自考题库
首页
所有科目
自考历年真题
考试分类
关于本站
游客
账号设置
退出登录
注册
登录
出自:放射医学主治医师
患者,男,60岁。20年前患右上肺结核治愈。近1个月来刺激性咳嗽、血痰来诊。查体右上肺呼吸音消失,可闻及湿啰音,叩诊呈实音,胸片见右上肺大片致密阴影,右侧水平裂上移,右肺门抬高呈横S征。进一步检查首选()
A:经皮穿刺肺活检
B:磁共振检查
C:纤维支气管镜检查
D:CT扫描
E:核素扫描
F:查痰及痰培养
心包积液的典型X线特征错误的是()
A:肺野清晰
B:心脏向两侧扩大,呈烧瓶状或球状
C:上腔静脉增宽
D:心包积液在300~500ml以上者X线平片上才有变化
E:心脏搏动明显减弱而主动脉搏动增强
女性,51岁。右眼视力模糊,近日来加重。行MRI检查图像如下,最可能的诊断为()
A:脉络膜血管瘤
B:黑色素瘤
C:转移瘤
D:渗出性视网膜炎
E:视网膜剥离
T1值定义为MZ达到其平衡状态的()
A:100%
B:83%
C:63%
D:50%
E:37%
泌尿系统结石的首选检查方法是()
A:静脉肾盂造影
B:逆行肾盂造影
C:膀胱造影
D:腹部泌尿系统平片
E:CT扫描
关于肿瘤复发及放射性肺炎的说法,错误的是()
A:放射性肺炎急性期的病理反应主要为渗出
B:放射性肺炎急性期MRI表现为T
1
WI低或中等信号,T
2
WI高信号
C:放射性肺炎急性期与肿瘤复发不易鉴别
D:放射性肺炎慢性期与肿瘤复发不易鉴别
E:肿瘤在MRIT
2
WI呈略高信号
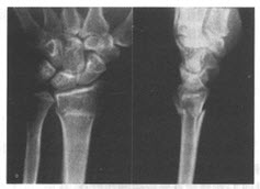
患者,男,31岁。不慎摔倒后手掌撑地,右腕部疼痛1小时,拍摄腕关节正侧片如图。
下列描述正确的是()
A:Smith骨折的骨折两端向掌侧成角
B:Colles骨折的骨折两端向背侧成角
C:Colles骨折的骨折远端向桡侧移位
D:Colles骨折的骨折远端向背侧移位
E:Smith骨折又称反Colles骨折
F:Colles骨折典型者伤手呈银叉畸形
下丘脑
不包括
()
A:乳头体
B:视交叉
C:漏斗
D:灰结节
E:穹隆
患者,男,57岁。右侧胸部不适3天,无发热,无咳嗽、咳痰。CT示右下肺外基底段楔形软组织密度病变,基底与胸膜相连,内可见小透亮区,内侧可见小血管影。考虑为()
A:周围型肺癌
B:肺不张
C:过敏性肺炎
D:肺梗死
E:肺结核
关于支气管肺炎说法错误的是()
A:是指肺泡内的纤维素性炎症
B:多见于婴幼儿及年老体弱患者
C:X线主要表现为沿支气管分布的斑片影
D:多见于双下肺
E:治疗不佳可形成脓胸、慢性炎症及支气管扩张
关于DSA再蒙片的叙述,错误的是()
A:是重新确定mask像
B:是校正图像配准不良的后处理方法
C:可以弥补造影过程中病人的剧烈运动
D:用试凑法选择两帧图像相减
E:可弥补减影对的轻微错位
密度、大小、分布均匀的粟粒样病灶为下列哪型肺结核的影像学表现()
A:浸润型
B:血行播散型
C:慢性纤维空洞型
D:原发型
E:胸膜炎
慢性胰腺炎CT显示胰腺导管的特征性改变为()
A:狭窄
B:扩张
C:平行双轨
D:不规则串珠状
E:以上均不是
T2*值()
A:短于T2
B:等于T2
C:长于T2
D:等于T1
E:长于T1
肾癌发生转移,最常见的转移部位是()
A:淋巴结
B:肺
C:骨
D:肝
E:对侧肾脏
下列关于右肺中叶不张的叙述,错误的是()
A:右肺中叶完全不张时,其继发的X线征象如肺门下移、膈肌抬高及纵隔移位等均不明显
B:不张的右肺中叶内下缘相对较厚,紧贴心缘,可出现"边缘掩盖征"
C:右肺中叶重度不张时,可使心缘清晰,不出现"边缘掩盖征"
D:CT示中间支气管层面右心缘旁三角形软组织密度阴影,尖端指向肺门,边界不清楚
E:正位片易漏诊
属于骨恶性肿瘤的是()
A:神经节细胞瘤
B:皮质旁软骨瘤
C:脂肪瘤
D:脊索瘤
E:骨黄色纤维瘤
下列药物中具有给药时机依赖性,血药浓度达到一定水平,疗效不再增加的是()
A:顺铂
B:卡铂
C:丝裂霉素
D:多柔比星
E:羟喜树碱
脑静脉和静脉窦血栓形成的特征表现是()
A:平扫有"带"征,增强有"空三角征"
B:靠近脑表面的大片低密度区内见小的高密度影
C:双侧出血性脑梗死
D:脑萎缩,脑室系统扩大
E:大片低密度区内见高密度影
颅脑CT增强扫描无明显强化的是()
A:脑膜瘤
B:脑炎
C:脑脓肿
D:转移瘤
E:动脉瘤
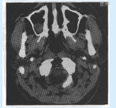
患者男,42岁。慢性鼻炎20余年。CT检查如图。诊断为()
A:右侧上颌窦慢性炎症
B:右侧上颌窦黏液囊肿
C:右侧上颌窦黏膜下囊肿
D:右侧上颌窦乳头状瘤
E:右侧上颌窦息肉
检查眼前部病变的投照位置是()
A:视神经孔位
B:顶颏位
C:眼眶侧位
D:眼眶切线位
E:眼眶正位
女,45岁,大便习惯改变半年余,粪便变细,黏液血便1个月。结合图像,最可能的诊断为()
A:肠扭转
B:肠套叠
C:降结肠癌
D:肠穿孔
E:降结肠炎
通过下列哪项可以将肾上腺腺瘤与嗜铬细胞瘤鉴别开来()
A:肿瘤大小和外形
B:肿瘤内密度
C:增强扫描后强化方式
D:发病年龄
E:是否出现临床症状
脐尿管肿瘤为()
A:膀胱充盈缺损,边缘光整,密度高
B:膀胱缩小,轮廓毛糙即膀胱挛缩
C:膀胱呈"宝塔"状,体积增大,壁增厚
D:膀胱前上方见软组织肿块,在人体中轴线上
E:膀胱内充盈缺损,有强化
诊断成人脊柱结核最可靠的依据()
A:有低热、盗汗史
B:血沉快
C:结核菌素试验(+)
D:X线摄片显示椎间隙狭窄,相邻椎体边缘模糊及椎旁脓肿形成
E:全身虚弱、贫血
下列有关梯度回波序列特点的描述哪项正确()
A:反映T2弛豫信息
B:固有信噪比高
C:对磁场的不均匀性敏感
D:梯度回波序列图像中血流呈流空信号
E:只需利用梯度场方向的切换来产生回波,无需射频脉冲
患者,男,15岁。洗澡时无意中触及右大腿下端内侧硬性突起,无疼痛,膝关节运动良好。最可能的诊断是()
A:骨软骨瘤
B:软骨瘤
C:骨化性肌炎
D:骨巨细胞瘤
E:骨囊肿
关节结核的描述
不包括
()
A:多继发于肺结核
B:多见于成年人
C:好发于持重的大关节
D:关节间隙变窄出现较晚
E:晚期可发生关节纤维性强直
下列关于脑先天发育畸形的描述,以下
不正确
的是()
A:颅裂畸形伴脑膜和(或)脑膨出均发生于中线区,70%发生于枕部
B:胼胝体发育不良CT上表现为完全或部分不显示,常不伴第三脑室上移
C:Dandy-Walker综合征典型CT表现为第四脑室极度扩张或后颅凹巨大囊肿与第四脑室呈宽口交通,小脑蚓部缺如
D:融合型脑裂畸形CT上表现为横贯大脑半球密度和灰质相同的带状影像,其外端分离,分别与两侧皮质相延续
E:灰质异位CT上在室管膜下或脑白质区块状结节影,密度和强化程度均与皮质相同,无占位征象及灶周水肿
首页
<上一页
91
92
93
94
95
下一页>
尾页