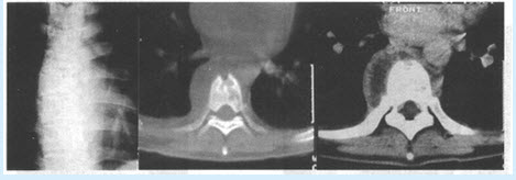
患者,男,56岁。因背部疼痛2个月入院;查体:胸椎T~T棘突和椎旁有压痛,胸椎活动受限。体温38.4℃,X线平片和CT见下图。

第1题,共3个问题
(单选题)首先考虑为何种疾病()
A:胸椎转移瘤
B:胸椎结核
C:化脓性脊柱炎
D:神经源性肿瘤
E:骨髓瘤
F:骨母细胞瘤
第2题,共3个问题
(多选题)下列哪几项支持诊断()
A:椎间隙变窄
B:椎旁脓肿
C:椎间盘受累
D:呈跳跃性累及多个不相邻病灶
E:骨质破坏
F:阳性椎弓根征
第3题,共3个问题
(多选题)对于此病的特点,下列哪几项正确()
A:以腰椎最多见
B:以胸椎最多见
C:20~30岁发病率最高
D:可合并病理性脱臼
E:临床表现以疼痛,脊柱变形,脓肿及窦道形成为主
F:以上都正确