自考题库
首页
所有科目
自考历年真题
考试分类
关于本站
游客
账号设置
退出登录
注册
登录
出自:消化内科学高级职称
男性,56岁,近1周腹痛,近3天乏力、头昏,逐渐出现活动时心慌、气短,平卧时缓解,无胸痛。查体:面色苍白,眼结膜苍白,BP.90/60mmHg(12/8kPa),心率100次/mm,呼吸26次/min,肠鸣音亢进。那么首先考虑()。
A:急性心肌梗死
B:肺栓塞
C:消化道肿瘤
D:内脏破裂
E:上消化道出血
女,32岁,农民,间歇性上腹钝痛3年,再发2周,近日出现腹胀、恶心、呕吐,呕吐物量较多,为隔餐食物。服用抗酸药物无效。查体:剑下压痛,上腹部有震水音,肝脾未触及,最可能的诊断是( )
A:胆囊炎
B:消化性溃疡并幽门梗阻
C:胃癌
D:十二指肠雍滞
E:消化性溃疡并穿孔
约95%慢性胆囊炎的患者胆囊内存在结石
下列哪一项对出血坏死型胰腺炎最具诊断价值( )
A:血液浓缩,红细胞比容增高
B:血、尿淀粉酶活性明显增高
C:白细胞增多,粒细胞核左移
D:血清正铁白蛋白阳性
E:淀粉酶、肌酐清除率比值明显增高
胃癌转移途径包括()。
A:胃肠道转移
B:直接蔓延
C:淋巴转移
D:血行扩散
E:腹腔内种植转移
男,66岁,昏迷患者,病史不详。巩膜轻度黄染。瞳孔等大,肌张力及腱反射亢进。无偏瘫,血糖5.5mmol/L,血尿素氮14.2mmol/L,肝功血清清蛋白20g/L,球蛋白30g/L此病人最可能的诊断是( )
男,46岁,昏迷患者,病史不详。血压150/95mmHg,巩膜无黄染,瞳孔不等大,右侧病理征阳性,血糖5.5mmol/L(100mg%),血尿素氮14.2mmol/L。此病人最可能的诊断是( )
女,68岁,糖尿病患者,尿频、发热3天、昏迷1天。血糖26.5mmol/L。此病人最可能的诊断是( )
A:肝性脑病
B:糖尿病昏迷
C:尿毒症昏迷
D:安眠药中毒
E:脑血管意外
结核性腹膜炎起病方式最多见的是()。
A:缓慢起病
B:急骤起病
C:隐袭起病
D:以急腹症起病
E:以发热起病
简述原发性肝癌的临床表现及临床诊断依据。
可引起嗜酸细胞增多的疾病有()。
A:蠕虫感染
B:淋巴瘤
C:炎性肠病
D:嗜酸细胞胃肠炎
E:哮喘
患者腹痛加重,为缓解腹痛值班医生使用654-210mg肌内注射来对症处理。而后患者腹痛缓解,腹泻次数减至6~10次/日,便血量没有减少。随后连续使用654-2,20~60mg/d。2天后,患者腹胀加重,诉心悸,查体:血压90/60mmHg,体温39.1℃,呼吸28次/分,腹部明显膨隆,全腹压痛,反跳痛,肠鸣音消失。 最可能的诊断是( )
A:感染中毒性休克
B:急性机械性肠梗阻
C:急性中毒,心肌损害
D:中毒性巨结肠
E:急性肺栓塞
男性,59岁,原发性肝癌手术后2年,每半年随访1次,每次需常规检查()。
A:AFP
B:CT
C:MRI
D:肝动脉造影
E:肝功能
关于胆固醇胆结石,下列说法正确的是( )
A:胆固醇结石通常发生在胆囊内
B:组成以胆固醇为主,含量占80%以上
C:可在X线下显影
D:质硬表面光滑,剖面呈放射线条纹状
E:其形成与胆汁中胆固醇分泌增多有关
消化吸收不良叙述错误的是()。
A:消化吸收不良指各种原因所致消化和(或)吸收功能障碍
B:消化过程包括胃肠道三个期(腔内期、黏膜期、运送期)
C:吸收功能障碍是小肠或对多种营养成分吸收不足
D:或仅对某一种营养成分(特别是脂肪)吸收不足
E:消化吸收不良综合征不是一组临床症状
绞窄性肠梗阻临床表现,下列哪项是错误的( )
A:腹部出现腹膜刺激征
B:腹痛持续加重,无缓解
C:呕吐血性或棕褐色液体
D:肠鸣音消失或减弱
E:X线检查见膨胀肠袢位置形状随体位和时间改变而改变
原发性肝癌的早期诊断,最重要的诊断依据是( )
A:核素扫描
B:AFP动态观察
C:B超
D:肝区疼痛
E:黄疸
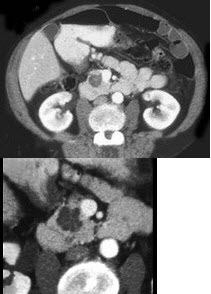
患者,女,57岁,上腹部隐痛半年余,CT片,最可能的诊断是( )
A:胰腺癌
B:胰腺脓肿
C:胰腺假性囊肿
D:胰腺囊腺瘤
E:胰岛细胞瘤
四十岁男性,因上腹部不适及黑便作胃镜检查,胃窦部粘膜严重充血,水肿,小弯处有多处粘膜剥脱及粘膜下出血点。活检报告:粘膜中性白细胞,淋巴细胞浸润,血管破裂及出血。患者因感冒服扑热息痛2片,后感上腹不适,呕吐咖啡样物约500ml,首选治疗是()。
A:注射维生素K
B:口服云南白药
C:注射垂体后叶素
D:口服灭滴灵
E:静滴甲氰咪胍
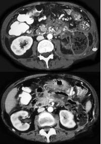
女性,34岁,寒战、高热、急性中上腹偏左腹痛,压痛,CT扫描如图,最可能的诊断是( )
A:急性胰腺炎
B:胰腺脓肿
C:慢性胰腺炎急性发作
D:胰腺癌
E:胰腺转移癌
症状重的反流性食管炎首选的治疗( )
上段食管癌首选的治疗( )
中下段食管癌首选的治疗( )
A:H受体阻滞剂
B:质子泵抑制剂
C:胃动力剂
D:手术治疗
E:放射治疗
引起胰腺实质凝固性坏死的是( )
使血管舒张和通透性增高,引起水肿和休克的是( )
引起出血和血栓形成的是( )
引起胰周脂肪坏死和液化( )
A:活化的激肽释放酶
B:活化的磷脂酶a2
C:活化的胰蛋白酶
D:活化的弹性蛋白酶
E:活化的脂肪酶
女性32岁,因上腹痛10小时,伴发热,呕吐急诊,查血清淀粉酶1000u(Somogyi),诊断为急性胰腺炎收入病房,其最基本的治疗方案是( )
A:肾上腺皮质激素
B:禁食补液
C:抗生素
D:抑肽酶
E:胰岛素
再生结节不明显性肝硬化的特点是( )
大结节性肝硬化的特点是( )
A:形成肝硬化后数年可无明显症状
B:进展较缓慢
C:起病多隐匿
D:以门脉高压为主
E:肝功能损害较严重
有关消化性溃疡,哪种说法
不正确
( )
A:十二指肠溃疡多为空腹痛及夜间痛
B:胃溃疡多为餐后痛
C:所有消化性溃疡都有腹痛症状
D:十二指肠溃疡进食后症状缓解
E:消化性溃疡均应和不典型胆石症鉴别
患者,女,36岁。4年来上腹部隐痛伴嗳气、反酸,进食后加重。时有恶心、呕吐。服用制酸剂后症状缓解。查体:上腹部压痛。提问:有关慢性浅表性胃炎,下面正确的是()。
A:主要病因为幽门螺杆菌感染
B:幽门螺杆菌的分布与胃内炎症分布一致
C:长期幽门螺杆菌感染可发展为慢性萎缩性胃炎
D:由幽门螺杆菌感染引起的胃炎多无症状
E:根除幽门螺杆菌可以预防胃癌的发生已被证实
F:以上都是
病例摘要:男性,58岁。胃灼热、反酸半年余,胃镜诊断为Barrett食管。
第1题,共3个问题
(单选题)应给予下列哪一种处理()。
A:积极抗反流治疗,6个月后复查内镜和活检
B:每3个月重复内镜和活检
C:行远端食管切除术
D:立即重复内镜并多处取活检
E:继续积极抗反流治疗,每2~3年行内镜检查和活检
第2题,共3个问题
(单选题)病理检查时应见到下列哪一种变化()。
A:食管鳞状上皮增生
B:黏膜固有层乳头向表面延伸
C:上皮层内中性粒细胞和淋巴细胞浸润
D:黏膜糜烂或溃疡形成
E:齿状线2cm以上食管黏膜鳞状上皮被柱状上皮代替
第3题,共3个问题
(单选题)胃镜检查时应见到下列哪一种变化()。
A:黏膜粗糙不平,红斑出血点
B:黏膜血管显露,皱襞细小
C:黏膜糜烂、溃疡
D:齿状线2cm以上可见岛状、舌状橘红色上皮
E:黏膜巨大皱襞
胆囊切除术后反复右上腹痛伴黄疸发作,最宜选用( )
黄疸较深,肝功能欠佳,凝血酶原时间为正常20%者,最宜选用( )
A:碘番酸口服胆囊造影
B:胆影葡胺静脉胆道造影
C:经皮肝穿刺胆管造影(PTC)
D:内镜逆行胰胆管造影(ERCP)
E:胆囊穿刺置管造影
肠结核的主要由下列哪项途径感染( )
A:呼吸道感染
B:经口感染
C:血液传播
D:体液感染
E:接触感染
急性重症胰腺炎的主要病理特点是()。
A:钙皂斑
B:脓肿、假性囊肿或瘘管形成
C:腺泡细胞及脂肪坏死、血管出血
D:坏死灶外周有炎性细胞包绕
E:静脉炎、淋巴管炎和血栓形成
进展期胃癌最早出现的症状是( )
A:恶心呕吐
B:黑粪
C:上腹痛
D:贫血
E:咽下困难
氨进人身体的主要门户是( )
A:胃肠道
B:肾和骨骼肌产氨
C:心肌运动产氨
D:以上都是
E:以上都不是
首页
<上一页
81
82
83
84
85
下一页>
尾页