自考题库
首页
所有科目
自考历年真题
考试分类
关于本站
游客
账号设置
退出登录
注册
登录
出自:放射医学主治医师
冠状动脉粥样硬化最常好发的动脉是()
A:左回旋支
B:右冠状动脉近端
C:左冠状动脉旋支
D:后室间支
E:左冠状动脉前降支
下列不是肝包虫囊肿的特征表现的是()
A:囊肿单发或多发,可有浅分叶轮廓
B:囊内密度均匀,增强后明显强化
C:囊壁可呈弧形或蛋壳样钙化
D:母囊内出现子囊,数目不一
E:内囊可分离,悬浮于囊液中
关于翼腭窝的连通关系,下列描述正确的是()
A:向前上经眶下裂通眼眶
B:向后下经腭鞘管通鼻咽部
C:向内经蝶腭孔通鼻腔
D:向外经翼上颌裂通颞下窝
E:以上均对
大脑半球弓形纤维连接()
A:外囊
B:相邻脑回
C:内囊
D:基底节
E:丘脑
同部位、同范围的CT扫描,患者辐射剂量最多的是()
A:10mm层厚连续扫描
B:10mm层厚间隔扫描
C:8mm层厚连续扫描
D:2mm层厚多层螺旋CT扫描
E:5mm层厚螺旋CT扫描
骨肉瘤最早发生转移的部位多为()
A:骨
B:肝
C:淋巴结
D:肺
E:心包
SE序列动脉导管未闭表现为()
A:主动脉和肺动脉之间管状或漏斗状的低信号影
B:主动脉和肺动脉之间管状或漏斗状的中等高信号影
C:主动脉和肺动脉之间管状或漏斗状的高信号影
D:主动脉和肺动脉之间管状或漏斗状的低信号为主的混杂信号影
E:主动脉和肺动脉之间管状或漏斗状的高信号为主的混杂信号影
排泄性或逆行性尿路造影中,肾结核的早期征象是()
A:肾盏肾盂模糊变形
B:肾盏边缘不整齐
C:肾盏肾盂不规则扩张
D:肾盂边缘不整齐
E:肾区钙化影
列举出的增感屏使用优点,错误的是()
A:提高胶片的感光效应
B:缩短了曝光时间,减少被照体移动模糊
C:提高影像锐利度
D:提高影像对比度
E:减少患者的受照剂量
下列关于肺真菌病的X线所见,
不正确
的是()
A:没有肋骨破坏、胸腔瘘管和皮肤真菌病
B:肺纹理明显增强,其周围可见斑点片状阴影,甚至支气管肺炎
C:单侧或双侧肺内淡片状影,可有边缘不清的结节影,中下肺野多见病灶,发展迅速,数日内可融合成大片影
D:病灶中央可出现空洞,周边无明显炎性浸润,内无液平面
E:胸膜常受累,导致胸膜炎、胸腔积液、胸膜增厚等
哪种表现不是脑脓肿的特点()
A:圆形或椭圆形
B:规则光滑的环形增强
C:伴有水肿
D:可多个相邻
E:有血管与其相通
双侧或单侧肾上腺肿块,类圆形、椭圆形或分叶状,一般较大。密度可均匀或较大肿瘤内有坏死的低密度区()
A:嗜铬细胞瘤
B:肾上腺转移瘤
C:肾上腺囊肿
D:肾上腺皮质腺癌
E:肾上腺腺瘤
脊柱化脓性骨髓炎好发于()
A:儿童期
B:少年期
C:成人期
D:老年人
E:无差别
某医院一产妇急需剖腹产,主治医师几次联系要求手术,手术室护士均以手术台没有空而被一再推迟,由于等候时间太长,导致胎死宫内。
第1题,共2个问题
(单选题)治医生和护士没有遵守护医关系伦理中的()
A:彼此平等
B:团结协作
C:彼此监督
D:相互尊重
E:相互制约
第2题,共2个问题
(单选题)护理对象的什么权益被侵犯()
A:生命健康权
B:求偿权
C:自主权
D:知情权
E:人身自由权
患者,女,82岁,上腹部不适,大便带脓性血性黏液3个月余,既往结肠息肉病史,现上腹部CT检查发现肝脏密度不均匀,其内可见数个低密度病灶,增强扫描强化程度低于肝脏,实验室检查AFP正常。结合以上临床资料,患者肝内多发病灶最有可能的诊断是()
A:肝细胞性肝癌并肝内转移
B:胆管细胞癌
C:肝转移瘤
D:肝腺瘤
E:肝血管瘤
国家规定,X线工作者全身均匀照射时,年剂量不得超过()
A:5mSv
B:10mSv
C:30mSv
D:50mSv
E:100mSv
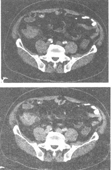
男,71岁,转移性右下腹痛4天。查体右下腹压痛,可及包块。B超示右下腹实质性占位。CT扫描如下图,最可能的CT诊断为()
A:阑尾类癌
B:回盲部增殖型结核
C:阑尾周围脓肿
D:结肠癌
E:溃疡性结肠炎
内耳道狭窄是指宽度小于()
A:2mm
B:3mm
C:4mm
D:5mm
E:6mm
目前不宜CT检查,需控制病情后再检查的是()。
A:肾功能不全患者
B:脂肪肝患者
C:昏迷患者
D:常规体检患者
E:心功能不全呼吸困难患者
关节感染性病变的定性诊断应依据的方法为()
A:MRI
B:CT
C:关节液培养
D:X线平片
E:超声成像
晚期尿毒症患者肾脏内出现囊肿是因为()
A:先天性
B:代谢性
C:感染性
D:中毒性
E:缺血及营养不良
嗜铬细胞瘤可以有()
A:5%异位,5%为多发,5%为恶性
B:10%异位,10%多发,10%为恶性
C:15%异位,15%多发,15%为恶性
D:20%异位,20%多发,20%为恶性
E:以上均不对
泌尿系结石()
A:活动后血尿
B:全程无痛性血尿
C:尿频尿急后伴血尿
D:乳糜性血尿
E:阵发性高血压
下列不是骨纤维异常增殖症的特点的是()
A:单骨型多见,好发于四肢骨
B:四肢长骨病变呈毛玻璃样改变
C:丝瓜络样改变
D:不会恶变
E:病变可呈单囊、多囊状改变
关于烟雾病,下列说法错误的是()
A:又称颅底动脉环闭塞症
B:病理改变主要是双侧颈内动脉起始端管腔狭窄或闭塞
C:病变区内膜增生、肥厚、变性,侧支循环明显扩张形成毛细血管网
D:脑梗死、脑出血和脑萎缩是烟雾病的主要表现
E:以反复发作、多部位病灶为特点
关于髓母细胞瘤,下列说法错误的是()
A:起源于小脑蚓部后髓帆,常突入、压迫或阻塞第四脑室,引起梗阻性脑积水
B:表现为后颅窝均匀一致类圆形略高密度影,少数等密度,边缘清楚
C:增强扫描多均匀强化
D:常伴有出血、囊变及钙化
E:第四脑室受压、变形、前移,第三脑室及双侧侧脑室常扩大
关于胸部组织的信号特征,下列叙述
不正确
的是()
A:脂肪:T
1
呈高信号(白色),T
2
呈稍高信号(灰白色)
B:快速流动血液在SE序列上:长T
1
和短T
2
信号(黑色)
C:肺组织:T
呈高信号(白色),T
2
呈高信号(白色)
D:成人胸腺:T
1
呈高信号(白色),T
2
呈等信号(灰色)
E:血管壁:T
1
呈中等信号,T
2
呈稍低信号(灰黑色)
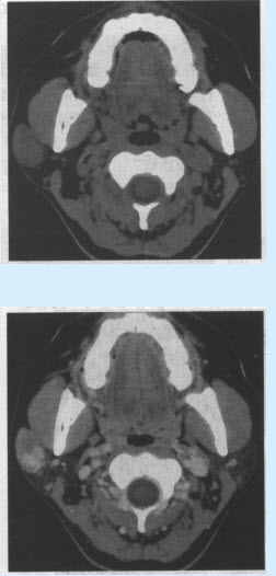
患者,女,30岁。无意中发现右侧面部包块半年余。CT检查如下图,诊断为()
A:腮腺混合瘤
B:腮腺淋巴瘤
C:腮腺神经鞘瘤
D:腮腺畸胎瘤
E:腮腺囊肿
椎管内动静脉畸形栓塞所用的固体微粒直径大小为()
A:50μm
B:100μm
C:200μm
D:500μm
E:1mm
中颅窝孔、裂由前到后的顺序为()
A:圆孔-棘孔-卵圆孔-破裂孔
B:棘孔-破裂孔-圆孔-卵圆孔
C:卵圆孔-圆孔-破裂孔-棘孔
D:破裂孔-棘孔-卵圆孔-圆孔
E:圆孔-破裂孔-卵圆孔-棘孔
首页
<上一页
82
83
84
85
86
下一页>
尾页