自考题库
首页
所有科目
自考历年真题
考试分类
关于本站
游客
账号设置
退出登录
注册
登录
出自:临床医学检验技术
干细胞培养中常将40个或40个以上细胞组成的细胞团称为()
A:集落
B:微丛
C:小丛
D:大丛
E:集团
每分通气量和每分肺泡通气量之差等于()
A:无效腔气量×呼吸频率
B:潮气量×呼吸频率
C:功能余气量×呼吸频率
D:(潮气量-无效腔气量)×呼吸频率
E:补吸气量×呼吸频率
以下哪些属于无丝分裂的特征()
A:直接分裂
B:间接分裂
C:没有染色体组装
D:没有纺锤体形成
E:高等生物主要的分裂方式
血液中LDL的主要功能是转运( )
A:胆固醇
B:外源性TG
C:内源性TG
D:磷脂
E:糖脂
SS琼脂可用于下述哪属细菌的选择性分离( )
A:肠杆菌科各属细菌
B:弧菌属
C:大肠埃希菌属
D:螺杆菌属
E:沙门菌属
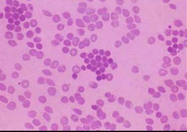
某家族性遗传病患者血涂片如图,红细胞渗透脆性增加,下述哪项不符合其病情。( )
A:脾肿大
B:红细胞在脾窦被破坏
C:血红蛋白电泳出现异常区带
D:尿胆原阳性
E:网织红细胞明显增高
散射比浊法测定时,为维持抗原-抗体复合物相对不溶解性应()
A:保持抗原过量
B:保持抗体过量
C:保持抗原-抗体相等
D:保持抗原略大于抗体量
E:与抗原或抗体量无关
急性溶血时,下列哪一项是少见的()。
A:寒战、高热
B:头痛、腰痛、背痛、四肢酸痛
C:尿胆原增多
D:尿胆红素增多
E:急性肾衰
有关细菌学检验的描述哪项是错误的()
A:原则上所有标本均应作病原分离培养
B:脑膜炎奈瑟菌初次培养需用巧克力培养基
C:结核杆菌需4~8周才长成菌落
D:分离培养的阳性率一般比直接涂片镜检的阳性率为低
E:布氏杆菌初次培养时需5%~10%的CO
2
MPV是()
A:平均血小板体积
B:平均血小板数
C:血小板体积
D:外周血小板体积
E:富血小板悬液
人体最大的外周淋巴器官是
A:肝脏
B:胸腺
C:脾脏
D:淋巴结
E:骨髓
对多发性骨髓瘤诊断具有决定性意义的检查是()
A:骨髓穿刺涂片形态学检查
B:外周血涂片检查
C:红细胞沉降率测定
D:血清钙、磷和碱性磷酸酶测定
E:尿常规测定
下列哪一项不是黄疸的发生机制( )
A:胆红素的排泄增多
B:红细胞破坏增多
C:胆道阻塞
D:葡萄糖醛酸基转移酶活性低下
E:Y蛋白和Z蛋白的遗传缺陷
肝硬化时,下列哪些指标是正确的( )
A:血清清蛋白减低,A/G比值降低或倒置
B:肝细胞坏死严重时,AST活力常低于ALT
C:血浆凝血酶原时间延长
D:单胺氧化酶活性往往升高
E:血ALT轻至中度升高
脑脊液有核细胞分类同时见到粒细胞、淋巴细胞和浆细胞,是下列何种疾病的特点()
A:化脓性脑膜炎
B:结核性脑膜炎
C:真菌性脑膜炎
D:脑血管病
E:病毒性脑炎
吡啶酚的来源主要是( )
A:骨
B:韧带
C:主动脉
D:软骨
E:结缔组织
关于AIDS的免疫学异常,下列哪项是错误的()
A:外周血淋巴细胞减少
B:总的CD4
+
T细胞数目常<1000个/mm
3
C:CD4
+
/CD8
+
T细胞比值通常都>2.5
D:淋巴细胞对PHA刺激增殖反应降低
E:迟发型皮肤超敏反应消失
关于细胞免疫,下列哪项是错误的()
A:由TD抗原诱导
B:T细胞介导,抗原提呈细胞参与
C:IL-1为T细胞活化第二信号
D:致敏CTL特异性杀伤靶细胞
E:Th1细胞释放细胞因子引起迟发型超敏反应
由单一核酸(DNA或RNA)和蛋白质外壳组成的微生物是()
A:支原体
B:衣原体
C:立克次体
D:螺旋体
E:病毒
吞噬细胞包括()
A:大单核细胞
B:血液中的嗜酸粒细胞
C:单核细胞进入组织后发育成的巨噬细胞
D:中性粒细胞
E:浆细胞
体液中的蛋白质来源于与其密切接触组织或者细胞的分泌或渗漏。体液蛋白质组成及含量的变化能反映这些组织的生理或病理改变。用于鉴别多发性骨髓瘤中克隆免疫球蛋白重链和轻链类型的方法是()
A:琼脂糖凝胶电泳
B:凝胶过滤
C:速率免疫比浊法
D:免疫固定电泳
E:WesternBlot
下列对磷生理功能的叙述哪项是错误的()
A:是核酸的组成成分
B:构成骨盐成分
C:不参与细胞膜的组成
D:参与体内能量代谢
E:缓冲体系的成分,参与维持酸碱平衡
在分子流行病学研究中,暴露标志和效应标志是结合疾病的不同阶段和研究需要确定的;根据研究目的不同,许多情况下,一项生物标志()
A:作为暴露标志就不能作为效应标志
B:作为效应标志就不能作为暴露标志
C:有时作为效应标志,有时也可作为暴露标志
D:可以同时既是暴露标志又是效应标志
E:只是作为暴露标志
关于流行性斑疹伤寒,说法错误的是()
A:根据流行病学资料和临床表现初步诊断
B:用血清学实验和病原体分离确诊
C:用多西环素治疗
D:灭虱
E:灭蚤灭鼠
用于测定细菌各种生物学特性的试剂,须在测试同时进行阳性和阴性对照试验,常用的阳性对照菌株有金黄色葡萄球菌、A群链球菌、肺炎链球菌、B群链球菌、铜绿假单胞菌、大肠埃希菌、流感嗜血杆菌等,但它们用途不同。用于凝固酶试验的阳性对照菌株是()
A:金黄色葡萄球菌
B:A群链球菌
C:肺炎链球菌
D:B群链球菌
E:流感嗜血杆菌
NAP增高的疾病
不包括
()
A:急性阑尾炎
B:类白血病反应
C:急性淋巴细胞白血病
D:缺铁性贫血
E:真性细细胞增多症
采集兔子免疫血清
不正确
的做法是()
A:血液放入干热灭菌的玻璃器皿中
B:采血前停止喂食
C:采集的血液立即放4℃凝固
D:采集的血液置室温中凝固
E:放血速度不宜太快
蛋白质分子中对免疫原性起关键作用的氨基酸是()
A:甘氨酸
B:谷氨酸
C:半脱氨酸
D:酪氨酸
E:丝氨酸
红细胞目视计数法的计算公式应是(N表示5个中方格内红细胞数)()。
A:N×5×10×10
3
×200
B:N×25×10×10
4
×200
C:N×5/25×10×10
5
×200
D:N×25/5×10×10
6
×200
E:N×25/5×10×10
9
×200
男婴,10个月,呕吐,其他胃肠症状不明显,肌肉麻痹。怀疑为肉毒中毒肉毒中毒最有意义的试验是()
A:证实其是何种细菌
B:找出细菌的来源
C:找出杀死细菌的药物
D:证实细菌是否产生毒素
E:证实病人是否有其他疾病
首页
<上一页
935
936
937
938
939
下一页>
尾页