出自:内分泌学高级职称

下列哪种情况不宜选用胰岛素治疗( )
A:严重肝肾功能不全
B:极度消瘦
C:合并心肌梗死
D:妊娠期糖尿病
E:肥胖性糖尿病
某病人为单卵双胎。有糖尿病史10年,现出现眼睑及下肢浮肿,乏力,尿蛋白(++)、尿糖(+++)。该病人的同胞兄弟出现糖尿病症状的岁数大约在()。
A:出生时
B:学龄前
C:青春期
D:40岁后
E:80岁时
甲状腺摄131I率的高低有助于()。
A:了解甲亢的严重程度
B:判断抗甲状腺药物疗效
C:了解血浆内碘的水平
D:甲亢的诊断
E:抗甲状腺药物治疗停药的判断
  1. H、TGA、MCA测定



第1题,共1个问题
(配伍题)
  1. 患者,女,28岁,已婚。因消瘦、乏力、胃纳亢进、心慌4个月余就诊。近2年应用口服避孕药避孕。对诊断最有意义的体征( )
  2. 对上例患者来说,下列哪项检查最有意义( )
  3. 甲亢患者规则服用甲巯咪唑(他巴唑)治疗1.5年症状控制准备停药,停药前必须做下列哪项检查( )
甲亢与单纯甲状腺肿鉴别,最主要在于前者( )
A:(131)I扫描与甲状腺增大
B:(131)I摄取率增高
C:基础代谢率增高
D:(131)I曲线高峰不前移
E:T3抑制率<50%
低T3综合征属于甲减的一种。
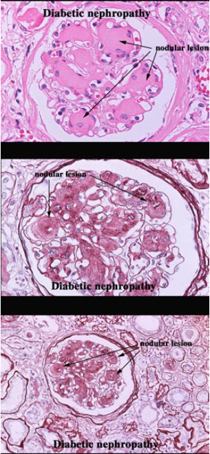
下列各项中为糖尿病肾病高度特异性病理改变的是( )
A:肾动脉粥样硬化
B:肾盂肾盏变形缩窄,肾外形凹凸不平
C:渗出性肾小球硬化型病变
D:弥漫性肾小球硬化型病变
E:结节性肾小球硬化型病变
关于Laron侏儒症错误的是()。
A:被称为假性GH过低症
B:血清中IGF-1正常
C:患者有GH严重缺乏的表现,但血浆GH却升高
D:与GH受体功能异常有关
E:对外源性GH有耐药性
下列何种表现不是希恩综合征的表现( )
A:内生殖器官萎缩 
B:皮肤黏液性水肿 
C:产后乳汁缺少或缺如 
D:皮肤色素加深 
E:胡萝卜素色素沉着 
下列哪些疾病属于腺垂体的疾病( )
A:巨人症
B:肢端肥大症
C:尿崩症
D:高泌乳素血症
E:催乳素瘤
甲状旁腺功能亢进症( )
慢性肾功能不全( )
A:低血钙高血磷
B:高血钙低血磷
C:低血钙低血磷
D:高尿钙高尿磷
E:高血钙高血磷
影响肾素-血管紧张素-醛固酮系统水平测定的药物有()。
A:安体舒通
B:β-受体阻滞剂
C:血管紧张素转化酶抑制剂
D:噻嗪类利尿剂
E:血管紧张素受体拮抗剂
66岁女性,糖尿病史10年,现使用胰岛素强化治疗,清晨空腹血糖为12.3mmol/L,夜间2时血糖为2.6mmol/L。引起清晨空腹血糖高的原因可能为( )
A:前一晚进食过多 
B:Somogyi现像 
C:黎明现像 
D:胰岛素剂量不足 
E:以上都有可能 
1型糖尿病和2型糖尿病,最主要的区别在于()。
A:症状轻重不同
B:发生酮症酸中毒的倾向不同
C:对胰岛素的敏感性不同
D:胰岛素的基础水平与释放曲线不同
E:血糖稳定性不同
患者傅某,女,72岁。近10年来常在久坐或夜间睡觉醒来翻身时感腰背酸疼,白天活动后好转,症状时轻时重。7年前外出不小心滑倒在地。突感腰部疼痛难忍,被抬进医院拍X片,证实为腰椎压缩性骨折,在家卧床3个月后好转。随后又发生过手及下肢二次骨折。 前天上午在家胸部被桌子角碰伤而收入住院。既往有肺结核病史。否认糖尿病史。无烟酒嗜好。绝经25年。体格检查:T:36℃,P:98次/分,R:26次/分,BP:138/76mmHg。神清,痛苦面容,体型瘦小,甲状腺未扪及,胸部皮肤未见淤斑和局限性隆起。胸骨中部有明显压痛,双肺呼吸音清晰,未闻及干湿性啰音。心率98次/分,律齐,各瓣膜区未闻及病理性杂音。腹软无压痛,肝脾未及,移动性浊音阴性。 双下肢无水肿。辅助检查:血常规、尿常规、大便常规正常,空腹血糖5.2mmol/L,骨源性AKP82U/L,血磷1.2mmol/L,血钙2.3mmol/L。FT、FT、TSH及肝肾功能正常。X片示:胸骨有骨裂,陈旧性腰椎压缩性骨折。 请分析: (1)诊断及诊断依据。 (2)应与哪些疾病相鉴别? (3)治疗原则是什么? (4)如何预防这种疾病?
患者女性,91岁,昏迷,不进食水5天来诊,无发热等主诉。既往体健。来诊时血压50/32mmHg,双肺血钾5.3mmol/L。血气分析:pH7.02,pCO238mmHg,pO280mmHg,BE16.9mmol/L,钠151mmol/L,血糖33.3mmol/L。白蛋白26.5g/L,肌酐421umol/L,尿素氮47mmol/L,渗透压399mOSM/L。

第1题,共3个问题
(单选题)下列哪种诊断正确()。
A:低血容量休克
B:感染中毒性休克
C:急性呼吸窘迫综合征
D:尿毒症
E:高钾血症

第2题,共3个问题
(单选题)患者存在那种酸碱失衡()。
A:呼吸性酸中毒
B:代谢性酸中毒
C:呼吸性碱中毒
D:代谢性碱中毒
E:以上都有

第3题,共3个问题
(单选题)给患者扩容、补液、升压、补碱、降糖治疗后,血压维持在正常低限,患者心率升至130-140次/分,心电图提示:室速。肌酐、白蛋白、渗透压大幅下降,查血糖降至5.3mmol/L,血钾1.7mmol/L。患者心律失常的原因可能是()。
A:低血糖反应
B:补液过快过多
C:急性心肌梗死
D:电解质紊乱:低钾血症
E:升压药物过强
患者男性,55岁,昏迷1天收入院,近期无服药史,血糖33.4mmol/L,pH7.35,血钠150mmol/L,尿酮体(-),诊断最可能是哪项( )
A:酮症酸中毒
B:乳酸性酸中毒
C:高渗性昏迷
D:酮症酸中毒+高渗昏迷
E:乳酸性酸中毒+高渗昏迷

中年女性,甲亢不规则药物治疗2年。改用放射性I治疗一周后突发高热,心慌。体格检查:T40℃,心率150次/分,呼吸急促,大汗淋漓,烦躁不安。实验室检查:血WBC↑,N↑,FT↑,FT↑,TSH↓。



第1题,共3个问题
(单选题)诊断最可能是( )
A:甲亢性心脏病
B:甲亢复发
C:放射性甲状腺炎
D:甲状腺危像
E:心力衰竭

第2题,共3个问题
(单选题)治疗首选( )
A:MTU
B:CMZ
C:MM
D:TH
E:PTU

第3题,共3个问题
(单选题)治疗原则为( )
A:强心、利尿、去除诱因
B:强心、利尿、对症治疗
C:强心、利尿、抗感染
D:抗甲状腺药物治疗
E:抑制TH合成和释放、降低周围组织对TH的反应、支持与对症、去除诱因
2型糖尿病早期胰岛素分泌的特点是( )
哪个是2型糖尿病发生早期反应性低血糖的病理生理基础( )
A:胰岛素分泌第一时相缺失或减弱,第二时相高峰延迟,代偿性增高
B:胰岛素分泌第一时相下降,第二时相代偿性增加
C:不论第一时相还是第二时相均减弱
D:第一时相对于控制餐后血糖非常重要
E:糖尿病早期不存在胰岛素分泌缺陷
下列哪项提示肾上腺皮质癌( )
A:皮肤色素明显加深
B:重度Cushing综合征、女性明显男性化表现,血钾低
C:血浆ACTH明显升高
D:大剂量地塞米松抑制试验能被抑制
E:ACTH兴奋试验呈过度反应
有关毒性弥漫性甲状腺肿并发浸润性突眼的描述,下列哪项是正确的( )
A:甲亢一定有浸润性突眼症状
B:甲亢严重程度一般与突眼程度不平行
C:浸润性突眼一定与甲亢同时存在
D:甲亢严重程度与突眼程度正相关
E:甲亢严重程度与突眼程度呈相关
女性,17岁。心慌多汗半年。近1个月出现多饮、多尿就诊。体检:明显消瘦,双眼略突出,甲状腺Ⅱ度大,双上极可闻及血管杂音。血Fr333.5pmol/L,FT440pmol/L,TSH0.01mU/L(0.01μU/ml)在治疗患者甲状腺功能亢进时加用了普萘洛尔,在治疗过程中下列哪种情况的变化是至关重要的()。
A:随访心电图
B:监测血压
C:监测血糖
D:监测心率
E:随访甲状腺功能
原发性醛固酮增多症患者神经肌肉功能障碍常表现为_________和________、________、_________。
催产素的主要作用()。
A:刺激分娩时子宫收缩
B:促进分娩后泌乳
C:过度抗利尿作用
D:止血作用
E:使外周血管吸缩
促胰岛素分泌剂不仅适用于T1DM,而且适用于T2DM。
Addison病的病因不包括()。
A:肾上腺结核
B:自身免疫性肾上腺炎
C:慢性肾衰竭
D:恶性肿瘤转移
E:严重脑膜炎球菌感染
关于肾上腺危象,叙述正确的有()。
A:Addison病急剧加重时可以表现出来
B:常发生于感染、创伤等应激情况下
C:可出现低血糖和低血钠症
D:血钾降低
E:可有恶心、脱水和血压降低等表现
患者,女,20岁。发现颈部增粗.怕冷、体重增加3个月。体检:双侧甲状腺一度肿大,质韧,无压痛,血管杂音(-)。心率62次/分,律齐。

第1题,共3个问题
(单选题)为进一步明确诊断,应选择哪项检查()。
A:T3、T4
B:甲状腺吸碘率测定
C:甲状腺扫描
D:基础代谢率测定
E:E.甲状腺球蛋白抗体(TGA

第2题,共3个问题
(单选题)最恰当的治疗是()。
A:泼尼松
B:甲状腺素片
C:非甾体类抗炎药
D:复方碘溶液
E:抗甲状腺药物

第3题,共3个问题
(单选题)若检查结果为TGAb、TPOAb阳性,甲状腺功能减退,最可能的诊断是()。
A:慢性淋巴性甲状腺炎
B:甲状腺肿瘤
C:亚急性甲状腺炎
D:垂体肿瘤
E:单纯性甲状腺肿
下列哪一项是Graves病药物治疗痊愈的停药指征是( )
A:临床症状消失,T3、T4、TSH正常
B:血清FT3正常
C:(131)I摄取率恢复正常
D:TRH兴奋试验正常
E:TSAb转阴
下列关于1型糖尿病的说法哪项不正确( )
A:发病年龄较早
B:对胰岛素较敏感
C:胰岛素释放高峰延迟
D:在儿童及青少年常以酮症酸中毒作为就诊的首发表现
E:与病毒感染和自身免疫缺陷有关