出自:消化内科学高级职称

关于肝性脑病的氨中毒学说,正确的是( )
A:NH3有毒性,能透过血脑屏障
B:肠内PH>6时,NH3不易被吸收
C:低钾碱中毒时增加氨毒性
D:高血糖时增加氨毒性
E:腹泻时增加氨毒性
对急性暴发型溃疡性结肠炎患者,经治医师首先应做的是( )
A:仔细地做钡剂灌肠检查
B:立刻做大便细菌检查
C:立刻做结肠镜检查
D:开始经静脉给予肾上腺皮质激素
E:在24小时内作肠系膜动脉造影
正常人静息时1ES压力为______________________,____________________________易导致反流。
早期食管癌包括()。
A:原位癌
B:黏膜内癌
C:黏膜下癌
D:浸润肌层的癌
E:平滑肌瘤
慢性萎缩性胃炎与胃癌的关系,下列哪项是正确的()。
A:无关
B:小部分发展成胃癌
C:大部分可发展成胃癌
D:全都发展成胃癌
E:等于胃癌
女,30岁,腹胀、便秘2个月,伴乏力,食欲轻度减退,体重减轻。近1个月上述症状加重,伴频繁呕吐。查体:右下腹可触及6cm×7cm大小包块,质中等,边界不清,轻触痛。起病以来,无发热及盗汗。最可能的诊断是( )
A:增殖型肠结核
B:右半结肠癌
C:右侧卵巢囊肿
D:阑尾周围脓肿
E:阿米巴肉芽肿
  1. 下列叙述应诊断为:



第1题,共1个问题
(配伍题)
  1. 腹痛、呕吐、腹泻、腹软( )
  2. 腹部突然发生剧痛,全腹肌紧张,压痛及反跳痛,肺肝界消失( )
  3. 腹痛阵发性向右侧肩背放散,伴发热,右上腹压痛( )
  4. 腹痛,呕吐,腹胀,肠鸣音亢进,腹部平片见小肠内有多个大液面( )
  5. 上腹痛向后腰部,左肩背部放散,腹胀,上腹部腹膜炎体征,尿,血清淀粉酶升高明显( )
根据腹痛部位判断病变部位时,哪种说法是错误的( )
A:腹痛时病变必然在胃或十二指肠
B:右上腹痛多为肝胆病变
C:右下腹痛多为回盲部病变
D:脐周痛多为小肠炳变
E:左上腹痛应想到胰腺病变
急性出血坏死型胰腺炎的特征是()。
A:上腹痛向左腰背部放射
B:腹式呼吸增强
C:脐周皮肤出现青紫
D:肠鸣音亢进
E:无明显腹膜刺激征
下列哪项不是溃疡性结肠炎的常见并发症()。
A:瘘管形成
B:结肠大出血
C:结肠癌变
D:关节炎
E:结节性红斑

男,35岁,间歇性左下腹痛、解脓血便5年,多次大便培养阴性,反复抗生素治疗无效,外院钡灌肠检查示“慢性结肠炎”。查体:腹平软,左下腹轻压痛,未扪及包块。肛检见肛瘘和肛裂。



第1题,共3个问题
(单选题)最有助于诊断的检查是( )
A:结肠镜检
B:全程X线钡餐检查
C:大便PCR-TB-DNA测定
D:血癌胚抗原测定
E:复查大便培养

第2题,共3个问题
(单选题)根据上述资料,最可能的诊断是( )
A:结肠癌
B:克罗恩病
C:慢性阿米巴痢疾
D:慢性细菌性痢疾
E:溃疡性结肠炎

第3题,共3个问题
(单选题)治疗首选药物是( )
A:氟嗪酸
B:卡巴胂
C:SASP
D:雷米封
E:6-巯基嘌呤
肠易激综合征的警惕症状不包括()。
A:白天症状重
B:体重下降
C:贫血
D:便潜血阳性
E:具有腹痛症状
病例摘要:男性,22岁,因呕吐咖啡色液体及排黑便来诊。既往无胃病及肝病史。查体:面色稍苍白,血压100/60mmHg,心率92次/分,腹软,肝脾未触及,肠鸣音活跃。问那么最可能的诊断是()。
A:食管静脉曲张破裂出血
B:十二指肠溃疡并发出血
C:胃癌出血
D:卓-艾综合征并发出血
E:食管贲门撕裂综合征
病例摘要:男性,24岁,突然意识不清,跌倒,全身强直数秒钟后抽搐,咬破舌。2分钟后抽搐停止,醒后活动正常。治疗的首选药物是()。
A:降颅压药
B:溶栓治疗
C:止血药
D:扩血管药
E:抗癫痫药
轻微肝性脑病可通过____________和______________检出。
Hp感染存在的证据,除了()。
A:Hp菌落为针尖样
B:明显溶血
C:尿素酶试验阳性
D:过氧化氢酶试验阳性
E:以上均正确
B超简单、易行可_________________、______________、________________、____________和__________________等征像。
A型和B型萎缩性胃炎主要依据是胃粘膜腺体萎缩的有无
慢性腹痛常见于( )
A:急性胆囊炎
B:急性胰腺炎
C:异位妊娠破裂
D:胆囊结石
E:结核性腹膜炎
属于渗透性通便剂的药物是()。
A:麦麸
B:聚乙二醇4000
C:欧车前
D:番泻叶
E:石蜡油
男,58岁,腹胀乏力,伴食欲不振3年。查体:巩膜轻度黄染,胸前可见2个蜘蛛痣,腹软,肝肋下未扪及,脾肋下5cm,腹水征阳性。该患者的诊断最可能是()。
A:腹膜转移癌
B:胆管结石
C:继发性腹膜炎
D:原发性肝癌
E:肝硬化
男性38岁,持续性上腹剧痛10小时就诊,伴恶心呕吐,腹痛最初位于上腹部偏左,逐渐波及全腹。体检:体温39℃,血压12/8kPa,腹平坦,上腹肌紧张,压痛明显,有轻度反跳痛,腹透膈下无游离气体,B超检查有胆结石,血WBC16×10/L,N0.90,血清淀粉酶2460U(Somogyi),最可能的诊断是( )
A:消化性溃疡穿孔
B:急性胆囊炎
C:轻症急性胰腺炎
D:重症急性胰腺炎
E:急性胃炎
女性患者,48岁。2个月前出现右上腹胀痛。查体:巩膜无黄染,肝脾肋下未触及。血常规:WBC6.8×109/L,N65%;立位腹平片:右侧膈肌抬高。下列诊断可能性最大的是()。
A:肝脓肿
B:肝硬化
C:原发性肝癌
D:脂肪肝
E:胆囊结石
女,30岁。月经量多,2年余。Hb90g/L。骨髓象示红细胞系增生活跃,幼红细胞35%,以中幼及晚幼红细胞为主。骨髓铁染色示细胞外铁(一),铁粒幼红细胞15%。最可能的诊断是()。
A:铁粒幼细胞贫血
B:溶血性贫血
C:巨幼细胞贫血
D:珠蛋白生成障碍性贫血
E:缺铁性贫血
下述疾病好发部位描述中错误的是()。
A:十二指肠溃疡:十二指肠起始部
B:慢性胃溃疡:胃窦及移行部
C:伤寒:回肠上段
D:细菌性痢疾:大肠下段
E:阿米巴痢疾:结肠上段
  1. 下列疾病引起的症状是:



第1题,共1个问题
(配伍题)
  1. 胃癌( )
  2. 消化性溃疡( )
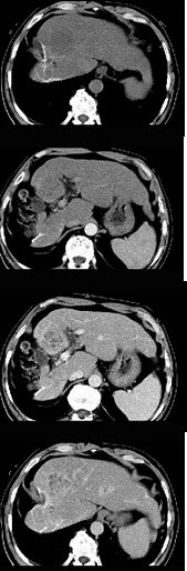
女性,56岁,腹胀、双下肢水肿、乏力、食欲不振,影像所见如下图,最佳的诊断是( )
A:酒精性肝硬化并肝血管瘤
B:血吸虫肝硬化并肝癌
C:肝炎后肝硬化并肝癌
D:局限性脂肪肝
E:原发性肝癌
致突变的物理因素中最重要的一项是()。
A:紫外线
B:电离辐射
C:红外线
D:X射线
E:γ射线
下列哪几种物质促进胰腺分泌()。
A:乙酰胆碱
B:促胰液素
C:缩胆囊素
D:促胃液素
E:肾上腺素
关于胃腺,以下哪项不正确()。
A:主细胞分泌胃蛋白酶原
B:壁细胞分泌盐酸
C:G细胞分泌胃泌素
D:颈黏液细胞分泌黏液
E:主细胞分泌内因子