自考题库
首页
所有科目
自考历年真题
考试分类
关于本站
游客
账号设置
退出登录
注册
登录
出自:放射医学主治医师
不符合气管肿瘤的临床X线表现是()
A:有明显的喘鸣音,严重者呼吸困难,有咳嗽咯血等,气管下1/3肿瘤会一侧支气管阻塞,接近声门有声嘶
B:胸片可无阳性所见或仅有两侧阻塞性肺气肿或一侧肺不张
C:肺纹理增强或囊状透明阴影,并可见杵状指
D:侧位高千伏摄影,可显示凸出气管腔内肿块阴影
E:CT可见气管腔内有肿块影,良性者边缘光滑,恶性者可呈菜花样不规则,基底宽,使气管呈环形狭窄
盆腔脓肿()
A:CT提示附件区或子宫直肠陷窝处的均一水样密度肿块,呈圆形或椭圆形,边缘光滑,壁薄,无内隔,增强扫描无强化
B:子宫输卵管造影可见宫腔内圆形充盈缺损,大者可致富腔增大、变形
C:尿路造影输尿管和膀胱受侵,输尿管、肾盂肾盏积水和膀胱壁不规则、僵硬
D:CT提示子宫腔内可见软组织密度肿物,密度低于正常强化的子宫肌,肿瘤呈菜花状或结节状,周围可为更低密度的子宫腔内积液所环绕,也可填充全部子宫腔
E:CT表现为盆腔内水样密度肿块,增强后周边明显环形强化
有关局灶性肝脂肪浸润,以下哪一项是错误的()
A:病灶通常呈球状
B:与正常肝组织分界不清
C:无占位效应
D:周围血管无推移受压现象
E:增强后病灶区CT值升高不及正常肝组织
在T
2
WI上,亚急性后期及慢性期血肿出现低信号环,是因为()
A:血肿周边出现正铁血红蛋白
B:血肿周边的巨噬细胞吞噬大量含铁血黄素
C:血肿周边钙化
D:血肿周边出现去氧血红蛋白
E:血肿周边出现氧合血红蛋白
患者,女,35岁。受凉后发热、咳嗽、胸痛约10天,经青霉素、链霉素治疗后体温下降,胸痛缓解,但出现低热、乏力、背胀、胸痛。查体:左中下肺野叩浊音,呼吸音消失。血:WBC10.6×10
9
/L,N0.76。胸片示左下肺大片密度增高阴影,遮盖左膈肌影。
第1题,共3个问题
(单选题)此病例最可能诊断为()
A:迁徙性肺炎
B:脓胸
C:胸膜增厚
D:胸膜间皮瘤
E:结核性胸膜炎
第2题,共3个问题
(单选题)还需的以辅助诊断的检查是()
A:抽胸液送检
B:B超
C:CT
D:EKG
E:ESR
第3题,共3个问题
(单选题)该患者抽液时突感头晕、胸闷、四肢发凉、心悸。给予哪项处理最合适()
A:停止抽液,给氧
B:平卧、观察血压
C:立即皮下注射0.1%肾上腺素0.5ml
D:静脉输液
E:用强心剂
患者,女,55岁。腹胀、腹痛3个月。患者自觉腹胀明显,并觉隐痛,食欲欠佳,查体:腹膨隆,移动性浊音阳性,附件区扪及肿块。无肝病史,实验室检查未见异常。 患者做如下检查,你的诊断是()
A:卵巢囊肿
B:卵巢囊腺癌十腹水
C:卵巢囊腺癌伴腹膜转移
D:卵巢囊腺瘤
E:巧克力囊肿
F:卵泡
区别肺叶发育不全与肺隔离症最佳的检查方法为()
A:CT平扫
B:X线平片
C:MR平扫
D:CT动态增强扫描
E:MRT
2
WI脂肪抑制序列
以下哪一异常是鼻道窦口复合体的解剖异常()
A:钩突气房
B:下鼻甲肥大
C:鼻中隔偏曲
D:后鼻孔闭锁
E:终末隐窝
下列肺脓肿的X线表现中最能提示为慢性肺脓肿的是()
A:多腔相通、多支引流和多叶蔓延
B:内壁光滑有液平面,外缘清晰
C:较大斑片状阴影中央局部密度减低
D:张力性空洞及同侧肺门淋巴结增大
E:以上都不是
关于胃癌叙述错误的是()
A:胃癌好发于胃窦部,其次为贲门和胃体小弯
B:早期胃癌分为隆起型、浅表型、凹陷型
C:中晚期胃癌是浸润至肌层或超过肌层
D:胃癌淋巴结转移常首先转移至左锁骨上淋巴结
E:胃癌通过门静脉转移到肝内常见
十二指肠球后狭窄的最常见原因为()
A:结核
B:胰头肿瘤
C:局限性炎症
D:球后溃疡
E:良性肿瘤
CT显示宫颈癌向外侵犯的确切依据是()
A:宫颈与阴道壁分界不清
B:直肠壁局限性增厚
C:宫颈径线大于4mm
D:宫颈呈分叶状
E:周围脂肪层消失
目前矽肺分期的主要手段为()
A:HRCT
B:高千伏X线胸片
C:薄层胸部CT
D:普通胸部CT
E:正位胸片
提示直肠癌失去手术机会的CT征象为()
A:肿块外缘毛糙
B:直肠全周受累
C:直肠周围脂肪内肿大淋巴结
D:直肠周围筋膜增厚
E:直肠周围脂肪密度增高
关于大叶性肺炎,说法错误的是()
A:典型的病理变化为充血期、红色肝样变期、灰色肝样变期、消散期
B:发病一开始即可出现阳性X线征象
C:典型X线表现为大片状实变,内见支气管充气征
D:最常见的致病菌为肺炎双球菌
E:多见于青壮年
患儿,男,7岁,发热5天,体温39.5℃。右小腿上端肿胀,剧痛,局部皮温高,白细胞数增高。X线片未见明显变化,局部穿刺,穿刺达骨膜下抽出黄色脓汁,首先应考虑为()
A:急性蜂窝织炎
B:化脓性膝关节炎
C:化脓性骨髓炎
D:滑囊炎感染
E:膝关节结核
将肝脏分为左右两叶的血管为()
A:肝左静脉
B:肝中静脉
C:肝右静脉
D:门脉左支
E:门脉右支
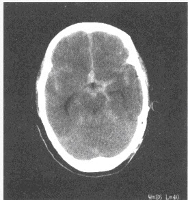
成人,外伤后1小时,CT检查如下图,最可能的诊断是()
A:硬膜下血肿
B:硬膜外血肿
C:蛛网膜下腔出血
D:正常脑CT
E:脑出血
以下化疗药物的作用,描述错误的是()
A:DDP为细胞周期特异性药物
B:DDP的作用呈剂量依赖性
C:5-Fu是细胞周期特异性药物
D:BLM是细胞周期特异性药物
E:药物微球可起"化疗性栓塞"作用
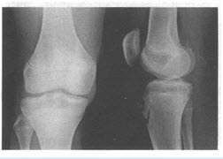
患者,男,17岁,胫骨前结节处疼痛不适1个月,局部有轻微肿胀。无发热,无明显外伤史,膝关节活动自如。
第1题,共4个问题
(单选题)根据症状分析,首先做的检查是()
A:X线平片
B:CT
C:MRI
D:ECT
E:MRA
F:膝关节造影
第2题,共4个问题
(单选题)患者所做检查如下图,你的诊断是()
A:胫骨结节骨软骨炎
B:胫骨化脓性骨髓炎
C:骨肉瘤
D:骨结核
E:胫骨骨折
F:软骨肉瘤
第3题,共4个问题
(多选题)请结合图像描述所见()
A:胫骨前结节见节裂
B:胫骨前结节处局部软组织肿胀
C:髌韧带增厚
D:局部有骨膜反应
E:可见有骨折线
F:死骨碎块
G:局部软组织肿块影
H:可见肿瘤骨
第4题,共4个问题
(单选题)本病的好发年龄为()
A:婴幼儿期
B:学龄前
C:青少年
D:中老年
E:老年
F:学龄前儿童
患者,女,38岁,因月经过多,经期延长,反复流产。不孕就诊,触诊子宫增大。该病典型的MRI表现为()
A:T1WI信号强度类似子宫肌层,T2WI明显低信号
B:T1WI信号强度低于子宫肌层,T2WI明显低信号
C:T1WI信号强度高于子宫肌层,T2WI明显低信号
D:T1WI信号强度类似子宫肌层,T2WI高信号
E:T1WI信号强度类似子宫肌层,T2WI等信号
Graves眼病最常累及()
A:上直肌
B:上斜肌
C:下直肌
D:外直肌
E:内直肌
男性,15岁,右下肢软,有时跪倒,已经11年。查体:右下肢肌肉萎缩,肌力下降,感觉正常,智力及左下肢正常。
第1题,共1个问题
(单选题)最可能的诊断为()
A:大脑瘫后遗症
B:小儿麻痹症后遗症
C:脊髓灰质炎后遗症
D:末梢神经炎
E:椎管内肿瘤
关于骨髓瘤的描述,下列哪项错误()
A:起源于骨髓网织细胞
B:多有骨质增生和骨膜增生
C:多发性骨质破坏
D:常见软组织肿块和病理性骨折
E:常见弥漫性骨质疏松
后纵韧带位于()
A:椎体前缘
B:椎管前缘
C:椎管后缘
D:棘突之间
E:棘突之后
肾周间隙内的组织或结构为()
A:肾上腺
B:肾血管
C:肾周脂肪
D:输尿管近段
E:以上都是
男性,43岁,腹痛、呕吐,停止排便排气1天,行腹部立位X线平片检查,如下图
有关肠梗阻的CT表现,
不正确
的是()
A:梗阻远近端肠管直径有明显差异
B:闭袢型肠梗阻时可见"鸟喙征(beaksign)"
C:动力性肠梗阻可见小肠大肠的弥漫性充气扩张
D:绞窄性肠梗阻肠壁可出现分层改变
E:乙状结肠闭袢性扭转时扩张的乙状结肠呈马蹄状,内有两个较大液平
F:小肠内只要有液气平面就可诊断肠梗阻
关于子宫内膜癌,
不正确
的是()
A:是子宫内膜最常见的恶性肿瘤
B:多为腺癌
C:CT是子宫内膜癌主要的诊断方法
D:发病高峰为55~56岁
E:宫腔常增大或分叶状
经产妇,68岁,绝经16年,阴道反复流血3个月就诊。查体:肥胖,一般情况好,血压160/110mmHg。妇科检查:阴道少量流血,宫颈光滑,子宫正常大,双侧附件未见异常。下列哪项是首选的辅助检查()
A:经阴道超声
B:阴道镜检
C:阴道图片细胞学检查
D:后穹隆穿刺检查
E:腹腔镜检查
男,56岁。上腹不适3个月,CT检查如图。
CT诊断的主要依据是()
A:胰腺肿块+肿块远侧胰管扩张
B:胰腺囊性病灶+肿块远侧胰腺萎缩
C:胰腺肿块+肿块远侧胰腺萎缩
D:胰管扩张+胰腺萎缩
E:胰腺内低密度灶+腹水
首页
<上一页
85
86
87
88
89
下一页>
尾页