自考题库
首页
所有科目
自考历年真题
考试分类
关于本站
游客
账号设置
退出登录
注册
登录
出自:放射医学主治医师
骨样骨瘤特征性X线、CT表现为()
A:好发于胫骨和股骨干骺端
B:骨质破坏形成圆形或卵圆形低密度、透亮瘤巢,直径不超过2cm,周围有反应性骨硬化,其中央常见斑点状钙化或骨化影
C:发生于松质骨,很少出现钙化
D:起源于骨膜下者表现为紧贴骨皮质的软组织肿块
E:好发于颅骨
下列哪种检查方法常兼有治疗作用()
A:子宫输卵管碘油造影
B:盆腔充气造影
C:盆腔动脉造影
D:盆腔静脉造影
E:腹部平片
关于气管支架叙述错误的是()
A:治疗气管/主支气管狭窄
B:治疗气管软化
C:治疗小气道塌陷
D:气管直径与支架直径之比为1:1.2
E:支架长度应超过狭窄段两端各1cm左右
患者,女,40岁,因为腰痛进行检查,静脉肾盂造影:右侧肾盂及输尿管显影良好,左侧显影可见相互分离的两个肾盂和与其相连的两条输尿管,该患者首先诊断为()
A:左侧肾盂输尿管畸形
B:左侧肾积水
C:异位肾
D:肾脏结石
E:左侧马蹄肾
自截肾常发生于()
A:肾癌
B:肾结核
C:慢性肾炎
D:肾结石
E:肾错构瘤
以下关于冠状动脉动脉瘤的描述哪项是正确的()
A:扩张部位的直径超过病变近侧和远侧正常或相对正常的血管直径平均值1倍
B:扩张部位的直径超过病变近侧和远侧正常或相对正常的血管直径平均值1.5倍
C:扩张部位的直径超过病变近侧和远侧正常或相对正常的血管直径平均值2倍
D:扩张部位的直径超过病变近侧和远侧正常或相对正常的血管直径平均值2.5倍
E:以上都不对
以下骨结构或病理改变中,X线或CT上表现为低密度的是()
A:骨皮质
B:骨髓腔
C:矿物质沉积
D:钙化
E:死骨
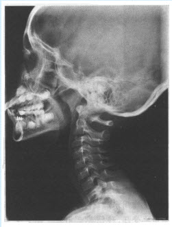
颞骨骨折后出现眩晕、感音性耳聋、自发性眼震和面瘫,其最可能的骨折类型为()
A:纵行骨折
B:横行骨折
C:青枝骨折
D:Y形骨折
E:凹陷性骨折
鞍区动脉瘤与脑膜瘤的鉴别要点
不包括
()
A:脑膜瘤占位效应明显,动脉瘤一般占位效应较轻
B:脑膜瘤多有邻近骨质反应,动脉瘤不存在
C:脑膜瘤常有块状钙化,动脉瘤表现为点状强化
D:脑膜瘤多明显均匀强化,动脉瘤常与血管同步明显强化
E:脑膜瘤增强后常有"脑膜尾征",动脉瘤增强后呈"靶征"
颅骨骨髓瘤的MRI信号特点为()
A:A
B:B
C:C
D:D
E:E
患者,男,31岁。车祸伤致昏迷半小时急诊入院。
第1题,共2个问题
(多选题)下图CT显示的疾病有()
A:硬膜外血肿
B:硬膜下血肿
C:蛛网膜下腔出血
D:脑疝
E:颅内出血
F:颅骨骨折
第2题,共2个问题
(多选题)硬膜下血肿的CT征象为()
A:亚急性期表现为高、低、等混杂密度
B:慢性为颅板下新月形高密度影
C:常合并脑挫裂伤,占位效应明显
D:慢性硬膜下血肿可形成盔甲脑
E:少部分慢性硬膜下血肿可形成分隔
F:急性硬膜下血肿通常合并硬膜外血肿
在下列胆道系统造影中,属于生理排泄法的是()
A:T形管造影
B:内窥镜胰胆管造影
C:腹腔镜胆道造影
D:口服胆囊造影
E:E.经皮经肝胆道造影(PT
关于Couinaud肝段划分,错误的是()
A:尾状叶(Ⅰ段)
B:左外叶分左外上段(Ⅱ段)和左外下段(Ⅲ段)
C:左内叶分为Ⅳ段、Ⅴ段
D:右前叶分右前下段(Ⅴ段)和右前上段(Ⅷ段)
E:右后叶分右后下段(Ⅵ段)和右后上段(Ⅶ段)
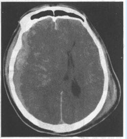
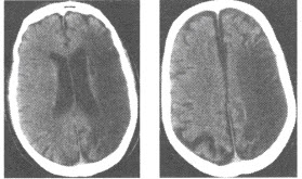
男,77岁,右侧肢体活动不灵伴昏迷1天余,右侧病理征(+),平扫CT检查如图,最可能的诊断为()
A:脑出血
B:脑梗死
C:脑炎
D:脑胶质瘤
E:脑转移瘤
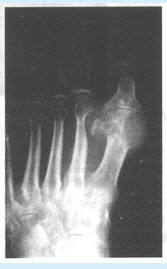
患者,男,56岁。左足肿痛2年。
第1题,共3个问题
(单选题)X线平片检查如图,考虑为何病()
A:痛风性关节炎
B:结核性关节炎
C:类风湿关节炎
D:化脓性关节炎
E:松毛虫性关节炎
F:风湿性关节炎
第2题,共3个问题
(单选题)为了明确诊断最需要做哪项检查()
A:查血沉
B:血常规
C:CT检查
D:血尿酸
E:MR检查
F:类风湿因子
第3题,共3个问题
(多选题)关于痛风性关节炎描述下列哪些正确()
A:95%男性发病,有家族遗传倾向
B:血清及体液中尿酸增加
C:潜伏期常无症状
D:关节肿痛呈非对称性结节样肿胀
E:皮下有痛风结节
F:常首先出现于第一跖趾关节,关节端出现边缘锐利的小囊状或穿凿状圆形或椭圆形骨缺损区,其边缘翘起突出颇具特征
年轻女性,主诉乏力、消瘦,有镜下血尿病史,目前无明显排尿异常,尿常规正常,腹部X线平片示左侧上腹广泛密度增强,钙化区呈肾轮廓。
第1题,共2个问题
(单选题)该患者的诊断首先考虑为()
A:肾肿瘤
B:肾结石
C:胆囊结石
D:肾结核
E:肠道粪块
第2题,共2个问题
(单选题)当病变进展形成肾盏、肾盂多发空洞时,下列检查最佳的是()
A:B超
B:CT
C:X线
D:IVP
E:逆行性尿路造影
患儿,男,5岁。反复呛咳,张口呼吸,有鼾声,鼻腔分泌物多。X线检查如图所见。最可能的诊断是()
A:鼻窦炎
B:鼻息肉
C:扁桃体炎
D:腺样体肥大
E:鼻炎
DeBakeyⅠ型主动脉夹层是指()
A:破口位于升主动脉,病变仅局限于升主动脉
B:破口位于升主动脉,病变累及升、降和(或)腹主动脉
C:破口位于左锁骨下动脉以远,病变仅累及胸主动脉者
D:夹层不累及升主动脉
E:夹层累及升主动脉
患者,女,57岁。3个月前发热,“发现右肺阴影”,治疗经过不详。CT扫描示右上肺胸膜下多房性空洞,部分空洞内可见小液平,病变周围散在小斑片状病灶,相邻胸膜增厚。最可能的诊断为()
A:结核性空洞
B:慢性肺脓肿
C:空洞型肺癌
D:肺大泡合并感染
E:真菌性肺炎
子宫恶性肿瘤()
A:CT提示附件区或子宫直肠陷窝处的均一水样密度肿块,呈圆形或椭圆形,边缘光滑,壁薄,无内隔,增强扫描无强化
B:子宫输卵管造影可见宫腔内圆形充盈缺损,大者可致宫腔增大、变形
C:尿路造影输尿管和膀胱受侵,输尿管、肾盂肾盏积水和膀胱壁不规则、僵硬
D:CT提示子宫腔内可见软组织密度肿物,密度低于正常强化的子宫肌,肿瘤呈菜花状或结节状,周围可为更低密度的子宫腔内积液所环绕,也可填充全部子宫腔
E:CT表现为盆腔内水样密度肿块,增强后周边明显环形强化
关于原发性肝癌错误的是()
A:肝癌常分为巨块型、结节型和弥漫型
B:巨块型肝癌一般大于10cm
C:组织学分类为肝细胞型、胆管细胞型及混合型
D:常见转移部位为肺、肾上腺、骨、脑等
E:易形成门静脉、下腔静脉及肝静脉内癌栓
患者,男,58岁。近期出现声音嘶哑而就诊,检查发现左声带麻痹,未见肿物,患者无明显咳嗽、咯血症状。胸部透视发现左肺门影增大,左侧膈肌矛盾运动,行CT检查,左肺门影增大,左上叶支气管狭窄、截断,主肺窗显示不清,左膈肌升高。下列诊断最恰当的是()
A:左肺炎伴有纵隔淋巴结肿大
B:纵隔淋巴瘤侵犯喉返神经
C:左肺门支气管结核伴膈神经粘连
D:左侧中央型肺癌侵及喉返神经及膈神经
E:左侧周围型肺癌淋巴结转移累及喉返神经及膈神经
下面关于脑转移瘤的描述错误的是()
A:多位于皮层或大脑半球皮层下区
B:少数位于丘脑与小脑
C:表现多样,CT平扫可为等密度、略低密度或略高密度
D:70%~80%为多发,单发较大,常有囊变,水肿明显
E:增强后病灶呈环形强化
有关前列腺增生症的描述,
不正确
的是()
A:前列腺增生结节90%以上发生在外周带
B:增生结节T
2
WI可为低信号
C:增生结节T
2
WI可为高信号
D:增生结节周围可环形低信号
E:增生的前列腺可突入膀胱
下面关于颈部肿瘤的描述中,
不正确
的是()
A:颈动脉体瘤位于颈总动脉分叉处颈动脉间隙,可导致颈内外动脉移位,呈杯口状扩大
B:颈部海绵状血管瘤多见于婴幼儿,常见于皮下或颈深部,可单发或多发
C:若为神经鞘瘤,CT可显示囊性变和钙化,可以强化
D:颈部恶性肿瘤中80%的为转移瘤,其中80%来源于头颈部恶性肿瘤
E:由于神经纤维瘤血供丰富,可显著强化,藉此易与神经鞘瘤鉴别
下列不通过颈静脉孔的结构是()
A:V脑神经的第三支
B:Ⅸ脑神经
C:X神经
D:Ⅺ脑神经
E:颈内静脉
下列关于支气管囊肿的描述哪项是错误的()
A:呼吸系统最常见的先天性疾病
B:囊肿边缘光滑锐利
C:周围肺组织清晰,邻近胸膜受压
D:通常伴有胸膜增厚,肺体积减小
E:可形成张力性含气囊肿
患者,男,60岁。贫血、腰背部及胸骨疼痛并慢性肾衰竭2年余。头颅X线平片和胸椎CT显示骨质疏松和多发骨质破坏。
第1题,共3个问题
(单选题)最可能的诊断是()
A:骨转移瘤
B:白血病
C:类风湿关节炎
D:多发性骨髓瘤
E:原发性骨质疏松
第2题,共3个问题
(单选题)若为多发性骨髓瘤,MRISETWI上最典型的征象是()
A:“椒盐”征
B:弥漫性高信号
C:椎体压缩骨折
D:合并椎旁脓肿
E:只限于椎弓根受累
第3题,共3个问题
(单选题)确诊本病,最需要做的检查是()
A:MRI增强扫描
B:CT增强扫描
C:核素扫描
D:骨髓穿刺活检
E:尿常规
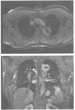
男,42岁,查体偶然发现左后纵隔占位,MRIT
1
WI、T
1
WI图像如下
第1题,共1个问题
(单选题)同一病例MR增强扫描如图,结合平扫,则强化及未明显强化的信号分别代表()
A:病灶、淋巴结
B:实性病变、囊变
C:淋巴结、病灶
D:囊变、实性病变
E:真腔、假腔
关于DSA图像积分的叙述,错误的是()
A:DSA序列曝光可采集几十帧影像
B:用作减影的是其中几个减影对
C:图像合成是一种空间滤过处理
D:可使系列图像的像素值累加形成一个新的像素值
E:主动将图像变得清晰
首页
<上一页
87
88
89
90
91
下一页>
尾页