出自:眼科高级职称

人工晶状体( )
眼镜( )
角膜接触镜( )
白内障囊内摘除术( )
白内障囊外摘除术( )
A:摘除白内障后在眼内植入物
B:采用高度正球面镜片进行矫正
C:可改变角膜前表面的屈折力,使其接近正视
D:摘除白内障,但保留晶状体后囊膜
E:将包括囊膜在内的晶状体完整摘除
与外伤有关的视网膜裂孔是()
A:圆形裂孔
B:锯齿缘离断
C:黄斑裂孔
D:马蹄形裂孔
E:以上都对
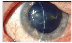
某患者角膜失去知觉,反射性瞬目消失,眼部有如图表现,请问最可能的诊断是()
A:展神经麻痹
B:三叉神经麻痹
C:动眼神经麻痹
D:滑车神经麻痹
E:迷走神经麻痹
以下可发生渗出性RD的疾病有( )
A:原田病
B:葡萄膜炎
C:后巩膜炎
D:恶性高血压
E:Coats病
系统性红斑狼疮有20%~25%的患者出现眼底改变,表现为()
A:视网膜脱离
B:向心性视野缩小
C:视乳头充血和水肿
D:微动脉瘤
E:继发性视神经萎缩
盘状角膜炎可用糖皮质激素治疗。

患儿,男性,2岁,足月顺产,无吸氧史。家长发现右眼白瞳症,对光线反应不敏感。超声波提示眼内占位性病变,直径约6mm。无全身性疾病,无眼病家族史。



第1题,共3个问题
(单选题)可能是哪一种疾病( )
A:转移性眼内炎
B:早产儿视网膜病变
C:视网膜母细胞瘤
D:先天性白内障
E:渗出性视网膜病变

第2题,共3个问题
(单选题)辅助检查中最有意义的发现是( )
A:眼轴短
B:视网膜脱离
C:眼内压升高
D:眼内钙化
E:虹膜红变

第3题,共3个问题
(单选题)哪一种治疗为最佳选择( )
A:随访观察
B:局部放疗
C:冷凝
D:化疗
E:眼球摘除
Behcet病的诊断根据——国际葡萄膜炎研究组的标准为哪些?
以下哪项引起的视神经萎缩属于继发性视神经萎缩()
A:脉络膜视网膜炎
B:视网膜中央动脉栓塞
C:视网膜色素膜炎
D:视乳头水肿
E:青光眼
(如图)倒睫最常见的原因是()
A:睑外伤
B:睑缘炎
C:睑腺炎
D:沙眼
E:睑烧伤
先天性青光眼发病机制为()
A:眼轴短
B:大角膜
C:房角结构发育不全
D:房角窄
E:瞳孔阻滞
玻璃体视网膜牵引可形成()
A:黄斑水肿
B:黄斑裂孔
C:玻璃体积血
D:视网膜裂孔形成
E:视网膜脱离
准分子激光角膜切削术治疗近视时,受术者近视度数应稳定几年( )
A:1
B:2
C:3
D:4
E:5
肌肉平面与视轴夹角呈23°的眼外肌是()
A:外直肌
B:内直肌
C:上斜肌
D:下直肌
E:下斜肌
凭病变受累最严重的部位可有助于鉴别诊断,明显累及上睑的有( )
A:沙眼
B:春季结膜炎
C:有毒性乳头性结膜炎
D:异物刺激
E:上方角膜缘角结膜炎
试述糖尿病性视网膜病变的临床分期以及每一期的主要表现。
不是典型沙眼体征的为()
A:结膜滤泡
B:结膜瘢痕
C:睑球粘连
D:睑结膜的乳头
E:角膜血管翳
下列哪一对脑神经不通过眶上裂()
A:第Ⅲ脑神经
B:第Ⅴ脑神经第二支
C:第Ⅵ脑神经
D:第Ⅳ脑神经
E:第Ⅴ脑神经第一支
小于3岁儿童视力检查的客观检查法有()
A:观察瞳孔对光反应
B:普通视力表
C:两眼注视反应
D:电生理检查法
E:遮盖法
诊断A征,眼球上下各转25°时斜视度差应是()
A:≥10°
B:≥15°
C:≥20°
D:≥25°
E:不确定
适用于玻切钳夹的异物有()
A:视网膜内非磁性异物
B:视网膜内磁性异物
C:玻璃体内非磁性异物
D:玻璃体内磁性异物
E:以上均适合
患儿,男性,4岁,因"双眼交替向内偏斜1年余"就诊。患儿家长诉约1年半前开始发现患儿双眼交替向内偏斜,左眼较明显,偶尔也出现右眼偏斜。角膜映光法习惯右眼注视,左眼反光点位于颞侧瞳孔缘,左眼注视情况类似。遮盖试验均可见非遮盖眼眼球由内向外运动。眼球运动基本正常。

第1题,共4个问题
(单选题)如果三棱镜交替遮盖检查结果:(裸眼)33cm:+30;5m:+30;(戴镜)33cm:+20;5m:+20;同视机检查没有双眼视;AC/A=3。手术方案是()
A:双眼内直肌后退术
B:双眼外直肌缩短术
C:左眼内直肌后退术
D:左眼内直肌后退+外直肌缩短术
E:左眼外直肌后退+内直肌缩短术

第2题,共4个问题
(多选题)如果三棱镜交替遮盖检查结果:(裸眼)33cm:+30;5m:+30;(戴镜)33cm:+20;5m:+20;同视机检查没有双眼视;AC/A=3。诊断是()
A:完全调节性内斜视
B:部分调节性内斜视
C:分离性垂直斜视
D:复合性远视散光
E:混合性远视散光

第3题,共4个问题
(多选题)如果该患儿行视野弧检查发现视远时斜视角小于视近时斜视角,裸眼视力OD1.5,OS0.9,行阿托品散瞳验光结果:OD+2.50DS+0.50DC×900°→1.5,OS+2.50DS+0.50DC×10°→1.0。以下哪些处理方法合适()
A:直接行手术矫正斜视
B:因裸眼视力佳,暂时观察,不需要配镜,待斜度稳定行手术治疗
C:复光后予足度配镜,嘱患儿坚持戴镜
D:戴镜1个月后初次复诊
E:戴镜1年后初次复诊

第4题,共4个问题
(多选题)若此患儿戴镜下用三棱镜消除水平方向转动后,遮盖去遮盖检查发现去遮盖后双眼均存在小度数缓慢下转,下列哪些说法是正确的()
A:行遮盖试验可发现被遮盖时双眼均存在小度数缓慢上转
B:嘱患儿头向一侧倾斜,可发现同侧眼上斜加重
C:因常引起复视,所以需要尽早手术治疗
D:若此患儿平时无明显的上斜现象,只在检查时出现小度数交替上斜,可以行单纯内斜视矫正术
E:病因是上斜肌麻痹,所以最适合的术式为下斜肌缩短术
以下对视网膜棉绒斑描述正确的是( )
A:表现为黄白色小点和斑块
B:表现为视网膜内形态不一、边界不清的灰白色棉花或绒毛状斑块
C:是由于毛细血管前小动脉阻塞后、神经纤维层的微小梗死,轴浆运输阻断而成
D:是由于视网膜静脉阻塞所致
E:血管重新开放后可以消退
关于调节幅度检查,以下错误的是()
A:移近法和负镜法都属于主观的检查方法
B:检查时如果光线太亮,会令瞳孔缩小,焦深增大,导致检查结果偏大
C:移近法一般比负镜法测量的结果高一些
D:20岁被检者,移近法测量的调节幅度为10D,为调节不足
E:动态检影法也可测量调节幅度
目前矫正屈光不正的有效方法包括()
A:药物
B:理疗
C:框架眼镜、角膜接触镜、手术
D:框架眼镜、角膜接触镜
E:药物、手术
1995年美国干眼病研究组将干眼症分为以下几类()
A:水样液缺乏性干眼症
B:泪液蒸发过强性干眼症
C:脂质缺乏性干眼症
D:泪液生成不足性于眼症
E:粘蛋白缺乏性干眼症
葡萄膜组织容易发生免疫反应性疾病,原因是()
A:葡萄膜组织富含色素和血管
B:葡萄膜组织含有多种抗原成分和免疫细胞
C:葡萄膜组织与机体其他多种组织细胞有相同的抗原决定簇
D:葡萄膜组织血流缓慢,毛细血管通透性强
E:以上均对
关于毛细血管瘤,说法错误的是()
A:是婴幼儿最常见的眼睑良性肿瘤
B:位于皮肤深层时,常呈紫蓝色
C:一经发现,可立即切除
D:部分患儿血管瘤可自行退缩
E:首选的治疗方法是局部注射糖皮质激素
患儿男性,2岁,自出生起在右眼角膜颞下方,见圆形、表面光滑的黄色隆起肿物,随年龄增长,该肿物有逐渐增大趋势。

第1题,共3个问题
(单选题)如果该肿物为双眼均发生,且伴有附耳,则可称为()
A:Miktllicz综合征
B:Marcus-GLinn综合征
C:Goldentlar综合征
D:Stevens-Johnson综合征
E:Sjogren综合征

第2题,共3个问题
(单选题)如果该肿物进一步发展,遮挡瞳孔光学区时,首选的治疗措施是()
A:成年后肿物有吸收趋势,故可暂时观察
B:局部注射血管硬化剂,使瘤体萎缩
C:可用90锶进行放疗治疗
D:肿物切除联合板层角膜移植
E:肿物切除联合羊膜移植

第3题,共3个问题
(单选题)最可能的诊断是()
A:结膜皮样肿
B:结膜皮样脂肪瘤
C:结膜乳头状瘤
D:结膜血管瘤
E:角结膜上皮原位癌
是经颅开眶和眶减压术的必经之路的眼眶壁为()
A:眶下壁
B:眶上壁
C:眶外侧壁
D:眶内侧壁和眶外侧壁
E:眶内侧壁