出自:内分泌学高级职称

胃泌素瘤患者消化性溃疡的特点包括()。
A:可发生在不典型部位如空肠、十二指肠降部
B:易发生出血、穿孔等并发症
C:常伴有幽门螺杆菌感染
D:可伴有分泌性腹泻
E:60%以上为多发溃疡
患者,35岁,女性,6年前分娩时失血过多伴晕厥,产后无乳汁,闭经2~3年伴怕冷乏力,体位性头晕,餐前经常手抖,心悸,饥饿感。查体:消瘦,嗓音低哑,毛发稀疏,双乳房萎缩,BP80/50mmHg。

第1题,共4个问题
(多选题)为明确诊断需做哪些检查()。
A:血皮质醇、雌二醇
B:FSH、LH
C:血糖
D:B超
E:TSH

第2题,共4个问题
(单选题)为纠正病人腺体功能减退,下述哪种治疗最为理想()。
A:靶腺激素替代
B:用促激素刺激靶腺
C:应用促激素释放激素
D:抑制靶腺激素的拮抗激素
E:补充靶腺激素所调节的物质

第3题,共4个问题
(单选题)当进一步鉴别原发或继发性内分泌功能低减时,下述哪个试验对病人具有危险性()。
A:TSH兴奋试验
B:TRH兴奋试验
C:LRH兴奋试验
D:CRH兴奋试验
E:胰岛素负荷试验

第4题,共4个问题
(单选题)提示:检查血糖4.0mmol/L(正常3.68~6.12mmol/L),血皮质醇、雌二醇均低,FSH、LH基础值不低,B超示子宫体积小。提问:最可能的临床诊断是()。
A:Addison病
B:卵巢功能早衰
C:原发性性腺功能低减
D:席汉病
E:黏液性水肿
患者男,12岁,因“双乳肿痛1月余”来诊。患者5年前因双侧隐睾、阴茎下弯行双侧腹股沟探查术及阴茎下弯矫正术,术中未探及睾丸样组织。近1个月出现双侧乳房肿痛。查体:双侧乳房肿大,乳核1cm;双侧腋下可触及无痛性淋巴结数个,直径均小于1.0cm。

第1题,共4个问题
(多选题)下一步应进行的检查有(提示:性激素测定:LH升高,E升高,T下降;血ACTH和皮质醇正常。染色体核型:46,XY。B超:腹部未见肿物样回声,双侧肾上腺区未见异常团块,双侧腹股沟及后腹膜未见明显睾丸回声。)()。
A:HCG测定
B:腹部MRI
C:甲状腺功能
D:盆腔MRI
E:PRL测定
F:垂体MRI

第2题,共4个问题
(多选题)下一步的处理方法为()。
A:药物治疗乳腺发育
B:剖腹探查寻找睾丸
C:经皮穿刺左肾下极团块
D:乳腺成形术
E:左肾下极团块切除术
F:放射治疗

第3题,共4个问题
(多选题)应进行的检查项目是()。
A:腹部B超
B:染色体核型检测
C:性腺功能检测
D:乳腺B超
E:ACTH和皮质醇
F:心电图

第4题,共4个问题
(多选题)目前考虑的疾病有(提示:腹部MRI:左肾下极可见类椭圆形团块影,4cm×3cm,边缘清晰。)()。
A:青春期生理性男子乳房发育
B:病理性男子乳房发育
C:异位非滋养细胞肿瘤
D:先天性肾上腺皮质增生
E:原发性睾丸功能减退
F:肾肿瘤

女性,36岁。反复发作肌无力及周期性瘫痪1年余,伴肢端麻木,手足搐搦,夜尿增多,口渴。体格检查:正力体型,BP170/100mmHg,甲状腺无肿大,心率82次/分,心律齐。



第1题,共3个问题
(单选题)最有可能是( )
A:甲亢
B:甲状旁腺功能亢进症
C:原发性醛固酮增多症
D:Cushing综合征
E:嗜铬细胞瘤

第2题,共3个问题
(单选题)哪项检查最有助于诊断( )
A:甲状腺激素测定
B:甲状旁腺素测定
C:螺内酯试验
D:地塞米松抑制试验
E:儿茶酚胺测定

第3题,共3个问题
(单选题)鉴别原发或继发,哪项检查最有价值( )
A:TSH测定
B:PTH测定
C:肾素、血管紧张素Ⅱ测定
D:ACTH兴奋试验
E:高血糖素激发试验
原醛症分泌过多的醛固酮可引起潴钾、排钠,导致血容量减少。
嗜铬细胞瘤发作的典型表现不包括()。
A:多尿
B:头痛
C:血压升高
D:出汗
E:心悸
病历摘要:患者,女性,36岁,因“易饥多食伴消瘦2月”来诊,2月前患者无明显诱因出现易饥多食,伴体重下降,这2个月来体重减轻10kg,无明显的口渴、多饮、多尿、烦躁、易怒、心悸、发热、咳嗽、胸闷。如果该患者确诊糖尿病,如果尿微量白蛋白排泄率为15ug/min,考虑患者处于糖尿病肾病的第几期?()
A:Ⅰ
B:Ⅱ
C:Ⅲ
D:Ⅳ
E:Ⅴ
F:Ⅵ
关于糖耐量减低的描述正确的是( )
A:IGT是糖尿病的一个亚型
B:IGT代表了正常葡萄糖稳态和糖尿病高血糖之间的中间代谢状态
C:IGT与胰岛素分泌缺陷有关,是糖尿病的必经过程
D:IGT的及早检出有利于糖尿病的治疗
E:IGT是指空腹血糖>7.0mmol/L。而餐后2小时血糖在7.8~11.1mmol/L
Graves病眼征6级( )
Stellwag征( )
vonGraefe征( )
Joffroy征( )
Mobius征( )
A:瞬目减少,炯炯发亮
B:眼球向上看时,前额皮肤不能皱起
C:双眼向下看时,出现白色巩膜
D:双眼看近物时,眼球辐辏不良
E:视力丧失
抗甲状腺药物有两类( )
A:咪唑类和磺脲类
B:咪唑类和碘制剂
C:咪唑类和硫脲类
D:磺脲类和双胍类
E:磺脲类和硫脲类
严重低镁血症可暂时性抑制PTH分泌,引起可逆的甲旁减。
下列哪项不是肾上腺皮质腺瘤实验室检查的特点( )
A:血皮质醇增高,节律紊乱
B:大剂量地塞米松不能抑制
C:甲吡酮试验有尿17-羟皮质类固醇升高
D:血浆ACTH降低
E:ACTH兴奋试验中半数人无反应
目前最有效的治疗真性性早熟的药物是( )
A:GnRH类似物
B:酮康唑
C:睾酮
D:螺内酯
E:GnRH激动剂
垂体危像发生时可有以下临床表现,其中哪一组临床表现是不可能同时出现的( )
A:低血糖、高热或低温、水中毒、恶心、呕吐
B:循环衰竭、高热或低温,谵妄
C:高血糖、恶心呕吐、循环衰竭
D:低血压、低血糖、电解质紊乱
E:精神症状、昏迷、水中毒
关于甲状腺功能减退的治疗,叙述错误的是()。
A:成年甲状腺功能减退患者L-T4的替代剂量是50~200μg/d
B:妊娠时替代剂量需要增加30%~50%
C:甲状腺癌全切术后患者L-T4()的替代治疗与其他甲状腺功能减退患者相同
D:新生儿甲状腺功能减退越早发现、早治疗,对患儿发育的影响越小
E:老年甲状腺功能减退患者需要较低的替代治疗量
国际糖尿病联盟提出的糖尿病现代治疗的5个要点为_____、_____、_____、_____、_____。
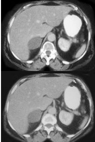
女,45岁,满月脸、向心性肥胖2年余,实验室检查:血、尿皮质醇增高,请结合CT图像,作出诊断( )
A:左肾上腺腺瘤
B:左肾上腺腺癌
C:左肾上腺转移瘤
D:左肾上腺嗜铬细胞瘤
E:左肾上腺增生
患者,女性,56岁。1年前体检血压130/95mmHg,空腹血糖6.8mmol/L,总胆固醇5.8mmol/L,血常规、胸片未见异常。因"口干、多饮、多尿、视力下降半年"入院。血常规提示:RBC5.0×1012/L,Hb143g/L。查体:体型肥胖,双肺未闻及啰音,心率80次/分,心律齐,各瓣膜听诊区未闻及杂音,双侧踝关节凹陷性水肿。患者注射胰岛素后未进食,突然出现强烈饥饿感,大量出汗、手抖、心悸、软弱乏力,应进一步治疗为()。
A:小剂量胰岛素静脉滴注,同时急查大便常规
B:大量口服生理盐水
C:停用二甲双胍,立即行洗胃治疗
D:进食
E:立即使用呋喃唑酮
F:立即查血糖,50%高渗糖静脉推注
对痛风最有诊断价值的是()。
A:痛风家族史
B:高尿酸血症
C:尿路结石
D:痛风石
E:第1跖趾关节急性关节炎
下列哪些激素属于下丘脑激素( )
A:生长激素释放激素
B:促性腺激素释放激素
C:生长抑素
D:多巴胺
E:促肾上腺激素
关于1997年美国ADA为代表提出的糖尿病诊断和分型标准要点,下列说法错误的是( )
A:取消胰岛素依赖型糖尿病(IDDM)和非胰岛素依赖型糖尿病(NIDDM)的医学术语 
B:保留Ⅰ型和Ⅱ型糖尿病的名称,但用阿拉伯数字(1型和2型),不用罗马数字 
C:保留妊娠期糖尿病 
D:糖耐量减低作为一个亚型,不作为糖尿病发展过程中的一个阶段 
E:取消营养不良相关糖尿病 
在治疗生长激素缺乏性侏儒症时生长激素如何使用?
患者男,22岁,因“四肢疼痛、无力6个月,加重1周”来诊。6个月前劳累后出现四肢近端疼痛、无力,双侧上肢上举困难,后出现上肢近端及胸大肌等多处肌肉疼痛,活动后加重,伴肌肉痉挛,休息后能有一定程度的缓解,一直未治疗。1周前活动后症状明显加重,蹲下后不能站起。查体:一般情况可;脑神经检查未见异常,感觉无异常;四肢肌张力降低,四肢近端可见轻度的肌萎缩,三角肌及股四头肌压痛明显,未见肌纤维颤动,四肢近端肌力和远端肌力Ⅳ级;双侧角膜反射对称,四肢腱反射对称存在,无病理反射,皮肤划痕试验(+)。此时可考虑的诊断有(提示实验室检查:CK1072U/L,LDH5302.2U/L,ALT179U/L,AST141.6U/L。肌电图:四肢肌源性损害。)()。
A:类风湿关节炎
B:骨肿瘤
C:多发性肌炎
D:重症肌无力
E:糖原累积症
F:周期性瘫痪
下丘脑分泌的激素是()。
A:促甲状腺激素释放激素(TRH)
B:促甲状腺激素(TSH)
C:抗利尿激素(ADH)
D:生长激素(GH)
E:催乳素(TRL)
女,26岁,妊娠4个月,出现心悸,多汗,呕吐剧烈,无突眼及甲状腺肿大,最可能的诊断为( )
A:妊娠合并甲亢
B:正常妊娠反应
C:妊娠剧吐
D:HCG相关性甲亢
E:妊娠合并心脏病
患者,男,85岁。因咳嗽发热1个月,昏迷5小时入院。高血压史30余年,无明显糖尿病史。体检:体型消瘦,深度昏迷,脱水貌。四肢厥冷,双侧中、下肺可闻及湿啰音。血压80/40mmHg,心率124次/分,心律不齐,未见双下肢水肿。尿糖(++++)。尿酮(-)。ECG提示频发室性早搏。 假如此时血糖33.3mol/L,血酮(-),pH7.35,血钠、Cr均增高,下列的综合治疗方案中哪一项是最合理的( )
A:抗感染、补液、小剂量胰岛素静脉滴注
B:抗感染、补液、抗心律失常
C:抗感染、补充低渗氯化钠溶液、小剂量胰岛素静脉滴注
D:抗感染、补液、小剂量胰岛素皮下注射、抗心律失常
E:抗感染、抗休克、纠正酸中毒
受体的性质多为( )
A:氨基酸衍生物 
B:类固醇 
C:糖蛋白 
D:脂肪酸衍生物 
E:脂多糖 
为确诊此患者有无尿崩症,下列试验首选( )
A:测量24小时尿量
B:测血浆渗透压
C:测尿渗透压
D:禁水-加压素试验
E:禁水试验
患者,女,60岁,近1年来感食欲不振,记忆力减退,双下肢水肿。因肾结石行肾实质切开取石术,手术进展顺利,术后出现嗜睡,体温35℃,血压70/50mmHg,呼吸15次/分,心率60次/分,反射减弱。 抢救该患者,下列措施正确的是( )
A:50%GS静脉滴注
B:保温
C:纠正休克
D:静脉注射T或L3-T4
E:氢化可的松静脉滴注
糖尿病酮症酸中毒首先采用的治疗是()。
A:输液,补水
B:处理诱发因素
C:纠正酸碱平衡失调
D:防止并发症
E:胰岛素治疗