出自:消化内科学高级职称

肝硬化并发上消化道出血积极有效的治疗措施有()。
A:三腔二囊管压迫止血
B:快速输血补液
C:禁食、静卧、严密监视
D:吗啡镇静
E:维生素K肌注
胃食管反流病手术适应证不包括哪项( )
A:不能耐受长期服药者
B:扩张治疗后食管狭窄仍反复
C:反流引起严重呼吸道疾病
D:并发Barrett食管
E:内科治疗无效
溃疡病患者作胃液分析时,下述判断哪项是不正确
A:BAO>15mmol/h,MAO>60mmol/h,提示胃泌素瘤
B:十二指肠球部溃疡胃酸分泌增高
C:胃泌酸功能检查示胃酸缺乏时,应疑为恶性溃疡
D:胃溃疡的胃酸分泌多属于正常或偏低
E:复合溃疡胃酸分泌降低
便血的颜色可因____________、______________,以及___________而异。
十二指肠球部溃疡时,壁细胞总数是( )
A:明显增加
B:轻度增加
C:减少
D:正常
E:缺如
患者男,52岁。近1周来反复高热,伴寒战,右上腹疼痛,食欲减低,体重下降。查体:巩膜黄染,肝肋下1cm,剑突下2cm,肝区叩痛阳性,移动性浊音阴性;肝功能:TBIL58mol/L,ALB28g/L;AFP40g/L;PT14.2秒。该病可由哪些微生物引起()。
A:阿米巴原虫
B:支原体
C:金黄色葡萄球菌
D:链球菌
E:结核分枝杆菌
F:克雷白杆菌
肝癌淋巴结转移最多的是( )
A:主动脉旁淋巴结
B:胰旁淋巴结
C:胃旁淋巴结
D:肝门淋巴结
E:锁骨上淋巴结
下列哪项不是消化性溃疡的常见并发症()。
A:出血
B:穿孔
C:幽门梗阻
D:反流性食管炎
E:癌变
肝病患者出现肝掌和蜘蛛痣是因为()。
A:雌激素增多
B:雄激素增多
C:醛固酮增多
D:肾上腺皮质激素减少
E:雄激素减少
溃疡性结肠炎的病理改变,正确的是( )
A:病变呈节段性
B:多数在直肠和乙状结肠
C:常呈肠全层炎
D:活动期有大量中性粒细胞和嗜酸性粒细胞浸润
E:裂隙溃疡,呈缝隙状,可深达肌层
患者,男性,40岁,HBsAg(+)30年,2个月来发热并右上腹痛。查体:体温39℃,肝肋下5cm,中等硬度,表面稍不平,压痛(+),甲胎蛋白(+)。治疗效果最佳方法是()。
A:手术治疗
B:放射治疗
C:化学抗癌药物治疗
D:生物和免疫治疗
E:中医治疗
如何鉴别良性溃疡与恶性溃疡?
男性,45岁。5小时前突然出现上腹剧痛,1小时后逐渐蔓延至全腹,伴恶心及呕吐,腹胀,发热。查体:肝浊音界消失,全腹压痛、反跳痛及肌紧张,移动性浊音阳性,肠鸣音消失。血淀粉酶5200U/L。

第1题,共3个问题
(单选题)在患者住院期间要注意下列情况的出现,除了()。
A:休克表现
B:Cullensign
C:血钙显著下降2mmol/L以下
D:血糖<10mmol/L
E:血尿淀粉酶突然下降

第2题,共3个问题
(单选题)目前最可能的诊断是()。
A:消化性溃疡穿孔
B:急性重症胰腺炎
C:急性阑尾炎穿孔
D:麻痹性肠梗阻
E:急性化脓性胆管炎

第3题,共3个问题
(单选题)胰腺CT显示大量脂肪组织坏死,其产生原因与下列哪种炎性介质的关系最密切()。
A:肠激酶
B:胰蛋白酶
C:糜蛋白酶
D:弹性蛋白酶
E:磷脂酶
试述功能性功能性胃肠病诊断的临床基本思维方式。
男,46岁,慢性肝病史5年,半年前出现腹水及黄疸,一天前开始胡言乱语,随地大小便,不认识家人及地点,扑翼样震颤(+)。以下哪项是肝性脑病的常见诱因()。
A:高蛋白饮食
B:便秘或腹泻
C:感染
D:消化道出血
E:以上都是
某男,67岁。呕血,便血1天入院。呕吐新鲜血约600ml,黑便2次约500g。查:面色污秽,肝掌(+),蜘蛛痣(+),肝肋下未及,脾大肋下3cm,腹水征(+)Hb:8g/dl。为明确诊断,应做哪些检查?诊断是什么?2天后病人出现睡眠时像颠倒,烦躁,骂人,为明确诊断,应进一步检查哪项化验?诊断是什么?诱因是什么?
AFP在原发性肝癌诊断中的临床意义正确的是()。
A:对估计原发性肝癌的预防有价值
B:AFP阴性可排除原发性肝癌
C:对判断原发性肝癌的病毒疗效有价值
D:AFP浓度通常与肝癌大小相关
E:动态观察有助于诊断早期原发性肝癌
原发性胆管结石

病例摘要:男性,32岁,患慢粒半年,应用马利兰治疗,近半月牙龈出血明显。查:双下肢出血点,脾肋下7cm,红细胞无异常,血红蛋白70g/L,白细胞50×109/L,血小板50×109/L,骨髓增生极度活跃,原始粒细胞占15%。



第1题,共3个问题
(单选题)区别急性与慢性白血病的主要依据()。
A:病程长短
B:血白细胞增加程度
C:有无肝、脾、淋巴结肿大
D:骨髓幼稚细胞的成熟程度
E:脾大的程度

第2题,共3个问题
(单选题)可能根治慢性粒细胞白血病的方法是()。
A:羟基脲治疗
B:异体骨髓移植
C:白消安治疗
D:α干扰素治疗
E:环磷酰胺治疗

第3题,共3个问题
(单选题)该例的诊断为()。
A:慢性粒细胞白血病
B:慢粒加速期
C:慢粒急变
D:慢粒并严重感染
E:慢粒平台期
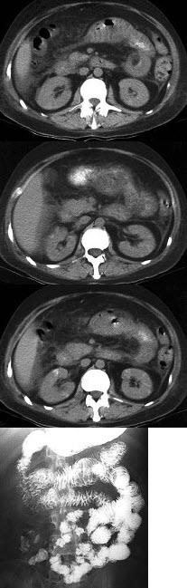
男,32岁,阵发性腹痛、腹胀,伴恶心、呕吐,腹部可触及包块,影像检查如图,最佳的诊断是什么( )
A:小肠肿瘤
B:麻痹性肠梗阻
C:空肠套叠
D:回肠套叠
E:结肠套叠
血清抗线粒体抗体阳性,最常见于( )
A:酒精性肝硬化
B:原发性胆汁性肝硬化
C:血吸虫病性肝硬化
D:心源性肝硬化
E:原发性肝癌
病例摘要:女性,25岁,神志不清2小时入院,既往患1型糖尿病5年,长期皮下注射胰岛素。近3天因腹泻而停用。体检:血压80/50mmHg,皮肤中度失水征,呼吸深大,有烂苹果味,心率110次/分。需立即采取的治疗措施是()。
A:静脉滴注5%碳酸氢钠
B:纠正电解质紊乱
C:补液并恢复皮下注射胰岛素
D:补液加有效的抗生素
E:补液同时静脉滴注胰岛素
LES主要作用是()。
A:防止十二指肠内溶物反流入胃
B:防止咽部食物呛入气管
C:防止胃内容物反流入食管
D:帮助食管蠕动,使其顺利进入胃内
E:使食物由胃体进入胃窦
女性,45岁。反复上腹胀痛1年,进食后呕吐1个月,呕吐物含有宿食。查体:贫血貌,消瘦,可闻及振水音。最有价值的辅助检查是()。
A:B超
B:腹部CT
C:胃镜
D:腹部X线平片
E:上消化道钡餐
男,35岁,饱餐后中上腹剧痛6小时,伴呕吐、腹胀2小时,肛门排气减少。查体:全腹轻度膨隆,满腹压痛,无反跳痛,未扪及包块,叩诊全腹鼓音增强,移动性浊,音阴性,肠鸣音减弱。化验血清淀粉酶520u(Somogyi法)。不宜使用的药物是( )
A:抗胆碱能药
B:5-Fu
C:抗生素
D:胰高糖素
E:雷尼替丁
患者女,56岁。主因“反复上腹部不适6d,黑粪5次,伴头晕、乏力”入院,既往有“胃病”史多年。诊断考虑的可能疾病是()。(提示:于患者胃窦部发现一直径约3cm的黏膜下球形隆起性病灶,质硬,边界清晰,表面光滑,黏膜色泽正常,顶部中央有小而深的溃疡,覆血痂。)
A:胃溃疡伴出血
B:胃癌伴出血
C:胃淋巴瘤伴出血
D:胃腺瘤样息肉伴出血
E:胃GIST伴出血
F:异位胰腺
关于胃、十二指肠溃疡癌变,下列错误的是()。
A:少数胃溃疡可癌变,十二指肠溃疡则否
B:癌变率估计在5%左右
C:慢性胃溃疡,45岁以上,症状顽固,严格8周内科治疗无效者应予高度重视
D:粪便隐血持续阳性应予高度重视
E:胃溃疡癌发生在溃疡边缘
最主要产氨场所是()。
A:肾
B:肠道
C:肝脏
D:大脑
E:骨骼肌
脊柱腰段活动受限的疾病不包括()。
A:腰部肌纤维组织炎
B:腰椎管狭窄
C:腰椎肿瘤
D:腰椎结核
E:先天性髋关节脱位
急性水肿型胰腺炎的治疗,原则上主要采用哪项措施()。
A:大量使用抗生素
B:抗休克
C:抑制胰液分泌
D:手术切除
E:用哌替啶止痛