自考题库
首页
所有科目
自考历年真题
考试分类
关于本站
游客
账号设置
退出登录
注册
登录
出自:放射医学主治医师
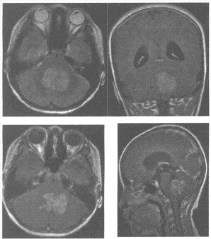
女性,9岁,头痛1周,肢体无明显障碍、MRI平扫T
2
WI及增强扫描如图,最可能的诊断为()
A:脑出血
B:胶质瘤
C:海绵状血管瘤
D:髓母细胞瘤
E:室管膜瘤
革囊胃见于()
A:巨块型癌
B:局限溃疡型癌
C:浸润溃疡型癌
D:弥漫浸润型癌
E:早期胃癌
下列关于腮腺良性肿瘤的描述错误的是()
A:良性肿瘤中以多形性腺瘤最为多见
B:腺淋巴瘤通常为多发或双侧发病
C:多形性腺瘤镜下通常可见到多量黏液样组织和骨样组织
D:CT上多形性腺瘤通常表现为圆形或椭圆形实性肿块
E:CT上腺淋巴瘤可见到多发小囊样表现
对疑为肾动脉狭窄患者,不能进行诊断的影像学检查方法是()
A:MRA
B:排泄性造影
C:超声
D:肾动脉造影
E:CTA
Gd-DTPA缩短T
1
的机理是()
A:较多的质子数量
B:较小的质子磁矩
C:较小的电子磁矩
D:较大的电子磁矩
E:较大的质子磁矩
肝癌可经过血行转移或淋巴系统转移,最常见的转移部位为()
A:肾上腺
B:骨
C:脑
D:肺
E:肾
前列腺增生起源于()
A:中央带
B:外围带
C:移行带
D:前纤维基质区
E:射精管
由于骨内病变损坏了骨的正常支持能力导致()
A:粉碎性骨折
B:病理性骨折
C:疲劳性骨折
D:压缩性骨折
E:撕脱性骨折
自发性蛛网膜下腔出血的原因依次是()
A:动脉瘤>高血压动脉粥样硬化>AVM
B:高血压动脉粥样硬化>动脉瘤>AVM
C:动脉瘤>AVM>高血压动脉粥样硬化
D:AVM>高血压动脉粥样硬化>动脉瘤
E:高血压动脉粥样硬化>AVM>动脉瘤
薄层扫描需具备的条件是()
A:梯度磁场场强高
B:梯度磁场场强低
C:射频带宽要宽
D:射频编码大的步码数
E:相位编码大的步码数
宜采用CT平扫,X线平片意义不大的是()
A:听骨和内耳迷路检查
B:鼻咽癌
C:胆脂瘤
D:二尖瓣病变
E:脑功能定位
儿童四脑室内占位性病变,呈“塑形”或“钻孔”样生长,首先考虑()
A:脉络丛乳头状瘤
B:表皮样囊肿
C:淋巴瘤
D:生殖细胞瘤
E:室管膜瘤
不可经过同轴导管送入的栓塞剂为()
A:微弹簧圈
B:标准弹簧圈
C:超液态碘化油
D:蓝色组织胶
E:可脱性球囊
肾细胞癌的病理改变,哪项是错误的()
A:肾细胞癌起源于肾小管上皮,有包膜
B:肿瘤常发生出血
C:可出现坏死、囊变
D:肿瘤可有钙化、纤维化
E:易于发生转移
先天性巨结肠做钡灌肠检查,下列哪一项是错误的()
A:钡剂最好用等渗液配制
B:先用肥皂水作清洁灌肠
C:肛管不宜插入过高
D:灌肠时钡剂量不宜过多
E:检查完毕后抽出钡剂
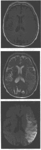
男性,66岁,因头痛、左侧肢体无力3天来诊。血压:165/95mmHg。颅脑MRI扫描如下图,应诊断为()
A:胶质母细胞瘤
B:脑血肿
C:脑挫裂伤
D:海绵状血管瘤
E:动静脉畸形
男,58岁,无痛性黄疸1个月余,B超提示胰头部占位性病变,行上腹部CT增强扫描,如下图
下列关于胰腺癌的描述,错误的是()
A:起源于腺管或腺泡细胞
B:大多数肿块边缘不清
C:胰头癌以"围管浸润"方式侵犯胆总管
D:常形成乳头状息肉突入胆总管内
E:胰腺癌较其他肿瘤转移早
F:以上都不是
在正常腹部平片上见不到的软组织影是()
A:肝脏
B:肾脏
C:膈
D:腰大肌
E:胰腺
患儿,男,10岁,MRI示第四脑室内一边界清楚的分叶状肿物,呈T1WI稍低信号,T2WI稍高信号,增强扫描病灶明显均匀强化,病灶周围可见清晰的脑脊液间隙影,该患者首先考虑的诊断是()
A:髓母细胞瘤
B:星形细胞瘤
C:脑膜瘤
D:脉络膜丛乳头状瘤
E:室管膜瘤
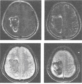
女,78岁,右侧肢体无力伴言语不清3天。查体:神志清,混合性失语,右唇沟浅,右肢体肌力1~2级,右侧巴氏征(+)。MRI扫描图像如下,最可能的诊断为()
A:脑梗死
B:脑出血
C:脑肿瘤
D:脑软化灶
E:脑内炎症
纵隔肿瘤中,见不到钙化的是哪一种()
A:畸胎类肿瘤
B:胸腺瘤
C:胸骨后甲状腺肿
D:神经源性肿瘤
E:支气管囊肿
男,58岁,上腹部剑突下胀痛3个月余,近期症状加重,伴消瘦、乏力及柏油样便,无黄疸。体检发现左锁骨上两个肿大淋巴结,无压痛,可移动。肝脾肋下未触及。上腹部CT图像如下
关于该病转移方式,描述错误的是()
A:经淋巴结转移首先可分别转移到幽门上组、下组,胃上组或脾胰组
B:可通过胸导管转移到肺门淋巴结或左锁骨上淋巴结
C:通过门静脉转移到肝内十分常见
D:肺、骨转移较常见
E:晚期可种植于腹膜、卵巢或直肠陷凹上
急性脑血栓动脉内溶栓治疗时机为()
A:6小时以内
B:8~42小时
C:72小时
D:7~14天
E:3~4周后
男,78岁,糖尿病17年,低热、右侧胸痛伴咳嗽两月余,常规抗炎治疗,症状改善不明显,痰培养结核菌(-),胸部CT平扫如图
第1题,共1个问题
(单选题)为进一步确诊,需首选以下何种检查()
A:痰检
B:红细胞沉降率
C:胸部CT增强扫描
D:胸部MR扫描
E:肺核素灌注扫描
男性,30岁,右大腿远端肿痛伴有发热2周。检查:右大腿局部增粗,压痛。X线示股骨远侧干骺端骨质破坏,有骨膜增生现象。局部软组织间隙模糊。
第1题,共2个问题
(单选题)平片显示的股骨远端骨质破坏可能为()
A:广泛大块溶骨性骨质破坏
B:干骺端虫噬样骨质破坏
C:破坏不明显,有大量的骨质增生
D:肿瘤骨形成
E:破坏之处有骨膜三角
第2题,共2个问题
(单选题)应诊断何种疾病()
A:股骨骨肉瘤
B:股骨结核
C:软组织炎症
D:股骨急性骨髓炎
E:软组织结核
患者,男,45岁,头痛半年,CT检查如下图。
进一步检查,最佳的检查方法是()
A:MRI
B:MRA
C:增强扫描
D:DSA
E:手术切开
F:以上都不是
长骨结核的影像表现
不包括
()
A:骨骺和干骺结核最多见
B:病灶不跨越骨骺板
C:破坏区内可见泥沙状死骨
D:骨干结核可见明显增生硬化
E:骨骺和干骺结核的骨膜反应轻微
患者,女,30岁,搏动性突眼伴头痛半年。CT平扫表现为眼球突出,眼上、下静脉迂曲扩张,呈弯曲条状软组织密度影,位于视神经和上直肌之间;增强后眼上静脉明显强化。 颈内动脉海绵窦瘘的CT表现
不包括
()
A:突眼
B:眼上、下静脉迂曲扩张
C:患侧海绵窦扩大
D:眼外肌可增粗,密度增高
E:视神经无改变
慢性化脓性骨髓炎最主要的影像学表现是()
A:软组织肿胀
B:骨质增生硬化和死骨
C:层状、花边状骨膜反应
D:骨膜下脓肿
E:骨质破坏
CR摄影和传统X线摄影相比()
A:密度分辨力和空间分辨力俱佳
B:密度分辨力好,空间分辨力不足
C:空间分辨力好,密度分辨力不足
D:密度分辨力和空间分辨力均不足
E:以上都不是
首页
<上一页
88
89
90
91
92
下一页>
尾页