自考题库
首页
所有科目
自考历年真题
考试分类
关于本站
游客
账号设置
退出登录
注册
登录
出自:CT医师
继发性肺结核与原发性肺结核的主要不同点是:()
A:病灶位于上肺尖段及下叶背段
B:一般无肺门淋巴结肿大
C:肺内病灶钙化较少见
D:病灶形态多样,可溶解形成空洞
E:胸腔积液
纵隔的气管前间隙内的主要成分有:()
A:脂肪
B:小淋巴结
C:心包上隐窝
D:脂肪和小淋巴结
E:脂肪、小淋巴结和心包上隐窝
患者女性,50岁,临床以黄疸就诊,CT显示胆囊增大,内有结石,胆总管扩张,在胰头段略细而突然中断,增强扫描见胆总管下段壁明显增厚且有强化,应考虑为:()
A:急性胆囊炎
B:慢性胆囊炎
C:硬化性胆管炎
D:胆总管下段癌
E:以上都不是
腮腺脓肿的特征性CT表现包括()。
A:腮腺内软组织密度影,其内见液气面
B:边界清楚的圆形肿块
C:弥漫性腮腺肿大,仍维持腮腺外形
D:边缘模糊的高密度影
E:增强CT扫描,肿块有强化
肝转移癌的“靶征”中,其高信号的外晕环与下列哪项有关()。
A:纤维结缔组织形成
B:细胞的凝固性坏死
C:脂肪浸润
D:生长活跃的肿瘤细胞
E:肿瘤的液化囊变
肺源性心脏病最常见下列哪项病因?()
A:机化性肺炎
B:慢性支气管炎
C:肺结核
D:支气管扩张
E:胸膜增厚粘连
原发性纵隔肿瘤中最常见者为:()
A:恶性淋巴瘤
B:胸内甲状腺
C:神经源性肿瘤
D:畸胎类肿瘤
E:胸腺瘤
下列关于CT诊断梗阻性黄疸的说法,不准确的是:()
A:可确定是否为梗阻性黄疸
B:可明确梗阻部位
C:可鉴别梗阻原因
D:平扫能确诊结石性梗阻
E:根据病情应做增强扫描
下述疾病中引起盲肠缩短、变形收缩最常见于下列哪项原因?()
A:增殖型肠结核
B:溃疡性结肠炎
C:局限性肠炎
D:阿米巴性结肠炎
E:慢性痢疾
纵隔的血管前间隙,通常呈三角形,其正常成分有:()
A:脂肪
B:胸腺
C:小淋巴结
D:头臂静脉
E:以上都有
以下哪一项不是胆管细胞性肝癌的常见表现:()
A:平扫为低密度实性肿块
B:病灶较大,内有点状钙化
C:动脉期扫描多呈低密度结节
D:肿瘤远侧局部胆管扩张较肝细胞型肝癌多见
E:有明显包膜,边缘清晰
男,31岁,反复咳嗽,咯血10年余,结合影像学检查,最可能的诊断是()。
A:肺囊肿
B:间质性肺炎
C:肺曲菌病
D:支气管扩张
E:肺结核
下列关于海绵窦静脉瘘CT表现的描述,正确的是:()
A:蝶鞍骨质正常
B:海绵窦增大
C:眼球后脂肪密度增高
D:增强扫描无强化
E:可见粗大的眼动脉
典型肝硬化的CT表现中正确的一项为:()
A:脾大,脾和胃底静脉曲张,肝各叶比例正常
B:肝表面不光整,各叶比例失调,肝密度不均,脾大
C:肝密度均匀,各叶比例失调,脾正常
D:肝体积增大,密度均匀,各叶比例失调,腹水
E:肝叶比例失调,肝脏密度正常,胆囊结石,腹水
女,52岁,下腹部胀痛,B超提示盆腔占位,CT扫描如图所示,盆腔内见囊实性肿块,其内CT值不均,从—120至300Hu不等,最可能的诊断是()。
A:盆腔畸胎瘤
B:盆腔结核
C:子宫肌瘤
D:卵巢囊肿
E:卵巢黏液瘤
患者女性,10岁,头痛,抽搐,右颞部膨隆,CT示右中颅窝有一个3.0cm×4.0cm脑脊液样密度影,边界清楚,蝶骨大翼变薄,颞骨薄,向外膨隆,诊断为()。
A:蛛网膜囊肿
B:神经纤维瘤病
C:脑萎缩
D:表皮样囊肿
E:脑发育不全
CT值是指:()
A:物质密度的绝对值
B:物质厚度的绝对值
C:物质衰减系数的绝对值
D:物质衰减系数与水相比的相对值
E:物质厚度的相对值
下列
不属于
股骨头缺血坏死常见X线表现的是:()
A:股骨头密度均匀增高
B:股骨头局限性疏松、囊变
C:股骨头不均匀硬化
D:髋臼增大
E:关节间隙狭窄
面神经管常分为几段:()
A:2段
B:3段
C:4段
D:5段
E:6段
排尿性膀胱尿路造影对诊断下述哪种疾病有重要作用:()
A:膀胱癌
B:外伤性输尿管、肾脏病变
C:反流性肾病
D:多发性尿路结石
E:良性前列腺肥大
CT示颅前窝中线高密度肿块,4cm×3cm大小,无瘤周水肿,明显强化,病人嗅觉障碍,应考虑()。
A:室管膜瘤
B:三叉神经瘤
C:听神经瘤
D:脑膜瘤
E:畸胎瘤
怀疑股骨头无菌坏死,CT检查不易显示:()
A:小囊性变
B:骨质疏松
C:小裂纹骨折
D:小梁密度增高
E:关节面软骨破坏
肿瘤脱落转移至卵巢可以和Ⅲ期卵巢癌相混淆,下列哪类肿瘤很少转移到卵巢:()
A:肾癌
B:结肠腺癌
C:胆囊癌
D:胃癌
E:乳腺癌
常导致内分泌紊乱的疾病是()。
A:脑膜瘤
B:神经纤维瘤
C:垂体微腺瘤
D:星形细胞瘤
E:海绵状血管瘤
25岁青年,曾多次患肺炎,胸骨左缘3~4肋间Ⅳ级粗糙收缩期杂音,不考虑以下哪一项诊断()。
A:法洛四联症
B:室间隔肌部缺损
C:动脉导管未闭
D:室间隔嵴上型缺损
E:室间隔嵴下型缺损
属于颅底骨折直接征象的是:()
A:颅内积气
B:脑脊液鼻漏
C:蝶窦积血
D:骨缝分离
E:乳突气房浑浊
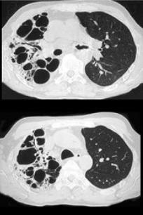
患者男,32岁,被车撞伤后1小时急诊行CT检查。结合图像,最可能的诊断为()。
A:右侧气胸
B:右肺不张
C:右侧气胸并皮下纵隔气肿
D:右侧肺大疱并皮下纵隔气肿
E:支气管断裂
结肠癌的影像表现特点
不正确
的是()。
A:可表现为形态不规则.边缘不整齐的较大龛影
B:肠腔可见轮廓不规则的充盈缺损病变多为肠壁的一侧
C:环形狭窄是浸润型结肠癌的典型表现
D:肠管黏膜破坏,局部管壁僵硬平直结肠袋消失
E:结肠癌Ⅱ期管壁增厚超过10mm,并有邻近器官的侵犯
脑干最常见的肿瘤是()。
A:室管膜瘤
B:星形细胞瘤
C:海绵状血管瘤
D:血管母细胞瘤
E:转移癌
下列哪项是CT显示宫颈癌向外侵犯的确切根据()。
A:直肠壁局限性增厚
B:宫颈径线大于3mm
C:周围脂肪层消失
D:宫颈呈分叶状
E:宫颈与阴道壁分界不清
首页
<上一页
95
96
97
98
99
下一页>
尾页