出自:消化内科学高级职称

青年男性,23岁。因发热、皮肤出血点伴乏力7天就诊,血常规检查示:Hb100g/L,WBC23.5×109/L,PLT15×109/L,有幼稚细胞。



第1题,共2个问题
(单选题)B超检查显示肝脾肿大,骨髓细胞学检查原始加幼稚细胞占90%,胞质内有Auer小体,血培养有大肠埃希菌生长。诊断除哪项外均有可能()。
A:急性淋巴细胞白血病
B:急性单核细胞白血病
C:急性早幼粒细胞白血病
D:急性粒-单核细胞白血病
E:急性粒细胞白血病部分分化型

第2题,共2个问题
(单选题)为明确诊断,最重要的辅助检查是()。
A:腹腔CT
B:肝胆B超
C:血培养
D:骨髓检查
E:出凝血常规检测

病例摘要:男性,30岁。餐后突发右上腹及剑突下痛,放射到右肩及后背部,2小时后疼痛剧烈,伴恶心,并吐出所进食物,仍不缓解,急诊就医。数年"胃病"史及胆石症病史,间有胆绞痛发作。查体:痛苦病容。体温37.2℃,呼吸28次/分,浅快,律齐,全腹胀,上腹肌紧张,压痛反跳痛(+),移动性浊音(±),WBC12×109/L。Hb125g/L,尿淀粉酶400U/L(温氏法正常值32U)。



第1题,共4个问题
(单选题)为了确立诊断可考虑进行以下检查,除了()。
A:急诊B超检查
B:立位腹平片检查
C:血淀粉酶检查
D:诊断性腹腔穿刺检查
E:急诊上消化道钡餐检查

第2题,共4个问题
(单选题)应该考虑以下的初步诊断,除了()。
A:胃十二指肠溃疡穿孔
B:急性胆囊炎
C:急性肠梗阻
D:急性胰腺炎
E:急性胃肠炎

第3题,共4个问题
(单选题)排除该项诊断的最主要根据是()。
A:患者有持续腹痛
B:尿淀粉酶轻度升高
C:上腹部存在肌紧张反跳痛
D:患者体温轻度高
E:患者有腹胀

第4题,共4个问题
(单选题)早期处理中错误的是()。
A:使用抗生素
B:为缓解疼痛,肌内注射哌替啶50mg
C:安放胃肠减压管
D:为监测尿量,安放导尿管
E:静脉输液
肝性脑病昏迷期哪项不正确()。
A:昏迷
B:可有抽搐
C:扑翼样震颤阳性
D:脑电图异常
E:反射可消失
既往史包括( )
A:患者既往健康状况
B:患者既往患病情况
C:外科手术史
D:过敏史
E:习惯与嗜好
溶血性黄疸以非结合胆红素升高为主
不符合Crohn病的描述是( )
A:只累及回肠
B:呈节段性分布
C:常呈慢性经过
D:肠粘膜呈鹅卵石状外观
E:形成裂隙及匐行性溃疡
患者男,48岁。近1个月来自觉周身乏力,右上腹不适,到医院体检,发现AFP升高,但<500μg/L,肝功能正常,HBsAg(+),HBeAg(+),HBcAb(+)

第1题,共3个问题
(多选题)可行下列哪些检查方法能明确本病()。
A:肝脏B超
B:肝血管造影
C:两个月后复查AFP
D:肝脏MRI
E:胃镜
F:放射性核素肝显像

第2题,共3个问题
(单选题)该患者最可能是下列何种疾病()。
A:急性活动性肝炎
B:慢性迁延性肝炎
C:慢性活动性肝炎
D:肝硬化代偿期
E:原发性肝癌
F:肝炎携带者

第3题,共3个问题
(多选题)通过增强CT检查所见,该患者目前诊断为原发性肝癌,该病可以采用下列哪些治疗措施()。
A:生物疗法
B:肝动脉化疗栓塞治疗
C:冷冻疗法
D:手术
E:放化疗
F:补充白蛋白
原发性肝癌的血清学标志物有_______,_________,_________,________,________.其中特异性最强的是__________。
简述肝性脑病的发病机制?
肝性脑病的发生可能与哪些因素有关()。
A:氨基酸代谢不平衡
B:氨中毒
C:胆红素及转氨酶增高
D:假神经递质增高
E:血糖升高
下列因素可导致慢性胰腺炎的有()。
A:低血钙
B:长期嗜酒
C:胆道蛔虫
D:高血脂
E:干燥综合征
肝硬化患者出现上消化道出血后预防肝性脑病的措施是()。
A:保肝
B:弱碱灌肠
C:弱酸灌肠
D:纠正酸碱失衡
E:大量补液
Crohn病痉挛性腹痛最常见的部位是()。
A:左下腹
B:左上腹
C:右下腹或脐周
D:右上腹或脐周
E:下腹或脐周
青年男性患者,上腹痛,经胃镜检查确诊为复合性溃疡,判定其发病机制最可能为()。
A:遗传因素所致
B:幽门排空障碍致胃窦排空延迟,胃泌素分泌增加所致
C:十二指肠液反流,胃黏膜屏障受损,H+回渗所致
D:壁细胞总数增加,高胃酸分泌所致
E:长期吸烟所致
出血坏死型胰腺炎,可并发血栓性静脉炎及静脉血栓形成,发生机制主要是()。
A:与卧床有关
B:与脱水血液浓缩有关
C:与低钙血症手足搐搦有关
D:伴发感染及DIC所致
E:血浆内Ⅷ、Ⅴ因子及纤维蛋白原增加
细菌计数在以下哪种情况下可诊断为小肠细菌过度生长()。
A:≥10CFU/ml
B:≥102CFU/ml
C:≥103CFU/ml
D:≥104CFU/ml
E:≥105CFU/ml
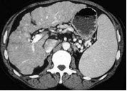
男,71岁,继往有肝炎病史,CT检查如图,请选择最佳诊断( )
A:脂肪肝
B:肝癌
C:肝硬化
D:肝转移瘤
E:肝色素沉着症
肝硬化发生自发性腹膜炎时抗生素的疗程应________________________,其致病菌多为______________________。
对于特发性门脉高压,以下哪项说法不正确()。
A:临床上以脾大,贫血及出血为主
B:由于肝细胞再生形成假小叶压迫肝窦造成
C:系指肝窦前阻塞性门静脉压力增高
D:与门静脉纤维变性有关
E:治疗应首先选择分流术
急性化脓性胃炎最常见的致病菌是( )
A:沙门菌
B:嗜盐菌
C:幽门螺杆菌
D:金黄色葡萄球菌
E:甲型溶血性链球菌
门静脉高压症可引起( )
A:脾大
B:黄疸
C:腹水
D:全身淤血
E:胃肠道淤血
胰腺癌的首选筛选检查方法是()。
A:X线钡餐造影
B:CT
C:B超
D:肿瘤标记物检测
E:选择性动脑造影
肝硬化肝功能减退的临床表现不包括()。
A:黄疸
B:肝掌
C:齿龈出血
D:食管胃底静脉曲张
E:水肿
与肝癌的发生有关的因素有( )
A:黄曲霉素
B:亚硝胺类化合物
C:乙型肝炎病毒
D:坏死后性肝硬化
E:肝脂肪变性
克罗恩病的肠外表现有以下几种,除外()。
A:硬化性胆管炎
B:慢性活动性肝炎
C:慢性心肌炎
D:虹膜睫状体炎
E:关节炎
病例摘要:男性,50岁。1年来头晕、乏力,半月来加重伴心悸、纳差、恶心,血压增高为165/105mmHg,化验尿蛋白(++),沉渣RBC4~8/Hp,血Hb80g/L,血肌酐610μmol/L,BUN25mmol/L。该患者最不可能出现的电解质紊乱是()。
A:低镁血症
B:低钠血症
C:低钙血症
D:高磷血症
E:高钙血症
常用的临床营养评价的实验室指标不包括()。
A:白蛋白
B:前白蛋白
C:转铁蛋白
D:铁蛋白
E:视黄醇结合蛋白
判定急性胰腺炎预后有意义的指标是()。
A:血糖
B:血钙
C:血脂
D:血淀粉酶
E:血脂肪酶
Crohn病最常见的并发症为()。
A:腹腔内脓肿
B:吸收不良综合征
C:肠梗阻
D:大量便血
E:癌变
Courvoisier征是指胰腺癌患者出现( )
A:无痛性胆囊肿大
B:左上腹或脐周血管杂音
C:肝大
D:腹膜转移
E:胰源性腹水