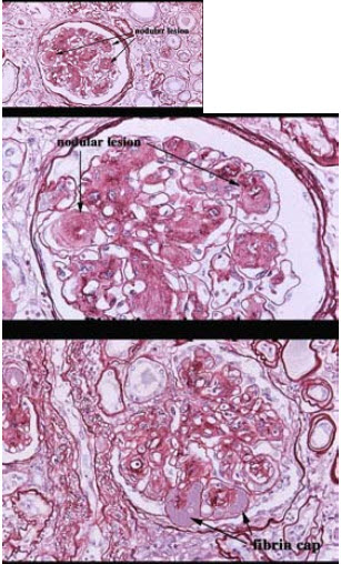
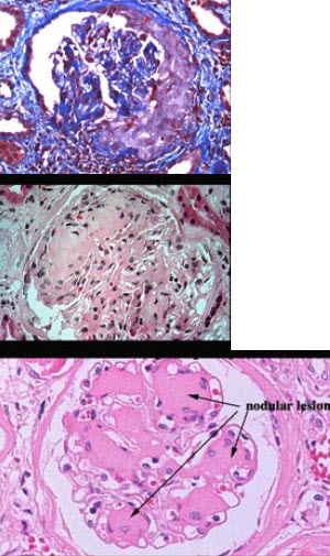
患者,女性,32岁,1型糖尿病15年,1年来间断眼睑及双下肢浮肿,血压160/90mmHg,尿蛋白(+),肾脏活检如图所示,尿糖(++)
第1题,共3个问题
(单选题)患者最可能诊断为( )
A:慢性肾小球肾炎
B:肾动脉硬化
C:慢性肾盂肾炎
D:狼疮性肾炎
E:糖尿病肾病
第2题,共3个问题
(单选题)该患者尿清蛋白排泄率为190μg/min,下列哪项正确( )
A:患者为糖尿病早期肾病
B:患者为糖尿病临床肾病
C:患者24小时尿清蛋白可能大于300mg
D:患者24小时尿蛋白可能大于0.5g
E:患者肾小球滤过率下降
第3题,共3个问题
(单选题)关于患者目前的治疗正确的是( )
A:选用保肾的中药
B:患者血压应控制在125/70mmHg
C:使用利尿剂降压、消除水肿治疗
D:因肾漏出蛋白增多,应增加蛋白质摄入量
E:因ACEI类降压药可能使血肌酐升高,此时不宜使用