出自:消化内科学高级职称

当腹内有游离腹腔积液出现移动性浊音时,游离腹腔积液量至少应超过()。
A:100ml
B:200ml
C:500ml
D:1000ml
E:2000ml
下述结核性腹膜炎的传播途径,哪一个来源不属于血行播散()。
A:粟粒性肺结核
B:睾丸结核
C:骨结核
D:关节结核
E:输卵管结核
特异性多巴胺受体促效剂,用于内科治疗无效的慢性门脉分流性脑病( )
对慢性肝性脑病无效( )
使肠内呈酸性,减少氨的吸收及形成( )
A:溴隐亭
B:左旋多巴
C:新霉素
D:乳果糖
E:肾上腺皮质激素
克罗恩病最常见的并发症是( )
A:坏死性肠炎
B:腹腔内脓肿
C:急性穿孔
D:肠梗阻
E:恶变
下列关于GERD临床诊断的叙述,正确的是()。
A:内镜是判断GEPD的最准确方法
B:食管吞钡X线表现主要用于不能耐受胃镜的食道癌的鉴别诊断
C:LES压低于10mmHg均发生反流
D:24小时食管pH测定中阳性率最高的是长于5分钟的反流次数
E:pH≤5为酸反流指标
下列哪一种反流不会产生食管粘膜损害( )
A:胃酸
B:胃蛋白酶
C:非结合胆酸
D:胰酶
E:胃粘液
患者男性,54岁,确诊为乙肝后肝硬化6年,腹胀伴双下肢水肿1个月,加重伴无尿2天。查体蛙状腹,液波震颤阳性,双下肢可凹性浮肿。化验血钠122mmol/L,BUN19mmol/L。

第1题,共2个问题
(单选题)与肝硬化腹腔积液形成机制无关的是()。
A:门静脉压力增高
B:低白蛋白血症
C:继发醛固酮增多
D:有效循环量不足
E:毛细血管通透性增加

第2题,共2个问题
(单选题)目前最可能的诊断()。
A:急进性肾小球肾炎
B:肝性脑病
C:肝肾综合征
D:肝肺综合征
E:慢性肾衰竭
男,20岁,右上腹空腹隐痛两年,加重两周,并伴有后背痛及微热,查体右上腹轻压痛,无肌紧张及反跳痛,尿淀粉酶为128单位(文氏法正常值8~32单位)。最可能的诊断是( )
A:胆囊炎合并胰腺炎
B:穿透性溃疡
C:球后溃疡
D:幽门管溃疡
E:急性胰腺炎
患者女,42岁,因乏力、厌食就诊,查ALT867U/L,AST792U/L,GGT58U/L,TBil42.3μmol/L,GLO64g/L,IgG3270mg/dl,ANA阳性(1∶640);病理学表现为:界面性肝炎,中度的淋巴细胞及浆细胞浸润,伴小叶性肝炎,无明显胆管损伤、肉芽肿、铁沉积、铜沉积。目前首先考虑的诊断是()。
A:系统性红斑狼疮
B:药物性肝损害
C:原发性胆汁性肝硬化
D:自身免疫性肝炎
E:肝豆状核变性
F:血色病
男,25岁,低热、咳嗽、咳痰6个月,间常咯血;近2个月来腹泻、右下腹痛,无脓血便,伴消瘦、盗汗。查体心肺听诊正常,腹平软,右下腹轻压痛,未触及包块。对肠道病变诊断的临床意义较小的检查是 ( )
A:X线胸片
B:X线全程钡餐
C:大便结核菌培养
D:PPD皮试
E:回结肠镜

患者女,40岁,多次检查诊断为“缺铁性贫血”,血红蛋白最低达60g/L,间断服用铁剂、叶酸等药物,血常规不能完全恢复正常,近半年来出现下腹隐痛,黏液便,粪便带血,在当地医院诊断为“痔”。2周前因贫血症状加重,就诊于血液科,血常规检查显示:WBC3.1×109/L,Hb67g/L,Plt0.78×1012/L;粪常规:WBC2~5个/HP,RBC6~8/HP,粪隐血试验(+);乙状结肠镜检查:直肠及乙状结肠黏膜呈颗粒状,脆性增加易出血,弥漫性点状溃疡伴黄白色炎性黏液渗出物。



第1题,共2个问题
(单选题)根据上述病史及辅助检查结果,最可能的诊断是()。
A:UC+MDS
B:UC+缺铁性贫血
C:UC+巨幼细胞性贫血
D:阿米巴肠炎+缺铁性贫血
E:阿米巴肠炎+MDS

第2题,共2个问题
(单选题)针对患者贫血原因,首选的检查应该是()。
A:血清铁、铁蛋白检查
B:血清叶酸、维生素B测定
C:粪找阿米巴滋养体
D:外周血涂片
E:骨髓穿刺
重症肝炎有别于其他肝炎的临床特点是( )
A:畏寒、发热
B:肝脾大
C:精神神经症状
D:恶心呕吐明显
E:黄疸明显
肺癌非转移性作用所致疾病包括()。
A:肥大骨关节病
B:高钙血症
C:上腔静脉综合征
D:周围神经病
E:Horner综合征
肝性昏迷时中枢神经系统的多巴胺合成减少,故应给予( )
A:多巴胺
B:支链氨基酸溶液
C:乙酰谷氨酰胺
D:左旋多巴
E:乳果糖
肝硬化患者出现全血细胞减少,最主要的原因是()。
A:功能性肾衰竭
B:营养不良
C:上消化道出血
D:脾功能亢进
E:肠道吸收障碍
食管癌最常见的转移方式是()。
A:食管壁内扩散
B:直接侵犯邻近组织
C:血行转移
D:淋巴转移
E:癌细胞脱落种植
肝肾综合征的产生与下列哪项因素无关( )
A:内毒素血症
B:肾皮质血液向髓质分流
C:脾大致全血细胞减少
D:钠水代谢紊乱
E:肾血流量和肾小球滤过率下降
患者男性,52岁,高血压病史20年,近来活动后气喘。心电图如图5-11所示,应诊断为()。
A:前间壁心肌梗死
B:左束支阻滞
C:左心室肥厚,继发性ST-T改变
D:左前分支阻滞
E:双心室肥厚
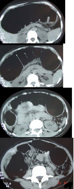
女,30岁,便秘、腹痛腹胀多年,CT检查如图,最可能的诊断是( )
A:结肠肠梗阻
B:先天性巨结肠
C:结肠肠套叠
D:结肠肠扭转
E:结肠肠栓塞
基因的突变是环境因素与遗传因素综合作用的结果。而单个癌基因的突变则是大肠癌的主要分子生物学基础
患者腹痛加重,为缓解腹痛值班医生使用654-210mg肌内注射来对症处理。而后患者腹痛缓解,腹泻次数减至6~10次/日,便血量没有减少。随后连续使用654-2,20~60mg/d。2天后,患者腹胀加重,诉心悸,查体:血压90/60mmHg,体温39.1℃,呼吸28次/分,腹部明显膨隆,全腹压痛,反跳痛,肠鸣音消失。 应立即如何处置( )
A:强心、利尿、扩血管
B:使用泰能控制感染
C:上呼吸机
D:使用肝素抗凝溶栓
E:加大激素用量并积极抗感染,内科治疗24~48小时无效应立即手术
Dukes大肠癌的临床病理分期法包括( )
A:A期——癌局限于肠壁
B:B期——癌穿透浆膜
C:C期——有局部淋巴结转移
D:D期——有远处转移
E:E期——癌多处转移
患者女,37岁,诊断为自身免疫性肝炎,泼尼松20mg/d,治疗4年后,无肝病相关的临床症状,反映肝脏炎症活动的实验室指标明显改善,接近正常,逐渐停用泼尼松。停药后患者定期复查,近期复查结果:AST187U/L,ALT205U/L,ANA1∶160。

第1题,共3个问题
(单选题)下列措施中最有必要的是()。(提示:如果乙肝表面抗原、甲肝抗体、丙肝抗体、戊肝抗体阴性,无特殊用药史,无饮酒史,血脂正常,体重指数正常。)
A:CT
B:B型超声
C:MRI
D:肝穿刺活检
E:血清铜蓝蛋白
F:铁和铁蛋白

第2题,共3个问题
(多选题)为明确氨基转移酶升高的原因,有必要完善的检查是()。
A:甲肝抗体
B:乙肝表面抗原
C:丙肝抗体
D:戊肝抗体
E:抗平滑肌抗体
F:抗双链DNA抗体

第3题,共3个问题
(多选题)可采用的治疗方案是()。(提示:经过相关检查,目前考虑氨基转移酶升高的原因为AIH复发。)
A:单用泼尼松
B:泼尼松联合硫唑嘌呤
C:环孢素A
D:熊去氧胆酸
E:他克莫司
F:布地奈德
机体代谢的枢纽是哪一脏器()。
A:胰
B:胃
C:肝脏
D:肠
E:脾
可作为主诉的是( )
A:心慌、气短2年
B:咳嗽、咳痰1个月,加重伴发热1天
C:患心脏病1年,再发2个月
D:患白血病3年,经检验复发10天
E:畏寒,发热,腹痛,呕吐,食欲不振,头昏,乏力5天
男性,28岁,腹部阵发性胀痛半年余,时重时轻,常因饮食不注意或餐后诱发腹痛加重,有时排便排气停止,经过对症治疗好转,无发热及黄疸,既往一年前因腹外伤脾脏破裂,行脾切除,脾片大网膜移植术。查体,腹胀可见肠型,腹软无压痛,肠鸣音亢进。

第1题,共3个问题
(单选题)下列检查最有意义的是()。
A:纤维结肠镜
B:腹部CT
C:腹部X线平片
D:全胃肠钡餐透视
E:钡剂灌肠

第2题,共3个问题
(单选题)最可能的诊断是()。
A:胃炎胃绞痛
B:粘连性肠梗阻
C:狡窄性肠梗阻
D:结肠癌
E:幽门梗阻

第3题,共3个问题
(单选题)最有效的治疗措施是()。
A:禁食水,胃肠减压
B:低压肥皂水洗肠
C:饮食疗法
D:手术探查
E:以上都不是
男性,25岁,近1个月常感上腹部疼痛,尤以空腹为甚,进食后缓解,X线钡餐检查见球部有钡斑,最好选用哪种药物( )
男性,50岁,近几月感上腹部疼痛,无明显规律性,伴腹泻,X线钡餐透视见胃窦、胃体及胃底多个溃疡,BAO/MAO=65%,最好选用哪种药物( )
A:氢氧化铝凝胶
B:硫糖铝
C:法莫替丁
D:654-2
E:丙谷胺
Hp在胃内的定植部位在( )
A:胃粘液层内
B:胃粘膜上皮层底部
C:胃粘膜肌层表面和胃粘膜上皮层底部
D:胃粘膜上皮层内
E:胃粘膜上皮层表面和粘液底部
调控和影响细胞周期有序运行的相关因素有()。
A:细胞周期蛋白依赖性激酶
B:ATM基因
C:DNA复制当且仅当一次
D:M期CDK的激活
E:myc基因
乳糜泻患者应该严格禁止食用()。
A:大豆
B:小麦
C:淀粉
D:稻谷
E:马铃薯