自考题库
首页
所有科目
自考历年真题
考试分类
关于本站
游客
账号设置
退出登录
注册
登录
出自:眼科高级职称
溃疡多开始于角膜周边,缓慢向中心潜行,进行缘不整齐,呈灰白色,考虑是()
A:蚕蚀性角膜溃疡
B:单疱病毒性角膜炎
C:盘状角膜炎
D:角膜软化症
E:真菌性角膜溃疡
新生儿泪囊炎的主要原因是( )
A:泪囊部的原发感染
B:鼻泪管下段发育不全所致的泪囊继发感染
C:先天性泪小管闭锁
D:产道感染
E:先天性泪小点闭锁
VEP的用途包括()
A:闪光-VEP可用于黄斑功能检查
B:夜盲症的检查
C:可用于伪盲检查
D:视杆细胞功能检查
E:P-VEP可用于青光眼检查
原发性闭角型青光眼和原发性开角型青光眼的根本区别是()
A:眼压升高的快慢
B:眼压升高的程度
C:眼压升高时房角是开放还是闭合
D:眼压控制时房角是开放还是闭合
E:视功能损伤的程度
通过遮盖一去遮盖试验可以大致判断的斜视类型( )
A:隐斜
B:麻痹性斜视
C:恒定性斜视
D:交替性斜视
E:调节性斜视
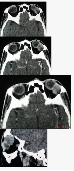
女,36岁,左眼眶外上部可触及一无痛性包块有两年,眼球向内下方突出,CT检查如图,最可能诊断为()
A:泪腺良性混合瘤
B:泪腺恶性上皮性肿瘤
C:炎性假瘤
D:淋巴瘤
E:淋巴瘤样增生
右眼上直肌麻痹,复视像分离最大的方向是()
A:右下方
B:左上方
C:右上方
D:正前方
E:左下方
眼外肌是司________的肌肉,每眼有______条眼外肌,即______条直肌和________条斜肌。四条直肌均起自________,向前展开越过________,分别附着于眼球前部的________。
肿瘤若为局限性,多位于后极部呈灰褐色肿块( )
肿瘤位于视盘及后极部附近,早期肿瘤部位的色素上皮萎缩和色素脱失,眼底呈淡红色球形隆起,边界不清,表面的视网膜有浆液性脱离( )
肿瘤位于视盘附近,呈黄白色边界不规则的轻度隆起,有实体感,表面不光滑,有色素斑块沉积( )
A:脉络膜血管瘤
B:脉络膜骨瘤
C:脉络膜恶性黑色素瘤
D:脉络膜转移癌
E:脉络膜脱离
正常情况下维持角结膜湿润状态的是( )
A:泪腺分泌的泪液
B:副泪腺分泌的泪液
C:皮脂腺分泌的泪液
D:睑板腺分泌的泪液
E:结膜杯状细胞分泌的泪液
引起视力突然丧失的眼底病变有()
A:视网膜微动脉瘤
B:视网膜中央静脉阻塞
C:视网膜脱离
D:视网膜中央动脉阻塞
E:黄斑视网膜前膜
以下哪些疾病禁用糖皮质激素类药物()
A:树枝状角膜炎
B:盘状角膜炎
C:真菌性角膜炎
D:泡性角膜炎
E:蚕蚀性角膜溃疡
干眼病患者结膜的分泌物为()
A:浆液性、黏液性和脓性
B:浆液性或水样
C:黏稠丝状
D:浆液性、黏稠丝状和脓性
E:浆液性、黏液性和黏稠丝状
约________%的颅内疾病有眼征( )
A:25
B:35
C:45
D:55
E:65
主观视功能检测
不包括
()
A:色觉
B:对比敏感度
C:视觉诱发电位
D:暗适应
E:视野
Parks三步法检查发现第一眼位右高,往左转时右高明显,往右肩倾时右高明显,麻痹肌为( )
A:左上直肌
B:右上直肌
C:右下斜肌
D:左下斜肌
E:右上直肌
眼压高低主要取决于房水循环中的哪些因素()
A:睫状突生成房水的速率
B:葡萄膜巩膜通道的大小
C:上巩膜静脉压
D:前房角的宽窄
E:房水通过小梁网流出的阻力
临床上怀疑棘阿米巴角膜溃疡,进行角膜刮片培养后,应选择的培养基是()
A:血琼脂培养基
B:巧克力培养基
C:马铃薯葡萄糖琼脂培养基
D:Sabouraud培养基
E:大肠杆菌培养基
中年男性患者,发现视力下降2天,右眼视力降至0.5,左眼0.6,眼底检查发现双眼视盘边界稍模糊,视盘充血。黄斑部可疑水肿。应当给予以下治疗方案()
A:中等剂量激素,配合局部频繁抗菌药物以及免疫抑制剂
B:大剂量激素,配合局部频繁抗菌药物以及免疫抑制剂
C:不能使用激素,但应当给予足量免疫抑制剂,配合中药治疗
D:大剂量激素,配合适度的局部药物,暂时不用免疫抑制剂
E:以非甾体类抗炎药为主,辅以部分活血化瘀中成药,局部则根据需要给予适量抗菌眼药水
下列有关临床试验的说法中哪个是
不正确
的()
A:临床试验是一种应用于人体的实验研究
B:临床试验是回顾性研究
C:临床试验是前瞻性研究
D:临床试验不是以动物为对象的
E:施行临床试验应合乎伦理道德的要求
患者,男性,右眼剔除角膜异物后一天,有畏光、流泪、视力下降,检查右眼视力O.1,无法矫正,结膜混合充血,角膜表面见3mm×2mm大小的黄白色坏死灶,周围水肿,前房积脓1mm,最可能的诊断是( )
A:铜绿假单胞菌性角膜溃疡
B:蚕食性角膜溃疡
C:真菌性角膜溃疡
D:病毒性角膜溃疡
E:匐行性角膜溃疡
某患者右眼被异物溅入,检查发现眼球贯通伤。 下列哪项组织病理学所见不支持交感性眼炎的诊断( )
A:Dalen-Fuch's结节
B:全层角膜瘢痕
C:葡萄膜组织淋巴细胞浸润
D:视网膜有病原微生物
E:葡萄膜组织内上皮样细胞聚集
试述视网膜中央静脉阻塞的临床表现。
房水闪辉
中间部葡萄膜炎的主要并发症包括()
A:并发性白内障
B:继发性青光眼
C:黄斑囊样水肿
D:增殖性玻璃体视网膜病变
E:以上均包括
衣原体性结膜炎包括( )
A:沙眼
B:包涵体性结膜炎
C:性病淋巴细胞肉芽肿性结膜炎
D:滤泡性结膜炎
E:结膜滤泡症
右侧视束受损表现的视野特征为()
A:双颞侧偏盲
B:上侧偏盲
C:右侧同侧偏盲
D:左侧同侧偏盲
E:双鼻侧偏盲
患者男性,右眼不慎被拳头击伤,当时感疼痛,视物不清。检查:右眼视力0.1,角膜透明,前房1/4积血,晶状体无混浊,瞳孔直径4,光反射迟钝。
第1题,共2个问题
(单选题)患者前房积血的程度为( )
A:<Ⅰ级
B:Ⅰ级
C:Ⅱ级
D:Ⅲ级
E:>Ⅲ级
第2题,共2个问题
(单选题)经治疗,该患者1年后还有可能查到的体征是( )
A:角膜后弹力膜破裂
B:房角后退
C:虹膜红变
D:视神经萎缩
E:黄斑裂孔
急性卡他性结膜炎的特点错误的是()
A:潜伏期1~3天
B:通常累及双眼
C:病情一般在6~7天达到高峰
D:一般具有自限性
E:病程一般不超过3周
常用眼药剂型及给药方式有()
A:滴眼液
B:眼膏
C:眼周注射
D:眼内注射
E:眼静脉注射
首页
<上一页
89
90
91
92
93
下一页>
尾页