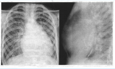
患者,男,22岁。乏力、倦怠2年余,半年前出现活动后气促。查体:心尖区可闻及收缩期高调吹风样杂音。X线胸片如下图所示。

第1题,共3个问题
(多选题)对上图所见描述正确的是()
A:右房增大
B:左房增大
C:右室增大
D:左室增大
E:心腰突出
F:右房右室增大
第2题,共3个问题
(单选题)本患者最可能的诊断是()
A:房间隔缺损
B:室间隔缺损
C:二尖瓣狭窄
D:二尖瓣狭窄并关闭不全
E:法洛四联症
F:动脉导管未闭
第3题,共3个问题
(单选题)引起该病最常见的原因是()
A:风湿性损害
B:二尖瓣脱垂
C:先天性二尖瓣前叶裂
D:肥厚性心肌病
E:左室扩大
F:二尖瓣肥厚