自考题库
首页
所有科目
自考历年真题
考试分类
关于本站
游客
账号设置
退出登录
注册
登录
出自:放射医学主治医师
病变远端呈杯口状充盈缺损,周围有多个弹簧状环形阴影的是()
A:单纯性小肠梗阻
B:绞窄性小肠梗阻
C:单纯性结肠梗阻
D:结肠扭转
E:肠套叠
左心型限制性心肌病的MRI表现为()
A:左心室壁增厚,以心内膜为主
B:左心室壁增厚,以心肌增厚为主
C:左心房缩小
D:室壁运动增强
E:肺动脉压正常
患者,男,53岁,发热、咳嗽、咳痰3天,查体:体温38.6℃,右上肺叩浊。胸片如图:
此病的主要致病因素为()
A:霉菌
B:肺吸虫
C:结核菌
D:肺炎双球菌
E:放线菌
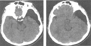
男,15岁,CT检查如图,最可能的诊断为()
A:正常
B:脑萎缩
C:脂肪瘤
D:蛛网膜囊肿
E:硬膜下积液
肾上腺髓质瘤的CT表现中,哪项
不正确
()
A:多为双侧性肾上腺肿块
B:肿块呈类圆形或椭圆形
C:直径多在10cm以下
D:肿块呈混杂密度
E:增强检查肿块的软组织部分发生强化
男性,70岁。行腹部CT增强扫描,发现腹主动脉异常如下图。
第1题,共2个问题
(单选题)对该病术前评价和术后随访的最佳方法是()
A:X线平片
B:DSA
C:MSCTA
D:超声成像
E:MRI
第2题,共2个问题
(单选题)应诊断为()
A:主动脉血栓形成
B:主动脉硬化
C:主动脉瘤并附壁血栓
D:主动脉夹层动脉瘤
E:主动脉破裂
下列骨关节疾病,除哪项外,均可见关节内游离体()
A:滑膜骨软骨瘤病
B:退行性骨关节病
C:非骨化性纤维瘤
D:神经性关节病
E:色素沉着绒毛结节性滑膜炎
患者,女,28岁。无明显不适,体检CT平扫发现肝左叶低密度病灶,呈圆形,边界清晰,动脉增强扫描动脉期病灶明显强化,静脉期密度下降,延迟扫描呈稍低密度。下列资料对鉴别诊断无意义的是()
A:AFP升高
B:患者长期服用避孕药
C:腹主动脉旁见肿大淋巴结
D:患者出现腹水
E:上腹部疼痛
患者,女性,14岁,发现盆腔肿块1个月。查体:腹部膨隆,包块活动度差,叩诊无移动性浊音。B超示盆腔内肿物回声欠均匀,囊实性改变,并见细条状低回声伴声影。 盆腔CT增强扫描图像如下,可诊断为()
A:脂肪瘤
B:肠系膜囊肿
C:卵巢浆液性囊腺瘤
D:卵巢黏液性囊腺瘤
E:卵巢畸胎瘤
防止随机性效应,全身均匀照射剂量当量限值为()
A:15mSv/年
B:50mSv/年
C:150mSv/年
D:250mSv/年
E:500mSv/年
胃肠钡餐造影时,早期胃癌Ⅱa型为()
A:表浅隆起型
B:表浅凹陷型
C:表浅平坦型
D:表浅糜烂型
E:表浅结节型
颈1、2椎管前后径应于()
A:11~12mm
B:12~13mm
C:13~14mm
D:14~15mm
E:15~16mm
髓外硬膜内肿瘤的MRI表现是()
A:患侧蛛网膜下隙变窄
B:患侧蛛网膜下隙受压增宽
C:蛛网膜下隙对称性增宽
D:蛛网膜下隙对称性变窄
E:健侧蛛网膜下隙增宽
男,69岁,上腹不适1年余,近一个月腹痛加重,呕吐,体重减轻。结合图像,最可能的诊断为()
A:十二指肠良性溃疡
B:胰头癌
C:胆管癌
D:十二指肠癌
E:十二指肠憩室
下列哪一项检查是鉴别宫颈癌复发与放射治疗后纤维化的最佳方法()
A:宫颈涂片和活检
B:CT
C:X线平片
D:MRI
E:超声
关于脑外肿瘤的MRI定位诊断,下列哪项不对()
A:肿瘤以宽基底紧贴在颅骨内侧面
B:邻近脑白质受压、向脑室方向移位
C:有时可出现"假包膜"征象
D:肿瘤周围有显著脑水肿征象
E:邻近肿瘤的蛛网膜下腔增宽
骨囊肿的X线表现,下列哪项是错误的()
A:病变呈纵轴发展
B:多见于青少年长骨骨干
C:病变于骨髓腔,呈单房性,椭圆形骨质破坏
D:周围有薄层硬化,边界清楚
E:不易发生病理性骨折
DeBakeyⅢ型主动脉夹层是指()
A:破口位于升主动脉,病变仅局限于升主动脉
B:破口位于升主动脉,病变累及升、降和(或)腹主动脉
C:破口位于左锁骨下动脉以远,病变仅累及胸主动脉者
D:夹层不累及升主动脉
E:夹层累及升主动脉
皮革胃的X线表现正确的是()
A:胃黏膜皱襞形态不变
B:胃腔扩大
C:幽门管呈僵硬开放状态
D:胃大弯可见指状压迹
E:食管扩张
异位肾()
A:输尿管长度正常,输尿管扭曲
B:输尿管过短或过长
C:输尿管长度正常,改变体位时扭曲
D:输尿管短,在肾脏前面下行
E:输尿管细小,开口异位
关于肾癌的影像学检查方法,说法
不正确
的是()
A:尿路造影可见蜘蛛足样表现、肾盂变形、输尿管受压移位
B:CT平扫表现为肾实质肿块,增强检查早期一过性强化
C:MRI检查TWI呈低信号,TWI为混杂信号,周边有假包膜
D:影像学检查可进行肿瘤分期和鉴别诊断
E:X线平片对肾癌的诊断价值不高
某研究者,为了验证氯霉素对伤寒的疗效,在408例伤寒病人中进行对照试验,其中251例用氯霉素治疗,其余157例不用。结果使用组251人中死亡20人,死亡率7.07%,未用组157人中死亡36人,病死率22.8%,已有结论被亲自证实
第1题,共4个问题
(单选题)下面哪种说法是错误的()
A:人体实验在临床医学中的价值和道德意义是无可非议的
B:无道德代价的实验,在医学科学方面并非都能做到
C:在临床医学研究中使用安慰剂是心理实验,但要付出道德代价
D:无道德代价的实验,在医学科学方面是可以全部做到的
E:安慰剂虽没有药理作用,但确有一定的效果
第2题,共4个问题
(单选题)在临床医学研究中,对受试者应该做到的是()
A:以科学利益放在第一位,病人利益放在第二位
B:危重病人和病情发展变化快的患者不应使用安慰剂
C:在医学研究中,即使病人病情恶化也不可以中断实验
D:为了更好的获得实验数据,可以对病人说谎,可以不解答病人的疑问
E:在医学研究中,不必一味坚持知情同意
第3题,共4个问题
(单选题)在人体实验中使用对照组、安慰剂和“双盲法”()
A:是对病人的一种欺骗
B:是违背人道主义原则的
C:是违背知情同意原则的
D:以征服疾病为目标,为发展医学的需要,严格控制在不损害病人利益的范围之内使用这一方法,是合乎医学道德的
E:是医学科研中经过考验的正确方法,可以在人体试验中无条件使用
第4题,共4个问题
(单选题)在本案例中,下面说法除外哪一点都是对的()
A:侵犯了受试者的权利
B:具体试验安排不对
C:医学试验目的是对的
D:试验代价太大
E:本试验是不可取的
骨巨细胞瘤与动脉瘤样骨囊肿CT鉴别诊断中,最有意义的征象为()
A:前者可见骨性包壳,后者无
B:前者有明显膨胀性改变,后者无
C:前者病灶内可见分隔,后者无
D:前者病变中心可见坏死、液化,后者无
E:前者病变周围可见软组织肿块,后者无
关于先天性肝内胆管扩张症,哪项是错误的()
A:又称Caroli病
B:特点是肝内胆管囊状扩张
C:可合并结石及胆管炎
D:常合并肾肿瘤
E:常合并先天肝纤维化
有潜在恶性倾向的良性骨肿瘤是()
A:骨囊肿
B:骨样骨瘤
C:动脉瘤样骨囊肿
D:非骨化性纤维瘤
E:骨巨细胞瘤
下列关于KerleyB线的描述,错误的为()
A:多见于肋膈角区
B:起自并垂直于胸膜面
C:网格状阴影
D:长2~3cm,宽1mm
E:是由于小叶间隔水肿、肥厚所致
CT矩阵与像素大小的关系()
A:扫描野÷矩阵=像素大小
B:重建显示野直径÷矩阵=像素大小
C:设备最小空间分辨率×矩阵=像素大小
D:设备最小空间分辨率÷矩阵=像素大小
E:以上都不对
视神经各段中最长的部分是()
A:视神经管内段
B:眼眶内段
C:颅内段
D:肌锥外段
E:视交叉区段
“蝶翼征”多见于()
A:动脉导管未闭
B:肺泡性肺水肿
C:肺动脉瓣狭窄
D:房间隔缺损
E:右位主动脉弓
穿刺活检导向手段
不包括
()
A:X线透视
B:USG
C:同位素扫描
D:CT
E:MRI
首页
<上一页
84
85
86
87
88
下一页>
尾页