自考题库
首页
所有科目
自考历年真题
考试分类
关于本站
游客
账号设置
退出登录
注册
登录
出自:放射医学主治医师
关于经皮肝穿刺胆道引流术,下列叙述
不正确
的是()
A:胰腺癌所致胆道梗阻伴严重黄疸者,外科手术前应用减少并发症
B:胰腺癌所致胆道梗阻不能外科手术者
C:可用于急性梗阻性化脓性胆管炎的急救减低胆管内压,改善临床症状
D:良性胆管狭窄均不采用此术
E:胆道结石所致梗阻者引流减压后可经导管将结石取出
患者,女,25岁,因感冒一段时间后,出现干咳、发热、关节疼痛、皮肤红斑(颜面部无蝶形红斑)等症状;实验室检查可见血沉加快、抗核抗体阳性,外周血液中可找到SLE细胞,胸部X线片显示右侧胸腔积液,两肺纹理增强,并可见斑片状影,最可能的诊断是()
A:系统性红斑狼疮
B:结缔组织疾病
C:类风湿性肺炎
D:过敏性肺炎
E:结节性多动脉炎
下咽癌最常见的病理类型为()
A:腺癌
B:鳞癌
C:未分化癌
D:肉瘤
E:泡状核细胞癌
患者,女,27岁,低热、乏力2周,咳嗽,痰中带血,CT示右肺下叶一不规则高密度影,边界不清,其中见空洞,周围可见小斑点状卫星灶,血沉50mm/h。还需做哪项检查以辅助诊断()
A:抽胸液送检
B:B超
C:CT
D:EKG
E:ESR
患儿,男,12岁,癫痫,半年前蛛网膜下腔出血。CT示右颞叶前部有斑点状高密度,中度强化并见曲张血管影,最可能的诊断是()
A:海绵状血管瘤
B:动静脉畸形
C:星形细胞瘤
D:动脉瘤
E:脑挫裂伤
下述卵巢癌的CT表现中,错误的是()
A:盆腔肿块
B:可见腹水
C:淋巴转移和血行播散较常见
D:腹膜腔转移
E:大网膜转移
X线平片示两肺野出现大小、密度、分布三均匀的弥漫性粟粒结节,直径约1~2mm,边界清楚,应考虑为()
A:亚急性血行播散型肺结核
B:病毒性肺炎
C:支气管肺泡癌
D:小叶性肺炎
E:急性血行播散型肺结核
后交叉韧带股骨附着点()
A:胫骨前内侧隆突前窝
B:股骨外髁的内面
C:胫骨外后髁间隆突后窝
D:股骨内侧髁前外缘
E:髌骨
目前临床应用的MRI是观察存在于人体内的()
A:质子
B:电子
C:分子
D:原子
E:光子
左右侧肾脏大小差别不应超过()
A:1~2cm
B:3cm
C:2cm
D:1cm
E:2~3cm
下列哪种病变影像表现可呈游走性()
A:病毒性肺炎
B:支气管肺炎
C:支原体肺炎
D:真菌感染
E:过敏性肺炎
以下属于短期栓塞剂的是()
A:明胶海绵
B:自凝血块
C:无水酒精
D:碘油
E:液态硅胶
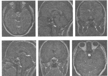
患者,男性,62岁,左上肢肌力下降1周,颅脑MRI平扫和增强扫描图像如下,应首先考虑为()
A:脑转移瘤
B:脑脓肿
C:脑胶质瘤
D:脑膜瘤
E:脑内血肿吸收期
胃癌患者,胸痛1个月,进行性加重,最近出现呼吸困难。CT平扫发现左侧多发散在的胸膜结节,并见大量胸腔积液,CT增强扫描结节明显强化。
第1题,共1个问题
(单选题)下列哪种检查方法能进一步区别胸膜转移瘤与弥漫性胸膜间皮瘤()
A:胸部MRI平扫
B:胸部MRI增强扫描
C:痰检
D:胸膜活检
E:支气管镜检查
急性期脑梗死的诊断()
A:in-outphase
B:水成像
C:DWI
D:MRS
E:DTI
女,23岁,闭经1年余,MRI检查如图,最可能的诊断为()
A:脑膜瘤
B:表皮样囊肿
C:颅咽管瘤
D:蛛网膜囊肿
E:垂体瘤
关于桡骨远端骨折(Colles骨折)下列
不正确
的是()
A:桡骨远端2~3cm以内骨折
B:远侧断端向背侧桡侧移位
C:骨折段向掌侧成角畸形
D:骨折段向背侧成角畸形
E:常伴尺骨茎突骨折
下列哪项不是急性化脓性骨髓炎的特点()
A:骨质破坏
B:骨膜反应
C:死骨
D:软组织肿块
E:发热
幼年性强直性脊柱炎的症状和X线异常最早出现于()
A:髋关节
B:骶髂关节
C:耻骨联合
D:颈椎
E:腰椎
以下描述哪项错误()
A:关节软骨在X线平片上不显影
B:小儿长骨两端的骨骺为二次骨化中心
C:X线平片上小儿长骨的骺板软骨表现为小点状骨性致密影
D:儿童的关节间隙在X线平片上显得较宽
E:干骺端为骨骺线未闭合前的长骨的构成部分
以紫外光为光源感光的胶片是()
A:红外激光片
B:荧光缩影胶片
C:干式打印胶片
D:直接反转胶片
E:荧光电影胶片
Gd-DTPA的临床应用剂量为()
A:0.1mmol/kg
B:1mmol/kg
C:2mmol/kg
D:3mmol/kg
E:4mmol/kg
高浓度顺磁对比剂对质子弛豫时间的影响为()
A:T
1
缩短,T
2
改变不大
B:T
1
缩短,T
2
延长
C:T
1
延长,T
2
缩短
D:T
1
缩短,T
2
缩短
E:T
1
延长,T
2
延长
需要与增感屏配合使用的胶片是()
A:直接反转胶片
B:荧光缩影胶片
C:干式打印胶片
D:乳腺摄影专用胶片
E:激光胶片
有关腕关节的描述,以下哪项正确()
A:八块腕骨近侧排是大多角骨、小多角骨、头状骨和钩骨
B:远侧排是舟骨、月骨、三角骨、豌豆骨
C:桡腕关节由桡骨的腕关节面与舟骨、月骨和三角骨、豌豆骨构成
D:腕关节脱位较肘关节脱位多见
E:腕关节三角软骨为纤维软骨
CT示咽旁间隙向外移位,提示占位病变来源于()
A:鼻咽
B:颌下腺
C:腺样体
D:腮腺
E:颈深淋巴结
诊断胫骨平台凹陷骨折时,最佳CT显示图像为()
A:轴位图像
B:冠状位或矢状位MPR图像
C:MIP重建图像
D:VR重建图像
E:最小密度投影图像
下列有关鼻咽纤维血管瘤的CT表现,
不正确
的是()
A:翼腭窝区软组织密度肿块
B:肿块体积大,呈膨胀性生长
C:翼腭窝扩大
D:压迫上颌窦后壁弯曲变形并向前移位
E:肿块强化不明显
下列哪项不会引起肾周脂肪囊混浊()
A:晚期肾细胞癌
B:肾脓肿
C:肾结石急性嵌顿
D:急性化脓性阑尾炎
E:单纯性肾囊肿
下面关于鼻咽癌淋巴结转移的描述,正确的是()
A:鼻咽癌多无淋巴结转移
B:多发生颈深上淋巴结后组转移
C:多发生颈深上淋巴结前组转移
D:多发生颈深下淋巴结后组转移
E:多发生颈深下淋巴结前组转移
首页
<上一页
93
94
95
96
97
下一页>
尾页