出自:内分泌学高级职称

对Graves病有早期诊断意义的检查。
下列哪种疾病不会引起高促性腺激素型性功能减退症( )
A:隐睾症
B:先天性曲细精管发育不良(K1inefe1ter综合征)
C:腮腺炎
D:垂体瘤
E:精索静脉曲张
下列关于HDL的叙述中正确的是( )
A:HDL颗粒最小 
B:HDL密度最高 
C:HDL的蛋白质部分以ApoA为主 
D:HDL主要在肝脏合成 
E:HDL是抗动脉粥样硬化因子 
替代治疗Sheehan综合征过程中,应先补______激素,然后再补充甲状腺激素,以防_____危像的发生。
女性,40岁,发现高血压3年,血压经常维持在180/100mmHg,伴口干、多尿,以夜尿增多为主,化验血钾为3.0mmol/L,时常出现四肢麻木和手足搐搦 出现四肢麻木和手足搐搦的原因除了( )
A:细胞内钾离子丢失
B:细胞内钠氢离子增加
C:细胞内pH上升
D:碱中毒时,细胞外液游离钙减少
E:尿镁排出增多
患者男,60岁,因“咳嗽、发热2d,昏迷1h”来诊。高血压及糖尿病病史3年,糖尿病单用饮食控制。查体:P110次/min,BP130/60mmHg;瞳孔等大,无嘴歪、肢瘫,皮肤弹性差;肺部可闻及湿性啰音;心律齐;左侧Babinski征可疑阳性。实验室检查:血WBC15×109/L,Hb150g/L;尿糖(+++),尿酮体(±);血糖42.4mmol/L。该患者易出现()。
A:高渗性失水
B:等渗性失水
C:高钠血症
D:血浆渗透压升高
E:酮症酸中毒
F:低渗性失水
药物减重的目标是( )
A:使体重回复正常范围 
B:使原体重减轻5%~10% 
C:最好能逐步接近理想体重 
D:减重后维持体重不再反弹和增加 
E:使降血压、降血糖、调节血脂药物能更好地发挥作用
男性,60岁,肾绞痛,血尿、血钙升高,血磷低,肾功能正常,X线示骨质疏松,可考虑( )
A:肾结石病
B:老年性骨质疏松症
C:原发性甲状旁腺功能亢进症
D:肾结核
E:肾性骨病
患者,女性,46岁,消瘦,心悸6个月,甲状腺Ⅱ度肿大,无触痛,临床诊断为Graves病。给予丙基硫氧嘧啶(300mg/d)及心得安治疗2周,病人出现怕冷,易困倦,手足发胀,查FT、FT低于正常,TSH高。

第1题,共4个问题
(单选题)应首先考虑下列哪项检查()。
A:TSAb测定
B:TGAB、TPOAb测定
C:复查FT3、FT4、TSH
D:甲状腺超声检查
E:甲状腺远红外线扫描

第2题,共4个问题
(单选题)提示:如患者甲状腺肿及突眼加重提问:此时应选择的治疗方案是()。
A:改用他巴唑
B:加大丙基硫氧嘧啶
C:应用131I治疗
D:复方碘油
E:加用小剂量的甲状腺激素

第3题,共4个问题
(单选题)此时应考虑的诊断是()。
A:Graves病,病人对抗甲状腺药物敏感
B:碘甲亢,药物性甲亢
C:慢性甲状腺炎伴甲亢(桥本甲亢),药物性甲低
D:亚急性甲状腺炎伴甲亢,药物性甲低
E:结节性甲状腺肿伴甲亢,药物性甲低

第4题,共4个问题
(单选题)此时应选择的治疗方案是()。
A:继续原有治疗
B:继续原有治疗+甲状腺制剂
C:减少丙基硫氧嘧啶和心得安剂量+甲状腺制剂
D:停药观察
E:改用同位素治疗或手术治疗

患者,男,48岁。心慌、纳亢4月余就诊。既往有哮喘史。体检:甲状腺一度肿大,心界向左扩大。HR124次/分,律齐,肝肋下2cm,质中,肝颈回流征(+),双下肢可有凹陷性水肿。FT、FT均升高,TSH0.2U/ml。



第1题,共2个问题
(单选题)最完整的诊断是( )
A:甲亢
B:甲亢伴心衰
C:心衰
D:甲亢伴肺心病
E:甲亢伴哮喘

第2题,共2个问题
(单选题)下列哪项处理不正确( )
A:抗甲状腺药物加小剂量地高辛
B:抗甲状腺药物加利尿剂
C:可首选丙硫氧嘧啶
D:抗甲状腺药物加地西泮类药物
E:抗甲状腺药物加β一受体阻滞剂
女性,28岁。发现肥胖1年就诊。体检:面呈满月,皮肤痤疮增多,口唇有小须,背部毳毛多见,项部脂肪垫肥厚,BP20/13.3kPa(150/100mmHg)。下列检查结果中,哪项支持皮质醇增多症而不是单纯性肥胖的诊断()。
A:糖耐量减低
B:尿17-羟皮质类固醇增高
C:血浆皮质醇昼夜节律紊乱
D:被小剂量地塞米松抑制
E:24小时尿游离皮质醇增高
女性,40岁,10年前生育一子后闭经,体力差,常因为感染脱水,血压低。预计可能的疾病是()。
A:交感性低血糖
B:继发闭经
C:Addison病
D:Sheehan病
E:以上都不是
TRH兴奋试验结果:TSH有升高反应,该结果有什么临床意义( )
A:支持甲亢的诊断
B:可排除甲亢
C:见于Graves眼病
D:见于TSH瘤
E:见于自主性高功能腺瘤
试述Addison病的病因有哪些?
不属于糖尿病性植物神经病变者为()。
A:体位性低血压
B:腹泻、便秘
C:尿潴留
D:肢体麻木、感觉过敏
E:多汗
男性,50岁。心悸,消瘦2年,查体:血压160/90mmHg,甲状腺弥漫性肿大,震颤(+),血管杂音(+),心界向左扩大,心尖部Ⅱ级收缩期杂音,心率110次/分,心律绝对不齐,T3、T4增高,诊断为()。
A:风湿性心脏病
B:甲亢性心脏病
C:冠心病
D:心肌病
E:以上都不是
用胰岛素治疗的糖尿病人,因突然晕倒来急诊室就诊。

第1题,共4个问题
(单选题)下列诊断应首先考虑()。
A:脑出血
B:糖尿病酮症酸中毒
C:高渗性昏迷
D:乳酸酸中毒
E:低血糖昏迷

第2题,共4个问题
(单选题)为确诊此病人有无酸中毒,下列哪项检查无诊断意义?()
A:血酮体测定
B:血pH测定
C:碳酸氢根浓度测定
D:二氧化碳结合力
E:阴离子间隙

第3题,共4个问题
(单选题)为确诊该患者有无乳酸酸中毒,最有意义的检查是()。
A:血糖
B:血pH值
C:碳酸氢根浓度
D:二氧化碳结合力
E:阴离子间隙

第4题,共4个问题
(单选题)导尿检查尿糖阴性,体温不高,无呕吐,昏迷及抽搐。应采取的抢救措施是()。
A:输氧
B:输液
C:静脉推注50%葡萄糖液
D:输液中加入胰岛素,每小时滴入5u普通胰岛素
E:肌肉注射适当抗生素
血管升压素分泌失调综合征(SIADH)血浆渗透压常升高。
多囊卵巢综合征(PCOS)的发病机制不包括()。
A:PCOS发病涉及自身免疫和慢性低度炎症性疾病
B:胰岛素抵抗与PCOS雄激素过多的关系尚未明确
C:HLA-DQA基因分布可能对预测或诊断PCOS具有重要意义
D:卵巢男性化肿瘤产生过多雄激素引起PCOS
E:CYPllA基因和脂联素基因与PCOS发病可能相关
下列叙述错误的是什么()。
A:ACTH瘤常为微腺瘤,引起Cushing病
B:Cushing综合征以并发症就诊者,年龄较大,Cushing综合征易被忽略
C:Cushing综合征早期病例,以高血压为主,肥胖、向心性不够显著,全身情况好,尿游离皮质醇不高
D:不依赖ACTH性双侧性肾上腺小结节性增生又叫Meador综合征
E:Cushing综合征高血压与肾素-血管紧张素系统激活有关
T1DM的亚型有()。
A:1
B:4
C:2
D:3
E:5
患者女,50岁,因“多尿、口干、多饮7年,左足背红肿、流脓2周”来诊。查体:左足背近第1趾间处皮肤破溃,有脓性分泌物,足背大部红肿,压痛不明显,左足背动脉搏动差。空腹血糖13.8mmol/L。该患者糖尿病足治疗方案中,叙述错误的是()。
A:应用胰岛素控制血糖
B:应用扩血管药物改善循环功能
C:抗感染
D:局部清创后缝合伤口
E:应用B族维生素改善神经功能
男性,30岁,4年来先下身渐全身的骨疼痛,1年来行动困难,身高缩短10cm,半年前不明原因的肋骨和股骨上段骨折。诊断应考虑( )
A:骨癌
B:增生性骨关节炎
C:类风湿性关节炎
D:代谢性骨病
E:骨髓炎
患者,女,72岁。尿频、尿急伴发热3天,意识不清4小时由家属送入院。否认糖尿病史。高血压史12年。如果患者在抢救治疗过程中血糖进行性下降,为了避免发生低血糖反应,应及时静脉滴注葡萄糖溶液。在血糖下降至何种水平时加用葡萄糖溶液()。
A:7.8mmol/L
B:11.1mmol/L
C:6.7mmol/L
D:5.6mmol/L
E:13.9mmol/L
下列哪项不是碘缺乏地区甲状腺肿的诊断标准( )
A:甲状腺肿大超过受检者拇指末节,或小于拇指末节而有结节者
B:排除甲亢、甲状腺炎、甲状腺癌
C:尿碘高于50μg
D:吸碘率呈“碘饥饿”曲线
E:排除甲状腺癌
病历摘要:患者,男性,36岁,确诊糖尿病1周,体检为发现明显异常。对于Ⅰ型糖尿病患者的运动治疗中,下列哪一种(或哪几种)是正确的?()
A:Ⅰ型糖尿病患者接受胰岛素治疗,如果胰岛素量相对不足,应该加强运动这样可以降低血糖,弥补了胰岛素的不足
B:Ⅰ型糖尿病患者接受胰岛素治疗,如果胰岛素量相对过多,运动有诱发低血糖的危险。
C:Ⅰ型糖尿病患者的运动时间不宜过长
D:Ⅰ型糖尿病患者的运动应该循序渐进、长期坚持
E:Ⅰ型糖尿病患者运动治疗最好在每餐餐后
F:Ⅰ型糖尿病患者的应该进行运动强度大的运动方式,以利于节约胰岛素
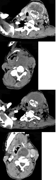
女,64岁,双甲状腺占位40余天。如图所示甲状腺病灶应诊断为( )
A:结节性甲状腺肿
B:甲状腺腺瘤
C:甲状腺癌并淋巴结转移
D:甲状腺转移瘤
E:甲状腺结核
目前公认糖尿病是一种单一病因所致的疾病。
患者,女,72岁。尿频、尿急伴发热3天,意识不清4小时由家属送入院。否认糖尿病史。高血压史12年。 如果患者在抢救治疗过程中血糖进行性下降,为了避免发生低血糖反应,应及时静脉滴注葡萄糖溶液。在血糖下降至何种水平时加用葡萄糖溶液( )
A:7.8mmol/L
B:11.1mmol/L
C:6.7mmol/L
D:5.6mmol/L
E:13.9mmol/L
某病人为单卵双胎。有糖尿病史10年,现出现眼睑及下肢浮肿,乏力,尿蛋白(++)、尿糖(+++)。目前出现的症状应该考虑为()。
A:药物治疗的并发症
B:Somogyi反应
C:糖尿病肾病
D:药物的不良反应
E:出现新的疾病