺B超
B:性腺功能评价
C:眼科视野检查与脑神经功能评价
D:鞍区CT平扫
E:鞍区MRI薄层扫描+动态增强
下列哪种药物与胰岛素合用可造成严重低血糖反应( )
A:硫脲类药
B:氯丙嗪
C:普萘洛尔
D:氢氯噻嗪
E:水杨酸钠
患者女,21岁,因“糖尿病4年,血糖控制不理想半年”来诊。患者被诊断为1型糖尿病4年,一直应用预混人胰岛素治疗,近半年来监测晚餐后2h血糖约11mmol/L,睡前血糖6~8mmol/L,空腹血糖9~12mmol/L。
第1题,共3个问题
(单选题)有助于明确诊断的检查是()。
A:分段尿糖测定
B:HbA1c测定
C:自我血糖监测
D:监测夜间0~3时血糖
E:监测睡前血糖
第2题,共3个问题
(单选题)空腹高血糖最可能的原因是()。
A:黎明现象
B:Somogi现象
C:胰岛素用量不足
D:进食未控制
E:运动量不足
第3题,共3个问题
(单选题)若为Somogi现象,错误的处理措施是()。
A:减少晚餐前预混胰岛素剂量
B:睡前加餐
C:改为预混人胰岛素类似物预混制剂
D:联合α-糖苷酶抑制剂
E:晚餐分餐
首页
<上一页
110
111
112
113
114
下一页>
尾页