出自:临床医学检验技术

病毒的刺突位于()
A:衣壳的表面
B:核酸的表面
C:包膜的表面
D:衣壳的内部
E:衣壳的外部

患者男,68岁,主诉发热,咽喉痛,肌肉酸痛。血液一般检查:白细胞计数4.4×10/L,淋巴细胞分类0.67,中性粒细胞分类0.29,嗜酸粒细胞分类0.03,嗜碱粒细胞分类0.01,红细胞计数5.1×10/L,血小板计数168×10/L。



第1题,共1个问题
(单选题)血液一般检查异常的参数是
A:白细胞计数
B:嗜酸粒细胞分类
C:淋巴细胞分类
D:红细胞计数
E:血小板计数
在感染性休克的治疗中下列哪项是最基本的()
A:纠正酸中毒
B:补充血容量
C:血管活性药物的应用
D:维护重要脏器功能
E:肾上腺皮质激素的应用
与HBV致病机制不符的叙述是()
A:肝细胞的损伤主要由体液免疫介导
B:病毒抑制机体免疫功能而不能清除病毒
C:感染细胞表面抗原改变导致免疫攻击
D:免疫复合物沉积引起Ⅲ型超敏反应
E:病毒基因的整合,可以引起肝细胞转化
下列哪些是引起假阴性的原因()
A:寒冷凝集
B:溶血反应
C:被检红细胞悬液过浓或过淡
D:被检红细胞敏感度过低
E:标准血清不合乎要求标准
下列属于巨噬细胞功能检测的是()
A:炭粒廓清试验
B:皮肤窗法
C:化学发光测定法
D:滤膜小室法
E:细胞毒试验
E试验中每个140mm的药敏平皿内放置E试验试条最多放( )
A:4条
B:5条
C:6条
D:7条
E:8条
布鲁菌与结核分枝杆菌的区别是()
A:可以在巨噬细胞内生长
B:致病性与超敏反应有关
C:可以通过血流播散
D:具有较强的繁殖扩散能力
E:具有荚膜
关于流式细胞仪法检测网织红细胞的叙述,错误的是()
A:可同时报告网织红细胞相对值、绝对值和荧光强度
B:检测效率高
C:重复性不好
D:有助于贫血的鉴别诊断
E:有助于贫血的疗效判定
下列有关氨基酸代谢的说法正确的是( )
A:脱氨基生成氨和相应的α-酮酸
B:脱羧基生成二氧化碳和胺
C:最终产物为CO2、HO2和NH3
D:不同氨基酸有不同的分解代谢酶
E:氨基酸代谢酶或其他蛋白因子缺陷可引起继发性氨基酸代谢紊乱
传染性单核细胞增多症的确诊依据是()
A:外周血中可见异型淋巴细胞
B:骨髓中可见大量的异型淋巴细胞
C:EBV抗体阳性
D:嗜异性凝集试验阴性
E:肝脾大
简述凝血因子ⅩⅢ定性试验的原理。
关于血沉应用的叙述,正确的是()
A:魏氏法血沉结果可用于确诊某种疾病
B:血沉可用于健康人群的筛查
C:血沉可用于疾病的动态观察
D:血沉仪法血沉结果可用于确诊某种疾病
E:血沉对无症状健康人群筛选率高
ESP系列自动血培养系统的检测原理是()。
A:导电性的改变
B:电压的改变
C:培养瓶内压力的改变
D:荧光信号的改变
E:光电信号改变
下列哪种情况属于耐药()
A:药物对细菌的治疗浓度小于其最大抑菌浓度
B:药物对细菌的治疗浓度小于其最小抑菌浓度
C:药物对细菌的治疗浓度等于其最小抑菌浓度
D:药物对细菌的治疗浓度大于其最小抑菌浓度
E:药物对细菌的治疗浓度大于其最大抑菌浓度
HLA的单元型是指()
A:同一条染色体上HLA等位基因的组合
B:在两条染色体上的HLA等位基因的组合
C:一条染色体上的基因组合
D:两条染色体上的基因组合
E:某一个体HLA分子的特异性型别
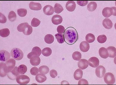
如图,若外周血圈中所示红细胞增多,最常见于( )
A:白血病
B:缺铁性贫血
C:溶血性贫血
D:骨髓病性贫血
E:再生障碍性贫血
影响CO2与Hb结合生成氨基甲酰血红蛋白的主要因素是()
A:血液PO2
B:血液PCO2
C:氧化作用
D:氧合作用
E:碳酸酐酶的活性
患者男,49岁,因胸痛、呼吸困难3h入院,既往有高血压病史,入院前口服硝酸甘油无效。入院后体检发现CK-MB34.0ng/ml,肌钙蛋白4.21ng/ml,肌红蛋白28.0ng/ml。目前的研究发现,冠心病患者存在免疫细胞失衡,下列叙述正确的是()
A:冠心病患者体内Th1细胞功能亢进
B:冠心病患者体内Th2细胞功能亢进
C:冠心病患者体内IL-5、IL-4和IL-10等水平升高
D:冠心病患者体内IFN-γ、IL-6和MMP水平升高
E:冠心病患者体内CD8+T淋巴细胞功能紊乱
F:冠心病患者体内Treg调节性T淋巴细胞功能较正常患者低下
单负链RNA病毒本身具有哪种酶( )
A:解链酶
B:水解酶
C:DNA多聚酶
D:依赖RNA的RNA多聚酶
E:依赖RNA的DNA多聚酶
有关尿量的表述正确的是()
A:应精确至1ml
B:成年人:1000~2000ml/24h
C:多尿是指24小时尿总量超过2000ml
D:少尿是指24小时尿量少于1000ml
E:无尿指24小时尿量少于100ml
统计表主要的组成为()
A:标题
B:标目
C:线条
D:数字
E:以上都是
对尿试带起支持体作用的是( )
对尿试带膜块而言,可破坏VitC等干扰物质的是( )
A:尼龙膜
B:吸水层
C:试剂层
D:碘酸盐层
E:塑料底层
下列不属于细胞因子的是()
A:淋巴毒素
B:过敏毒素
C:IL-1
D:CSF
E:IFN
患者张某某,女,40岁。低热盗汗6个月,原因待查。作5UPPD试验,74h后皮肤硬结45mm×46mm,下列意见哪项正确()
A:可以明确诊断结核病
B:PPD试验无临床意义
C:复查一次PPD试验
D:有结核病可能,应进一步寻找病变部位
E:以上均不正确
感染动物后引起母畜流产的病原是()
A:布鲁氏菌
B:炭疽杆菌
C:鼠疫耶尔森氏菌
D:钩端螺旋体
E:空肠弯曲菌
传统的检测HPV的方法包括( )
A:细胞学方法
B:血液学方法
C:微生物学方法,如培养
D:电镜法
E:免疫学方法
不符合原发性骨髓纤维化的是()
A:血涂片中可见幼红、幼粒细胞及泪滴红细胞
B:确诊本病的主要依据是骨髓活检
C:PAS染色阳性,反应产物减少
D:可见巨形血小板和巨核细胞
E:常伴出血时间延长,血块退缩不良,血小板黏附性及聚集性降低
凝血酶时间(TT)参考值(手工法)是( )
A:11~14s
B:16~18s
C:18~22s
D:23~36s
E:2~5min
关于医院感染和社区感染的叙述,下列哪项正确()
A:前者为外源性,后者为内源性
B:二者的病原体均为多重耐药
C:二者的易感者相同
D:前者的病原体主要是条件致病菌,后者为典型致病菌
E:前者较易治疗,后者较难治疗