自考题库
首页
所有科目
自考历年真题
考试分类
关于本站
游客
账号设置
退出登录
注册
登录
出自:放射医学主治医师
患者,男,50岁。有脂肪肝病史,CT发现稍高密度团块影,若诊断有残存肝岛,以下影像学表现与之不相符的是()
A:为正常肝组织密度
B:边缘常较清楚且规则
C:无占位病变效应
D:增强扫描见血管被推移
E:通常位于胆囊附近或包膜下
类风湿关节炎()
A:较早出现关节间隙变窄
B:非承重部位骨质破坏明显
C:双侧小关节对称性发病
D:关节内大量桑葚样游离体
E:关节内出现气体影
静脉肾盂造影时,在注射对比剂后30分钟拍片,利于下列哪种疾病的诊断()
A:慢性肾盂肾炎
B:肾积水
C:海绵肾
D:肾囊肿
E:Wilms瘤
关于颅咽管瘤的描述,
不正确
的是()
A:小儿及青年多见
B:80%为囊性
C:85%有钙化
D:均发生于鞍上
E:肿瘤边界清楚
手术难以切除,经栓塞治疗后病情改善,肿瘤缩小,从而转变成能手术切除。这一现象最有可能发生于哪种肿瘤的治疗过程中()
A:原发性肝细胞肝癌
B:肝转移瘤
C:胆囊癌
D:卵巢癌
E:宫颈癌
门脉高压介入治疗术后的并发症
不包括
()
A:肝性脑病
B:低蛋白血症
C:肝细胞性黄疸
D:合并近第二肝门肝癌患者治疗后出现转移症状
E:脊髓损伤
按DeBaKey分型,主动脉夹层Ⅰ型是()
A:局限于升主动脉,破口也在升主动脉
B:局限或广泛,破口在降部上端
C:局限或广泛,破口在降部以下
D:夹层广泛,破口在降主动脉
E:夹层广泛,破口在升主动脉
脑膜中动脉通过()
A:圆孔
B:棘孔
C:卵圆孔
D:破裂孔
E:眶上裂
造影显示肾静脉下方下腔静脉壁呈圆形膨出,约6cm×6.5cm大小。
第1题,共3个问题
(单选题)称之为()
A:下腔静脉狭窄
B:下腔静脉狭窄后扩张
C:下腔静脉瘤
D:下腔静脉憩室
E:下腔静脉溃疡
第2题,共3个问题
(单选题)上述征象见于()
A:肝硬化
B:肝癌
C:下腔静脉血栓
D:布-加综合征
E:下腔静脉夹层
第3题,共3个问题
(单选题)上述疾病首选的治疗措施是()
A:手术
B:介入治疗
C:放疗
D:化疗
E:中医治疗
大脑后动脉主要供血区为()
A:额叶
B:枕叶及颞叶底面
C:顶叶
D:小脑
E:岛叶
诊断肠结核最主要的X线征象是()
A:左半结肠袋影消失
B:直、乙状结肠交界处狭窄
C:结肠肝区充盈缺损
D:盲肠缩短狭窄
E:回肠呈节段状腊肠状改变
肺结核病灶是否属开放性的主要依据是()
A:胸部X线摄片见于酪样病灶及空洞
B:肺结核空洞伴反复咯血
C:痰中找到结核菌
D:结核菌素试验为强阳性
E:肺结核已有血行播散
T
1
WI眼球内高信号,通常不发生在()
A:黑色素瘤
B:血管畸形
C:出血
D:视网膜母细胞瘤
E:炎症
男性,15岁,腰背痛3个月,近月来右髋疼痛。骨盆X线片显示,右髋关节间隙轻度变窄,双侧骶髂关节间隙模糊。根据以上情况,进一步证实诊断的检查手段是()
A:验血沉
B:OT试验
C:腰椎CT
D:类风湿因子
E:HLA-B27
化脓性骨髓炎的基本X线征象,哪项是最为特征性的表现()
A:骨膜反应
B:骨破坏与增生同时存在
C:软组织肿胀和窦道形成
D:大的死骨
E:骨增粗,变形
醛固酮腺瘤的CT特点是()
A:单侧,小于2cm,低密度网格状,CT值-33~28HU
B:单侧,大于2cm,低密度均匀肿块,CT值30~50HU
C:单侧多见,直径2~20cm,中央坏死,少数伴有钙化,强化显著
D:单侧,体积大,密度不均有钙化,邻近结构侵犯
E:单侧,无症状,体积大,以脂肪成分为主,CT值-80~120HU
下列肺部肿瘤中,比较多见的肺良性肿瘤是()
A:血管瘤与平滑肌瘤
B:肺上沟瘤
C:脂肪瘤、纤维瘤
D:腺瘤与错构瘤
E:转移瘤
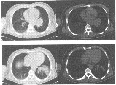
患者,男,41岁,刺激性咳嗽3个月余,低热1周,近3天咳痰带血丝。胸部CT如图,最可能的诊断为()
A:淋巴瘤肺浸润
B:炎性病变
C:中央型肺癌并左肺下叶阻塞性炎症
D:周围型肺癌
E:细支气管肺泡癌并淋巴结转移
真菌性鼻窦炎较具诊断意义的征象为()
A:窦腔密度增高
B:窦腔软组织肿块
C:都比骨质破坏
D:窦腔软组织块内的钙化斑点或斑块
E:以上都不是
男,56岁,突感胸闷,憋气,就诊后行CTA检查如下图,应考虑为()
A:主动脉瘤
B:主动脉夹层(DeBakeyⅠ型)并主动脉瘤
C:主动脉夹层(DeBakeyⅡ型)并主动脉瘤
D:主动脉夹层(DeBakeyⅢ型)并主动脉瘤
E:主动脉血栓
空洞的良、恶性鉴别无明显意义的是()
A:洞壁厚薄
B:洞壁形态
C:液平
D:部位
E:以上都不对
异位肾()
A:由于肾脏支持结构松弛所致
B:由于肾脏发育中上升不足所致
C:由于肾脏发育形成较长的血管所致
D:由于发育过程中出现两个独立的输尿管芽所致
E:输尿管原基发育缺陷
经产妇,68岁,绝经16年,阴道反复流血3个月就诊。查体:肥胖,一般情况好,血压160/110mmHg。妇科检查:阴道少量流血,宫颈光滑,子宫正常大,双侧附件未见异常。
第1题,共2个问题
(单选题)最可能的诊断是()
A:子宫颈癌
B:子宫肌瘤
C:子宫内膜息肉
D:子宫内膜癌
E:子宫颈炎
第2题,共2个问题
(单选题)下列哪项是首选的辅助检查()
A:经阴道超声
B:阴道镜检
C:阴道图片细胞学检查
D:后穹隆穿刺检查
E:腹腔镜检查
患者,女,40岁。体检B超发现肝内占位,无临床症状。CT检查如下。
对该病描述正确的是()
A:男性多见,偶见于儿童
B:一般无临床症状,肿瘤较大时可破裂出血
C:肿块有包膜
D:病灶中央为星状纤维瘢痕,向周围放射状分布
E:延迟扫描中央瘢痕可见强化
常累及骨质,有明显骨质增生的是()
A:胶质瘤
B:脑膜瘤
C:脂肪瘤
D:血管母细胞瘤
E:听神经瘤
1974年Gruentzig发明()
A:血管内支架技术
B:球囊血管成形术
C:激光血管成形术
D:粥样斑块切除术
E:使用同轴导管行血管成形术
造成“阳极效应”是由于()
A:线状灯丝
B:阴极集射罩
C:管电压波形
D:阳极面倾斜
E:球管高真空度
豆状核包括()
A:壳核及屏状核
B:苍白球及壳核
C:苍白球及屏状核
D:尾状核及苍白球
E:壳核及杏仁核
心脏黏液瘤最常见的部位为()
A:左心房
B:左心室
C:右心房
D:右心室
E:室间隔
观察肋骨骨折的胸片应为()
A:标准正位胸片
B:长时间、低千伏的胸片
C:短时间、高千伏的胸片
D:长时间、高千伏的胸片
E:标准侧位胸片
首页
<上一页
86
87
88
89
90
下一页>
尾页