出自:内分泌学高级职称

成人腺垂体功能减退症最常见的原因是( )
A:垂体缺血坏死
B:垂体瘤
C:下丘脑肿瘤
D:蝶鞍区手术
E:蝶鞍区放射治疗
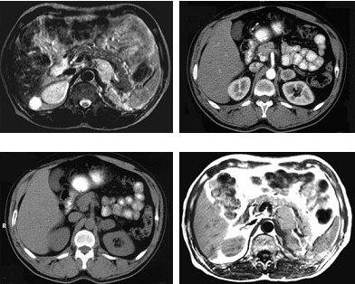
女,34岁,无意中发现血压高4个月就诊,行CT检查,如图所示,下列说法正确的是( )
A:CT示左侧肾上腺区可见一等密度块影,边界清楚 
B:增强扫描,该病灶周边明显强化,中心处强化不明显 
C:考虑为左肾上腺腺瘤 
D:考虑为左肾上腺嗜铬细胞瘤 
E:考虑为左肾上腺转移瘤 
男性,65岁。身高160cm,体重70kg,尿糖(-),糖耐量试验结果为空腹5.0mmol/L,1小时7.6mmol/L,2小时7.0mmol/L,3小时5.4mmol/L,应考虑为()。
A:可诊为糖尿病
B:可排除糖尿病
C:糖耐量减低
D:无临床意义
E:以上都不是
糖尿病酮症酸中毒( )
高渗性非酮症糖尿病昏迷( )
A:低血钾,低血钠,COCP下降
B:低血钾,高血钠,COCP正常
C:低血钾,高血钠,COCP升高
D:正常血钾,低血钠,COCP正常
E:正常血钾,高血钠,COCP升高
Addison病由于醛固酮缺乏可产生下述哪种情况()。
A:低钠低钾血症
B:高钠低钾血症
C:高钠高钾血症
D:低钾低钙血症
E:低钠高钾血症
甲旁亢高钙危像大量滴注生理盐水一方面可纠正失水,同时因多量钠从尿中排出而促使钙从尿中排出。
嗜铬细胞瘤的特征性改变是______。
下列哪些情况常见于胰岛素抵抗( )
A:肢端肥大症
B:肥胖
C:急性胰腺炎
D:多囊卵巢综合征
E:高血压病
患者男,16岁,因“怕热、多汗、心悸1年伴乳房肿胀半年”来诊。查体:P92次/min;消瘦;双眼无突出,甲状腺Ⅰ度弥漫性肿大;双侧乳房可触及直径约2cm的圆盘状乳腺组织,边界清,无粘连,有压痛;心、肺、腹体检未见明显异常;双手细震颤(+);外生殖器未见异常。

第1题,共3个问题
(单选题)为明确诊断,下一步须做的检查除外()。
A:甲状腺功能测定
B:性腺功能测定
C:甲状腺B超
D:乳腺B超
E:胸部X线片

第2题,共3个问题
(单选题)应给予的治疗是()。
A:手术治疗
B:131I放射性核素治疗
C:他莫西芬
D:放射治疗
E:雄激素制剂

第3题,共3个问题
(单选题)该患者的乳房发育最可能是()。
A:甲状腺功能亢进引起的乳房发育
B:青春期男子乳房发育
C:特发性男子乳房发育
D:甲状腺功能减退引起的乳房发育
E:睾丸功能减退伴发的乳房发育
下列关于TSAb意义的说法,哪项不正确( )
A:有助于诊断Graves病
B:有利于判断疾病是否处于活动
C:判断Graves病复发与否
D:是Graves病治疗能否停药的指标
E:手术指征
采用间断性和周期性给药的是下列哪种( )
治疗期问应定期进行妇科检查的药物是( )
治疗原发性骨质疏松症最基本的药物是( )
除增加骨量外,还具有中枢性止痛作用的是下列哪种药物( )
A:钙和维生素D
B:雌激素
C:羟乙磷酸钠
D:降钙素
E:氟化物
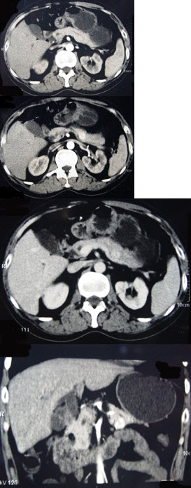
男性,57岁,1年前无明显诱因反复出现嗜睡及发作性神志不清,进食糖水或甜品后症状即缓解,腹部CT检查如下图,最佳的诊断是( )
A:胰腺癌
B:胰岛细胞瘤
C:胰腺转移瘤
D:胃泌素瘤
E:舒血管活性肽瘤
女性,27岁,心慌、多汗、多食、消瘦1个月来院就诊。查体:甲状腺二度肿大,右上极可闻及血管杂音。诊断确立后,下列哪种治疗,在任何时候都是错误的()。
A:抗甲状腺药物
B:手术
C:131I治疗
D:心得安
E:消瘿汤(含海藻,昆布)

男性,40岁,体重92kg,身高168cm,无“三多一少”症状,其母有糖尿病。



第1题,共4个问题
(单选题)下列检查最有可能出现异常的是( )
A:CHOL
B:UA
C:OGTT
D:SCr
E:血黏度

第2题,共4个问题
(单选题)患者可能的诊断是( )
A:1型糖尿病
B:2型糖尿病
C:高血压
D:高血脂
E:神经衰弱

第3题,共4个问题
(单选题)该患者治疗应当首先选择下列哪一项( )
A:阿司匹林
B:胰岛素
C:减肥药
D:饮食管理运动治疗
E:保肾治疗

第4题,共4个问题
(单选题)治疗效果不显著时,可以加用下列哪种治疗( )
A:加用二甲双胍
B:加用皮质激素
C:滴注丹参
D:滴注能量合剂
E:大黄片
血脂常规检查项目包括()。
A:LDL-C
B:TG
C:VLDL
D:TC
E:HDL-C
患者女,55岁,因“SLE口服泼尼松(20~40mg/d)6年,病情加重伴身材变矮和腰痛6个月”来诊。查体:BP155/100mmHg;身高159cm(2年前身高163cm),体重58kg;明显向心性肥胖、多血质;甲状腺未扪及;HR76次/min,律齐;肺(-),肝、脾(-);脊柱胸椎、腰椎、胸骨有压痛;双下肢无水肿。实验室检查:血清钙、磷正常。

第1题,共4个问题
(多选题)为明确诊断应进行的检查项目包括()。
A:胸部X线片
B:肝、肾功能
C:血常规
D:甲状腺功能
E:血电解质
F:BMD检查

第2题,共4个问题
(多选题)在治疗过程中应动态观察的指标有()。
A:血钙、血磷和血钾
B:血皮质醇和ACTH
C:BMD
D:肾功能
E:血压和心功能
F:血糖水平

第3题,共4个问题
(多选题)应采取的治疗是(提示:经减量泼尼松(10mg/d),降压,补充钾盐、钙剂及其他对症治疗后,血电解质恢复正常,但患者的骨痛缓解不明显。)()。
A:卓能膦酸钠
B:雄激素
C:降钙素
D:钙剂加维生素D
E:双膦酸盐
F:雌激素治疗

第4题,共4个问题
(多选题)该患者的诊断应包括(提示:血常规、甲状腺功能、肝、肾功能未见明显异常;血钙2.15mmol/L,磷1.22mmol/L,钾3.1mmol/L,血骨源性碱性磷酸酶正常。BMD://腰椎、髋部骨密度显著下降,平均T值为-3.1~-4.4。胸部X线片:未见明显异常。)()。
A:糖皮质激素所致的骨质疏松症
B:医源性库欣综合征
C:继发性骨质疏松症
D:继发性高血压
E:甲状腺功能亢进症
F:嗜铬细胞瘤
在以下血管升压素不适当分泌综合征的病因中哪项最常见( )
A:小细胞型肺癌
B:淋巴肉瘤
C:胰腺癌
D:胸腺癌
E:前列腺癌
患者男,36岁,因“头晕、乏力、恶心、呕吐5h”来诊。体重50kg。实验室检查:血清钠130mmol/L,血清钾4.5mmol/L;尿相对密度1%。

第1题,共3个问题
(单选题)对该患者应补钠盐的总量估计为()。
A:10g
B:15g
C:20g
D:25g
E:30g

第2题,共3个问题
(单选题)该患者的治疗主要为()。
A:补充高渗氯化钠溶液
B:补充等渗氯化钠溶液
C:补充低渗氯化钠溶液
D:补充氯化钾溶液
E:补充葡萄糖溶液

第3题,共3个问题
(单选题)该患者的电解质失衡为()。
A:高渗性失水
B:等渗性失水
C:低渗性失水
D:低钾血症
E:高钾血症
下列不属于肽类激素的是()。
A:胰岛素原
B:胃泌素
C:抗利尿激素
D:皮质醇
E:促甲状腺素
继发性高脂血症常见于( )
A:控制不良的糖尿病
B:口服避孕药
C:饮酒
D:甲状腺功能减退症
E:肾病综合征
临床上,血脂异常主要包括( )
A:高胆固醇血症
B:高甘油三酯血症
C:高高密度脂蛋白胆固醇血症
D:低高密度脂蛋白胆固醇血症
E:低低密度脂蛋白胆固醇血症
糖尿病酮症酸中毒的诊断要点。
2型糖尿病的特点()。
A:常以慢性并发症为首发症状
B:患者不需使用胰岛素治疗
C:中老年患者多见,从不发生酮症
D:血清中GAD、ICA往往阳性
E:胰岛功能正常
脂蛋白脂酶缺乏( )
脂蛋白脂酶活性不足( )
A:家族性1型高乳糜微粒血症
B:Ⅱ型高脂蛋白血症
C:Ⅲ型高脂蛋白血症
D:Ⅳ型高脂蛋白血症
E:Ⅴ型高脂蛋白血症
T3型甲亢的特征是()。
A:FT3或TT3增高,TT4、FT4正常
B:T3抑制试验抑制率>50%
C:甲状腺摄碘章增高
D:血清蛋白结合碘增高
E:TRH兴奋试验TSH增高
对原发性和继发性肾上腺皮质功能减退症,有重要鉴别意义的检查是()。
A:糖耐量试验
B:CRH兴奋试验
C:ACTH试验
D:24小时尿17-羟皮质类固醇测定
E:血浆17-羟皮质类固醇测定
原发性慢性肾上腺皮质功能减退症患者全身皮肤色素变淡。
患者女,24岁,患低血糖症,平时觉得腹胀、胸闷。查体:身高160cm,体重52kg。血乳酸水平增高;血浆胰岛素34μU/ml,胰岛素原与总胰岛素放免值之比为15%。B超:胸、腹腔积液和可疑腹膜后占位。CT:胰腺增大伴钙化斑。

第1题,共2个问题
(单选题)如诊断成立,引起低血糖的主要激素或因子是()。
A:胰岛素(Insulin)
B:胰岛素原(Proinsulin)
C:生长抑素(SS)
D:胰岛素样生长因子(IGF.
E:表皮生长因子(EGF.

第2题,共2个问题
(单选题)最可能的诊断是()。
A:营养不良性糖尿病
B:胰岛素瘤
C:胰岛细胞增生
D:生长抑素瘤
E:间皮细胞瘤
男性,60岁。多饮多尿2周,神志不清1天,有脱水表现,测血糖40.3mmol/L,血尿素氮42.9mmol/L,血钠170mmol/L,尿酮体阴性。该患者首要采取的措施为()。
A:补液+小剂量胰岛素
B:补液+大剂量胰岛素
C:抗感染
D:立刻补充碳酸氢钠
E:立刻补钾
患者,30岁,女性,经蝶窦行垂体泌乳素瘤手术2个月,放疗后1个月,血泌乳素123μg/L,下述哪种治疗最适合()。
A:左旋多巴治疗
B:溴隐亭治疗
C:赛庚啶治疗
D:再次放疗
E:行经额垂体瘤手术